重症监护转运:妊娠期钝性多发外伤。

Journal of education & teaching in emergency medicine Pub Date : 2025-07-31 eCollection Date: 2025-07-01 DOI:10.21980/J81366
Emma Rolf, Samuel Kefer, Jennifer Quinn, Ryan Newberry, Andrew Cathers, Craig Tschautscher, Brittney Bernardoni
{"title":"重症监护转运:妊娠期钝性多发外伤。","authors":"Emma Rolf, Samuel Kefer, Jennifer Quinn, Ryan Newberry, Andrew Cathers, Craig Tschautscher, Brittney Bernardoni","doi":"10.21980/J81366","DOIUrl":null,"url":null,"abstract":"<p><strong>Audience: </strong>This simulation is designed for critical care transport nurses and attending physicians. It can also be adapted for critical care transport paramedics and respiratory therapists as well as emergency medicine nurses, residents, and attending physicians.</p><p><strong>Introduction: </strong>Emergency and trauma surgery practitioners routinely perform primary and secondary surveys as a systematic approach to trauma care. While this approach has broad applications, clinicians must also be versed in the nuances of caring for special populations in trauma. One such example is the obstetric patient. The incidence of trauma in pregnancy is increasing and is now the leading cause of non-obstetrical maternal death in the United States.1 Optimal maternal resuscitation depends on an understanding of the significant anatomic and physiologic changes of pregnancy and their influence on airway, breathing, and circulation.2,3,4This case presents a blunt polytrauma with unstable pelvic and lower extremity fractures precipitating hemorrhagic shock and the need for blood product transfusion. Learners must quickly adapt their clinical acumen and consider the influence of an obviously gravid patient on their resuscitation. Implementing and practicing the required skills allows for delivery of high-quality care. This session ensures that learners have a well-rounded understanding of scenarios that could occur in the resuscitation of a pregnant trauma patient.</p><p><strong>Educational objectives: </strong>At the completion of this simulation participants will be able to 1) perform primary and secondary trauma surveys, 2) assess the neurovascular status of a tibia/fibula fracture, 3) appreciate anatomic and physiologic differences in pregnancy, 4) appropriately order analgesia and imaging, 5) recognize and treat hemorrhagic shock, 6) perform an extended focused assessment with sonography in trauma exam (eFAST) in undifferentiated hemorrhage, 7) identify a displaced pelvic fracture and properly apply a pelvic binder, and 8) obtain and interpret fetal heart rate using ultrasound.</p><p><strong>Educational methods: </strong>This is a high-fidelity simulation portraying a 24-year-old pregnant female who requires hemodynamic resuscitation, pelvic and extremity fracture stabilization, and assessment of fetal heart rate. After completion of the simulation, learners will participate in a debrief and small group discussion that focuses on didactic knowledge and its application to patient care, crew resource management, and interprofessional communication.</p><p><strong>Research methods: </strong>Learners were required to complete a pre- and post-simulation test evaluating their knowledge of pregnant trauma patient care. The results were then compared to evaluate whether the simulation improved participants' knowledge base. Learners also completed an evaluation of the simulation case itself using a 5-point Likert scale and free response. Feedback from the first round of simulations was used to modify the simulation case prior to the second round.</p><p><strong>Results: </strong>Our simulation included 26 participants: nine attending emergency medicine/critical care transport physicians and 17 critical care transport nurses. All participants took a pre- and post-test evaluating their medical knowledge with an average score of 60% and 93.4% correct responses respectively. In addition, participants were given the opportunity to evaluate the simulation itself via an anonymous survey. All (100%) of the participants strongly agreed that the content was relevant, met educational needs, was effective, and was appropriate for professional licensure level.</p><p><strong>Discussion: </strong>This simulation, focusing on the care of a pregnant trauma patient, was well received by the learners and effectively met educational goals at an appropriate level for professional licensure. Participants demonstrated an excellent understanding of appropriate imaging evaluation/interpretation, blood product resuscitation, and use of tranexamic acid (TXA) in the pregnant trauma patient. Improvement in interpretation of fetal heart rate as well as use/application of a pelvic binder in the setting of pregnancy were seen as a result of this simulation training.</p><p><strong>Topics: </strong>Pregnant trauma, fetal heart rate, pelvic fracture, blood product transfusion, extremity fracture, critical care transport, emergency medicine simulation.</p>","PeriodicalId":73721,"journal":{"name":"Journal of education & teaching in emergency medicine","volume":"10 3","pages":"S1-S24"},"PeriodicalIF":0.0000,"publicationDate":"2025-07-31","publicationTypes":"Journal Article","fieldsOfStudy":null,"isOpenAccess":false,"openAccessPdf":"https://www.ncbi.nlm.nih.gov/pmc/articles/PMC12320994/pdf/","citationCount":"0","resultStr":"{\"title\":\"Critical Care Transport: Blunt Polytrauma in Pregnancy.\",\"authors\":\"Emma Rolf, Samuel Kefer, Jennifer Quinn, Ryan Newberry, Andrew Cathers, Craig Tschautscher, Brittney Bernardoni\",\"doi\":\"10.21980/J81366\",\"DOIUrl\":null,\"url\":null,\"abstract\":\"<p><strong>Audience: </strong>This simulation is designed for critical care transport nurses and attending physicians. It can also be adapted for critical care transport paramedics and respiratory therapists as well as emergency medicine nurses, residents, and attending physicians.