前腹壁放射性示踪剂在钇-90选择性内放射治疗中积累的不一致模式:对治疗前计划和治疗后监测的影响。

IF 1.3 4区 医学 Q3 RADIOLOGY, NUCLEAR MEDICINE & MEDICAL IMAGING
Nuclear Medicine Communications Pub Date : 2025-11-01 Epub Date: 2025-08-05 DOI:10.1097/MNM.0000000000002035
Huanyu Gong, Yong Cheng, Jingjie Shang, Qijun Cai, Yingxin Li, Kangshou Liu, Yulong Liu, Jian Gong, Hao Xu
{"title":"前腹壁放射性示踪剂在钇-90选择性内放射治疗中积累的不一致模式:对治疗前计划和治疗后监测的影响。","authors":"Huanyu Gong, Yong Cheng, Jingjie Shang, Qijun Cai, Yingxin Li, Kangshou Liu, Yulong Liu, Jian Gong, Hao Xu","doi":"10.1097/MNM.0000000000002035","DOIUrl":null,"url":null,"abstract":"<p><strong>Purpose: </strong>This study aimed to investigate the differential patterns of anterior abdominal wall (AAW) radiotracer accumulation using pretherapeutic technetium-99m macroaggregated albumin ( 99m Tc-MAA) single photon emission computed tomography/computed tomography (SPECT/CT) and posttherapeutic yttrium-90 ( 90 Y) positron emission tomography/CT (PET/CT) imaging in 90 Y resin microspheres selective internal radiation therapy (SIRT).</p><p><strong>Materials and methods: </strong>A retrospective analysis was conducted on 204 patients with unresectable liver malignancies who underwent SIRT between August 2022 and November 2024. Pretherapeutic evaluation included diagnostic angiography and 99m Tc-MAA imaging. Posttherapeutic 90 Y-PET/CT was performed within 24 h of treatment to verify microspheres distribution. Patients with AAW accumulation on 99m Tc-MAA images or 90 Y-microspheres PET/CT images were analyzed, and follow-up results for at least 3 months served as reference standards.</p><p><strong>Results: </strong>Among 204 patients, 21 (10.3%) showed AAW accumulation on 99m Tc-MAA images or 90 Y-microspheres PET/CT images. Concordant findings between 99m Tc-MAA images and 90 Y-PET/CT images were observed in 11(11/21, 52.4%) cases, while five cases (5/21, 23.8%) showed accumulation only on 90 Y-PET/CT images, and the other five cases (5/21, 23.8%) showed accumulation only on 99m Tc-MAA images. The hepatic falciform artery (HFA) was found in two patients. Mild abdominal pain was observed in four patients, and only one patient experienced abdominal dermatitis, which resolved spontaneously. The remaining patients did not experience any relevant side effects during the follow-up period.</p><p><strong>Conclusion: </strong>AAW-related complications were infrequent and mild, suggesting that a patent HFA may not be considered a contraindication for SIRT; however, discordance between 99m Tc-MAA and 90 Y-PET/CT highlights the need for vigilant posttreatment monitoring, even in cases without pretherapeutic AAW accumulation.</p>","PeriodicalId":19708,"journal":{"name":"Nuclear Medicine Communications","volume":" ","pages":"1029-1036"},"PeriodicalIF":1.3000,"publicationDate":"2025-11-01","publicationTypes":"Journal Article","fieldsOfStudy":null,"isOpenAccess":false,"openAccessPdf":"https://www.ncbi.nlm.nih.gov/pmc/articles/PMC12502947/pdf/","citationCount":"0","resultStr":"{\"title\":\"Discordant patterns of anterior abdominal wall radiotracer accumulation in yttrium-90 selective internal radiation therapy: implications for pretherapeutic planning and posttreatment monitoring.\",\"authors\":\"Huanyu Gong, Yong Cheng, Jingjie Shang, Qijun Cai, Yingxin Li, Kangshou Liu, Yulong Liu, Jian Gong, Hao Xu\",\"doi\":\"10.1097/MNM.0000000000002035\",\"DOIUrl\":null,\"url\":null,\"abstract\":\"<p><strong>Purpose: </strong>This study aimed to investigate the differential patterns of anterior abdominal wall (AAW) radiotracer accumulation using pretherapeutic technetium-99m macroaggregated albumin ( 99m Tc-MAA) single photon emission computed tomography/computed tomography (SPECT/CT) and posttherapeutic yttrium-90 ( 90 Y) positron emission tomography/CT (PET/CT) imaging in 90 Y resin microspheres selective internal radiation therapy (SIRT).</p><p><strong>Materials and methods: </strong>A retrospective analysis was conducted on 204 patients with unresectable liver malignancies who underwent SIRT between August 2022 and November 2024. Pretherapeutic evaluation included diagnostic angiography and 99m Tc-MAA imaging. Posttherapeutic 90 Y-PET/CT was performed within 24 h of treatment to verify microspheres distribution. Patients with AAW accumulation on 99m Tc-MAA images or 90 Y-microspheres PET/CT images were analyzed, and follow-up results for at least 3 months served as reference standards.</p><p><strong>Results: </strong>Among 204 patients, 21 (10.3%) showed AAW accumulation on 99m Tc-MAA images or 90 Y-microspheres PET/CT images. Concordant findings between 99m Tc-MAA images and 90 Y-PET/CT images were observed in 11(11/21, 52.4%) cases, while five cases (5/21, 23.8%) showed accumulation only on 90 Y-PET/CT images, and the other five cases (5/21, 23.8%) showed accumulation only on 99m Tc-MAA images. The hepatic falciform artery (HFA) was found in two patients. Mild abdominal pain was observed in four patients, and only one patient experienced abdominal dermatitis, which resolved spontaneously. The remaining patients did not experience any relevant side effects during the follow-up period.</p><p><strong>Conclusion: </strong>AAW-related complications were infrequent and mild, suggesting that a patent HFA may not be considered a contraindication for SIRT; however, discordance between 99m Tc-MAA and 90 Y-PET/CT highlights the need for vigilant posttreatment monitoring, even in cases without pretherapeutic AAW accumulation.</p>\",\"PeriodicalId\":19708,\"journal\":{\"name\":\"Nuclear Medicine Communications\",\"volume\":\" \",\"pages\":\"1029-1036\"},\"PeriodicalIF\":1.3000,\"publicationDate\":\"2025-11-01\",\"publicationTypes\":\"Journal Article\",\"fieldsOfStudy\":null,\"isOpenAccess\":false,\"openAccessPdf\":\"https://www.ncbi.nlm.nih.gov/pmc/articles/PMC12502947/pdf/\",\"citationCount\":\"0\",\"resultStr\":null,\"platform\":\"Semanticscholar\",\"paperid\":null,\"PeriodicalName\":\"Nuclear Medicine Communications\",\"FirstCategoryId\":\"3\",\"ListUrlMain\":\"https://doi.org/10.1097/MNM.0000000000002035\",\"RegionNum\":4,\"RegionCategory\":\"医学\",\"ArticlePicture\":[],\"TitleCN\":null,\"AbstractTextCN\":null,\"PMCID\":null,\"EPubDate\":\"2025/8/5 0:00:00\",\"PubModel\":\"Epub\",\"JCR\":\"Q3\",\"JCRName\":\"RADIOLOGY, NUCLEAR MEDICINE & MEDICAL IMAGING\",\"Score\":null,\"Total\":0}","platform":"Semanticscholar","paperid":null,"PeriodicalName":"Nuclear Medicine Communications","FirstCategoryId":"3","ListUrlMain":"https://doi.org/10.1097/MNM.0000000000002035","RegionNum":4,"RegionCategory":"医学","ArticlePicture":[],"TitleCN":null,"AbstractTextCN":null,"PMCID":null,"EPubDate":"2025/8/5 0:00:00","PubModel":"Epub","JCR":"Q3","JCRName":"RADIOLOGY, NUCLEAR MEDICINE & MEDICAL IMAGING","Score":null,"Total":0}
引用次数: 0

