内镜下胆管十二指肠吻合术加腔旁金属支架治疗胆管狭窄儿童神经母细胞瘤1例报告。

IF 0.7 Q4 SURGERY
European Journal of Pediatric Surgery Reports Pub Date : 2025-08-05 eCollection Date: 2025-01-01 DOI:10.1055/a-2662-2339
Maria Stella Cipriani, Liliana Piro, Federico Palo, Andrea Chiaro, Stefania Sorrentino, Paolo Gandullia, Andrea Parodi, Stefano Avanzini
{"title":"内镜下胆管十二指肠吻合术加腔旁金属支架治疗胆管狭窄儿童神经母细胞瘤1例报告。","authors":"Maria Stella Cipriani, Liliana Piro, Federico Palo, Andrea Chiaro, Stefania Sorrentino, Paolo Gandullia, Andrea Parodi, Stefano Avanzini","doi":"10.1055/a-2662-2339","DOIUrl":null,"url":null,"abstract":"<p><p>We report the use of endoscopic cholecystoduodenostomy in a 6-year-old child to manage postanastomotic stricture of the common bile duct (CBD) secondary to an intraoperative injury sustained during the resection of an abdominal neuroblastoma (NB). The patient was diagnosed with stage M NB, characterized by dissemination to the bone marrow and vertebrae, and MYCN amplification. Following multiple cycles of chemotherapy and subsequent hematopoietic stem cell transplantation, the patient was scheduled for surgical resection. Preoperative imaging identified several image-defined risk factors, including infiltration of the porta hepatis and of the duodenopancreatic complex. During the dissection of the tumor, an incidental injury to the CBD occurred, which was subsequently repaired via end-to-end anastomosis. Seven months postoperatively, the patient presented with obstructive jaundice due to an anastomotic stricture, which was successfully managed through the placement of an endoscopic ultrasound-guided lumen-apposing metal stent (LAMS) between the dilated gallbladder and the duodenum. In our experience, endoscopic cholecystoduodenostomy constitutes a novel approach for addressing postoperative iatrogenic CBD strictures in pediatric patients. Further research is warranted to elucidate its benefits and risks as well as to evaluate its long-term efficacy and potential for broader application.</p>","PeriodicalId":43204,"journal":{"name":"European Journal of Pediatric Surgery Reports","volume":"13 1","pages":"e47-e50"},"PeriodicalIF":0.7000,"publicationDate":"2025-08-05","publicationTypes":"Journal Article","fieldsOfStudy":null,"isOpenAccess":false,"openAccessPdf":"https://www.ncbi.nlm.nih.gov/pmc/articles/PMC12324853/pdf/","citationCount":"0","resultStr":"{\"title\":\"Endoscopic Cholecystoduodenostomy With Lumen-Apposing Metal Stent for Bile Duct Stricture in a Child with Neuroblastoma: A Case Report.\",\"authors\":\"Maria Stella Cipriani, Liliana Piro, Federico Palo, Andrea Chiaro, Stefania Sorrentino, Paolo Gandullia, Andrea Parodi, Stefano Avanzini\",\"doi\":\"10.1055/a-2662-2339\",\"DOIUrl\":null,\"url\":null,\"abstract\":\"<p><p>We report the use of endoscopic cholecystoduodenostomy in a 6-year-old child to manage postanastomotic stricture of the common bile duct (CBD) secondary to an intraoperative injury sustained during the resection of an abdominal neuroblastoma (NB). The patient was diagnosed with stage M NB, characterized by dissemination to the bone marrow and vertebrae, and MYCN amplification. Following multiple cycles of chemotherapy and subsequent hematopoietic stem cell transplantation, the patient was scheduled for surgical resection. Preoperative imaging identified several image-defined risk factors, including infiltration of the porta hepatis and of the duodenopancreatic complex. During the dissection of the tumor, an incidental injury to the CBD occurred, which was subsequently repaired via end-to-end anastomosis. Seven months postoperatively, the patient presented with obstructive jaundice due to an anastomotic stricture, which was successfully managed through the placement of an endoscopic ultrasound-guided lumen-apposing metal stent (LAMS) between the dilated gallbladder and the duodenum. In our experience, endoscopic cholecystoduodenostomy constitutes a novel approach for addressing postoperative iatrogenic CBD strictures in pediatric patients. Further research is warranted to elucidate its benefits and risks as well as to evaluate its long-term efficacy and potential for broader application.</p>\",\"PeriodicalId\":43204,\"journal\":{\"name\":\"European Journal of Pediatric Surgery Reports\",\"volume\":\"13 1\",\"pages\":\"e47-e50\"},\"PeriodicalIF\":0.7000,\"publicationDate\":\"2025-08-05\",\"publicationTypes\":\"Journal Article\",\"fieldsOfStudy\":null,\"isOpenAccess\":false,\"openAccessPdf\":\"https://www.ncbi.nlm.nih.gov/pmc/articles/PMC12324853/pdf/\",\"citationCount\":\"0\",\"resultStr\":null,\"platform\":\"Semanticscholar\",\"paperid\":null,\"PeriodicalName\":\"European Journal of Pediatric Surgery Reports\",\"FirstCategoryId\":\"1085\",\"ListUrlMain\":\"https://doi.org/10.1055/a-2662-2339\",\"RegionNum\":0,\"RegionCategory\":null,\"ArticlePicture\":[],\"TitleCN\":null,\"AbstractTextCN\":null,\"PMCID\":null,\"EPubDate\":\"2025/1/1 0:00:00\",\"PubModel\":\"eCollection\",\"JCR\":\"Q4\",\"JCRName\":\"SURGERY\",\"Score\":null,\"Total\":0}","platform":"Semanticscholar","paperid":null,"PeriodicalName":"European Journal of Pediatric Surgery Reports","FirstCategoryId":"1085","ListUrlMain":"https://doi.org/10.1055/a-2662-2339","RegionNum":0,"RegionCategory":null,"ArticlePicture":[],"TitleCN":null,"AbstractTextCN":null,"PMCID":null,"EPubDate":"2025/1/1 0:00:00","PubModel":"eCollection","JCR":"Q4","JCRName":"SURGERY","Score":null,"Total":0}
引用次数: 0

