β3-肾上腺素能受体激动剂对老年患者正电子发射断层成像中棕色脂肪组织[18F]氟脱氧葡萄糖摄取的影响

IF 3.1 3区 医学 Q1 RADIOLOGY, NUCLEAR MEDICINE & MEDICAL IMAGING
John Kenneth V Gacula, Kenichiro Ogane, Kaori Fuse, Miyako Morooka Chikanishi, Kimiteru Ito
{"title":"β3-肾上腺素能受体激动剂对老年患者正电子发射断层成像中棕色脂肪组织[18F]氟脱氧葡萄糖摄取的影响","authors":"John Kenneth V Gacula, Kenichiro Ogane, Kaori Fuse, Miyako Morooka Chikanishi, Kimiteru Ito","doi":"10.1186/s13550-025-01286-8","DOIUrl":null,"url":null,"abstract":"<p><strong>Background: </strong>Brown adipose tissues (BAT) are highly vascularized, mitochondria-rich tissues involved in thermogenesis. Physiological [<sup>18</sup>F]fluorodeoxyglucose ([<sup>18</sup>F]FDG) uptake in BAT can be influenced by several factors, including the use of medications that act on β-adrenergic receptors. Recently, increased [<sup>18</sup>F]FDG BAT uptake has been observed in elderly patients (≥ 60 years old) receiving β3-adrenergic receptor agonists. With the increasing use of β3-adrenergic receptor agonists for managing overactive bladder, there is limited understanding of their potential association with increased [<sup>18</sup>F]FDG BAT uptake. This study retrospectively investigated whether treatment with β3-adrenergic receptor agonists is associated with increased [<sup>18</sup>F]FDG BAT uptake among elderly patients. [<sup>18</sup>F]FDG positron emission tomography (PET) images were analyzed visually and through SUVmax measurements across eight predefined regions of interest (ROI): cervical, periclavicular, axillary, mediastinal, paravertebral, paraabdominal aortic, perirenal, and perisplenic regions. Patients' medication history and clinical records were reviewed to assess β3-adrenergic receptor agonist use relative to their [<sup>18</sup>F]FDG PET study.</p><p><strong>Results: </strong>Forty-four elderly patients, each with a single [<sup>18</sup>F]FDG PET scan, were included in the analysis. Among the eight ROIs, the perirenal region showed a statistically significant increase in [<sup>18</sup>F]FDG BAT uptake in patients receiving β3-adrenergic receptor agonists compared with those not receiving, based on both visual analysis (p < 0.001) and SUVmax measurements (p = 0.030). All patients receiving β3-adrenergic receptor agonists demonstrated increased [<sup>18</sup>F]FDG BAT uptake in the paravertebral region.</p><p><strong>Conclusion: </strong>In patients aged ≥ 60 years, β3-adrenergic receptor agonist therapy appears to be associated with increased [<sup>18</sup>F]FDG BAT uptake, particularly in the perirenal area.</p>","PeriodicalId":11611,"journal":{"name":"EJNMMI Research","volume":"15 1","pages":"101"},"PeriodicalIF":3.1000,"publicationDate":"2025-08-04","publicationTypes":"Journal Article","fieldsOfStudy":null,"isOpenAccess":false,"openAccessPdf":"https://www.ncbi.nlm.nih.gov/pmc/articles/PMC12321703/pdf/","citationCount":"0","resultStr":"{\"title\":\"Effect of β3-adrenergic receptor agonists on [<sup>18</sup>F] fluorodeoxyglucose uptake in brown adipose tissues in positron emission tomography images of elderly patients.\",\"authors\":\"John Kenneth V Gacula, Kenichiro Ogane, Kaori Fuse, Miyako Morooka Chikanishi, Kimiteru Ito\",\"doi\":\"10.1186/s13550-025-01286-8\",\"DOIUrl\":null,\"url\":null,\"abstract\":\"<p><strong>Background: </strong>Brown adipose tissues (BAT) are highly vascularized, mitochondria-rich tissues involved in thermogenesis. Physiological [<sup>18</sup>F]fluorodeoxyglucose ([<sup>18</sup>F]FDG) uptake in BAT can be influenced by several factors, including the use of medications that act on β-adrenergic receptors. Recently, increased [<sup>18</sup>F]FDG BAT uptake has been observed in elderly patients (≥ 60 years old) receiving β3-adrenergic receptor agonists. With the increasing use of β3-adrenergic receptor agonists for managing overactive bladder, there is limited understanding of their potential association with increased [<sup>18</sup>F]FDG BAT uptake. This study retrospectively investigated whether treatment with β3-adrenergic receptor agonists is associated with increased [<sup>18</sup>F]FDG BAT uptake among elderly patients. [<sup>18</sup>F]FDG positron emission tomography (PET) images were analyzed visually and through SUVmax measurements across eight predefined regions of interest (ROI): cervical, periclavicular, axillary, mediastinal, paravertebral, paraabdominal aortic, perirenal, and perisplenic regions. Patients' medication history and clinical records were reviewed to assess β3-adrenergic receptor agonist use relative to their [<sup>18</sup>F]FDG PET study.</p><p><strong>Results: </strong>Forty-four elderly patients, each with a single [<sup>18</sup>F]FDG PET scan, were included in the analysis. Among the eight ROIs, the perirenal region showed a statistically significant increase in [<sup>18</sup>F]FDG BAT uptake in patients receiving β3-adrenergic receptor agonists compared with those not receiving, based on both visual analysis (p < 0.001) and SUVmax measurements (p = 0.030). All patients receiving β3-adrenergic receptor agonists demonstrated increased [<sup>18</sup>F]FDG BAT uptake in the paravertebral region.</p><p><strong>Conclusion: </strong>In patients aged ≥ 60 years, β3-adrenergic receptor agonist therapy appears to be associated with increased [<sup>18</sup>F]FDG BAT uptake, particularly in the perirenal area.</p>\",\"PeriodicalId\":11611,\"journal\":{\"name\":\"EJNMMI Research\",\"volume\":\"15 1\",\"pages\":\"101\"},\"PeriodicalIF\":3.1000,\"publicationDate\":\"2025-08-04\",\"publicationTypes\":\"Journal Article\",\"fieldsOfStudy\":null,\"isOpenAccess\":false,\"openAccessPdf\":\"https://www.ncbi.nlm.nih.gov/pmc/articles/PMC12321703/pdf/\",\"citationCount\":\"0\",\"resultStr\":null,\"platform\":\"Semanticscholar\",\"paperid\":null,\"PeriodicalName\":\"EJNMMI Research\",\"FirstCategoryId\":\"3\",\"ListUrlMain\":\"https://doi.org/10.1186/s13550-025-01286-8\",\"RegionNum\":3,\"RegionCategory\":\"医学\",\"ArticlePicture\":[],\"TitleCN\":null,\"AbstractTextCN\":null,\"PMCID\":null,\"EPubDate\":\"\",\"PubModel\":\"\",\"JCR\":\"Q1\",\"JCRName\":\"RADIOLOGY, NUCLEAR MEDICINE & MEDICAL IMAGING\",\"Score\":null,\"Total\":0}","platform":"Semanticscholar","paperid":null,"PeriodicalName":"EJNMMI Research","FirstCategoryId":"3","ListUrlMain":"https://doi.org/10.1186/s13550-025-01286-8","RegionNum":3,"RegionCategory":"医学","ArticlePicture":[],"TitleCN":null,"AbstractTextCN":null,"PMCID":null,"EPubDate":"","PubModel":"","JCR":"Q1","JCRName":"RADIOLOGY, NUCLEAR MEDICINE & MEDICAL IMAGING","Score":null,"Total":0}
引用次数: 0

