外侧开楔股骨远端截骨术治疗膝外翻患者术中术后铰链骨折分析。

IF 2.1 2区 医学 Q2 ORTHOPEDICS
Orthopaedic Surgery Pub Date : 2025-09-01 Epub Date: 2025-08-05 DOI:10.1111/os.70142
Zijian Lian, Bin Zhao, Jianxiong Ma, Songqing Ye, Haohao Bai, Zhihu Zhao, Xuan Jiang, Fei Xing, Yao Deng, Wei Luo, Xinlong Ma
{"title":"外侧开楔股骨远端截骨术治疗膝外翻患者术中术后铰链骨折分析。","authors":"Zijian Lian, Bin Zhao, Jianxiong Ma, Songqing Ye, Haohao Bai, Zhihu Zhao, Xuan Jiang, Fei Xing, Yao Deng, Wei Luo, Xinlong Ma","doi":"10.1111/os.70142","DOIUrl":null,"url":null,"abstract":"<p><strong>Objective: </strong>Hinge fracture is a known complication of lateral open wedge distal femoral osteotomy (LOWDFO). However, few studies have differentiated between intraoperative hinge fractures (IHF) and postoperative hinge fractures (PHF). This study aims to investigate the causes of these two types of fractures to help reduce complication rates and improve surgical outcomes.</p><p><strong>Methods: </strong>We retrospectively analyzed data from 100 patients with genu valgum deformity and lateral unicompartmental osteoarthritis who underwent distal femoral osteotomy at our hospital between January 1st, 2022, and January 1st, 2024, in our hospital. Clinical parameters, radiological data, and the associated factors influencing IHF and PHF were analyzed. Radiological data such as mechanical axis deviation (MAD) and mechanical lateral distal femur angle (mLDFA) were collected. Clinical outcomes such as osteoarthritis index and time of healing were evaluated. Based on fracture morphology, IHF and PHF were further classified into Type 1 (extension), Type 2 (distal) and Type 3 (proximal) for detailed analysis. Statistical analyses included t-tests, Chi-square tests, and regression models to identify factors associated with IHF and PHF.</p><p><strong>Results: </strong>A total of 87 patients were included in this study. The mean healing time of patients with all kinds of hinge fractures (3.4 ± 1.2 months) was longer than that of patients with no hinge fractures (2.8 ± 0.7 months), which was significant, p = 0.013. The MAD correction, mLDFA correction, and mLDFA correction ratio were related to hinge fractures (p = 0.010, 0.002, and 0.002 respectively). The body weight was higher in all types of hinge fractures group (IHF and PHF together) than the no hinge fractures group. The IHF group had a longer time of healing than the no IHF group. In the IHF group, the mLDFA correction (p = 0.005), mLDFA correction ratio (p = 0.005), and BMI (p = 0.031) were higher than the no IHF group. The PHF was related to hinge position. The group of hinge localized proximal to the adductor tubercle (AT) had a higher rate of PHF than the group of hinge localized in the adductor tubercle (p = 0.001). The healing time in the IHF group (3.9 ± 1.4 months) was significantly longer than the healing time in the PHF group (2.7 ± 0.4 months) (p = 0.002).</p><p><strong>Conclusion: </strong>In patients with genu valgum undergoing LOWDFO, IHF and PHF represent distinct clinical entities. IHF is associated with greater mLDFA correction, higher mLDFA correction ratios, and increased body weight. In contrast, PHF is primarily associated with hinge position, with a higher incidence observed when the hinge is located proximal to the adductor tubercle. Among the two, IHF has a more pronounced impact on delayed bone healing.</p><p><strong>Level of evidence: </strong>Retrospective study Level IV.</p>","PeriodicalId":19566,"journal":{"name":"Orthopaedic Surgery","volume":" ","pages":"2629-2639"},"PeriodicalIF":2.1000,"publicationDate":"2025-09-01","publicationTypes":"Journal Article","fieldsOfStudy":null,"isOpenAccess":false,"openAccessPdf":"https://www.ncbi.nlm.nih.gov/pmc/articles/PMC12404878/pdf/","citationCount":"0","resultStr":"{\"title\":\"Analysis of Intraoperative and Postoperative Hinge Fractures of Patients With Genu Valgum Treated With Lateral Open Wedge Distal Femoral Osteotomy.