[右门静脉分支切向枪伤导致亚急性门静脉主干血栓形成:不切除肝的成功治疗]。

IF 1
Khalıg Rajabli, Serhat Kaya, İlgin Özden
{"title":"[右门静脉分支切向枪伤导致亚急性门静脉主干血栓形成:不切除肝的成功治疗]。","authors":"Khalıg Rajabli, Serhat Kaya, İlgin Özden","doi":"10.14744/tjtes.2025.25855","DOIUrl":null,"url":null,"abstract":"<p><p>This report describes the successful treatment (without hepatectomy) of a patient who underwent laparotomy and bullet removal for a gunshot injury to the liver at another institution. The patient was later referred for hemobilia and was found to have an un-recognized tangential injury to the right portal vein branch, resulting in portal vein thrombosis, diagnosed on the twelfth day after injury. The patient subsequently developed severe cholangitis. Hepatic arteriography did not identify the source of hemobilia. Fol-lowing thrombectomy of the main portal vein and its left branch, along with portal vein repair, bilateral external biliary drainage from the common hepatic duct was performed. Hemobilia ceased after portal revascularization. A low-volume biliary fistula developed in the early postoperative period but resolved within 17 days with gradual removal of abdominal drains. The patient experienced no further complications during six months of follow-up. Standard biochemical blood tests remained within normal limits, except for slightly elevated alkaline phosphatase (167 U/L: 40-129) and gamma-glutamyl transpeptidase (100 U/L: 8-61) levels. Follow-up contrast-enhanced computed tomography scans on postoperative day 10 and at six months confirmed patency of the main portal vein and its left branch. Additionally, right lobe atrophy and left lobe hypertrophy were observed. In conclusion, applying principles from elective hepatopancreatobiliary surgery to trauma care, and avoiding major hepatectomy in the setting of severe cholangitis, played a crucial role in achieving a successful outcome.</p>","PeriodicalId":94263,"journal":{"name":"Ulusal travma ve acil cerrahi dergisi = Turkish journal of trauma & emergency surgery : TJTES","volume":"31 8","pages":"813-818"},"PeriodicalIF":1.0000,"publicationDate":"2025-08-01","publicationTypes":"Journal Article","fieldsOfStudy":null,"isOpenAccess":false,"openAccessPdf":"https://www.ncbi.nlm.nih.gov/pmc/articles/PMC12363145/pdf/","citationCount":"0","resultStr":"{\"title\":\"Tangential gunshot injury of the right portal vein branch resulting in subacute main portal vein thrombosis: Successful treatment without hepatectomy\",\"authors\":\"Khalıg Rajabli, Serhat Kaya, İlgin Özden\",\"doi\":\"10.14744/tjtes.2025.25855\",\"DOIUrl\":null,\"url\":null,\"abstract\":\"<p><p>This report describes the successful treatment (without hepatectomy) of a patient who underwent laparotomy and bullet removal for a gunshot injury to the liver at another institution. The patient was later referred for hemobilia and was found to have an un-recognized tangential injury to the right portal vein branch, resulting in portal vein thrombosis, diagnosed on the twelfth day after injury. The patient subsequently developed severe cholangitis. Hepatic arteriography did not identify the source of hemobilia. Fol-lowing thrombectomy of the main portal vein and its left branch, along with portal vein repair, bilateral external biliary drainage from the common hepatic duct was performed. Hemobilia ceased after portal revascularization. A low-volume biliary fistula developed in the early postoperative period but resolved within 17 days with gradual removal of abdominal drains. The patient experienced no further complications during six months of follow-up. Standard biochemical blood tests remained within normal limits, except for slightly elevated alkaline phosphatase (167 U/L: 40-129) and gamma-glutamyl transpeptidase (100 U/L: 8-61) levels. Follow-up contrast-enhanced computed tomography scans on postoperative day 10 and at six months confirmed patency of the main portal vein and its left branch. Additionally, right lobe atrophy and left lobe hypertrophy were observed. In conclusion, applying principles from elective hepatopancreatobiliary surgery to trauma care, and avoiding major hepatectomy in the setting of severe cholangitis, played a crucial role in achieving a successful outcome.</p>\",\"PeriodicalId\":94263,\"journal\":{\"name\":\"Ulusal travma ve acil cerrahi dergisi = Turkish journal of trauma & emergency surgery : TJTES\",\"volume\":\"31 8\",\"pages\":\"813-818\"},\"PeriodicalIF\":1.0000,\"publicationDate\":\"2025-08-01\",\"publicationTypes\":\"Journal Article\",\"fieldsOfStudy\":null,\"isOpenAccess\":false,\"openAccessPdf\":\"https://www.ncbi.nlm.nih.gov/pmc/articles/PMC12363145/pdf/\",\"citationCount\":\"0\",\"resultStr\":null,\"platform\":\"Semanticscholar\",\"paperid\":null,\"PeriodicalName\":\"Ulusal travma ve acil cerrahi dergisi = Turkish journal of trauma & emergency surgery : TJTES\",\"FirstCategoryId\":\"1085\",\"ListUrlMain\":\"https://doi.org/10.14744/tjtes.2025.25855\",\"RegionNum\":0,\"RegionCategory\":null,\"ArticlePicture\":[],\"TitleCN\":null,\"AbstractTextCN\":null,\"PMCID\":null,\"EPubDate\":\"\",\"PubModel\":\"\",\"JCR\":\"\",\"JCRName\":\"\",\"Score\":null,\"Total\":0}","platform":"Semanticscholar","paperid":null,"PeriodicalName":"Ulusal travma ve acil cerrahi dergisi = Turkish journal of trauma & emergency surgery : TJTES","FirstCategoryId":"1085","ListUrlMain":"https://doi.org/10.14744/tjtes.2025.25855","RegionNum":0,"RegionCategory":null,"ArticlePicture":[],"TitleCN":null,"AbstractTextCN":null,"PMCID":null,"EPubDate":"","PubModel":"","JCR":"","JCRName":"","Score":null,"Total":0}
引用次数: 0

