综合分子和详细的解剖分析确定了后窝脑膜瘤的预后不良亚型:高危拷贝数改变与中线倾向相关,预测预后不良。

IF 5.7 2区 医学 Q1 NEUROSCIENCES
Yudai Hirano, Satoru Miyawaki, Yu Sakai, Yu Teranishi, Motoyuki Umekawa, Takeru Hirata, Shotaro Ogawa, Daisuke Komura, Hiroto Katoh, Masako Ikemura, Satoshi Koizumi, Hideaki Ono, Tetsuo Ushiku, Shumpei Ishikawa, Nobuhito Saito
{"title":"综合分子和详细的解剖分析确定了后窝脑膜瘤的预后不良亚型:高危拷贝数改变与中线倾向相关,预测预后不良。","authors":"Yudai Hirano, Satoru Miyawaki, Yu Sakai, Yu Teranishi, Motoyuki Umekawa, Takeru Hirata, Shotaro Ogawa, Daisuke Komura, Hiroto Katoh, Masako Ikemura, Satoshi Koizumi, Hideaki Ono, Tetsuo Ushiku, Shumpei Ishikawa, Nobuhito Saito","doi":"10.1186/s40478-025-02083-z","DOIUrl":null,"url":null,"abstract":"<p><p>Anatomical localization of meningiomas has been increasingly linked to their genetic alterations. However, studies focusing specifically on the genomic landscape and clinical implications of posterior fossa meningiomas remain limited. In this study, we investigated the genetic, anatomical, and clinical characteristics of posterior fossa meningiomas, aiming to clarify the association between genetic alterations, precise tumor localization, and prognosis. Whole-exome sequencing was performed on 132 consecutive tumors to identify driver mutations and copy number alterations (CNAs). Tumor localization was carefully assessed based on dural attachment, arterial supply, and intraoperative findings. Based on driver mutations and CNAs, tumors were classified into three molecular groups: Group A (no Merlin pathway alterations, n = 71 (54%)), Group B (NF2 mutation/22q loss without high-risk CNAs, n = 45 (34%)), and Group C (high-risk CNAs, n = 16 (12%)). Notably, Group C showed a strong anatomical predilection, with 81% arising from midline structures, including the medial incisura and clivus. Group C tumors were significantly associated with poor progression-free survival following gross total resection (P = 0.023), and this remained significant even when the analysis was anatomically restricted to tumors located in the medial incisura and clivus (P = 0.0003). In multivariable analysis, Group C (P = 0.020, HR 6.60) and preoperative tumor volume > 10 cc (P = 0.044, HR 9.41) independently predicted poor prognosis. Overall, the results demonstrated that approximately 10% of posterior fossa meningiomas harbored high-risk CNAs, predominantly in midline locations, and were associated with worse clinical outcomes. CNA profiling in addition to the identification of driver mutations may provide a valuable tool for risk stratification and decision-making regarding adjuvant therapy in posterior fossa meningiomas.</p>","PeriodicalId":6914,"journal":{"name":"Acta Neuropathologica Communications","volume":"13 1","pages":"168"},"PeriodicalIF":5.7000,"publicationDate":"2025-08-07","publicationTypes":"Journal Article","fieldsOfStudy":null,"isOpenAccess":false,"openAccessPdf":"https://www.ncbi.nlm.nih.gov/pmc/articles/PMC12329998/pdf/","citationCount":"0","resultStr":"{\"title\":\"Integrated molecular and detailed anatomical profiling identifies a prognostically adverse subtype of posterior fossa meningiomas: high-risk copy number alterations are associated with midline predilection and predict poor prognosis.\",\"authors\":\"Yudai Hirano, Satoru Miyawaki, Yu Sakai, Yu Teranishi, Motoyuki Umekawa, Takeru Hirata, Shotaro Ogawa, Daisuke Komura, Hiroto Katoh, Masako Ikemura, Satoshi Koizumi, Hideaki Ono, Tetsuo Ushiku, Shumpei Ishikawa, Nobuhito Saito\",\"doi\":\"10.1186/s40478-025-02083-z\",\"DOIUrl\":null,\"url\":null,\"abstract\":\"<p><p>Anatomical localization of meningiomas has been increasingly linked to their genetic alterations. However, studies focusing specifically on the genomic landscape and clinical implications of posterior fossa meningiomas remain limited. In this study, we investigated the genetic, anatomical, and clinical characteristics of posterior fossa meningiomas, aiming to clarify the association between genetic alterations, precise tumor localization, and prognosis. Whole-exome sequencing was performed on 132 consecutive tumors to identify driver mutations and copy number alterations (CNAs). Tumor localization was carefully assessed based on dural attachment, arterial supply, and intraoperative findings. Based on driver mutations and CNAs, tumors were classified into three molecular groups: Group A (no Merlin pathway alterations, n = 71 (54%)), Group B (NF2 mutation/22q loss without high-risk CNAs, n = 45 (34%)), and Group C (high-risk CNAs, n = 16 (12%)). Notably, Group C showed a strong anatomical predilection, with 81% arising from midline structures, including the medial incisura and clivus. Group C tumors were significantly associated with poor progression-free survival following gross total resection (P = 0.023), and this remained significant even when the analysis was anatomically restricted to tumors located in the medial incisura and clivus (P = 0.0003). In multivariable analysis, Group C (P = 0.020, HR 6.60) and preoperative tumor volume > 10 cc (P = 0.044, HR 9.41) independently predicted poor prognosis. Overall, the results demonstrated that approximately 10% of posterior fossa meningiomas harbored high-risk CNAs, predominantly in midline locations, and were associated with worse clinical outcomes. CNA profiling in addition to the identification of driver mutations may provide a valuable tool for risk stratification and decision-making regarding adjuvant therapy in posterior fossa meningiomas.</p>\",\"PeriodicalId\":6914,\"journal\":{\"name\":\"Acta Neuropathologica Communications\",\"volume\":\"13 1\",\"pages\":\"168\"},\"PeriodicalIF\":5.7000,\"publicationDate\":\"2025-08-07\",\"publicationTypes\":\"Journal Article\",\"fieldsOfStudy\":null,\"isOpenAccess\":false,\"openAccessPdf\":\"https://www.ncbi.nlm.nih.gov/pmc/articles/PMC12329998/pdf/\",\"citationCount\":\"0\",\"resultStr\":null,\"platform\":\"Semanticscholar\",\"paperid\":null,\"PeriodicalName\":\"Acta Neuropathologica Communications\",\"FirstCategoryId\":\"3\",\"ListUrlMain\":\"https://doi.org/10.1186/s40478-025-02083-z\",\"RegionNum\":2,\"RegionCategory\":\"医学\",\"ArticlePicture\":[],\"TitleCN\":null,\"AbstractTextCN\":null,\"PMCID\":null,\"EPubDate\":\"\",\"PubModel\":\"\",\"JCR\":\"Q1\",\"JCRName\":\"NEUROSCIENCES\",\"Score\":null,\"Total\":0}","platform":"Semanticscholar","paperid":null,"PeriodicalName":"Acta Neuropathologica Communications","FirstCategoryId":"3","ListUrlMain":"https://doi.org/10.1186/s40478-025-02083-z","RegionNum":2,"RegionCategory":"医学","ArticlePicture":[],"TitleCN":null,"AbstractTextCN":null,"PMCID":null,"EPubDate":"","PubModel":"","JCR":"Q1","JCRName":"NEUROSCIENCES","Score":null,"Total":0}
引用次数: 0

