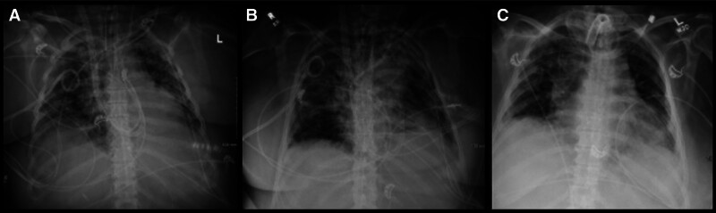
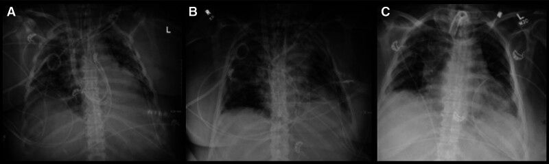
体外膜氧合治疗难治性肺内出血手术止血的新应用。

IF 2.7 Q4 Medicine
Critical care explorations Pub Date : 2025-08-06 eCollection Date: 2025-08-01 DOI:10.1097/CCE.0000000000001301
Syed H Haq, Riley Pulver, Hoshimjon Begmatov, Candace Downing, Amanda Laird, Sandeep M Patel, Sreenivasa Chanamolu, William Cole
{"title":"体外膜氧合治疗难治性肺内出血手术止血的新应用。","authors":"Syed H Haq, Riley Pulver, Hoshimjon Begmatov, Candace Downing, Amanda Laird, Sandeep M Patel, Sreenivasa Chanamolu, William Cole","doi":"10.1097/CCE.0000000000001301","DOIUrl":null,"url":null,"abstract":"<p><strong>Background: </strong>Intrapulmonary hemorrhage (IPH) is a life-threatening condition associated with specific risk factors including prolonged mechanical ventilation, therapeutic anticoagulation, and notably, mechanical circulatory support (MCS). MCS creates a constellation of conditions that predispose patients to IPH. Given the need for systemic anticoagulation and concomitant critical illness, managing IPH can be challenging. Consequently, extracorporeal membrane oxygenation (ECMO) is accompanied by an increased mortality rate.</p><p><strong>Case summary: </strong>We present a case of a patient on ECMO complicated by severe intrapulmonary bleeding refractory to conventional therapies, but responded to the novel application of Surgiflo (a hemostatic matrix) to achieve hemostasis.</p><p><strong>Conclusions: </strong>Endobronchial application of Surgiflo provides a viable option to manage refractory IPH.</p>","PeriodicalId":93957,"journal":{"name":"Critical care explorations","volume":"7 8","pages":"e1301"},"PeriodicalIF":2.7000,"publicationDate":"2025-08-06","publicationTypes":"Journal Article","fieldsOfStudy":null,"isOpenAccess":false,"openAccessPdf":"https://www.ncbi.nlm.nih.gov/pmc/articles/PMC12330348/pdf/","citationCount":"0","resultStr":"{\"title\":\"The Novel Application of Surgiflo and Successful Hemostasis of Refractory Intrapulmonary Hemorrhage in Extracorporeal Membrane Oxygenation.\",\"authors\":\"Syed H Haq, Riley Pulver, Hoshimjon Begmatov, Candace Downing, Amanda Laird, Sandeep M Patel, Sreenivasa Chanamolu, William Cole\",\"doi\":\"10.1097/CCE.0000000000001301\",\"DOIUrl\":null,\"url\":null,\"abstract\":\"<p><strong>Background: </strong>Intrapulmonary hemorrhage (IPH) is a life-threatening condition associated with specific risk factors including prolonged mechanical ventilation, therapeutic anticoagulation, and notably, mechanical circulatory support (MCS). MCS creates a constellation of conditions that predispose patients to IPH. Given the need for systemic anticoagulation and concomitant critical illness, managing IPH can be challenging. Consequently, extracorporeal membrane oxygenation (ECMO) is accompanied by an increased mortality rate.</p><p><strong>Case summary: </strong>We present a case of a patient on ECMO complicated by severe intrapulmonary bleeding refractory to conventional therapies, but responded to the novel application of Surgiflo (a hemostatic matrix) to achieve hemostasis.</p><p><strong>Conclusions: </strong>Endobronchial application of Surgiflo provides a viable option to manage refractory IPH.</p>\",\"PeriodicalId\":93957,\"journal\":{\"name\":\"Critical care explorations\",\"volume\":\"7 8\",\"pages\":\"e1301\"},\"PeriodicalIF\":2.7000,\"publicationDate\":\"2025-08-06\",\"publicationTypes\":\"Journal Article\",\"fieldsOfStudy\":null,\"isOpenAccess\":false,\"openAccessPdf\":\"https://www.ncbi.nlm.nih.gov/pmc/articles/PMC12330348/pdf/\",\"citationCount\":\"0\",\"resultStr\":null,\"platform\":\"Semanticscholar\",\"paperid\":null,\"PeriodicalName\":\"Critical care explorations\",\"FirstCategoryId\":\"1085\",\"ListUrlMain\":\"https://doi.org/10.1097/CCE.0000000000001301\",\"RegionNum\":0,\"RegionCategory\":null,\"ArticlePicture\":[],\"TitleCN\":null,\"AbstractTextCN\":null,\"PMCID\":null,\"EPubDate\":\"2025/8/1 0:00:00\",\"PubModel\":\"eCollection\",\"JCR\":\"Q4\",\"JCRName\":\"Medicine\",\"Score\":null,\"Total\":0}","platform":"Semanticscholar","paperid":null,"PeriodicalName":"Critical care explorations","FirstCategoryId":"1085","ListUrlMain":"https://doi.org/10.1097/CCE.0000000000001301","RegionNum":0,"RegionCategory":null,"ArticlePicture":[],"TitleCN":null,"AbstractTextCN":null,"PMCID":null,"EPubDate":"2025/8/1 0:00:00","PubModel":"eCollection","JCR":"Q4","JCRName":"Medicine","Score":null,"Total":0}
引用次数: 0

