钬激光前列腺摘除术后难治性代谢性酸中毒和急性腹腔隔室综合征。

IF 1.7 Q4 CRITICAL CARE MEDICINE
Journal of Critical Care Medicine Pub Date : 2025-07-31 eCollection Date: 2025-07-01 DOI:10.2478/jccm-2025-0027
Murugananth Nithiyananthan, Shitalkumar Sharad Shah, Aarthi Suhitharan, Suhitharan Thangavelautham
{"title":"钬激光前列腺摘除术后难治性代谢性酸中毒和急性腹腔隔室综合征。","authors":"Murugananth Nithiyananthan, Shitalkumar Sharad Shah, Aarthi Suhitharan, Suhitharan Thangavelautham","doi":"10.2478/jccm-2025-0027","DOIUrl":null,"url":null,"abstract":"<p><strong>Introduction: </strong>Holmium Laser Enucleation of the Prostate (HoLEP) is a widely used minimally invasive surgical technique for benign prostatic hyperplasia (BPH), offering advantages such as reduced bleeding, shorter hospitalization, and elimination of TURP syndrome. However, complications related to fluid absorption and capsular perforation can still occur. We report a rare case of severe refractory metabolic acidosis and acute abdominal compartment syndrome (ACS) following HoLEP.</p><p><strong>Case presentation: </strong>A 74-year-old male with diabetes and hypertension underwent HoLEP for a 180-ml prostate, during which 106 liters of normal saline irrigation were used over three hours. Intraoperatively, the patient developed sudden respiratory distress and hypotension, with arterial blood gas analysis revealing severe metabolic acidosis (pH 7.141, HCO<sub>3</sub> 11 mEq/L, Cl 115 mEq/L), primarily due to excessive saline absorption and hyperchloremia. The patient required intubation, vasopressor support, and emergency dialysis due to worsening hemodynamic instability. Postoperative imaging revealed intra-abdominal fluid collection, which was drained percutaneously. After two days of intensive ICU management, the acidosis resolved, and the patient was successfully extubated.</p><p><strong>Conclusion: </strong>This is the first case highlighting the potential risks of normal saline absorption and the effect of capsular perforation, which caused ACS and refractory acidosis, and required CRRT due to the prolonged duration of HoLEP.</p>","PeriodicalId":44227,"journal":{"name":"Journal of Critical Care Medicine","volume":"11 3","pages":"301-306"},"PeriodicalIF":1.7000,"publicationDate":"2025-07-31","publicationTypes":"Journal Article","fieldsOfStudy":null,"isOpenAccess":false,"openAccessPdf":"https://www.ncbi.nlm.nih.gov/pmc/articles/PMC12321252/pdf/","citationCount":"0","resultStr":"{\"title\":\"Refractory metabolic acidosis and acute abdominal compartment syndrome following Holmium Laser Enucleation of Prostate (HoLEP).\",\"authors\":\"Murugananth Nithiyananthan, Shitalkumar Sharad Shah, Aarthi Suhitharan, Suhitharan Thangavelautham\",\"doi\":\"10.2478/jccm-2025-0027\",\"DOIUrl\":null,\"url\":null,\"abstract\":\"<p><strong>Introduction: </strong>Holmium Laser Enucleation of the Prostate (HoLEP) is a widely used minimally invasive surgical technique for benign prostatic hyperplasia (BPH), offering advantages such as reduced bleeding, shorter hospitalization, and elimination of TURP syndrome. However, complications related to fluid absorption and capsular perforation can still occur. We report a rare case of severe refractory metabolic acidosis and acute abdominal compartment syndrome (ACS) following HoLEP.</p><p><strong>Case presentation: </strong>A 74-year-old male with diabetes and hypertension underwent HoLEP for a 180-ml prostate, during which 106 liters of normal saline irrigation were used over three hours. Intraoperatively, the patient developed sudden respiratory distress and hypotension, with arterial blood gas analysis revealing severe metabolic acidosis (pH 7.141, HCO<sub>3</sub> 11 mEq/L, Cl 115 mEq/L), primarily due to excessive saline absorption and hyperchloremia. The patient required intubation, vasopressor support, and emergency dialysis due to worsening hemodynamic instability. Postoperative imaging revealed intra-abdominal fluid collection, which was drained percutaneously. After two days of intensive ICU management, the acidosis resolved, and the patient was successfully extubated.</p><p><strong>Conclusion: </strong>This is the first case highlighting the potential risks of normal saline absorption and the effect of capsular perforation, which caused ACS and refractory acidosis, and required CRRT due to the prolonged duration of HoLEP.</p>\",\"PeriodicalId\":44227,\"journal\":{\"name\":\"Journal of Critical Care Medicine\",\"volume\":\"11 3\",\"pages\":\"301-306\"},\"PeriodicalIF\":1.7000,\"publicationDate\":\"2025-07-31\",\"publicationTypes\":\"Journal Article\",\"fieldsOfStudy\":null,\"isOpenAccess\":false,\"openAccessPdf\":\"https://www.ncbi.nlm.nih.gov/pmc/articles/PMC12321252/pdf/\",\"citationCount\":\"0\",\"resultStr\":null,\"platform\":\"Semanticscholar\",\"paperid\":null,\"PeriodicalName\":\"Journal of Critical Care Medicine\",\"FirstCategoryId\":\"1085\",\"ListUrlMain\":\"https://doi.org/10.2478/jccm-2025-0027\",\"RegionNum\":0,\"RegionCategory\":null,\"ArticlePicture\":[],\"TitleCN\":null,\"AbstractTextCN\":null,\"PMCID\":null,\"EPubDate\":\"2025/7/1 0:00:00\",\"PubModel\":\"eCollection\",\"JCR\":\"Q4\",\"JCRName\":\"CRITICAL CARE MEDICINE\",\"Score\":null,\"Total\":0}","platform":"Semanticscholar","paperid":null,"PeriodicalName":"Journal of Critical Care Medicine","FirstCategoryId":"1085","ListUrlMain":"https://doi.org/10.2478/jccm-2025-0027","RegionNum":0,"RegionCategory":null,"ArticlePicture":[],"TitleCN":null,"AbstractTextCN":null,"PMCID":null,"EPubDate":"2025/7/1 0:00:00","PubModel":"eCollection","JCR":"Q4","JCRName":"CRITICAL CARE MEDICINE","Score":null,"Total":0}
引用次数: 0