摘要

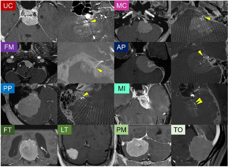
脑膜瘤的解剖定位越来越多地与它们的遗传改变联系在一起。然而,专门针对后窝脑膜瘤的基因组景观和临床意义的研究仍然有限。在这项研究中,我们研究了后窝脑膜瘤的遗传、解剖和临床特征,旨在阐明遗传改变、肿瘤精确定位和预后之间的关系。对132个连续的肿瘤进行全外显子组测序,以确定驱动突变和拷贝数改变(CNAs)。根据硬脑膜附着、动脉供应和术中发现仔细评估肿瘤定位。根据驱动突变和CNAs,将肿瘤分为3个分子组:A组(无Merlin通路改变,n = 71 (54%)), B组(NF2突变/22q丢失,无高危CNAs, n = 45(34%))和C组(高危CNAs, n = 16(12%))。值得注意的是,C组表现出强烈的解剖偏好,81%来自中线结构,包括内侧切牙和斜坡。C组肿瘤与大体全切除后较差的无进展生存率显著相关(P = 0.023),即使在解剖学上仅限于位于内侧切牙和斜坡的肿瘤时(P = 0.0003),这一点仍然显著。在多变量分析中,C组(P = 0.020, HR 6.60)和术前肿瘤体积bbb10 cc (P = 0.044, HR 9.41)独立预测预后不良。总的来说,结果表明大约10%的后窝脑膜瘤含有高危CNAs,主要位于中线位置,并且与较差的临床结果相关。除了识别驱动突变外,CNA谱分析可能为后窝脑膜瘤的风险分层和辅助治疗决策提供有价值的工具。
本文章由计算机程序翻译,如有差异,请以英文原文为准。

Integrated molecular and detailed anatomical profiling identifies a prognostically adverse subtype of posterior fossa meningiomas: high-risk copy number alterations are associated with midline predilection and predict poor prognosis.