摘要

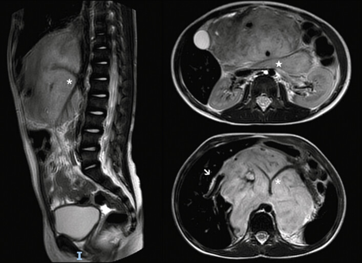
我们报告了一名6岁儿童在腹部神经母细胞瘤(NB)切除术中因术中损伤而继发的胆总管(CBD)造口后狭窄的应用内镜胆囊十二指肠吻合术。患者被诊断为M期NB,特点是骨髓和椎骨播散,MYCN扩增。经过多个周期的化疗和随后的造血干细胞移植,患者计划手术切除。术前影像学检查确定了几个影像学确定的危险因素,包括肝门浸润和十二指肠胰复合体浸润。在切除肿瘤过程中,发生了CBD的意外损伤,随后通过端到端吻合修复。术后7个月,患者因吻合口狭窄而出现梗阻性黄疸,通过在扩张的胆囊和十二指肠之间放置超声内镜引导的腔内金属支架(LAMS)成功控制。根据我们的经验,内镜胆囊十二指肠吻合术是解决小儿术后医源性CBD狭窄的一种新方法。有必要进一步研究以阐明其益处和风险,并评估其长期疗效和更广泛应用的潜力。
本文章由计算机程序翻译,如有差异,请以英文原文为准。

Endoscopic Cholecystoduodenostomy With Lumen-Apposing Metal Stent for Bile Duct Stricture in a Child with Neuroblastoma: A Case Report.

Endoscopic Cholecystoduodenostomy With Lumen-Apposing Metal Stent for Bile Duct Stricture in a Child with Neuroblastoma: A Case Report.

Endoscopic Cholecystoduodenostomy With Lumen-Apposing Metal Stent for Bile Duct Stricture in a Child with Neuroblastoma: A Case Report.

Endoscopic Cholecystoduodenostomy With Lumen-Apposing Metal Stent for Bile Duct Stricture in a Child with Neuroblastoma: A Case Report.

We report the use of endoscopic cholecystoduodenostomy in a 6-year-old child to manage postanastomotic stricture of the common bile duct (CBD) secondary to an intraoperative injury sustained during the resection of an abdominal neuroblastoma (NB). The patient was diagnosed with stage M NB, characterized by dissemination to the bone marrow and vertebrae, and MYCN amplification. Following multiple cycles of chemotherapy and subsequent hematopoietic stem cell transplantation, the patient was scheduled for surgical resection. Preoperative imaging identified several image-defined risk factors, including infiltration of the porta hepatis and of the duodenopancreatic complex. During the dissection of the tumor, an incidental injury to the CBD occurred, which was subsequently repaired via end-to-end anastomosis. Seven months postoperatively, the patient presented with obstructive jaundice due to an anastomotic stricture, which was successfully managed through the placement of an endoscopic ultrasound-guided lumen-apposing metal stent (LAMS) between the dilated gallbladder and the duodenum. In our experience, endoscopic cholecystoduodenostomy constitutes a novel approach for addressing postoperative iatrogenic CBD strictures in pediatric patients. Further research is warranted to elucidate its benefits and risks as well as to evaluate its long-term efficacy and potential for broader application.

求助全文
通过发布文献求助,成功后即可免费获取论文全文。 去求助
来源期刊
自引率
33.30%
发文量
39
审稿时长
12 weeks
×
引用
GB/T 7714-2015
复制
MLA
复制
APA
复制
导出至
BibTeX EndNote RefMan NoteFirst NoteExpress
×
提示
您的信息不完整,为了账户安全,请先补充。
现在去补充
×
提示
您因"违规操作"
具体请查看互助需知
我知道了
×
提示
确定
请完成安全验证×
copy
已复制链接
快去分享给好友吧!
我知道了
右上角分享
点击右上角分享
0
联系我们:info@booksci.cn Book学术提供免费学术资源搜索服务,方便国内外学者检索中英文文献。致力于提供最便捷和优质的服务体验。 Copyright © 2023 布克学术 All rights reserved.
京ICP备2023020795号-1
ghs 京公网安备 11010802042870号
Book学术文献互助
Book学术文献互助群
群 号:604180095
Book学术官方微信