</p><p><strong>Introduction: </strong>Emergency and trauma surgery practitioners routinely perform primary and secondary surveys as a systematic approach to trauma care. While this approach has broad applications, clinicians must also be versed in the nuances of caring for special populations in trauma. One such example is the obstetric patient. The incidence of trauma in pregnancy is increasing and is now the leading cause of non-obstetrical maternal death in the United States.1 Optimal maternal resuscitation depends on an understanding of the significant anatomic and physiologic changes of pregnancy and their influence on airway, breathing, and circulation.2,3,4This case presents a blunt polytrauma with unstable pelvic and lower extremity fractures precipitating hemorrhagic shock and the need for blood product transfusion. Learners must quickly adapt their clinical acumen and consider the influence of an obviously gravid patient on their resuscitation. Implementing and practicing the required skills allows for delivery of high-quality care. This session ensures that learners have a well-rounded understanding of scenarios that could occur in the resuscitation of a pregnant trauma patient.</p><p><strong>Educational objectives: </strong>At the completion of this simulation participants will be able to 1) perform primary and secondary trauma surveys, 2) assess the neurovascular status of a tibia/fibula fracture, 3) appreciate anatomic and physiologic differences in pregnancy, 4) appropriately order analgesia and imaging, 5) recognize and treat hemorrhagic shock, 6) perform an extended focused assessment with sonography in trauma exam (eFAST) in undifferentiated hemorrhage, 7) identify a displaced pelvic fracture and properly apply a pelvic binder, and 8) obtain and interpret fetal heart rate using ultrasound.</p><p><strong>Educational methods: </strong>This is a high-fidelity simulation portraying a 24-year-old pregnant female who requires hemodynamic resuscitation, pelvic and extremity fracture stabilization, and assessment of fetal heart rate. After completion of the simulation, learners will participate in a debrief and small group discussion that focuses on didactic knowledge and its application to patient care, crew resource management, and interprofessional communication.</p><p><strong>Research methods: </strong>Learners were required to complete a pre- and post-simulation test evaluating their knowledge of pregnant trauma patient care. The results were then compared to evaluate whether the simulation improved participants' knowledge base. Learners also completed an evaluation of the simulation case itself using a 5-point Likert scale and free response. Feedback from the first round of simulations was used to modify the simulation case prior to the second round.</p><p><strong>Results: </strong>Our simulation included 26 participants: nine attending emergency medicine/critical care transport physicians and 17 critical care transport nurses. All participants took a pre- and post-test evaluating their medical knowledge with an average score of 60% and 93.4% correct responses respectively. In addition, participants were given the opportunity to evaluate the simulation itself via an anonymous survey. All (100%) of the participants strongly agreed that the content was relevant, met educational needs, was effective, and was appropriate for professional licensure level.</p><p><strong>Discussion: </strong>This simulation, focusing on the care of a pregnant trauma patient, was well received by the learners and effectively met educational goals at an appropriate level for professional licensure. Participants demonstrated an excellent understanding of appropriate imaging evaluation/interpretation, blood product resuscitation, and use of tranexamic acid (TXA) in the pregnant trauma patient. Improvement in interpretation of fetal heart rate as well as use/application of a pelvic binder in the setting of pregnancy were seen as a result of this simulation training.</p><p><strong>Topics: </strong>Pregnant trauma, fetal heart rate, pelvic fracture, blood product transfusion, extremity fracture, critical care transport, emergency medicine simulation.</p>\",\"PeriodicalId\":73721,\"journal\":{\"name\":\"Journal of education & teaching in emergency medicine\",\"volume\":\"10 3\",\"pages\":\"S1-S24\"},\"PeriodicalIF\":0.0000,\"publicationDate\":\"2025-07-31\",\"publicationTypes\":\"Journal Article\",\"fieldsOfStudy\":null,\"isOpenAccess\":false,\"openAccessPdf\":\"https://www.ncbi.nlm.nih.gov/pmc/articles/PMC12320994/pdf/\",\"citationCount\":\"0\",\"resultStr\":null,\"platform\":\"Semanticscholar\",\"paperid\":null,\"PeriodicalName\":\"Journal of education & teaching in emergency medicine\",\"FirstCategoryId\":\"1085\",\"ListUrlMain\":\"https://doi.org/10.21980/J81366\",\"RegionNum\":0,\"RegionCategory\":null,\"ArticlePicture\":[],\"TitleCN\":null,\"AbstractTextCN\":null,\"PMCID\":null,\"EPubDate\":\"2025/7/1 0:00:00\",\"PubModel\":\"eCollection\",\"JCR\":\"\",\"JCRName\":\"\",\"Score\":null,\"Total\":0}","platform":"Semanticscholar","paperid":null,"PeriodicalName":"Journal of education & teaching in emergency medicine","FirstCategoryId":"1085","ListUrlMain":"https://doi.org/10.21980/J81366","RegionNum":0,"RegionCategory":null,"ArticlePicture":[],"TitleCN":null,"AbstractTextCN":null,"PMCID":null,"EPubDate":"2025/7/1 0:00:00","PubModel":"eCollection","JCR":"","JCRName":"","Score":null,"Total":0}
引用次数: 0

