在胸廓出口放置专用静脉支架:新型静脉支架会改变腋窝锁骨下静脉血栓形成的治疗模式吗?

IF 1.5 Q3 CARDIAC & CARDIOVASCULAR SYSTEMS
Gabriel E Li, Mayura P Umapathy, David S Shin, Matthew Abad-Santos, Eric J Monroe, Jeffrey Forris Beecham Chick, Mina S Makary
{"title":"在胸廓出口放置专用静脉支架:新型静脉支架会改变腋窝锁骨下静脉血栓形成的治疗模式吗?","authors":"Gabriel E Li, Mayura P Umapathy, David S Shin, Matthew Abad-Santos, Eric J Monroe, Jeffrey Forris Beecham Chick, Mina S Makary","doi":"10.1186/s42155-025-00577-4","DOIUrl":null,"url":null,"abstract":"<p><strong>Background: </strong>Endovascular stenting is widely accepted as the standard treatment for central venous obstruction syndromes such as superior vena cava (SVC) syndrome due to its demonstrated clinical efficacy and improved patient outcomes. However, its application in axillosubclavian vein thrombosis (ASVT) has been limited due to concerns about stent compression within the thoracic outlet. This report aims to evaluate the feasibility and safety of the off-label use of dedicated venous stents-engineered with enhanced mechanical features-as an alternative endovascular approach for the treatment of ASVT.</p><p><strong>Methods: </strong>Thirty-eight patients (43 affected limbs) with symptomatic ASVT and no prior treatment or surgical decompression underwent endovascular placement of dedicated venous stents across the thoracic outlet with Abre Venous Stents (Medtronic, Dublin, Ireland), Venovo Venous Stents (BD, Franklin Lakes, NJ, USA), or Vici Venous Stents (Boston Scientific, Marlborough, MA, USA). Stents were extended peripherally to the subclavian or axillary veins and centrally to the brachiocephalic vein or SVC. Technical success was defined as successful stent deployment across the costoclavicular space, and clinical success as symptomatic improvement.</p><p><strong>Results: </strong>Stent placement was technically successful in all 43 limbs (100%), with clinical improvement observed in 97.4% of patients. The one patient without clinical improvement experienced early thrombosis of the stent, requiring mechanical thrombectomy and additional stenting. Follow-up CT venography at a mean of 301.3 days demonstrated high primary stent patency rates (81.4%), with stent crushing observed in only 7.0% of limbs and no instances of stent fracture. Adverse events were limited, including two access site hematomas and one hypotensive episode, all of which resolved without evidence of long-term complications.</p><p><strong>Conclusions: </strong>Our findings suggest that stenting across the thoracic outlet for the treatment of ASVT may be a viable option with the use of novel dedicated venous stents, potentially expanding treatment strategies for TCVO.</p>","PeriodicalId":52351,"journal":{"name":"CVIR Endovascular","volume":"8 1","pages":"62"},"PeriodicalIF":1.5000,"publicationDate":"2025-08-05","publicationTypes":"Journal Article","fieldsOfStudy":null,"isOpenAccess":false,"openAccessPdf":"https://www.ncbi.nlm.nih.gov/pmc/articles/PMC12325804/pdf/","citationCount":"0","resultStr":"{\"title\":\"Dedicated venous stent placement across the thoracic outlet: will novel venous stents transform axillosubclavian vein thrombosis treatment paradigm?\",\"authors\":\"Gabriel E Li, Mayura P Umapathy, David S Shin, Matthew Abad-Santos, Eric J Monroe, Jeffrey Forris Beecham Chick, Mina S Makary\",\"doi\":\"10.1186/s42155-025-00577-4\",\"DOIUrl\":null,\"url\":null,\"abstract\":\"<p><strong>Background: </strong>Endovascular stenting is widely accepted as the standard treatment for central venous obstruction syndromes such as superior vena cava (SVC) syndrome due to its demonstrated clinical efficacy and improved patient outcomes. However, its application in axillosubclavian vein thrombosis (ASVT) has been limited due to concerns about stent compression within the thoracic outlet. This report aims to evaluate the feasibility and safety of the off-label use of dedicated venous stents-engineered with enhanced mechanical features-as an alternative endovascular approach for the treatment of ASVT.</p><p><strong>Methods: </strong>Thirty-eight patients (43 affected limbs) with symptomatic ASVT and no prior treatment or surgical decompression underwent endovascular placement of dedicated venous stents across the thoracic outlet with Abre Venous Stents (Medtronic, Dublin, Ireland), Venovo Venous Stents (BD, Franklin Lakes, NJ, USA), or Vici Venous Stents (Boston Scientific, Marlborough, MA, USA). Stents were extended peripherally to the subclavian or axillary veins and centrally to the brachiocephalic vein or SVC. Technical success was defined as successful stent deployment across the costoclavicular space, and clinical success as symptomatic improvement.</p><p><strong>Results: </strong>Stent placement was technically successful in all 43 limbs (100%), with clinical improvement observed in 97.4% of patients. The one patient without clinical improvement experienced early thrombosis of the stent, requiring mechanical thrombectomy and additional stenting. Follow-up CT venography at a mean of 301.3 days demonstrated high primary stent patency rates (81.4%), with stent crushing observed in only 7.0% of limbs and no instances of stent fracture. Adverse events were limited, including two access site hematomas and one hypotensive episode, all of which resolved without evidence of long-term complications.</p><p><strong>Conclusions: </strong>Our findings suggest that stenting across the thoracic outlet for the treatment of ASVT may be a viable option with the use of novel dedicated venous stents, potentially expanding treatment strategies for TCVO.</p>\",\"PeriodicalId\":52351,\"journal\":{\"name\":\"CVIR Endovascular\",\"volume\":\"8 1\",\"pages\":\"62\"},\"PeriodicalIF\":1.5000,\"publicationDate\":\"2025-08-05\",\"publicationTypes\":\"Journal Article\",\"fieldsOfStudy\":null,\"isOpenAccess\":false,\"openAccessPdf\":\"https://www.ncbi.nlm.nih.gov/pmc/articles/PMC12325804/pdf/\",\"citationCount\":\"0\",\"resultStr\":null,\"platform\":\"Semanticscholar\",\"paperid\":null,\"PeriodicalName\":\"CVIR Endovascular\",\"FirstCategoryId\":\"1085\",\"ListUrlMain\":\"https://doi.org/10.1186/s42155-025-00577-4\",\"RegionNum\":0,\"RegionCategory\":null,\"ArticlePicture\":[],\"TitleCN\":null,\"AbstractTextCN\":null,\"PMCID\":null,\"EPubDate\":\"\",\"PubModel\":\"\",\"JCR\":\"Q3\",\"JCRName\":\"CARDIAC & CARDIOVASCULAR SYSTEMS\",\"Score\":null,\"Total\":0}","platform":"Semanticscholar","paperid":null,"PeriodicalName":"CVIR Endovascular","FirstCategoryId":"1085","ListUrlMain":"https://doi.org/10.1186/s42155-025-00577-4","RegionNum":0,"RegionCategory":null,"ArticlePicture":[],"TitleCN":null,"AbstractTextCN":null,"PMCID":null,"EPubDate":"","PubModel":"","JCR":"Q3","JCRName":"CARDIAC & CARDIOVASCULAR SYSTEMS","Score":null,"Total":0}
引用次数: 0

