创伤后经动脉栓塞术中不寻常的肾绞痛及其多学科处理。

IF 0.5 Q4 RADIOLOGY, NUCLEAR MEDICINE & MEDICAL IMAGING
BJR Case Reports Pub Date : 2025-07-31 eCollection Date: 2025-07-01 DOI:10.1093/bjrcr/uaaf039
Pierpaolo Biondetti, Anna Maria Ierardi, Elisa De Lorenzis, Jacopo Tintori, Emanuele Montanari, Gianpaolo Carrafiello
{"title":"创伤后经动脉栓塞术中不寻常的肾绞痛及其多学科处理。","authors":"Pierpaolo Biondetti, Anna Maria Ierardi, Elisa De Lorenzis, Jacopo Tintori, Emanuele Montanari, Gianpaolo Carrafiello","doi":"10.1093/bjrcr/uaaf039","DOIUrl":null,"url":null,"abstract":"<p><p>Selective embolization is the treatment of choice for traumatic renal pseudoaneurysm (PSA) in stable patients. N-Butyl-2-cyanoacrilate (NBCA) is an embolic agent frequently used to embolize peripheral lesions. N-Butyl-2-cyanoacrilate is one of the most widely used embolic materials because it is easy to prepare, it acts quickly and is highly cost-effective. Its use, however, requires a learning curve before becoming confident and being able to handle it safely. We describe a case of embolization of a renal traumatic PSA without clear pre-procedural CT-evidence of artero-calyx fistula in which the migration of NBCA in the renal pelvis occurred during the procedure. We report the successful multidisciplinary management of this complication.</p>","PeriodicalId":45216,"journal":{"name":"BJR Case Reports","volume":"11 4","pages":"uaaf039"},"PeriodicalIF":0.5000,"publicationDate":"2025-07-31","publicationTypes":"Journal Article","fieldsOfStudy":null,"isOpenAccess":false,"openAccessPdf":"https://www.ncbi.nlm.nih.gov/pmc/articles/PMC12321289/pdf/","citationCount":"0","resultStr":"{\"title\":\"An unusual renal colic during trans-arterial embolization after trauma and its multidisciplinary management.\",\"authors\":\"Pierpaolo Biondetti, Anna Maria Ierardi, Elisa De Lorenzis, Jacopo Tintori, Emanuele Montanari, Gianpaolo Carrafiello\",\"doi\":\"10.1093/bjrcr/uaaf039\",\"DOIUrl\":null,\"url\":null,\"abstract\":\"<p><p>Selective embolization is the treatment of choice for traumatic renal pseudoaneurysm (PSA) in stable patients. N-Butyl-2-cyanoacrilate (NBCA) is an embolic agent frequently used to embolize peripheral lesions. N-Butyl-2-cyanoacrilate is one of the most widely used embolic materials because it is easy to prepare, it acts quickly and is highly cost-effective. Its use, however, requires a learning curve before becoming confident and being able to handle it safely. We describe a case of embolization of a renal traumatic PSA without clear pre-procedural CT-evidence of artero-calyx fistula in which the migration of NBCA in the renal pelvis occurred during the procedure. We report the successful multidisciplinary management of this complication.</p>\",\"PeriodicalId\":45216,\"journal\":{\"name\":\"BJR Case Reports\",\"volume\":\"11 4\",\"pages\":\"uaaf039\"},\"PeriodicalIF\":0.5000,\"publicationDate\":\"2025-07-31\",\"publicationTypes\":\"Journal Article\",\"fieldsOfStudy\":null,\"isOpenAccess\":false,\"openAccessPdf\":\"https://www.ncbi.nlm.nih.gov/pmc/articles/PMC12321289/pdf/\",\"citationCount\":\"0\",\"resultStr\":null,\"platform\":\"Semanticscholar\",\"paperid\":null,\"PeriodicalName\":\"BJR Case Reports\",\"FirstCategoryId\":\"1085\",\"ListUrlMain\":\"https://doi.org/10.1093/bjrcr/uaaf039\",\"RegionNum\":0,\"RegionCategory\":null,\"ArticlePicture\":[],\"TitleCN\":null,\"AbstractTextCN\":null,\"PMCID\":null,\"EPubDate\":\"2025/7/1 0:00:00\",\"PubModel\":\"eCollection\",\"JCR\":\"Q4\",\"JCRName\":\"RADIOLOGY, NUCLEAR MEDICINE & MEDICAL IMAGING\",\"Score\":null,\"Total\":0}","platform":"Semanticscholar","paperid":null,"PeriodicalName":"BJR Case Reports","FirstCategoryId":"1085","ListUrlMain":"https://doi.org/10.1093/bjrcr/uaaf039","RegionNum":0,"RegionCategory":null,"ArticlePicture":[],"TitleCN":null,"AbstractTextCN":null,"PMCID":null,"EPubDate":"2025/7/1 0:00:00","PubModel":"eCollection","JCR":"Q4","JCRName":"RADIOLOGY, NUCLEAR MEDICINE & MEDICAL IMAGING","Score":null,"Total":0}
引用次数: 0

