TLL1敲低可通过增强抗肿瘤免疫来减缓前列腺癌的进展。

IF 7.3 1区 医学 Q1 BIOCHEMISTRY & MOLECULAR BIOLOGY
Jing-Lan Hao, Jia-Qi He, Hang Hu, Zi-Heng Zhu, Xi Zhao, Xiao-Yu Wu, Lan Li, Yong-Tong Ruan, Juan Yang, Xin-Yi Luo, Wang-Xue Xu, Ming Fu, Kai Zhang, Ping Gao, Xiao-Ming Dong
{"title":"TLL1敲低可通过增强抗肿瘤免疫来减缓前列腺癌的进展。","authors":"Jing-Lan Hao, Jia-Qi He, Hang Hu, Zi-Heng Zhu, Xi Zhao, Xiao-Yu Wu, Lan Li, Yong-Tong Ruan, Juan Yang, Xin-Yi Luo, Wang-Xue Xu, Ming Fu, Kai Zhang, Ping Gao, Xiao-Ming Dong","doi":"10.1038/s41388-025-03517-7","DOIUrl":null,"url":null,"abstract":"Prostate cancer is one of the malignancies affecting men and contributes significantly to their increased mortality rates. Understanding the molecular mechanisms underlying the initiation and progression of prostate cancer is important for identifying potential drug targets. Here we showed that metalloproteinase TLL1 was positively associated with prostate cancer aggressiveness. Mechanistically, TLL1 promoted prostate cancer cells migration and metastasis through cleaving latent TGF-β1 to activate TGF-β signaling pathway. Moreover, LINC01179 interacted with Miz1 to attenuate TLL1 expression and LINC01179 impaired prostate cancer cell proliferation and migration ability by suppressing TLL1 expression to deactivate TGF-β signaling activity. Meanwhile, we observed that TLL1 increased the expression of PD-L1 by activating TGF-β signaling pathway and TLL1 depletion enhanced the antitumor efficacy by anti-PD-1 antibody via augmenting the infiltration proportions of CD8+ T cells in tumors. In addition, T cell-specific overexpression of TLL1 disrupted T cell development in the thymus. TLL1 overexpression in T cells accelerated RM-1 prostate tumor growth in mice by decreasing the infiltration of CD8+ T cells into tumors. Collectively, our results revealed that TLL1 may be a potential therapeutic target to alter prostate cancer progression.","PeriodicalId":19524,"journal":{"name":"Oncogene","volume":"44 38","pages":"3580-3597"},"PeriodicalIF":7.3000,"publicationDate":"2025-08-04","publicationTypes":"Journal Article","fieldsOfStudy":null,"isOpenAccess":false,"openAccessPdf":"","citationCount":"0","resultStr":"{\"title\":\"TLL1 knockdown attenuates prostate cancer progression by enhancing antitumor immunity\",\"authors\":\"Jing-Lan Hao, Jia-Qi He, Hang Hu, Zi-Heng Zhu, Xi Zhao, Xiao-Yu Wu, Lan Li, Yong-Tong Ruan, Juan Yang, Xin-Yi Luo, Wang-Xue Xu, Ming Fu, Kai Zhang, Ping Gao, Xiao-Ming Dong\",\"doi\":\"10.1038/s41388-025-03517-7\",\"DOIUrl\":null,\"url\":null,\"abstract\":\"Prostate cancer is one of the malignancies affecting men and contributes significantly to their increased mortality rates. Understanding the molecular mechanisms underlying the initiation and progression of prostate cancer is important for identifying potential drug targets. Here we showed that metalloproteinase TLL1 was positively associated with prostate cancer aggressiveness. Mechanistically, TLL1 promoted prostate cancer cells migration and metastasis through cleaving latent TGF-β1 to activate TGF-β signaling pathway. Moreover, LINC01179 interacted with Miz1 to attenuate TLL1 expression and LINC01179 impaired prostate cancer cell proliferation and migration ability by suppressing TLL1 expression to deactivate TGF-β signaling activity. Meanwhile, we observed that TLL1 increased the expression of PD-L1 by activating TGF-β signaling pathway and TLL1 depletion enhanced the antitumor efficacy by anti-PD-1 antibody via augmenting the infiltration proportions of CD8+ T cells in tumors. In addition, T cell-specific overexpression of TLL1 disrupted T cell development in the thymus. TLL1 overexpression in T cells accelerated RM-1 prostate tumor growth in mice by decreasing the infiltration of CD8+ T cells into tumors. Collectively, our results revealed that TLL1 may be a potential therapeutic target to alter prostate cancer progression.\",\"PeriodicalId\":19524,\"journal\":{\"name\":\"Oncogene\",\"volume\":\"44 38\",\"pages\":\"3580-3597\"},\"PeriodicalIF\":7.3000,\"publicationDate\":\"2025-08-04\",\"publicationTypes\":\"Journal Article\",\"fieldsOfStudy\":null,\"isOpenAccess\":false,\"openAccessPdf\":\"\",\"citationCount\":\"0\",\"resultStr\":null,\"platform\":\"Semanticscholar\",\"paperid\":null,\"PeriodicalName\":\"Oncogene\",\"FirstCategoryId\":\"3\",\"ListUrlMain\":\"https://www.nature.com/articles/s41388-025-03517-7\",\"RegionNum\":1,\"RegionCategory\":\"医学\",\"ArticlePicture\":[],\"TitleCN\":null,\"AbstractTextCN\":null,\"PMCID\":null,\"EPubDate\":\"\",\"PubModel\":\"\",\"JCR\":\"Q1\",\"JCRName\":\"BIOCHEMISTRY & MOLECULAR BIOLOGY\",\"Score\":null,\"Total\":0}","platform":"Semanticscholar","paperid":null,"PeriodicalName":"Oncogene","FirstCategoryId":"3","ListUrlMain":"https://www.nature.com/articles/s41388-025-03517-7","RegionNum":1,"RegionCategory":"医学","ArticlePicture":[],"TitleCN":null,"AbstractTextCN":null,"PMCID":null,"EPubDate":"","PubModel":"","JCR":"Q1","JCRName":"BIOCHEMISTRY & MOLECULAR BIOLOGY","Score":null,"Total":0}
引用次数: 0