摘要

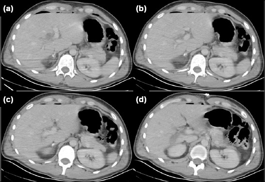
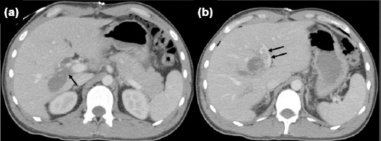
本报告描述了在另一机构成功治疗(不切除肝脏)的病人,他接受了剖腹手术和取出子弹,以治疗肝脏枪伤。患者后来转诊胆血,发现右门静脉分支有未被识别的切向损伤,导致门静脉血栓形成,损伤后第12天确诊。患者随后发展为严重的胆管炎。肝动脉造影未发现胆道出血的来源。门静脉主干及其左支取栓,修复门静脉后,行双侧肝总管外胆道引流。门脉血运重建术后胆血停止。术后早期出现小容量胆瘘,但在17天内逐渐清除腹腔引流管。在六个月的随访中,患者没有出现进一步的并发症。标准血液生化测试保持在正常范围内,除了碱性磷酸酶(167 U/L: 40-129)和γ -谷氨酰转肽酶(100 U/L: 8-61)水平略有升高。术后第10天和6个月的随访对比增强计算机断层扫描证实门静脉主静脉及其左分支通畅。右肺叶萎缩,左肺叶肥大。综上所述,将选择性肝胆胰手术原则应用于创伤护理,避免在严重胆管炎的情况下进行大肝切除术,在取得成功的结果中发挥了至关重要的作用。
本文章由计算机程序翻译,如有差异,请以英文原文为准。

Tangential gunshot injury of the right portal vein branch resulting in subacute main portal vein thrombosis: Successful treatment without hepatectomy

Tangential gunshot injury of the right portal vein branch resulting in subacute main portal vein thrombosis: Successful treatment without hepatectomy

Tangential gunshot injury of the right portal vein branch resulting in subacute main portal vein thrombosis: Successful treatment without hepatectomy

Tangential gunshot injury of the right portal vein branch resulting in subacute main portal vein thrombosis: Successful treatment without hepatectomy

This report describes the successful treatment (without hepatectomy) of a patient who underwent laparotomy and bullet removal for a gunshot injury to the liver at another institution. The patient was later referred for hemobilia and was found to have an un-recognized tangential injury to the right portal vein branch, resulting in portal vein thrombosis, diagnosed on the twelfth day after injury. The patient subsequently developed severe cholangitis. Hepatic arteriography did not identify the source of hemobilia. Fol-lowing thrombectomy of the main portal vein and its left branch, along with portal vein repair, bilateral external biliary drainage from the common hepatic duct was performed. Hemobilia ceased after portal revascularization. A low-volume biliary fistula developed in the early postoperative period but resolved within 17 days with gradual removal of abdominal drains. The patient experienced no further complications during six months of follow-up. Standard biochemical blood tests remained within normal limits, except for slightly elevated alkaline phosphatase (167 U/L: 40-129) and gamma-glutamyl transpeptidase (100 U/L: 8-61) levels. Follow-up contrast-enhanced computed tomography scans on postoperative day 10 and at six months confirmed patency of the main portal vein and its left branch. Additionally, right lobe atrophy and left lobe hypertrophy were observed. In conclusion, applying principles from elective hepatopancreatobiliary surgery to trauma care, and avoiding major hepatectomy in the setting of severe cholangitis, played a crucial role in achieving a successful outcome.

求助全文
通过发布文献求助,成功后即可免费获取论文全文。 去求助
来源期刊
自引率
0.00%
发文量
0
×
引用
GB/T 7714-2015
复制
MLA
复制
APA
复制
导出至
BibTeX EndNote RefMan NoteFirst NoteExpress
×
提示
您的信息不完整,为了账户安全,请先补充。
现在去补充
×
提示
您因"违规操作"
具体请查看互助需知
我知道了
×
提示
确定
请完成安全验证×
copy
已复制链接
快去分享给好友吧!
我知道了
右上角分享
点击右上角分享
0
联系我们:info@booksci.cn Book学术提供免费学术资源搜索服务,方便国内外学者检索中英文文献。致力于提供最便捷和优质的服务体验。 Copyright © 2023 布克学术 All rights reserved.
京ICP备2023020795号-1
ghs 京公网安备 11010802042870号
Book学术文献互助
Book学术文献互助群
群 号:604180095
Book学术官方微信