基于乳房x线摄影和磁共振成像的乳腺叶状瘤和纤维腺瘤术前鉴别的便捷模型。

IF 1.6 3区 医学 Q3 SURGERY
Gland surgery Pub Date : 2025-07-31 Epub Date: 2025-07-28 DOI:10.21037/gs-2025-145
Xiaowen Ma, Jinhui Li, Feixiang Hu, Yan Huang, Qin Xiao, Weijun Peng, Yajia Gu
{"title":"基于乳房x线摄影和磁共振成像的乳腺叶状瘤和纤维腺瘤术前鉴别的便捷模型。","authors":"Xiaowen Ma, Jinhui Li, Feixiang Hu, Yan Huang, Qin Xiao, Weijun Peng, Yajia Gu","doi":"10.21037/gs-2025-145","DOIUrl":null,"url":null,"abstract":"<p><strong>Background: </strong>Differentiation between breast phyllodes tumors (PTs) and fibroadenomas (FAs) remains a key clinical challenge, which is critical for formulating clinical treatment strategies. This study aimed to establish a fusion model based on mammography (MG) and magnetic resonance imaging (MRI) for the preoperative differentiation of PTs and FAs.</p><p><strong>Methods: </strong>The clinical data, MG images, and magnetic resonance (MR) images of patients with breast FAs treated in Fudan University Shanghai Cancer Center from October 2019 to December 2020, as well as patients with PTs treated from January 2011 to December 2020, were retrospectively collected. Univariate and multivariate logistic regression analyses were conducted to select independent factors and to construct a diagnostic model to differentiate PTs and FAs. The diagnostic performance of the model was evaluated using the receiver operating characteristic (ROC) curve, calibration curve, and decision curve analysis (DCA).</p><p><strong>Results: </strong>A total of 147 patients with FAs and 138 patients with PTs were included in this study. Patient age, maximum diameter of mass, density on MG images, lobulation on MR images, and time-intensity curve (TIC) were independent factors contributing to the differential diagnosis. Finally, the fusion model showed satisfactory discrimination [area under the curve (AUC) 0.90, 95% confidence interval (CI): 0.86-0.94] and calibration. DCA indicated good clinical benefit, as indicated by most values being within threshold probabilities.</p><p><strong>Conclusions: </strong>Breast MG and MRI findings help differentiate between FAs and PTs preoperatively. The multimodal fusion model was clinically efficacious and thus useful for accurate clinical diagnosis and treatment.</p>","PeriodicalId":12760,"journal":{"name":"Gland surgery","volume":"14 7","pages":"1306-1317"},"PeriodicalIF":1.6000,"publicationDate":"2025-07-31","publicationTypes":"Journal Article","fieldsOfStudy":null,"isOpenAccess":false,"openAccessPdf":"https://www.ncbi.nlm.nih.gov/pmc/articles/PMC12322753/pdf/","citationCount":"0","resultStr":"{\"title\":\"A convenient model based on mammography and magnetic resonance imaging for preoperative differentiation of breast phyllodes tumors and fibroadenomas.\",\"authors\":\"Xiaowen Ma, Jinhui Li, Feixiang Hu, Yan Huang, Qin Xiao, Weijun Peng, Yajia Gu\",\"doi\":\"10.21037/gs-2025-145\",\"DOIUrl\":null,\"url\":null,\"abstract\":\"<p><strong>Background: </strong>Differentiation between breast phyllodes tumors (PTs) and fibroadenomas (FAs) remains a key clinical challenge, which is critical for formulating clinical treatment strategies. This study aimed to establish a fusion model based on mammography (MG) and magnetic resonance imaging (MRI) for the preoperative differentiation of PTs and FAs.</p><p><strong>Methods: </strong>The clinical data, MG images, and magnetic resonance (MR) images of patients with breast FAs treated in Fudan University Shanghai Cancer Center from October 2019 to December 2020, as well as patients with PTs treated from January 2011 to December 2020, were retrospectively collected. Univariate and multivariate logistic regression analyses were conducted to select independent factors and to construct a diagnostic model to differentiate PTs and FAs. The diagnostic performance of the model was evaluated using the receiver operating characteristic (ROC) curve, calibration curve, and decision curve analysis (DCA).</p><p><strong>Results: </strong>A total of 147 patients with FAs and 138 patients with PTs were included in this study. Patient age, maximum diameter of mass, density on MG images, lobulation on MR images, and time-intensity curve (TIC) were independent factors contributing to the differential diagnosis. Finally, the fusion model showed satisfactory discrimination [area under the curve (AUC) 0.90, 95% confidence interval (CI): 0.86-0.94] and calibration. DCA indicated good clinical benefit, as indicated by most values being within threshold probabilities.</p><p><strong>Conclusions: </strong>Breast MG and MRI findings help differentiate between FAs and PTs preoperatively. The multimodal fusion model was clinically efficacious and thus useful for accurate clinical diagnosis and treatment.</p>\",\"PeriodicalId\":12760,\"journal\":{\"name\":\"Gland surgery\",\"volume\":\"14 7\",\"pages\":\"1306-1317\"},\"PeriodicalIF\":1.6000,\"publicationDate\":\"2025-07-31\",\"publicationTypes\":\"Journal Article\",\"fieldsOfStudy\":null,\"isOpenAccess\":false,\"openAccessPdf\":\"https://www.ncbi.nlm.nih.gov/pmc/articles/PMC12322753/pdf/\",\"citationCount\":\"0\",\"resultStr\":null,\"platform\":\"Semanticscholar\",\"paperid\":null,\"PeriodicalName\":\"Gland surgery\",\"FirstCategoryId\":\"3\",\"ListUrlMain\":\"https://doi.org/10.21037/gs-2025-145\",\"RegionNum\":3,\"RegionCategory\":\"医学\",\"ArticlePicture\":[],\"TitleCN\":null,\"AbstractTextCN\":null,\"PMCID\":null,\"EPubDate\":\"2025/7/28 0:00:00\",\"PubModel\":\"Epub\",\"JCR\":\"Q3\",\"JCRName\":\"SURGERY\",\"Score\":null,\"Total\":0}","platform":"Semanticscholar","paperid":null,"PeriodicalName":"Gland surgery","FirstCategoryId":"3","ListUrlMain":"https://doi.org/10.21037/gs-2025-145","RegionNum":3,"RegionCategory":"医学","ArticlePicture":[],"TitleCN":null,"AbstractTextCN":null,"PMCID":null,"EPubDate":"2025/7/28 0:00:00","PubModel":"Epub","JCR":"Q3","JCRName":"SURGERY","Score":null,"Total":0}
引用次数: 0

