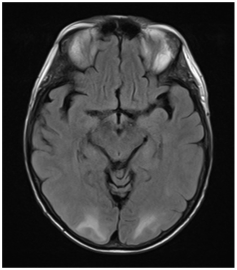
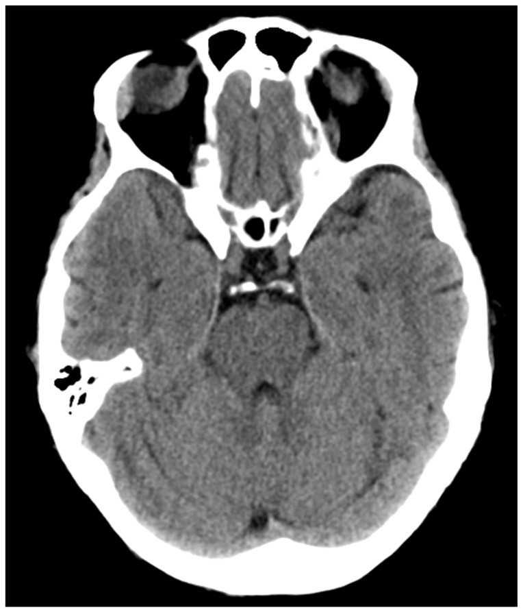
后部可逆性脑病综合征和子痫。