摘要

观众:这个模拟是为重症监护护士和主治医生设计的。它也可以适用于重症监护运输护理人员和呼吸治疗师以及急诊护士、住院医生和主治医生。简介:急诊和创伤外科医生经常进行初级和二级调查,作为创伤护理的系统方法。虽然这种方法有广泛的应用,临床医生也必须精通照顾特殊人群创伤的细微差别。产科病人就是这样一个例子。妊娠期创伤的发生率正在增加,目前已成为美国孕产妇非产科死亡的主要原因。1最佳的产妇复苏取决于对妊娠期重大解剖和生理变化及其对气道、呼吸和循环的影响的了解。2,3,4本病例表现为钝性多发创伤伴不稳定骨盆和下肢骨折,导致失血性休克,需要输血。学习者必须迅速适应他们的临床敏锐度,并考虑明显妊娠患者对复苏的影响。实施和实践所需的技能可以提供高质量的护理。本课程确保学习者对怀孕创伤患者复苏过程中可能发生的情况有全面的了解。教育目标:在模拟结束后,参与者将能够1)进行原发性和继发性创伤调查,2)评估胫骨/腓骨骨折的神经血管状态,3)了解妊娠期间的解剖和生理差异,4)适当安排镇痛和成像,5)识别和治疗失血性休克,6)在创伤检查(eFAST)中使用超声进行扩展集中评估。7)识别移位性骨盆骨折并正确使用骨盆粘合剂,8)使用超声获得并解释胎儿心率。教育方法:这是一个高保真模拟,描绘了一位24岁的孕妇,她需要血液动力学复苏,骨盆和四肢骨折稳定,并评估胎儿心率。完成模拟后,学员将参加汇报和小组讨论,重点是教学知识及其在病人护理、机组资源管理和专业间沟通方面的应用。研究方法:要求学习者完成模拟前和模拟后的测试,评估他们对怀孕创伤患者护理的知识。然后对结果进行比较,以评估模拟是否提高了参与者的知识库。学习者还使用5点李克特量表和自由反应完成了模拟案例本身的评估。在第二轮模拟之前,利用第一轮模拟的反馈来修改模拟案例。结果:我们的模拟包括26名参与者:9名急诊医学/重症监护转运医生和17名重症监护转运护士。所有被试均进行了前测和后测,平均正确率分别为60%和93.4%。此外,参与者有机会通过匿名调查来评估模拟本身。所有(100%)的参与者强烈同意,内容是相关的,满足教育需求,是有效的,是合适的专业执照水平。讨论:这个模拟,集中在一个怀孕的创伤病人的护理,受到学习者的好评,并有效地达到了教育目标的适当水平的专业执照。参与者表现出对适当的影像学评估/解释,血液制品复苏,以及在怀孕创伤患者中使用氨甲环酸(TXA)的良好理解。改善胎儿心率的解释,以及使用/应用盆腔粘合剂在怀孕的设置被视为这个模拟训练的结果。主题:妊娠创伤、胎儿心率、骨盆骨折、血液制品输血、四肢骨折、重症监护转运、急诊医学模拟。
本文章由计算机程序翻译,如有差异,请以英文原文为准。