摘要

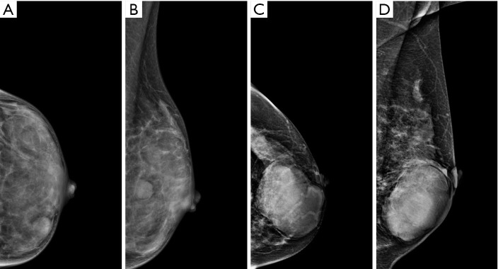
背景:乳腺叶状瘤(PTs)和纤维腺瘤(FAs)的鉴别仍然是一个关键的临床挑战,这对于制定临床治疗策略至关重要。本研究旨在建立基于乳腺x线摄影(MG)和磁共振成像(MRI)的融合模型,用于术前鉴别PTs和FAs。方法:回顾性收集2019年10月至2020年12月在复旦大学上海肿瘤中心接受乳腺FAs治疗的患者的临床资料、MG图像、磁共振(MR)图像,以及2011年1月至2020年12月接受PTs治疗的患者。采用单因素和多因素logistic回归分析,选择独立因素,建立PTs和FAs的诊断模型。采用受试者工作特征(ROC)曲线、校正曲线和决策曲线分析(DCA)对模型的诊断性能进行评价。结果:本研究共纳入147例FAs患者和138例PTs患者。患者年龄、最大肿块直径、MG图像密度、MR图像分叶、时间-强度曲线(TIC)是鉴别诊断的独立因素。最后,融合模型显示了令人满意的识别[曲线下面积(AUC) 0.90, 95%置信区间(CI): 0.86-0.94]和校准。DCA显示良好的临床效益,因为大多数值在阈值概率内。结论:术前乳腺MG和MRI检查有助于区分FAs和PTs。多模态融合模型临床有效,有助于临床准确诊断和治疗。
本文章由计算机程序翻译,如有差异,请以英文原文为准。