Journal of education & teaching in emergency medicine Pub Date : 2025-07-31 eCollection Date: 2025-07-01 DOI:10.21980/J8H64T
Kristina Jacomino, Kevin Tomecsek, Andrew Little, Mary Mclean
{"title":"后部可逆性脑病综合征和子痫。","authors":"Kristina Jacomino, Kevin Tomecsek, Andrew Little, Mary Mclean","doi":"10.21980/J8H64T","DOIUrl":null,"url":null,"abstract":"<p><strong>Audience: </strong>Emergency medicine residents, fellows, and recent graduates. Emergency medicine-bound senior medical students.</p><p><strong>Introduction: </strong>Posterior reversible encephalopathy syndrome (PRES) is an illness in which a person can present with acutely altered mentation, drowsiness or sometimes stupor, visual impairment, seizures (focal or general tonic-clonic), and sudden or constant, non-localized headaches.1 Patients at risk for developing PRES include those with underlying hypertension, preeclampsia, kidney disease, liver disease, exposure to cytotoxic medications or immunosuppressants, autoimmune disorders or sepsis. As a syndrome, PRES has gone underdiagnosed given its broad symptomatology. While it appears to affect people of all ages, it is more commonly found in middle-aged females. The underlying cause for PRES remains unclear, but some proposed mechanisms center on the dysregulation of cerebral autoregulation, the brain's ability to maintain constant cerebral blood flow over a range of blood pressures via the constriction or dilation of the cerebral blood vessels.2 The treatment for PRES includes management of hypertension as well as diagnosing and treating the underlying etiology. This disease process needs to be recognized early by the emergency provider to reduce mortality.Eclampsia and other hypertensive disorders in women affect as many as 10% of all pregnancies worldwide and are responsible for approximately 10% of all maternal deaths in the United States.3 Eclampsia is defined as new onset seizures in a woman with a history of preeclampsia who is between 20 weeks gestation and within four weeks postpartum.4 As an emergency medicine provider, it is imperative to be able to manage and treat a patient with eclampsia to decrease mortality and morbidity of the mother and fetus. Management of eclampsia includes treatment for seizures using magnesium sulfate, treatment for hypertension, and emergent obstetrics consult for possible delivery of the fetus.4.</p><p><strong>Educational objectives: </strong>At the end of this oral boards session, examinees will be able to: 1) demonstrate familiarity with the structured interview oral board format and case play; 2) recognize the history and exam features concerning for PRES and eclampsia; 3) order appropriate diagnostic workup for postpartum and hypertensive emergencies including eclampsia and PRES; 4) understand treatment options for the management of eclampsia (intravenous [IV] magnesium sulfate, IV antihypertensive therapy, and emergent consultation with an obstetrician [OB/GYN]); 5) understand threshold for taking control of airway in patients with eclampsia; 6) understand indications for ordering brain imaging in patients with eclampsia and altered mental status; and 7) demonstrate effective communication with treatment team/family members as well as correct disposition of the patient to a higher level of care (intensive care unit [ICU]).</p><p><strong>Educational methods: </strong>An oral board exam-style structured interview (SI) case format was used. This allowed the learner to delve into the case in a methodical way while laying out their thought processes to better assess their medical knowledge. The case was administered as part of a multi-institution virtual Mock Oral Boards Day. Case material and instructions were distributed a week ahead of time to faculty examiners for preparation.</p><p><strong>Research methods: </strong>Both learners and instructors provided written feedback after case administration. Participants gave feedback on the overall difficulty and quality of the case and provided narrative feedback on the case materials. Participants also rated the perceived effectiveness level for assessing examinees on the eight stages of patient interaction.