摘要

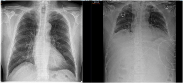
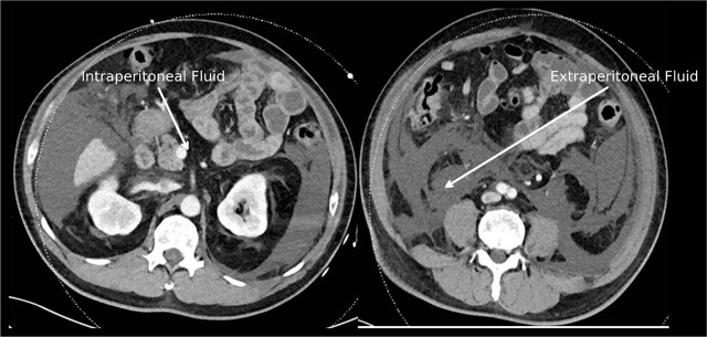
钬激光前列腺去核术(HoLEP)是一种广泛应用于良性前列腺增生(BPH)的微创手术技术,具有减少出血、缩短住院时间和消除TURP综合征等优点。然而,与液体吸收和荚膜穿孔相关的并发症仍然可能发生。我们报告一个罕见的病例严重难治性代谢性酸中毒和急性腹腔隔室综合征(ACS)后,HoLEP。病例介绍:74岁男性糖尿病和高血压行HoLEP检查180毫升前列腺,期间106升生理盐水冲洗超过3小时。术中,患者出现突发性呼吸窘迫和低血压,动脉血气分析显示严重的代谢性酸中毒(pH 7.141, HCO3 11 mEq/L, Cl 115 mEq/L),主要是由于过量的生理盐水吸收和高氯血症。由于血流动力学不稳定恶化,患者需要插管、血管加压支持和紧急透析。术后影像显示腹腔积液,经皮引流。经过两天的ICU强化治疗,酸中毒消退,患者成功拔管。结论:这是第一例强调生理盐水吸收的潜在风险和囊膜穿孔的影响,导致ACS和难治性酸中毒,由于HoLEP持续时间长,需要CRRT。
本文章由计算机程序翻译,如有差异,请以英文原文为准。