摘要

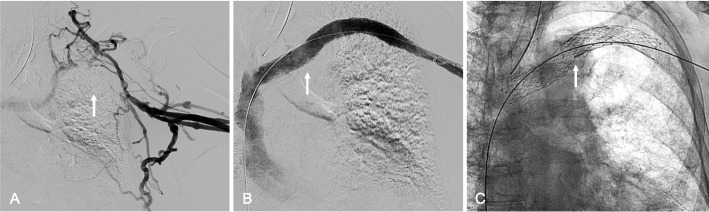
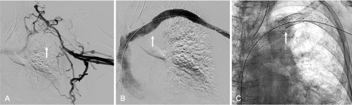
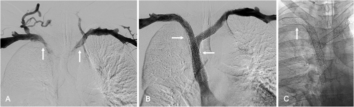
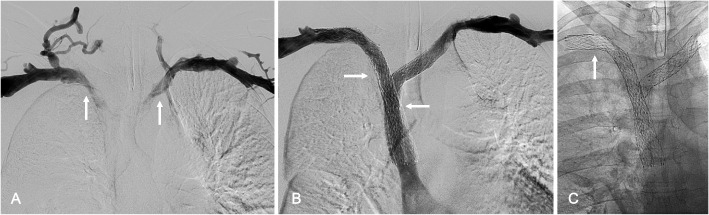
背景:血管内支架置入术因其临床疗效和改善患者预后而被广泛接受为中心静脉阻塞综合征(如上腔静脉(SVC)综合征)的标准治疗方法。然而,由于担心支架在胸廓出口内的压迫,其在锁骨下腋窝静脉血栓(ASVT)中的应用受到限制。本报告旨在评估超说明书使用专用静脉支架的可行性和安全性,该支架具有增强的机械特性,是血管内治疗ASVT的一种替代方法。方法:38例有症状的ASVT患者(43条患肢),没有任何治疗或手术减压,在胸椎出口血管内放置专用静脉支架,其中包括Abre静脉支架(美敦力,都柏林,爱尔兰)、Venovo静脉支架(BD,富兰克林湖,新泽西州,美国)或Vici静脉支架(波士顿科学公司,马尔堡,马萨诸塞州,美国)。支架向外延伸至锁骨下静脉或腋窝静脉,向中央延伸至头臂静脉或SVC。技术上的成功被定义为支架在肋锁骨间隙的成功放置,临床上的成功被定义为症状的改善。结果:所有43个肢体(100%)的支架置入在技术上都是成功的,97.4%的患者有临床改善。1例无临床改善的患者出现支架早期血栓形成,需要机械取栓和额外支架置入。随访平均301.3天的CT静脉造影显示支架初始通畅率较高(81.4%),仅7.0%的肢体出现支架破碎,无支架断裂。不良事件有限,包括两个通路部位血肿和一个低血压发作,所有这些都解决了,没有长期并发症的证据。结论:我们的研究结果表明,使用新型专用静脉支架,通过胸廓出口支架治疗ASVT可能是一种可行的选择,可能扩大TCVO的治疗策略。
本文章由计算机程序翻译,如有差异,请以英文原文为准。