Critical Care Transport: Blunt Polytrauma in Pregnancy.

Critical Care Transport: Blunt Polytrauma in Pregnancy.

Critical Care Transport: Blunt Polytrauma in Pregnancy.

Critical Care Transport: Blunt Polytrauma in Pregnancy.

Audience: This simulation is designed for critical care transport nurses and attending physicians. It can also be adapted for critical care transport paramedics and respiratory therapists as well as emergency medicine nurses, residents, and attending physicians.

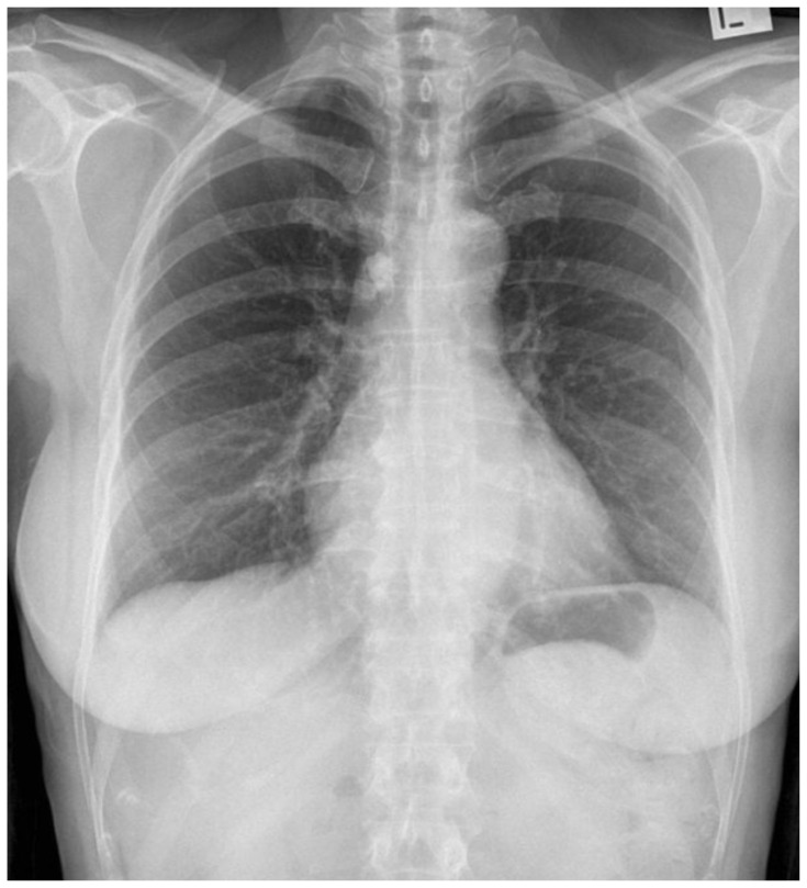
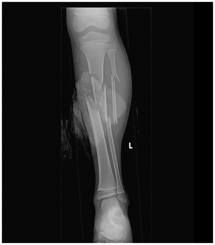
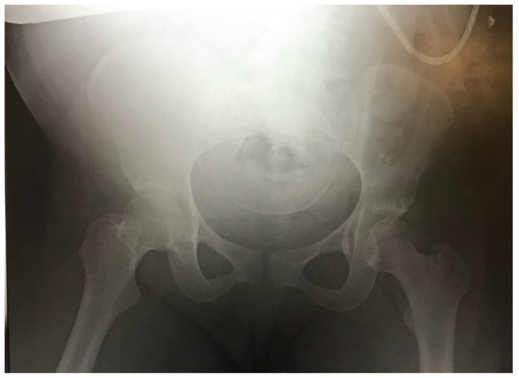
Introduction: Emergency and trauma surgery practitioners routinely perform primary and secondary surveys as a systematic approach to trauma care. While this approach has broad applications, clinicians must also be versed in the nuances of caring for special populations in trauma. One such example is the obstetric patient. The incidence of trauma in pregnancy is increasing and is now the leading cause of non-obstetrical maternal death in the United States.1 Optimal maternal resuscitation depends on an understanding of the significant anatomic and physiologic changes of pregnancy and their influence on airway, breathing, and circulation.2,3,4This case presents a blunt polytrauma with unstable pelvic and lower extremity fractures precipitating hemorrhagic shock and the need for blood product transfusion. Learners must quickly adapt their clinical acumen and consider the influence of an obviously gravid patient on their resuscitation. Implementing and practicing the required skills allows for delivery of high-quality care. This session ensures that learners have a well-rounded understanding of scenarios that could occur in the resuscitation of a pregnant trauma patient.