摘要

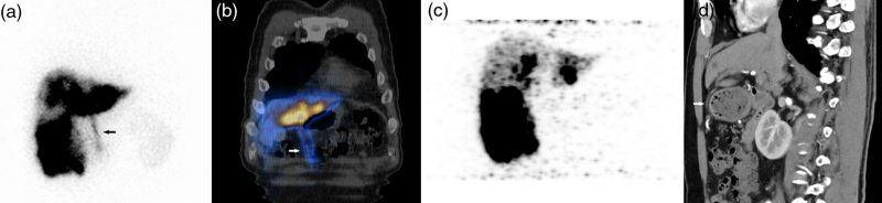
目的:探讨90Y树脂微球选择性内放射治疗(SIRT)中前腹壁(AAW)放射性示踪剂积累的差异模式,采用99mTc-MAA单光子发射计算机断层扫描(SPECT/CT)和90Y正电子发射断层扫描(PET/CT)对前腹壁(AAW)放射性示踪剂积累的影响。材料与方法:回顾性分析2022年8月至2024年11月期间接受SIRT治疗的204例不可切除肝脏恶性肿瘤患者。治疗前评估包括诊断性血管造影和99mTc-MAA成像。治疗后24小时内进行90Y-PET/CT检查微球分布。分析99mTc-MAA图像或90y微球PET/CT图像上AAW积累的患者,并以至少3个月的随访结果作为参考标准。结果:204例患者中,21例(10.3%)在99mTc-MAA图像或90y微球PET/CT图像上显示AAW积累。99mTc-MAA影像与90Y-PET/CT影像一致的有11例(11/21,52.4%),仅在90Y-PET/CT影像上有堆积的有5例(5/21,23.8%),仅在99mTc-MAA影像上有堆积的有5例(5/21,23.8%)。2例患者发现肝镰状动脉(HFA)。4例患者出现轻度腹痛,仅有1例患者出现腹部皮炎,并自行消退。其余患者在随访期间未出现任何相关副作用。结论:aaw相关的并发症罕见且轻微,提示HFA专利可能不被认为是SIRT的禁忌症;然而,99mTc-MAA和90Y-PET/CT之间的不一致强调了治疗后警惕监测的必要性,即使在治疗前没有AAW积累的病例中也是如此。
本文章由计算机程序翻译,如有差异,请以英文原文为准。

