一名血流动力学稳定的病人爆炸伤后的心内碎片:索马里一例报告。

IF 1
Tuba Betul Umit
{"title":"一名血流动力学稳定的病人爆炸伤后的心内碎片:索马里一例报告。","authors":"Tuba Betul Umit","doi":"10.14744/tjtes.2025.92267","DOIUrl":null,"url":null,"abstract":"<p><p>In conflict-affected regions such as Somalia, injuries resulting from terror-related explosions impose a substantial public health burden. Shrapnel injuries are frequently encountered and often lead to multiple trauma, with penetrating thoracic injuries among the most clinically significant. Although rare, cardiac trauma presents considerable diagnostic and therapeutic challenges for emergency physicians and trauma surgeons. While surgical intervention is typically indicated in hemodynamically unstable patients, the optimal management for retained intracardiac foreign bodies (FBs) in stable patients remains an area of clinical uncertainty. The decision between surgical removal and conservative observation is influenced by several factors, including hemodynamic stability, the presence of cardiac complications, and the characteristics of the retained object. We present a case of a hemodynamically stable patient in Somalia with a retained intracardiac shrapnel fragment following a terror-related explosion. Imaging studies, particularly transthoracic echocardiography, revealed a foreign body within the pericardial space, without evidence of tamponade or myocardial injury. Given the stable clinical course and absence of acute cardiac pathology, a non-operative strategy with close clinical and echocardiographic monitoring was adopted. The patient remained complication-free and was successfully managed. This case underscores the feasibility of conservative treatment in selected hemodynamically stable patients with intracardiac FBs and highlights the necessity of an individualized, multidisciplinary clinical approach in complex trauma scenarios.</p>","PeriodicalId":94263,"journal":{"name":"Ulusal travma ve acil cerrahi dergisi = Turkish journal of trauma & emergency surgery : TJTES","volume":"31 8","pages":"819-821"},"PeriodicalIF":1.0000,"publicationDate":"2025-08-01","publicationTypes":"Journal Article","fieldsOfStudy":null,"isOpenAccess":false,"openAccessPdf":"https://www.ncbi.nlm.nih.gov/pmc/articles/PMC12363151/pdf/","citationCount":"0","resultStr":"{\"title\":\"Intracardiac shrapnel fragment after blast injury in a hemodynamically stable patient: a case report from Somalia.\",\"authors\":\"Tuba Betul Umit\",\"doi\":\"10.14744/tjtes.2025.92267\",\"DOIUrl\":null,\"url\":null,\"abstract\":\"<p><p>In conflict-affected regions such as Somalia, injuries resulting from terror-related explosions impose a substantial public health burden. Shrapnel injuries are frequently encountered and often lead to multiple trauma, with penetrating thoracic injuries among the most clinically significant. Although rare, cardiac trauma presents considerable diagnostic and therapeutic challenges for emergency physicians and trauma surgeons. While surgical intervention is typically indicated in hemodynamically unstable patients, the optimal management for retained intracardiac foreign bodies (FBs) in stable patients remains an area of clinical uncertainty. The decision between surgical removal and conservative observation is influenced by several factors, including hemodynamic stability, the presence of cardiac complications, and the characteristics of the retained object. We present a case of a hemodynamically stable patient in Somalia with a retained intracardiac shrapnel fragment following a terror-related explosion. Imaging studies, particularly transthoracic echocardiography, revealed a foreign body within the pericardial space, without evidence of tamponade or myocardial injury. Given the stable clinical course and absence of acute cardiac pathology, a non-operative strategy with close clinical and echocardiographic monitoring was adopted. The patient remained complication-free and was successfully managed. This case underscores the feasibility of conservative treatment in selected hemodynamically stable patients with intracardiac FBs and highlights the necessity of an individualized, multidisciplinary clinical approach in complex trauma scenarios.</p>\",\"PeriodicalId\":94263,\"journal\":{\"name\":\"Ulusal travma ve acil cerrahi dergisi = Turkish journal of trauma & emergency surgery : TJTES\",\"volume\":\"31 8\",\"pages\":\"819-821\"},\"PeriodicalIF\":1.0000,\"publicationDate\":\"2025-08-01\",\"publicationTypes\":\"Journal Article\",\"fieldsOfStudy\":null,\"isOpenAccess\":false,\"openAccessPdf\":\"https://www.ncbi.nlm.nih.gov/pmc/articles/PMC12363151/pdf/\",\"citationCount\":\"0\",\"resultStr\":null,\"platform\":\"Semanticscholar\",\"paperid\":null,\"PeriodicalName\":\"Ulusal travma ve acil cerrahi dergisi = Turkish journal of trauma & emergency surgery : TJTES\",\"FirstCategoryId\":\"1085\",\"ListUrlMain\":\"https://doi.org/10.14744/tjtes.2025.92267\",\"RegionNum\":0,\"RegionCategory\":null,\"ArticlePicture\":[],\"TitleCN\":null,\"AbstractTextCN\":null,\"PMCID\":null,\"EPubDate\":\"\",\"PubModel\":\"\",\"JCR\":\"\",\"JCRName\":\"\",\"Score\":null,\"Total\":0}","platform":"Semanticscholar","paperid":null,"PeriodicalName":"Ulusal travma ve acil cerrahi dergisi = Turkish journal of trauma & emergency surgery : TJTES","FirstCategoryId":"1085","ListUrlMain":"https://doi.org/10.14744/tjtes.2025.92267","RegionNum":0,"RegionCategory":null,"ArticlePicture":[],"TitleCN":null,"AbstractTextCN":null,"PMCID":null,"EPubDate":"","PubModel":"","JCR":"","JCRName":"","Score":null,"Total":0}
引用次数: 0