</p><p><strong>Results: </strong>Of 49 examinees and six faculty examiners, 42 and four gave feedback on the case, respectively, for an overall 84% response rate. On a Likert scale from 1 (least effective) to 5 (most effective), learners rated the case at a mean 3.9 and faculty rated the case at a mean 4.3 across the eight structured stages of patient interaction. Case difficulty was rated <i>intermediate/advanced</i> overall. On a Likert scale from 1 (lowest quality) to 5 (highest quality), learners gave a mean rating of 3.9 and faculty gave a mean rating of 4.0. Narrative comments recommended better clarifying the history, adding a point-of-care glucose to the workup, and allowing varied magnesium sulfate dosages within the recommended range for eclampsia, and these recommendations were used to improve the case. Outside of medical knowledge aspects of this feedback, there were also comments about the structured interview format being confusing in general.</p><p><strong>Discussion: </strong>The educational content was found to be effective, high-quality, and intermediate-to-advanced in difficulty by both learners and faculty. From this implementation, we discovered that learners need more instruction on magnesium dosing in severe eclampsia, and also on the likelihood of concurrent PRES. Outside of the main medical knowledge take-away lessons, we have also gained insight about lack of familiarity with the structured interview format on the part of both examinees (learners) and examiners (faculty).</p><p><strong>Topics: </strong>Posterior reversible encephalopathy syndrome, eclampsia, preeclampsia, seizures, end-organ damage, hypertensive emergency, altered mental status, neurologic emergency, obstetric emergency, peripartum emergency, postpartum emergency.</p>","PeriodicalId":73721,"journal":{"name":"Journal of education & teaching in emergency medicine","volume":"10 3","pages":"O34-O57"},"PeriodicalIF":0.0000,"publicationDate":"2025-07-31","publicationTypes":"Journal Article","fieldsOfStudy":null,"isOpenAccess":false,"openAccessPdf":"https://www.ncbi.nlm.nih.gov/pmc/articles/PMC12321001/pdf/","citationCount":"0","resultStr":"{\"title\":\"Posterior Reversible Encephalopathy Syndrome and Eclampsia.\",\"authors\":\"Kristina Jacomino, Kevin Tomecsek, Andrew Little, Mary Mclean\",\"doi\":\"10.21980/J8H64T\",\"DOIUrl\":null,\"url\":null,\"abstract\":\"<p><strong>Audience: </strong>Emergency medicine residents, fellows, and recent graduates. Emergency medicine-bound senior medical students.</p><p><strong>Introduction: </strong>Posterior reversible encephalopathy syndrome (PRES) is an illness in which a person can present with acutely altered mentation, drowsiness or sometimes stupor, visual impairment, seizures (focal or general tonic-clonic), and sudden or constant, non-localized headaches.1 Patients at risk for developing PRES include those with underlying hypertension, preeclampsia, kidney disease, liver disease, exposure to cytotoxic medications or immunosuppressants, autoimmune disorders or sepsis. As a syndrome, PRES has gone underdiagnosed given its broad symptomatology. While it appears to affect people of all ages, it is more commonly found in middle-aged females. The underlying cause for PRES remains unclear, but some proposed mechanisms center on the dysregulation of cerebral autoregulation, the brain's ability to maintain constant cerebral blood flow over a range of blood pressures via the constriction or dilation of the cerebral blood vessels.2 The treatment for PRES includes management of hypertension as well as diagnosing and treating the underlying etiology. This disease process needs to be recognized early by the emergency provider to reduce mortality.Eclampsia and other hypertensive disorders in women affect as many as 10% of all pregnancies worldwide and are responsible for approximately 10% of all maternal deaths in the United States.3 Eclampsia is defined as new onset seizures in a woman with a history of preeclampsia who is between 20 weeks gestation and within four weeks postpartum.4 As an emergency medicine provider, it is imperative to be able to manage and treat a patient with eclampsia to decrease mortality and morbidity of the mother and fetus. Management of eclampsia includes treatment for seizures using magnesium sulfate, treatment for hypertension, and emergent obstetrics consult for possible delivery of the fetus.4.