Discordant patterns of anterior abdominal wall radiotracer accumulation in yttrium-90 selective internal radiation therapy: implications for pretherapeutic planning and posttreatment monitoring.

Discordant patterns of anterior abdominal wall radiotracer accumulation in yttrium-90 selective internal radiation therapy: implications for pretherapeutic planning and posttreatment monitoring.

Discordant patterns of anterior abdominal wall radiotracer accumulation in yttrium-90 selective internal radiation therapy: implications for pretherapeutic planning and posttreatment monitoring.

Discordant patterns of anterior abdominal wall radiotracer accumulation in yttrium-90 selective internal radiation therapy: implications for pretherapeutic planning and posttreatment monitoring.

Purpose: This study aimed to investigate the differential patterns of anterior abdominal wall (AAW) radiotracer accumulation using pretherapeutic technetium-99m macroaggregated albumin ( 99m Tc-MAA) single photon emission computed tomography/computed tomography (SPECT/CT) and posttherapeutic yttrium-90 ( 90 Y) positron emission tomography/CT (PET/CT) imaging in 90 Y resin microspheres selective internal radiation therapy (SIRT).

Materials and methods: A retrospective analysis was conducted on 204 patients with unresectable liver malignancies who underwent SIRT between August 2022 and November 2024. Pretherapeutic evaluation included diagnostic angiography and 99m Tc-MAA imaging. Posttherapeutic 90 Y-PET/CT was performed within 24 h of treatment to verify microspheres distribution. Patients with AAW accumulation on 99m Tc-MAA images or 90 Y-microspheres PET/CT images were analyzed, and follow-up results for at least 3 months served as reference standards.

Results: Among 204 patients, 21 (10.3%) showed AAW accumulation on 99m Tc-MAA images or 90 Y-microspheres PET/CT images. Concordant findings between 99m Tc-MAA images and 90 Y-PET/CT images were observed in 11(11/21, 52.4%) cases, while five cases (5/21, 23.8%) showed accumulation only on 90 Y-PET/CT images, and the other five cases (5/21, 23.8%) showed accumulation only on 99m Tc-MAA images. The hepatic falciform artery (HFA) was found in two patients. Mild abdominal pain was observed in four patients, and only one patient experienced abdominal dermatitis, which resolved spontaneously. The remaining patients did not experience any relevant side effects during the follow-up period.

Conclusion: AAW-related complications were infrequent and mild, suggesting that a patent HFA may not be considered a contraindication for SIRT; however, discordance between 99m Tc-MAA and 90 Y-PET/CT highlights the need for vigilant posttreatment monitoring, even in cases without pretherapeutic AAW accumulation.

求助全文
通过发布文献求助,成功后即可免费获取论文全文。 去求助
来源期刊
CiteScore
2.20
自引率
6.70%
发文量
212
审稿时长
3-8 weeks
期刊介绍: Nuclear Medicine Communications, the official journal of the British Nuclear Medicine Society, is a rapid communications journal covering nuclear medicine and molecular imaging with radionuclides, and the basic supporting sciences. As well as clinical research and commentary, manuscripts describing research on preclinical and basic sciences (radiochemistry, radiopharmacy, radiobiology, radiopharmacology, medical physics, computing and engineering, and technical and nursing professions involved in delivering nuclear medicine services) are welcomed, as the journal is intended to be of interest internationally to all members of the many medical and non-medical disciplines involved in nuclear medicine. In addition to papers reporting original studies, frankly written editorials and topical reviews are a regular feature of the journal.
×
引用
GB/T 7714-2015
复制
MLA
复制
APA
复制
导出至
BibTeX EndNote RefMan NoteFirst NoteExpress
×
提示
您的信息不完整,为了账户安全,请先补充。
现在去补充
×
提示
您因"违规操作"
具体请查看互助需知
我知道了
×
提示
确定
请完成安全验证×
copy
已复制链接
快去分享给好友吧!
我知道了
右上角分享
点击右上角分享
0
联系我们:info@booksci.cn Book学术提供免费学术资源搜索服务,方便国内外学者检索中英文文献。致力于提供最便捷和优质的服务体验。 Copyright © 2023 布克学术 All rights reserved.
京ICP备2023020795号-1
ghs 京公网安备 11010802042870号
Book学术文献互助
Book学术文献互助群
群 号:604180095
Book学术官方微信