Dedicated venous stent placement across the thoracic outlet: will novel venous stents transform axillosubclavian vein thrombosis treatment paradigm?

Dedicated venous stent placement across the thoracic outlet: will novel venous stents transform axillosubclavian vein thrombosis treatment paradigm?

Dedicated venous stent placement across the thoracic outlet: will novel venous stents transform axillosubclavian vein thrombosis treatment paradigm?

Dedicated venous stent placement across the thoracic outlet: will novel venous stents transform axillosubclavian vein thrombosis treatment paradigm?

Dedicated venous stent placement across the thoracic outlet: will novel venous stents transform axillosubclavian vein thrombosis treatment paradigm?

Dedicated venous stent placement across the thoracic outlet: will novel venous stents transform axillosubclavian vein thrombosis treatment paradigm?

Dedicated venous stent placement across the thoracic outlet: will novel venous stents transform axillosubclavian vein thrombosis treatment paradigm?

Background: Endovascular stenting is widely accepted as the standard treatment for central venous obstruction syndromes such as superior vena cava (SVC) syndrome due to its demonstrated clinical efficacy and improved patient outcomes. However, its application in axillosubclavian vein thrombosis (ASVT) has been limited due to concerns about stent compression within the thoracic outlet. This report aims to evaluate the feasibility and safety of the off-label use of dedicated venous stents-engineered with enhanced mechanical features-as an alternative endovascular approach for the treatment of ASVT.

Methods: Thirty-eight patients (43 affected limbs) with symptomatic ASVT and no prior treatment or surgical decompression underwent endovascular placement of dedicated venous stents across the thoracic outlet with Abre Venous Stents (Medtronic, Dublin, Ireland), Venovo Venous Stents (BD, Franklin Lakes, NJ, USA), or Vici Venous Stents (Boston Scientific, Marlborough, MA, USA). Stents were extended peripherally to the subclavian or axillary veins and centrally to the brachiocephalic vein or SVC. Technical success was defined as successful stent deployment across the costoclavicular space, and clinical success as symptomatic improvement.

Results: Stent placement was technically successful in all 43 limbs (100%), with clinical improvement observed in 97.4% of patients. The one patient without clinical improvement experienced early thrombosis of the stent, requiring mechanical thrombectomy and additional stenting. Follow-up CT venography at a mean of 301.3 days demonstrated high primary stent patency rates (81.4%), with stent crushing observed in only 7.0% of limbs and no instances of stent fracture. Adverse events were limited, including two access site hematomas and one hypotensive episode, all of which resolved without evidence of long-term complications.

Conclusions: Our findings suggest that stenting across the thoracic outlet for the treatment of ASVT may be a viable option with the use of novel dedicated venous stents, potentially expanding treatment strategies for TCVO.

求助全文
通过发布文献求助,成功后即可免费获取论文全文。 去求助
来源期刊
CVIR Endovascular
CVIR Endovascular Medicine-Radiology, Nuclear Medicine and Imaging
CiteScore
2.30
自引率
0.00%
发文量
59
×
引用
GB/T 7714-2015
复制
MLA
复制
APA
复制
导出至
BibTeX EndNote RefMan NoteFirst NoteExpress
×
提示
您的信息不完整,为了账户安全,请先补充。
现在去补充
×
提示
您因"违规操作"
具体请查看互助需知
我知道了
×
提示
确定
请完成安全验证×
copy
已复制链接
快去分享给好友吧!
我知道了
右上角分享
点击右上角分享
0
联系我们:info@booksci.cn Book学术提供免费学术资源搜索服务,方便国内外学者检索中英文文献。致力于提供最便捷和优质的服务体验。 Copyright © 2023 布克学术 All rights reserved.
京ICP备2023020795号-1
ghs 京公网安备 11010802042870号
Book学术文献互助
Book学术文献互助群
群 号:604180095
Book学术官方微信