Refractory metabolic acidosis and acute abdominal compartment syndrome following Holmium Laser Enucleation of Prostate (HoLEP).

Refractory metabolic acidosis and acute abdominal compartment syndrome following Holmium Laser Enucleation of Prostate (HoLEP).

Refractory metabolic acidosis and acute abdominal compartment syndrome following Holmium Laser Enucleation of Prostate (HoLEP).

Refractory metabolic acidosis and acute abdominal compartment syndrome following Holmium Laser Enucleation of Prostate (HoLEP).

Introduction: Holmium Laser Enucleation of the Prostate (HoLEP) is a widely used minimally invasive surgical technique for benign prostatic hyperplasia (BPH), offering advantages such as reduced bleeding, shorter hospitalization, and elimination of TURP syndrome. However, complications related to fluid absorption and capsular perforation can still occur. We report a rare case of severe refractory metabolic acidosis and acute abdominal compartment syndrome (ACS) following HoLEP.

Case presentation: A 74-year-old male with diabetes and hypertension underwent HoLEP for a 180-ml prostate, during which 106 liters of normal saline irrigation were used over three hours. Intraoperatively, the patient developed sudden respiratory distress and hypotension, with arterial blood gas analysis revealing severe metabolic acidosis (pH 7.141, HCO3 11 mEq/L, Cl 115 mEq/L), primarily due to excessive saline absorption and hyperchloremia. The patient required intubation, vasopressor support, and emergency dialysis due to worsening hemodynamic instability. Postoperative imaging revealed intra-abdominal fluid collection, which was drained percutaneously. After two days of intensive ICU management, the acidosis resolved, and the patient was successfully extubated.

Conclusion: This is the first case highlighting the potential risks of normal saline absorption and the effect of capsular perforation, which caused ACS and refractory acidosis, and required CRRT due to the prolonged duration of HoLEP.

求助全文
通过发布文献求助,成功后即可免费获取论文全文。 去求助
来源期刊
Journal of Critical Care Medicine
Journal of Critical Care Medicine CRITICAL CARE MEDICINE-
CiteScore
2.00
自引率
9.10%
发文量
21
审稿时长
11 weeks
×
引用
GB/T 7714-2015
复制
MLA
复制
APA
复制
导出至
BibTeX EndNote RefMan NoteFirst NoteExpress
×
提示
您的信息不完整,为了账户安全,请先补充。
现在去补充
×
提示
您因"违规操作"
具体请查看互助需知
我知道了
×
提示
确定
请完成安全验证×
copy
已复制链接
快去分享给好友吧!
我知道了
右上角分享
点击右上角分享
0
联系我们:info@booksci.cn Book学术提供免费学术资源搜索服务,方便国内外学者检索中英文文献。致力于提供最便捷和优质的服务体验。 Copyright © 2023 布克学术 All rights reserved.
京ICP备2023020795号-1
ghs 京公网安备 11010802042870号
Book学术文献互助
Book学术文献互助群
群 号:604180095
Book学术官方微信