</p><p><strong>Educational objectives: </strong>At the end of this oral boards session, examinees will be able to: 1) demonstrate familiarity with the structured interview oral board format and case play; 2) recognize the history and exam features concerning for PRES and eclampsia; 3) order appropriate diagnostic workup for postpartum and hypertensive emergencies including eclampsia and PRES; 4) understand treatment options for the management of eclampsia (intravenous [IV] magnesium sulfate, IV antihypertensive therapy, and emergent consultation with an obstetrician [OB/GYN]); 5) understand threshold for taking control of airway in patients with eclampsia; 6) understand indications for ordering brain imaging in patients with eclampsia and altered mental status; and 7) demonstrate effective communication with treatment team/family members as well as correct disposition of the patient to a higher level of care (intensive care unit [ICU]).</p><p><strong>Educational methods: </strong>An oral board exam-style structured interview (SI) case format was used. This allowed the learner to delve into the case in a methodical way while laying out their thought processes to better assess their medical knowledge. The case was administered as part of a multi-institution virtual Mock Oral Boards Day. Case material and instructions were distributed a week ahead of time to faculty examiners for preparation.</p><p><strong>Research methods: </strong>Both learners and instructors provided written feedback after case administration. Participants gave feedback on the overall difficulty and quality of the case and provided narrative feedback on the case materials. Participants also rated the perceived effectiveness level for assessing examinees on the eight stages of patient interaction.</p><p><strong>Results: </strong>Of 49 examinees and six faculty examiners, 42 and four gave feedback on the case, respectively, for an overall 84% response rate. On a Likert scale from 1 (least effective) to 5 (most effective), learners rated the case at a mean 3.9 and faculty rated the case at a mean 4.3 across the eight structured stages of patient interaction. Case difficulty was rated <i>intermediate/advanced</i> overall. On a Likert scale from 1 (lowest quality) to 5 (highest quality), learners gave a mean rating of 3.9 and faculty gave a mean rating of 4.0. Narrative comments recommended better clarifying the history, adding a point-of-care glucose to the workup, and allowing varied magnesium sulfate dosages within the recommended range for eclampsia, and these recommendations were used to improve the case. Outside of medical knowledge aspects of this feedback, there were also comments about the structured interview format being confusing in general.</p><p><strong>Discussion: </strong>The educational content was found to be effective, high-quality, and intermediate-to-advanced in difficulty by both learners and faculty. From this implementation, we discovered that learners need more instruction on magnesium dosing in severe eclampsia, and also on the likelihood of concurrent PRES. Outside of the main medical knowledge take-away lessons, we have also gained insight about lack of familiarity with the structured interview format on the part of both examinees (learners) and examiners (faculty).</p><p><strong>Topics: </strong>Posterior reversible encephalopathy syndrome, eclampsia, preeclampsia, seizures, end-organ damage, hypertensive emergency, altered mental status, neurologic emergency, obstetric emergency, peripartum emergency, postpartum emergency.</p>\",\"PeriodicalId\":73721,\"journal\":{\"name\":\"Journal of education & teaching in emergency medicine\",\"volume\":\"10 3\",\"pages\":\"O34-O57\"},\"PeriodicalIF\":0.0000,\"publicationDate\":\"2025-07-31\",\"publicationTypes\":\"Journal Article\",\"fieldsOfStudy\":null,\"isOpenAccess\":false,\"openAccessPdf\":\"https://www.ncbi.nlm.nih.gov/pmc/articles/PMC12321001/pdf/\",\"citationCount\":\"0\",\"resultStr\":null,\"platform\":\"Semanticscholar\",\"paperid\":null,\"PeriodicalName\":\"Journal of education & teaching in emergency medicine\",\"FirstCategoryId\":\"1085\",\"ListUrlMain\":\"https://doi.org/10.21980/J8H64T\",\"RegionNum\":0,\"RegionCategory\":null,\"ArticlePicture\":[],\"TitleCN\":null,\"AbstractTextCN\":null,\"PMCID\":null,\"EPubDate\":\"2025/7/1 0:00:00\",\"PubModel\":\"eCollection\",\"JCR\":\"\",\"JCRName\":\"\",\"Score\":null,\"Total\":0}","platform":"Semanticscholar","paperid":null,"PeriodicalName":"Journal of education & teaching in emergency medicine","FirstCategoryId":"1085","ListUrlMain":"https://doi.org/10.21980/J8H64T","RegionNum":0,"RegionCategory":null,"ArticlePicture":[],"TitleCN":null,"AbstractTextCN":null,"PMCID":null,"EPubDate":"2025/7/1 0:00:00","PubModel":"eCollection","JCR":"","JCRName":"","Score":null,"Total":0}
引用次数: 0