Educational objectives: At the completion of this simulation participants will be able to 1) perform primary and secondary trauma surveys, 2) assess the neurovascular status of a tibia/fibula fracture, 3) appreciate anatomic and physiologic differences in pregnancy, 4) appropriately order analgesia and imaging, 5) recognize and treat hemorrhagic shock, 6) perform an extended focused assessment with sonography in trauma exam (eFAST) in undifferentiated hemorrhage, 7) identify a displaced pelvic fracture and properly apply a pelvic binder, and 8) obtain and interpret fetal heart rate using ultrasound.

Educational methods: This is a high-fidelity simulation portraying a 24-year-old pregnant female who requires hemodynamic resuscitation, pelvic and extremity fracture stabilization, and assessment of fetal heart rate. After completion of the simulation, learners will participate in a debrief and small group discussion that focuses on didactic knowledge and its application to patient care, crew resource management, and interprofessional communication.

Research methods: Learners were required to complete a pre- and post-simulation test evaluating their knowledge of pregnant trauma patient care. The results were then compared to evaluate whether the simulation improved participants' knowledge base. Learners also completed an evaluation of the simulation case itself using a 5-point Likert scale and free response. Feedback from the first round of simulations was used to modify the simulation case prior to the second round.

Results: Our simulation included 26 participants: nine attending emergency medicine/critical care transport physicians and 17 critical care transport nurses. All participants took a pre- and post-test evaluating their medical knowledge with an average score of 60% and 93.4% correct responses respectively. In addition, participants were given the opportunity to evaluate the simulation itself via an anonymous survey. All (100%) of the participants strongly agreed that the content was relevant, met educational needs, was effective, and was appropriate for professional licensure level.

Discussion: This simulation, focusing on the care of a pregnant trauma patient, was well received by the learners and effectively met educational goals at an appropriate level for professional licensure. Participants demonstrated an excellent understanding of appropriate imaging evaluation/interpretation, blood product resuscitation, and use of tranexamic acid (TXA) in the pregnant trauma patient. Improvement in interpretation of fetal heart rate as well as use/application of a pelvic binder in the setting of pregnancy were seen as a result of this simulation training.

Topics: Pregnant trauma, fetal heart rate, pelvic fracture, blood product transfusion, extremity fracture, critical care transport, emergency medicine simulation.

求助全文
通过发布文献求助,成功后即可免费获取论文全文。 去求助
来源期刊
自引率
0.00%
发文量
0
审稿时长
10 weeks
×
引用
GB/T 7714-2015
复制
MLA
复制
APA
复制
导出至
BibTeX EndNote RefMan NoteFirst NoteExpress
×
提示
您的信息不完整,为了账户安全,请先补充。
现在去补充
×
提示
您因"违规操作"
具体请查看互助需知
我知道了
×
提示
确定
请完成安全验证×
copy
已复制链接
快去分享给好友吧!
我知道了
右上角分享
点击右上角分享
0
联系我们:info@booksci.cn Book学术提供免费学术资源搜索服务,方便国内外学者检索中英文文献。致力于提供最便捷和优质的服务体验。 Copyright © 2023 布克学术 All rights reserved.
京ICP备2023020795号-1
ghs 京公网安备 11010802042870号
Book学术文献互助
Book学术文献互助群
群 号:604180095
Book学术官方微信