\",\"authors\":\"Zijian Lian, Bin Zhao, Jianxiong Ma, Songqing Ye, Haohao Bai, Zhihu Zhao, Xuan Jiang, Fei Xing, Yao Deng, Wei Luo, Xinlong Ma\",\"doi\":\"10.1111/os.70142\",\"DOIUrl\":null,\"url\":null,\"abstract\":\"<p><strong>Objective: </strong>Hinge fracture is a known complication of lateral open wedge distal femoral osteotomy (LOWDFO). However, few studies have differentiated between intraoperative hinge fractures (IHF) and postoperative hinge fractures (PHF). This study aims to investigate the causes of these two types of fractures to help reduce complication rates and improve surgical outcomes.</p><p><strong>Methods: </strong>We retrospectively analyzed data from 100 patients with genu valgum deformity and lateral unicompartmental osteoarthritis who underwent distal femoral osteotomy at our hospital between January 1st, 2022, and January 1st, 2024, in our hospital. Clinical parameters, radiological data, and the associated factors influencing IHF and PHF were analyzed. Radiological data such as mechanical axis deviation (MAD) and mechanical lateral distal femur angle (mLDFA) were collected. Clinical outcomes such as osteoarthritis index and time of healing were evaluated. Based on fracture morphology, IHF and PHF were further classified into Type 1 (extension), Type 2 (distal) and Type 3 (proximal) for detailed analysis. Statistical analyses included t-tests, Chi-square tests, and regression models to identify factors associated with IHF and PHF.</p><p><strong>Results: </strong>A total of 87 patients were included in this study. The mean healing time of patients with all kinds of hinge fractures (3.4 ± 1.2 months) was longer than that of patients with no hinge fractures (2.8 ± 0.7 months), which was significant, p = 0.013. The MAD correction, mLDFA correction, and mLDFA correction ratio were related to hinge fractures (p = 0.010, 0.002, and 0.002 respectively). The body weight was higher in all types of hinge fractures group (IHF and PHF together) than the no hinge fractures group. The IHF group had a longer time of healing than the no IHF group. In the IHF group, the mLDFA correction (p = 0.005), mLDFA correction ratio (p = 0.005), and BMI (p = 0.031) were higher than the no IHF group. The PHF was related to hinge position. The group of hinge localized proximal to the adductor tubercle (AT) had a higher rate of PHF than the group of hinge localized in the adductor tubercle (p = 0.001). The healing time in the IHF group (3.9 ± 1.4 months) was significantly longer than the healing time in the PHF group (2.7 ± 0.4 months) (p = 0.002).</p><p><strong>Conclusion: </strong>In patients with genu valgum undergoing LOWDFO, IHF and PHF represent distinct clinical entities. IHF is associated with greater mLDFA correction, higher mLDFA correction ratios, and increased body weight. In contrast, PHF is primarily associated with hinge position, with a higher incidence observed when the hinge is located proximal to the adductor tubercle. Among the two, IHF has a more pronounced impact on delayed bone healing.</p><p><strong>Level of evidence: </strong>Retrospective study Level IV.</p>\",\"PeriodicalId\":19566,\"journal\":{\"name\":\"Orthopaedic Surgery\",\"volume\":\" \",\"pages\":\"2629-2639\"},\"PeriodicalIF\":2.1000,\"publicationDate\":\"2025-09-01\",\"publicationTypes\":\"Journal Article\",\"fieldsOfStudy\":null,\"isOpenAccess\":false,\"openAccessPdf\":\"https://www.ncbi.nlm.nih.gov/pmc/articles/PMC12404878/pdf/\",\"citationCount\":\"0\",\"resultStr\":null,\"platform\":\"Semanticscholar\",\"paperid\":null,\"PeriodicalName\":\"Orthopaedic Surgery\",\"FirstCategoryId\":\"3\",\"ListUrlMain\":\"https://doi.org/10.1111/os.70142\",\"RegionNum\":2,\"RegionCategory\":\"医学\",\"ArticlePicture\":[],\"TitleCN\":null,\"AbstractTextCN\":null,\"PMCID\":null,\"EPubDate\":\"2025/8/5 0:00:00\",\"PubModel\":\"Epub\",\"JCR\":\"Q2\",\"JCRName\":\"ORTHOPEDICS\",\"Score\":null,\"Total\":0}","platform":"Semanticscholar","paperid":null,"PeriodicalName":"Orthopaedic Surgery","FirstCategoryId":"3","ListUrlMain":"https://doi.org/10.1111/os.70142","RegionNum":2,"RegionCategory":"医学","ArticlePicture":[],"TitleCN":null,"AbstractTextCN":null,"PMCID":null,"EPubDate":"2025/8/5 0:00:00","PubModel":"Epub","JCR":"Q2","JCRName":"ORTHOPEDICS","Score":null,"Total":0}
引用次数: 0