摘要

听众:急诊医师,研究员,和刚毕业的学生。急诊医学方向的高年级医学生。后路可逆性脑病综合征(PRES)是一种患者可表现为急性精神状态改变、嗜睡或有时昏迷、视力障碍、癫痫发作(局灶性或全身性强直-阵挛)和突发性或持续性非局限性头痛的疾病有发生PRES风险的患者包括那些有潜在高血压、先兆子痫、肾脏疾病、肝脏疾病、暴露于细胞毒性药物或免疫抑制剂、自身免疫性疾病或败血症的患者。作为一种综合征,由于其广泛的症状,PRES一直未得到充分诊断。虽然它似乎影响所有年龄段的人,但它更常见于中年女性。PRES的潜在原因尚不清楚,但一些提出的机制集中在大脑自动调节的失调上,大脑通过脑血管的收缩或扩张在一定血压范围内维持恒定脑血流量的能力PRES的治疗包括高血压的管理以及诊断和治疗潜在的病因。这种疾病过程需要及早被急救人员发现,以降低死亡率。子痫和其他高血压疾病影响了全世界10%的孕妇,在美国,大约10%的产妇死亡是由子痫和其他高血压疾病造成的。子痫是指在妊娠20周至产后4周内有子痫前期病史的妇女新发作的癫痫发作作为一名急诊医学提供者,必须能够管理和治疗子痫患者,以降低母亲和胎儿的死亡率和发病率。子痫的处理包括使用硫酸镁治疗癫痫发作,高血压治疗,以及可能分娩胎儿的紧急产科咨询。教育目标:在口试结束时,考生将能够:1)表现出对结构化面试口试形式和案例游戏的熟悉程度;2)了解PRES和子痫的病史和检查特点;3)安排适当的产后和高血压紧急情况的诊断检查,包括子痫和PRES;4)了解处理子痫的治疗方案(静脉注射[IV]硫酸镁,静脉注射降压治疗,紧急咨询产科医生[OB/GYN]);5)了解子痫患者控制气道的阈值;6)了解子痫和精神状态改变患者的脑显像适应症;7)与治疗团队/家庭成员进行有效沟通,并正确安排患者到更高级别的护理(重症监护病房[ICU])。教学方法:采用口语板考试式结构化面试(SI)案例形式。这使得学习者能够以一种系统的方式深入研究病例,同时规划他们的思维过程,以更好地评估他们的医学知识。该案例是多机构虚拟模拟口头委员会日的一部分。案例材料和说明提前一周分发给教员考官准备。研究方法:在案例管理后,学习者和教师均提供书面反馈。参与者对案例的总体难度和质量进行了反馈,并对案例材料提供了叙述性反馈。参与者还评估了在患者互动的八个阶段评估考生的感知有效性水平。结果:在49名考生和6名教师考官中,分别有42人和4人对案件进行了反馈,总体回复率为84%。在李克特量表上,从1(最无效)到5(最有效),在患者互动的八个结构化阶段,学习者对病例的平均评分为3.9,教师对病例的平均评分为4.3。案件难度总体上被评为中级/高级。在李克特量表上,从1(最低质量)到5(最高质量),学习者的平均评分为3.9,教师的平均评分为4.0。叙述性评论建议更好地澄清病史,在检查中增加即时血糖,并允许在子痫推荐范围内使用不同的硫酸镁剂量,这些建议被用于改善病例。除了医学知识方面的反馈外,也有人评论说结构化的面试形式总体上令人困惑。讨论:学习者和教师都认为教学内容有效,质量高,难度中高级。从这个实施中,我们发现学习者需要更多关于重度子痫镁剂量的指导,以及并发PRES的可能性。 除了主要的医学知识外带课程,我们还了解到考生(学习者)和考官(教师)对结构化面试形式缺乏熟悉。主题:后路可逆性脑病综合征,子痫,先兆子痫,癫痫发作,终末器官损伤,高血压急诊,精神状态改变,神经系统急诊,产科急诊,围产期急诊,产后急诊。
本文章由计算机程序翻译,如有差异,请以英文原文为准。

Posterior Reversible Encephalopathy Syndrome and Eclampsia.

Posterior Reversible Encephalopathy Syndrome and Eclampsia.

Posterior Reversible Encephalopathy Syndrome and Eclampsia.

Audience: Emergency medicine residents, fellows, and recent graduates. Emergency medicine-bound senior medical students.

Introduction: Posterior reversible encephalopathy syndrome (PRES) is an illness in which a person can present with acutely altered mentation, drowsiness or sometimes stupor, visual impairment, seizures (focal or general tonic-clonic), and sudden or constant, non-localized headaches.1 Patients at risk for developing PRES include those with underlying hypertension, preeclampsia, kidney disease, liver disease, exposure to cytotoxic medications or immunosuppressants, autoimmune disorders or sepsis. As a syndrome, PRES has gone underdiagnosed given its broad symptomatology. While it appears to affect people of all ages, it is more commonly found in middle-aged females. The underlying cause for PRES remains unclear, but some proposed mechanisms center on the dysregulation of cerebral autoregulation, the brain's ability to maintain constant cerebral blood flow over a range of blood pressures via the constriction or dilation of the cerebral blood vessels.2 The treatment for PRES includes management of hypertension as well as diagnosing and treating the underlying etiology. This disease process needs to be recognized early by the emergency provider to reduce mortality.Eclampsia and other hypertensive disorders in women affect as many as 10% of all pregnancies worldwide and are responsible for approximately 10% of all maternal deaths in the United States.3 Eclampsia is defined as new onset seizures in a woman with a history of preeclampsia who is between 20 weeks gestation and within four weeks postpartum.4 As an emergency medicine provider, it is imperative to be able to manage and treat a patient with eclampsia to decrease mortality and morbidity of the mother and fetus. Management of eclampsia includes treatment for seizures using magnesium sulfate, treatment for hypertension, and emergent obstetrics consult for possible delivery of the fetus.4.