摘要

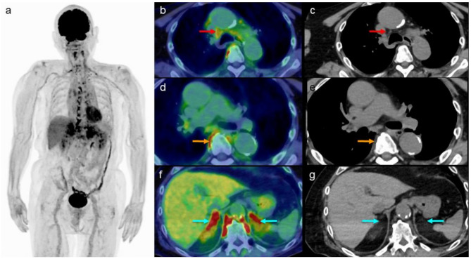
背景:棕色脂肪组织(BAT)是高度血管化的,线粒体丰富的组织,参与产热。BAT生理[18F]氟脱氧葡萄糖([18F]FDG)摄取可受到多种因素的影响,包括作用于β-肾上腺素能受体的药物的使用。最近,在接受β3-肾上腺素能受体激动剂治疗的老年患者(≥60岁)中观察到FDG - BAT摄取增加[18F]。随着β3-肾上腺素能受体激动剂越来越多地用于治疗膀胱过度活动,人们对其与FDG - BAT摄取增加的潜在关联的了解有限[18F]。本研究回顾性调查了β3-肾上腺素能受体激动剂治疗是否与老年患者[18F]FDG - BAT摄取增加有关。[18F]FDG正电子发射断层扫描(PET)图像通过视觉和SUVmax测量在八个预定义的感兴趣区域(ROI)进行分析:颈椎、锁骨周围、腋窝、纵隔、椎旁、腹主动脉旁、肾周和脾周区域。回顾患者的用药史和临床记录,以评估β3-肾上腺素能受体激动剂的使用与他们[18F]FDG PET研究的关系。结果:分析纳入44例老年患者,每位患者均进行了单次[18F]FDG PET扫描。在8个ROIs中,与未接受β3-肾上腺素能受体激动剂的患者相比,接受β3-肾上腺素能受体激动剂的患者肾周区FDG BAT摄取[18F]有统计学意义的增加,基于两种视觉分析[18F]椎旁区FDG BAT摄取。结论:在年龄≥60岁的患者中,β3-肾上腺素能受体激动剂治疗似乎与[18F]FDG - BAT摄取增加有关,尤其是在肾周区域。
本文章由计算机程序翻译,如有差异,请以英文原文为准。

Effect of β3-adrenergic receptor agonists on [<sup>18</sup>F] fluorodeoxyglucose uptake in brown adipose tissues in positron emission tomography images of elderly patients.