摘要

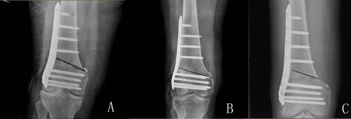
目的:铰链骨折是外侧开楔股骨远端截骨术(LOWDFO)的常见并发症。然而,很少有研究区分术中铰链骨折(IHF)和术后铰链骨折(PHF)。本研究旨在探讨这两种类型骨折的原因,以帮助减少并发症发生率和改善手术效果。方法:回顾性分析我院2022年1月1日至2024年1月1日行股骨远端截骨术的100例膝外翻畸形合并外侧单室骨关节炎患者的资料。分析临床参数、影像学资料及影响IHF和PHF的相关因素。收集影像学资料,如机械轴偏(MAD)和机械股骨远端外侧角(mLDFA)。评估骨关节炎指数和愈合时间等临床结果。根据骨折形态,进一步将IHF和PHF分为1型(延伸型)、2型(远端型)和3型(近端型)进行详细分析。统计分析包括t检验、卡方检验和回归模型,以确定与IHF和PHF相关的因素。结果:本研究共纳入87例患者。各类铰链骨折患者的平均愈合时间(3.4±1.2个月)均长于无铰链骨折患者的平均愈合时间(2.8±0.7个月),差异有统计学意义(p = 0.013)。MAD矫正、mLDFA矫正、mLDFA矫正率与铰链骨折相关(p值分别为0.010、0.002、0.002)。所有类型铰链骨折组(IHF和PHF合并)的体重均高于无铰链骨折组。IHF组愈合时间明显长于无IHF组。IHF组mLDFA校正率(p = 0.005)、mLDFA校正率(p = 0.005)、BMI (p = 0.031)均高于无IHF组。PHF与铰链位置有关。位于内收结节(AT)近端的铰链组的PHF发生率高于位于内收结节组(p = 0.001)。IHF组愈合时间(3.9±1.4个月)明显长于PHF组(2.7±0.4个月)(p = 0.002)。结论:在膝外翻患者中,IHF和PHF代表不同的临床实体。IHF与更大的mLDFA校正、更高的mLDFA校正率和体重增加有关。相反,PHF主要与铰链位置有关,当铰链位于内收肌结节近端时,发病率更高。两者中,IHF对延迟骨愈合的影响更为明显。证据等级:回顾性研究四级。
本文章由计算机程序翻译,如有差异,请以英文原文为准。

Analysis of Intraoperative and Postoperative Hinge Fractures of Patients With Genu Valgum Treated With Lateral Open Wedge Distal Femoral Osteotomy.

Analysis of Intraoperative and Postoperative Hinge Fractures of Patients With Genu Valgum Treated With Lateral Open Wedge Distal Femoral Osteotomy.

Analysis of Intraoperative and Postoperative Hinge Fractures of Patients With Genu Valgum Treated With Lateral Open Wedge Distal Femoral Osteotomy.

Analysis of Intraoperative and Postoperative Hinge Fractures of Patients With Genu Valgum Treated With Lateral Open Wedge Distal Femoral Osteotomy.