摘要

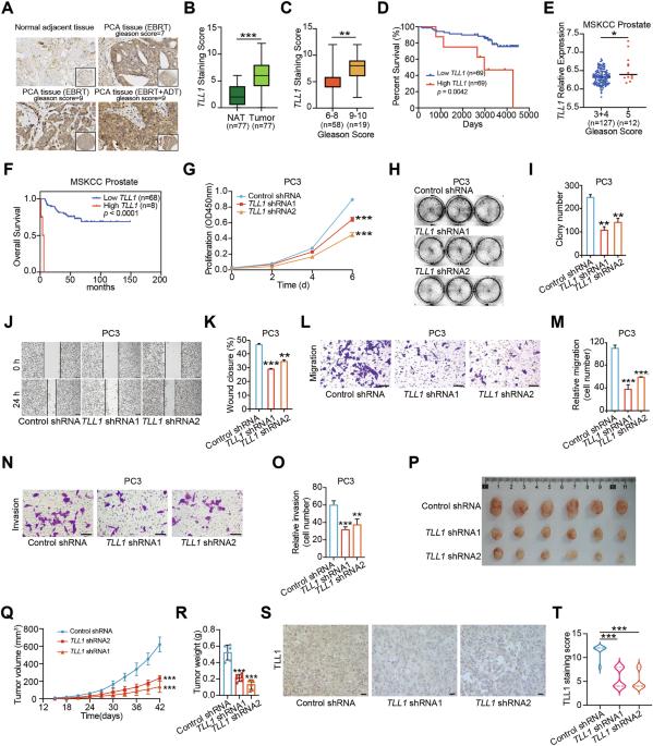
前列腺癌是影响男性的恶性肿瘤之一,是导致男性死亡率上升的重要原因。了解前列腺癌发生和发展的分子机制对于确定潜在的药物靶点非常重要。本研究表明,金属蛋白酶TLL1与前列腺癌侵袭性呈正相关。在机制上,TLL1通过切割潜伏的TGF-β1激活TGF-β信号通路,促进前列腺癌细胞迁移转移。此外,LINC01179与Miz1相互作用,减弱TLL1的表达,LINC01179通过抑制TLL1的表达,使TGF-β信号活性失活,从而损害前列腺癌细胞的增殖和迁移能力。同时,我们观察到TLL1通过激活TGF-β信号通路增加PD-L1的表达,TLL1的缺失通过增加肿瘤中CD8+ T细胞的浸润比例来增强抗pd -1抗体的抗肿瘤效果。此外,TLL1的T细胞特异性过表达破坏了胸腺中T细胞的发育。TLL1在T细胞中的过表达通过减少CD8+ T细胞对肿瘤的浸润来加速小鼠RM-1前列腺肿瘤的生长。总之,我们的研究结果表明,TLL1可能是改变前列腺癌进展的潜在治疗靶点。
本文章由计算机程序翻译,如有差异,请以英文原文为准。