Effect of β3-adrenergic receptor agonists on [<sup>18</sup>F] fluorodeoxyglucose uptake in brown adipose tissues in positron emission tomography images of elderly patients.

Effect of β3-adrenergic receptor agonists on [<sup>18</sup>F] fluorodeoxyglucose uptake in brown adipose tissues in positron emission tomography images of elderly patients.

Effect of β3-adrenergic receptor agonists on [18F] fluorodeoxyglucose uptake in brown adipose tissues in positron emission tomography images of elderly patients.

Background: Brown adipose tissues (BAT) are highly vascularized, mitochondria-rich tissues involved in thermogenesis. Physiological [18F]fluorodeoxyglucose ([18F]FDG) uptake in BAT can be influenced by several factors, including the use of medications that act on β-adrenergic receptors. Recently, increased [18F]FDG BAT uptake has been observed in elderly patients (≥ 60 years old) receiving β3-adrenergic receptor agonists. With the increasing use of β3-adrenergic receptor agonists for managing overactive bladder, there is limited understanding of their potential association with increased [18F]FDG BAT uptake. This study retrospectively investigated whether treatment with β3-adrenergic receptor agonists is associated with increased [18F]FDG BAT uptake among elderly patients. [18F]FDG positron emission tomography (PET) images were analyzed visually and through SUVmax measurements across eight predefined regions of interest (ROI): cervical, periclavicular, axillary, mediastinal, paravertebral, paraabdominal aortic, perirenal, and perisplenic regions. Patients' medication history and clinical records were reviewed to assess β3-adrenergic receptor agonist use relative to their [18F]FDG PET study.

Results: Forty-four elderly patients, each with a single [18F]FDG PET scan, were included in the analysis. Among the eight ROIs, the perirenal region showed a statistically significant increase in [18F]FDG BAT uptake in patients receiving β3-adrenergic receptor agonists compared with those not receiving, based on both visual analysis (p < 0.001) and SUVmax measurements (p = 0.030). All patients receiving β3-adrenergic receptor agonists demonstrated increased [18F]FDG BAT uptake in the paravertebral region.

Conclusion: In patients aged ≥ 60 years, β3-adrenergic receptor agonist therapy appears to be associated with increased [18F]FDG BAT uptake, particularly in the perirenal area.

求助全文
通过发布文献求助,成功后即可免费获取论文全文。 去求助
来源期刊
EJNMMI Research
EJNMMI Research RADIOLOGY, NUCLEAR MEDICINE & MEDICAL IMAGING&nb-
CiteScore
5.90
自引率
3.10%
发文量
72
审稿时长
13 weeks
期刊介绍: EJNMMI Research publishes new basic, translational and clinical research in the field of nuclear medicine and molecular imaging. Regular features include original research articles, rapid communication of preliminary data on innovative research, interesting case reports, editorials, and letters to the editor. Educational articles on basic sciences, fundamental aspects and controversy related to pre-clinical and clinical research or ethical aspects of research are also welcome. Timely reviews provide updates on current applications, issues in imaging research and translational aspects of nuclear medicine and molecular imaging technologies. The main emphasis is placed on the development of targeted imaging with radiopharmaceuticals within the broader context of molecular probes to enhance understanding and characterisation of the complex biological processes underlying disease and to develop, test and guide new treatment modalities, including radionuclide therapy.
×
引用
GB/T 7714-2015
复制
MLA
复制
APA
复制
导出至
BibTeX EndNote RefMan NoteFirst NoteExpress
×
提示
您的信息不完整,为了账户安全,请先补充。
现在去补充
×
提示
您因"违规操作"
具体请查看互助需知
我知道了
×
提示
确定
请完成安全验证×
copy
已复制链接
快去分享给好友吧!
我知道了
右上角分享
点击右上角分享
0
联系我们:info@booksci.cn Book学术提供免费学术资源搜索服务,方便国内外学者检索中英文文献。致力于提供最便捷和优质的服务体验。 Copyright © 2023 布克学术 All rights reserved.
京ICP备2023020795号-1
ghs 京公网安备 11010802042870号
Book学术文献互助
Book学术文献互助群
群 号:604180095
Book学术官方微信