A convenient model based on mammography and magnetic resonance imaging for preoperative differentiation of breast phyllodes tumors and fibroadenomas.

A convenient model based on mammography and magnetic resonance imaging for preoperative differentiation of breast phyllodes tumors and fibroadenomas.

A convenient model based on mammography and magnetic resonance imaging for preoperative differentiation of breast phyllodes tumors and fibroadenomas.

A convenient model based on mammography and magnetic resonance imaging for preoperative differentiation of breast phyllodes tumors and fibroadenomas.

Background: Differentiation between breast phyllodes tumors (PTs) and fibroadenomas (FAs) remains a key clinical challenge, which is critical for formulating clinical treatment strategies. This study aimed to establish a fusion model based on mammography (MG) and magnetic resonance imaging (MRI) for the preoperative differentiation of PTs and FAs.

Methods: The clinical data, MG images, and magnetic resonance (MR) images of patients with breast FAs treated in Fudan University Shanghai Cancer Center from October 2019 to December 2020, as well as patients with PTs treated from January 2011 to December 2020, were retrospectively collected. Univariate and multivariate logistic regression analyses were conducted to select independent factors and to construct a diagnostic model to differentiate PTs and FAs. The diagnostic performance of the model was evaluated using the receiver operating characteristic (ROC) curve, calibration curve, and decision curve analysis (DCA).

Results: A total of 147 patients with FAs and 138 patients with PTs were included in this study. Patient age, maximum diameter of mass, density on MG images, lobulation on MR images, and time-intensity curve (TIC) were independent factors contributing to the differential diagnosis. Finally, the fusion model showed satisfactory discrimination [area under the curve (AUC) 0.90, 95% confidence interval (CI): 0.86-0.94] and calibration. DCA indicated good clinical benefit, as indicated by most values being within threshold probabilities.

Conclusions: Breast MG and MRI findings help differentiate between FAs and PTs preoperatively. The multimodal fusion model was clinically efficacious and thus useful for accurate clinical diagnosis and treatment.

求助全文
通过发布文献求助,成功后即可免费获取论文全文。 去求助
来源期刊
Gland surgery
Gland surgery Medicine-Surgery
CiteScore
3.60
自引率
0.00%
发文量
113
期刊介绍: Gland Surgery (Gland Surg; GS, Print ISSN 2227-684X; Online ISSN 2227-8575) being indexed by PubMed/PubMed Central, is an open access, peer-review journal launched at May of 2012, published bio-monthly since February 2015.
×
引用
GB/T 7714-2015
复制
MLA
复制
APA
复制
导出至
BibTeX EndNote RefMan NoteFirst NoteExpress
×
提示
您的信息不完整,为了账户安全,请先补充。
现在去补充
×
提示
您因"违规操作"
具体请查看互助需知
我知道了
×
提示
确定
请完成安全验证×
copy
已复制链接
快去分享给好友吧!
我知道了
右上角分享
点击右上角分享
0
联系我们:info@booksci.cn Book学术提供免费学术资源搜索服务,方便国内外学者检索中英文文献。致力于提供最便捷和优质的服务体验。 Copyright © 2023 布克学术 All rights reserved.
京ICP备2023020795号-1
ghs 京公网安备 11010802042870号
Book学术文献互助
Book学术文献互助群
群 号:604180095
Book学术官方微信