摘要

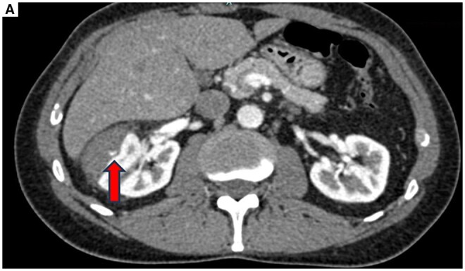
选择性栓塞是稳定患者外伤性肾假性动脉瘤(PSA)的首选治疗方法。n -丁基-2-氰基丙烯酸酯(NBCA)是一种常用的栓塞剂,用于栓塞周围病变。正丁基-2-氰基丙烯酸酯是应用最广泛的栓子材料之一,因为它易于制备,作用迅速,成本效益高。然而,在变得自信并能够安全地使用它之前,它的使用需要一个学习曲线。我们描述了一个病例的肾创伤性PSA栓塞没有明确的术前ct证据动脉-盏瘘,其中NBCA在肾盂的迁移发生在手术过程中。我们报告成功的多学科管理的并发症。
本文章由计算机程序翻译,如有差异,请以英文原文为准。

An unusual renal colic during trans-arterial embolization after trauma and its multidisciplinary management.

An unusual renal colic during trans-arterial embolization after trauma and its multidisciplinary management.

An unusual renal colic during trans-arterial embolization after trauma and its multidisciplinary management.

An unusual renal colic during trans-arterial embolization after trauma and its multidisciplinary management.

Selective embolization is the treatment of choice for traumatic renal pseudoaneurysm (PSA) in stable patients. N-Butyl-2-cyanoacrilate (NBCA) is an embolic agent frequently used to embolize peripheral lesions. N-Butyl-2-cyanoacrilate is one of the most widely used embolic materials because it is easy to prepare, it acts quickly and is highly cost-effective. Its use, however, requires a learning curve before becoming confident and being able to handle it safely. We describe a case of embolization of a renal traumatic PSA without clear pre-procedural CT-evidence of artero-calyx fistula in which the migration of NBCA in the renal pelvis occurred during the procedure. We report the successful multidisciplinary management of this complication.

求助全文
通过发布文献求助,成功后即可免费获取论文全文。 去求助
来源期刊
BJR Case Reports
BJR Case Reports RADIOLOGY, NUCLEAR MEDICINE & MEDICAL IMAGING-
自引率
0.00%
发文量
77
审稿时长
11 weeks
×
引用
GB/T 7714-2015
复制
MLA
复制
APA
复制
导出至
BibTeX EndNote RefMan NoteFirst NoteExpress
×
提示
您的信息不完整,为了账户安全,请先补充。
现在去补充
×
提示
您因"违规操作"
具体请查看互助需知
我知道了
×
提示
确定
请完成安全验证×
copy
已复制链接
快去分享给好友吧!
我知道了
右上角分享
点击右上角分享
0
联系我们:info@booksci.cn Book学术提供免费学术资源搜索服务,方便国内外学者检索中英文文献。致力于提供最便捷和优质的服务体验。 Copyright © 2023 布克学术 All rights reserved.
京ICP备2023020795号-1
ghs 京公网安备 11010802042870号
Book学术文献互助
Book学术文献互助群
群 号:604180095
Book学术官方微信