摘要

背景:肺内出血(IPH)是一种危及生命的疾病,与特定的危险因素相关,包括延长机械通气、治疗性抗凝,尤其是机械循环支持(MCS)。MCS产生了一系列使患者易患IPH的条件。考虑到需要全身性抗凝和伴随的危重疾病,管理IPH可能具有挑战性。因此,体外膜氧合(ECMO)伴随着死亡率的增加。病例总结:我们报告了一例在ECMO下合并严重肺内出血的患者,常规治疗难治性,但对Surgiflo(一种止血基质)的新应用有反应。结论:支气管内应用Surgiflo为治疗难治性IPH提供了一个可行的选择。
本文章由计算机程序翻译,如有差异,请以英文原文为准。

The Novel Application of Surgiflo and Successful Hemostasis of Refractory Intrapulmonary Hemorrhage in Extracorporeal Membrane Oxygenation.

The Novel Application of Surgiflo and Successful Hemostasis of Refractory Intrapulmonary Hemorrhage in Extracorporeal Membrane Oxygenation.

The Novel Application of Surgiflo and Successful Hemostasis of Refractory Intrapulmonary Hemorrhage in Extracorporeal Membrane Oxygenation.

The Novel Application of Surgiflo and Successful Hemostasis of Refractory Intrapulmonary Hemorrhage in Extracorporeal Membrane Oxygenation.

The Novel Application of Surgiflo and Successful Hemostasis of Refractory Intrapulmonary Hemorrhage in Extracorporeal Membrane Oxygenation.

The Novel Application of Surgiflo and Successful Hemostasis of Refractory Intrapulmonary Hemorrhage in Extracorporeal Membrane Oxygenation.

The Novel Application of Surgiflo and Successful Hemostasis of Refractory Intrapulmonary Hemorrhage in Extracorporeal Membrane Oxygenation.

Background: Intrapulmonary hemorrhage (IPH) is a life-threatening condition associated with specific risk factors including prolonged mechanical ventilation, therapeutic anticoagulation, and notably, mechanical circulatory support (MCS). MCS creates a constellation of conditions that predispose patients to IPH. Given the need for systemic anticoagulation and concomitant critical illness, managing IPH can be challenging. Consequently, extracorporeal membrane oxygenation (ECMO) is accompanied by an increased mortality rate.

Case summary: We present a case of a patient on ECMO complicated by severe intrapulmonary bleeding refractory to conventional therapies, but responded to the novel application of Surgiflo (a hemostatic matrix) to achieve hemostasis.

Conclusions: Endobronchial application of Surgiflo provides a viable option to manage refractory IPH.

求助全文
通过发布文献求助,成功后即可免费获取论文全文。 去求助
来源期刊
CiteScore
5.70
自引率
0.00%
发文量
0
审稿时长
8 weeks
×
引用
GB/T 7714-2015
复制
MLA
复制
APA
复制
导出至
BibTeX EndNote RefMan NoteFirst NoteExpress
×
提示
您的信息不完整,为了账户安全,请先补充。
现在去补充
×
提示
您因"违规操作"
具体请查看互助需知
我知道了
×
提示
确定
请完成安全验证×
copy
已复制链接
快去分享给好友吧!
我知道了
右上角分享
点击右上角分享
0
联系我们:info@booksci.cn Book学术提供免费学术资源搜索服务,方便国内外学者检索中英文文献。致力于提供最便捷和优质的服务体验。 Copyright © 2023 布克学术 All rights reserved.
京ICP备2023020795号-1
ghs 京公网安备 11010802042870号
Book学术文献互助
Book学术文献互助群
群 号:604180095
Book学术官方微信