Objective: Hinge fracture is a known complication of lateral open wedge distal femoral osteotomy (LOWDFO). However, few studies have differentiated between intraoperative hinge fractures (IHF) and postoperative hinge fractures (PHF). This study aims to investigate the causes of these two types of fractures to help reduce complication rates and improve surgical outcomes.

Methods: We retrospectively analyzed data from 100 patients with genu valgum deformity and lateral unicompartmental osteoarthritis who underwent distal femoral osteotomy at our hospital between January 1st, 2022, and January 1st, 2024, in our hospital. Clinical parameters, radiological data, and the associated factors influencing IHF and PHF were analyzed. Radiological data such as mechanical axis deviation (MAD) and mechanical lateral distal femur angle (mLDFA) were collected. Clinical outcomes such as osteoarthritis index and time of healing were evaluated. Based on fracture morphology, IHF and PHF were further classified into Type 1 (extension), Type 2 (distal) and Type 3 (proximal) for detailed analysis. Statistical analyses included t-tests, Chi-square tests, and regression models to identify factors associated with IHF and PHF.

Results: A total of 87 patients were included in this study. The mean healing time of patients with all kinds of hinge fractures (3.4 ± 1.2 months) was longer than that of patients with no hinge fractures (2.8 ± 0.7 months), which was significant, p = 0.013. The MAD correction, mLDFA correction, and mLDFA correction ratio were related to hinge fractures (p = 0.010, 0.002, and 0.002 respectively). The body weight was higher in all types of hinge fractures group (IHF and PHF together) than the no hinge fractures group. The IHF group had a longer time of healing than the no IHF group. In the IHF group, the mLDFA correction (p = 0.005), mLDFA correction ratio (p = 0.005), and BMI (p = 0.031) were higher than the no IHF group. The PHF was related to hinge position. The group of hinge localized proximal to the adductor tubercle (AT) had a higher rate of PHF than the group of hinge localized in the adductor tubercle (p = 0.001). The healing time in the IHF group (3.9 ± 1.4 months) was significantly longer than the healing time in the PHF group (2.7 ± 0.4 months) (p = 0.002).

Conclusion: In patients with genu valgum undergoing LOWDFO, IHF and PHF represent distinct clinical entities. IHF is associated with greater mLDFA correction, higher mLDFA correction ratios, and increased body weight. In contrast, PHF is primarily associated with hinge position, with a higher incidence observed when the hinge is located proximal to the adductor tubercle. Among the two, IHF has a more pronounced impact on delayed bone healing.

Level of evidence: Retrospective study Level IV.

求助全文
通过发布文献求助,成功后即可免费获取论文全文。 去求助
来源期刊
Orthopaedic Surgery
Orthopaedic Surgery ORTHOPEDICS-
CiteScore
3.40
自引率
14.30%
发文量
374
审稿时长
20 weeks
期刊介绍: Orthopaedic Surgery (OS) is the official journal of the Chinese Orthopaedic Association, focusing on all aspects of orthopaedic technique and surgery. The journal publishes peer-reviewed articles in the following categories: Original Articles, Clinical Articles, Review Articles, Guidelines, Editorials, Commentaries, Surgical Techniques, Case Reports and Meeting Reports.
×
引用
GB/T 7714-2015
复制
MLA
复制
APA
复制
导出至
BibTeX EndNote RefMan NoteFirst NoteExpress
×
提示
您的信息不完整,为了账户安全,请先补充。
现在去补充
×
提示
您因"违规操作"
具体请查看互助需知
我知道了
×
提示
确定
请完成安全验证×
copy
已复制链接
快去分享给好友吧!
我知道了
右上角分享
点击右上角分享
0
联系我们:info@booksci.cn Book学术提供免费学术资源搜索服务,方便国内外学者检索中英文文献。致力于提供最便捷和优质的服务体验。 Copyright © 2023 布克学术 All rights reserved.
京ICP备2023020795号-1
ghs 京公网安备 11010802042870号
Book学术文献互助
Book学术文献互助群
群 号:604180095
Book学术官方微信