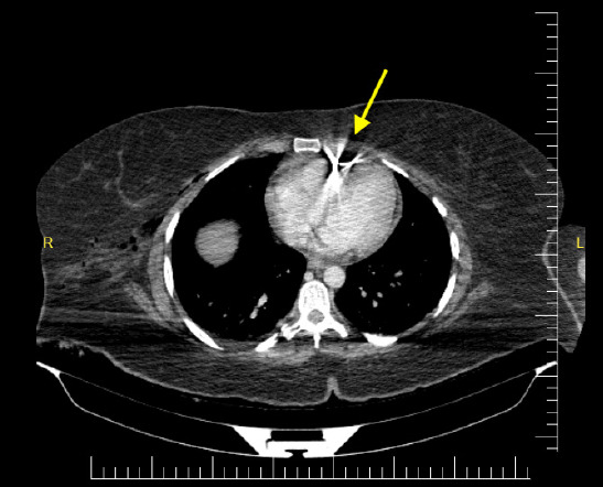
摘要

在索马里等受冲突影响的地区,与恐怖主义有关的爆炸造成的伤害给公共卫生造成了沉重负担。弹片损伤是常见的,通常会导致多重创伤,其中穿透性胸部损伤是最具临床意义的。心脏创伤虽然罕见,但对急诊医生和创伤外科医生提出了相当大的诊断和治疗挑战。虽然手术干预通常适用于血流动力学不稳定的患者,但对于稳定患者的心脏内异物(FBs)的最佳处理仍然是临床不确定的领域。手术切除和保守观察的决定受几个因素的影响,包括血流动力学稳定性、心脏并发症的存在和保留物体的特征。我们提出了一个病例的血流动力学稳定的病人在索马里与恐怖有关的爆炸后保留心内碎片碎片。影像学检查,特别是经胸超声心动图,显示心包间隙内有异物,无心包填塞或心肌损伤的证据。鉴于患者临床病程稳定,无急性心脏病理,采用非手术策略,密切临床和超声心动图监测。患者无并发症,治疗成功。本病例强调了对血流动力学稳定的心内FBs患者进行保守治疗的可行性,并强调了在复杂创伤情况下采用个性化、多学科临床方法的必要性。
本文章由计算机程序翻译,如有差异,请以英文原文为准。

Intracardiac shrapnel fragment after blast injury in a hemodynamically stable patient: a case report from Somalia.

Intracardiac shrapnel fragment after blast injury in a hemodynamically stable patient: a case report from Somalia.

In conflict-affected regions such as Somalia, injuries resulting from terror-related explosions impose a substantial public health burden. Shrapnel injuries are frequently encountered and often lead to multiple trauma, with penetrating thoracic injuries among the most clinically significant. Although rare, cardiac trauma presents considerable diagnostic and therapeutic challenges for emergency physicians and trauma surgeons. While surgical intervention is typically indicated in hemodynamically unstable patients, the optimal management for retained intracardiac foreign bodies (FBs) in stable patients remains an area of clinical uncertainty. The decision between surgical removal and conservative observation is influenced by several factors, including hemodynamic stability, the presence of cardiac complications, and the characteristics of the retained object. We present a case of a hemodynamically stable patient in Somalia with a retained intracardiac shrapnel fragment following a terror-related explosion. Imaging studies, particularly transthoracic echocardiography, revealed a foreign body within the pericardial space, without evidence of tamponade or myocardial injury. Given the stable clinical course and absence of acute cardiac pathology, a non-operative strategy with close clinical and echocardiographic monitoring was adopted. The patient remained complication-free and was successfully managed. This case underscores the feasibility of conservative treatment in selected hemodynamically stable patients with intracardiac FBs and highlights the necessity of an individualized, multidisciplinary clinical approach in complex trauma scenarios.

求助全文
通过发布文献求助,成功后即可免费获取论文全文。 去求助
来源期刊
自引率
0.00%
发文量
0
×
引用
GB/T 7714-2015
复制
MLA
复制
APA
复制
导出至
BibTeX EndNote RefMan NoteFirst NoteExpress
×
提示
您的信息不完整,为了账户安全,请先补充。
现在去补充
×
提示
您因"违规操作"
具体请查看互助需知
我知道了
×
提示
确定
请完成安全验证×
copy
已复制链接
快去分享给好友吧!
我知道了
右上角分享
点击右上角分享
0
联系我们:info@booksci.cn Book学术提供免费学术资源搜索服务,方便国内外学者检索中英文文献。致力于提供最便捷和优质的服务体验。 Copyright © 2023 布克学术 All rights reserved.
京ICP备2023020795号-1
ghs 京公网安备 11010802042870号
Book学术文献互助
Book学术文献互助群
群 号:604180095
Book学术官方微信