TLL1 knockdown attenuates prostate cancer progression by enhancing antitumor immunity

TLL1 knockdown attenuates prostate cancer progression by enhancing antitumor immunity
Prostate cancer is one of the malignancies affecting men and contributes significantly to their increased mortality rates. Understanding the molecular mechanisms underlying the initiation and progression of prostate cancer is important for identifying potential drug targets. Here we showed that metalloproteinase TLL1 was positively associated with prostate cancer aggressiveness. Mechanistically, TLL1 promoted prostate cancer cells migration and metastasis through cleaving latent TGF-β1 to activate TGF-β signaling pathway. Moreover, LINC01179 interacted with Miz1 to attenuate TLL1 expression and LINC01179 impaired prostate cancer cell proliferation and migration ability by suppressing TLL1 expression to deactivate TGF-β signaling activity. Meanwhile, we observed that TLL1 increased the expression of PD-L1 by activating TGF-β signaling pathway and TLL1 depletion enhanced the antitumor efficacy by anti-PD-1 antibody via augmenting the infiltration proportions of CD8+ T cells in tumors. In addition, T cell-specific overexpression of TLL1 disrupted T cell development in the thymus. TLL1 overexpression in T cells accelerated RM-1 prostate tumor growth in mice by decreasing the infiltration of CD8+ T cells into tumors. Collectively, our results revealed that TLL1 may be a potential therapeutic target to alter prostate cancer progression.
求助全文
通过发布文献求助,成功后即可免费获取论文全文。 去求助
来源期刊
Oncogene
Oncogene 医学-生化与分子生物学
CiteScore
15.30
自引率
1.20%
发文量
404
审稿时长
1 months
期刊介绍: Oncogene is dedicated to advancing our understanding of cancer processes through the publication of exceptional research. The journal seeks to disseminate work that challenges conventional theories and contributes to establishing new paradigms in the etio-pathogenesis, diagnosis, treatment, or prevention of cancers. Emphasis is placed on research shedding light on processes driving metastatic spread and providing crucial insights into cancer biology beyond existing knowledge. Areas covered include the cellular and molecular biology of cancer, resistance to cancer therapies, and the development of improved approaches to enhance survival. Oncogene spans the spectrum of cancer biology, from fundamental and theoretical work to translational, applied, and clinical research, including early and late Phase clinical trials, particularly those with biologic and translational endpoints.
×
引用
GB/T 7714-2015
复制
MLA
复制
APA
复制
导出至
BibTeX EndNote RefMan NoteFirst NoteExpress
×
提示
您的信息不完整,为了账户安全,请先补充。
现在去补充
×
提示
您因"违规操作"
具体请查看互助需知
我知道了
×
提示
确定
请完成安全验证×
copy
已复制链接
快去分享给好友吧!
我知道了
右上角分享
点击右上角分享
0
联系我们:info@booksci.cn Book学术提供免费学术资源搜索服务,方便国内外学者检索中英文文献。致力于提供最便捷和优质的服务体验。 Copyright © 2023 布克学术 All rights reserved.
京ICP备2023020795号-1
ghs 京公网安备 11010802042870号
Book学术文献互助
Book学术文献互助群
群 号:604180095
Book学术官方微信