Educational objectives: At the end of this oral boards session, examinees will be able to: 1) demonstrate familiarity with the structured interview oral board format and case play; 2) recognize the history and exam features concerning for PRES and eclampsia; 3) order appropriate diagnostic workup for postpartum and hypertensive emergencies including eclampsia and PRES; 4) understand treatment options for the management of eclampsia (intravenous [IV] magnesium sulfate, IV antihypertensive therapy, and emergent consultation with an obstetrician [OB/GYN]); 5) understand threshold for taking control of airway in patients with eclampsia; 6) understand indications for ordering brain imaging in patients with eclampsia and altered mental status; and 7) demonstrate effective communication with treatment team/family members as well as correct disposition of the patient to a higher level of care (intensive care unit [ICU]).

Educational methods: An oral board exam-style structured interview (SI) case format was used. This allowed the learner to delve into the case in a methodical way while laying out their thought processes to better assess their medical knowledge. The case was administered as part of a multi-institution virtual Mock Oral Boards Day. Case material and instructions were distributed a week ahead of time to faculty examiners for preparation.

Research methods: Both learners and instructors provided written feedback after case administration. Participants gave feedback on the overall difficulty and quality of the case and provided narrative feedback on the case materials. Participants also rated the perceived effectiveness level for assessing examinees on the eight stages of patient interaction.

Results: Of 49 examinees and six faculty examiners, 42 and four gave feedback on the case, respectively, for an overall 84% response rate. On a Likert scale from 1 (least effective) to 5 (most effective), learners rated the case at a mean 3.9 and faculty rated the case at a mean 4.3 across the eight structured stages of patient interaction. Case difficulty was rated intermediate/advanced overall. On a Likert scale from 1 (lowest quality) to 5 (highest quality), learners gave a mean rating of 3.9 and faculty gave a mean rating of 4.0. Narrative comments recommended better clarifying the history, adding a point-of-care glucose to the workup, and allowing varied magnesium sulfate dosages within the recommended range for eclampsia, and these recommendations were used to improve the case. Outside of medical knowledge aspects of this feedback, there were also comments about the structured interview format being confusing in general.

Discussion: The educational content was found to be effective, high-quality, and intermediate-to-advanced in difficulty by both learners and faculty. From this implementation, we discovered that learners need more instruction on magnesium dosing in severe eclampsia, and also on the likelihood of concurrent PRES. Outside of the main medical knowledge take-away lessons, we have also gained insight about lack of familiarity with the structured interview format on the part of both examinees (learners) and examiners (faculty).

Topics: Posterior reversible encephalopathy syndrome, eclampsia, preeclampsia, seizures, end-organ damage, hypertensive emergency, altered mental status, neurologic emergency, obstetric emergency, peripartum emergency, postpartum emergency.

求助全文
通过发布文献求助,成功后即可免费获取论文全文。 去求助
来源期刊
自引率
0.00%
发文量
0
审稿时长
10 weeks
×
引用
GB/T 7714-2015
复制
MLA
复制
APA
复制
导出至
BibTeX EndNote RefMan NoteFirst NoteExpress
×
提示
您的信息不完整,为了账户安全,请先补充。
现在去补充
×
提示
您因"违规操作"
具体请查看互助需知
我知道了
×
提示
确定
请完成安全验证×
copy
已复制链接
快去分享给好友吧!
我知道了
右上角分享
点击右上角分享
0
联系我们:info@booksci.cn Book学术提供免费学术资源搜索服务,方便国内外学者检索中英文文献。致力于提供最便捷和优质的服务体验。 Copyright © 2023 布克学术 All rights reserved.
京ICP备2023020795号-1
ghs 京公网安备 11010802042870号
Book学术文献互助
Book学术文献互助群
群 号:604180095
Book学术官方微信