Integrated molecular and detailed anatomical profiling identifies a prognostically adverse subtype of posterior fossa meningiomas: high-risk copy number alterations are associated with midline predilection and predict poor prognosis.

Integrated molecular and detailed anatomical profiling identifies a prognostically adverse subtype of posterior fossa meningiomas: high-risk copy number alterations are associated with midline predilection and predict poor prognosis.

Integrated molecular and detailed anatomical profiling identifies a prognostically adverse subtype of posterior fossa meningiomas: high-risk copy number alterations are associated with midline predilection and predict poor prognosis.

Anatomical localization of meningiomas has been increasingly linked to their genetic alterations. However, studies focusing specifically on the genomic landscape and clinical implications of posterior fossa meningiomas remain limited. In this study, we investigated the genetic, anatomical, and clinical characteristics of posterior fossa meningiomas, aiming to clarify the association between genetic alterations, precise tumor localization, and prognosis. Whole-exome sequencing was performed on 132 consecutive tumors to identify driver mutations and copy number alterations (CNAs). Tumor localization was carefully assessed based on dural attachment, arterial supply, and intraoperative findings. Based on driver mutations and CNAs, tumors were classified into three molecular groups: Group A (no Merlin pathway alterations, n = 71 (54%)), Group B (NF2 mutation/22q loss without high-risk CNAs, n = 45 (34%)), and Group C (high-risk CNAs, n = 16 (12%)). Notably, Group C showed a strong anatomical predilection, with 81% arising from midline structures, including the medial incisura and clivus. Group C tumors were significantly associated with poor progression-free survival following gross total resection (P = 0.023), and this remained significant even when the analysis was anatomically restricted to tumors located in the medial incisura and clivus (P = 0.0003). In multivariable analysis, Group C (P = 0.020, HR 6.60) and preoperative tumor volume > 10 cc (P = 0.044, HR 9.41) independently predicted poor prognosis. Overall, the results demonstrated that approximately 10% of posterior fossa meningiomas harbored high-risk CNAs, predominantly in midline locations, and were associated with worse clinical outcomes. CNA profiling in addition to the identification of driver mutations may provide a valuable tool for risk stratification and decision-making regarding adjuvant therapy in posterior fossa meningiomas.

求助全文
通过发布文献求助,成功后即可免费获取论文全文。 去求助
来源期刊
Acta Neuropathologica Communications
Acta Neuropathologica Communications Medicine-Pathology and Forensic Medicine
CiteScore
11.20
自引率
2.80%
发文量
162
审稿时长
8 weeks
期刊介绍: "Acta Neuropathologica Communications (ANC)" is a peer-reviewed journal that specializes in the rapid publication of research articles focused on the mechanisms underlying neurological diseases. The journal emphasizes the use of molecular, cellular, and morphological techniques applied to experimental or human tissues to investigate the pathogenesis of neurological disorders. ANC is committed to a fast-track publication process, aiming to publish accepted manuscripts within two months of submission. This expedited timeline is designed to ensure that the latest findings in neuroscience and pathology are disseminated quickly to the scientific community, fostering rapid advancements in the field of neurology and neuroscience. The journal's focus on cutting-edge research and its swift publication schedule make it a valuable resource for researchers, clinicians, and other professionals interested in the study and treatment of neurological conditions.
×
引用
GB/T 7714-2015
复制
MLA
复制
APA
复制
导出至
BibTeX EndNote RefMan NoteFirst NoteExpress
×
提示
您的信息不完整,为了账户安全,请先补充。
现在去补充
×
提示
您因"违规操作"
具体请查看互助需知
我知道了
×
提示
确定
请完成安全验证×
copy
已复制链接
快去分享给好友吧!
我知道了
右上角分享
点击右上角分享
0
联系我们:info@booksci.cn Book学术提供免费学术资源搜索服务,方便国内外学者检索中英文文献。致力于提供最便捷和优质的服务体验。 Copyright © 2023 布克学术 All rights reserved.
京ICP备2023020795号-1
ghs 京公网安备 11010802042870号
Book学术文献互助
Book学术文献互助群
群 号:604180095
Book学术官方微信