同种异体骨髓间充质细胞治疗克罗恩病复杂肛周和直肠阴道瘘的长期疗效:回顾性病例系列

IF 2.9 Q2 GASTROENTEROLOGY & HEPATOLOGY
Julia Husman, Margarete Wardenga, Sophie Kirk, Katja Matthes, Bernd Naumann, Jakob Dobroschke, Heiner Nebelung, Verena Plodeck, Mathias Krech, Martin Bornhäuser, Manuel Pfeifer, Sebastian Zeißig, Jochen Hampe, Renate Schmelz
{"title":"同种异体骨髓间充质细胞治疗克罗恩病复杂肛周和直肠阴道瘘的长期疗效:回顾性病例系列","authors":"Julia Husman, Margarete Wardenga, Sophie Kirk, Katja Matthes, Bernd Naumann, Jakob Dobroschke, Heiner Nebelung, Verena Plodeck, Mathias Krech, Martin Bornhäuser, Manuel Pfeifer, Sebastian Zeißig, Jochen Hampe, Renate Schmelz","doi":"10.1136/bmjgast-2025-001880","DOIUrl":null,"url":null,"abstract":"<p><strong>Objective: </strong>Perianal fistulas in Crohn's disease (CD) are associated with a high burden of illness and their treatment is challenging. Recent data indicate promising short-term efficacy of bone marrow-derived mesenchymal stromal cell (bmMSC) therapy. The aim of this case series is to gather more information on the long-term effectiveness and safety.</p><p><strong>Methods: </strong>Between 2013 and 2017, bmMSCs were administered under compassionate use to patients at a university hospital in Germany, as no stem cell therapy was approved at the time. Inclusion criteria were inactive CD (Harvey-Bradshaw Index <5) without proctitis, at least one treatment-refractory perianal fistula (with or without rectovaginal additional fistulas) and prior tumour necrosis factor-alpha inhibitor and/or surgical exposure. After curettage of the fistula tract, patients received repeated intrafistular injections with up to 300 million bmMSCs. We retrospectively analysed patient records to assess disease course, clinical fistula remission and radiological activity using the modified van Assche index.</p><p><strong>Results: </strong>Six female patients with a total of 13 fistulas (9 trans-sphincteric, 2 extrasphincteric and 2 rectovaginal) underwent bmMSC application. Median radiological and clinical long-term follow-up was 80 months (range 44-98 months) after first local bmMSC injection. 8 of 13 fistulas (62%) exhibited complete closure. For rectovaginal fistulas, long-term remission (98 months) was 50% (1 of 2). Pelvic MRI showed a decrease in modified Van Assche index from baseline to long-term follow-up. No immediate adverse events related to bmMSC injections were observed. One patient was diagnosed with a local adenocarcinoma of the rectum 106 months after first bmMSC injection. MRI control 11 months prior showed complete fistula remission. The tumour exhibited a female karyotype, while bmMSC had been derived from a male volunteer.</p><p><strong>Conclusion: </strong>In this analysis, 62% of complex perianal and 50% of rectovaginal fistulas showed long-term remission up to 8 years post-bmMSC therapy. Further real-world data are needed.</p>","PeriodicalId":9235,"journal":{"name":"BMJ Open Gastroenterology","volume":"12 1","pages":""},"PeriodicalIF":2.9000,"publicationDate":"2025-08-04","publicationTypes":"Journal Article","fieldsOfStudy":null,"isOpenAccess":false,"openAccessPdf":"https://www.ncbi.nlm.nih.gov/pmc/articles/PMC12323515/pdf/","citationCount":"0","resultStr":"{\"title\":\"Long-term effectiveness of allogeneic bone marrow-derived mesenchymal stromal cell therapy for complex perianal and rectovaginal fistulas in Crohn's disease: a retrospective case series.\",\"authors\":\"Julia Husman, Margarete Wardenga, Sophie Kirk, Katja Matthes, Bernd Naumann, Jakob Dobroschke, Heiner Nebelung, Verena Plodeck, Mathias Krech, Martin Bornhäuser, Manuel Pfeifer, Sebastian Zeißig, Jochen Hampe, Renate Schmelz\",\"doi\":\"10.1136/bmjgast-2025-001880\",\"DOIUrl\":null,\"url\":null,\"abstract\":\"<p><strong>Objective: </strong>Perianal fistulas in Crohn's disease (CD) are associated with a high burden of illness and their treatment is challenging. Recent data indicate promising short-term efficacy of bone marrow-derived mesenchymal stromal cell (bmMSC) therapy. The aim of this case series is to gather more information on the long-term effectiveness and safety.</p><p><strong>Methods: </strong>Between 2013 and 2017, bmMSCs were administered under compassionate use to patients at a university hospital in Germany, as no stem cell therapy was approved at the time. Inclusion criteria were inactive CD (Harvey-Bradshaw Index <5) without proctitis, at least one treatment-refractory perianal fistula (with or without rectovaginal additional fistulas) and prior tumour necrosis factor-alpha inhibitor and/or surgical exposure. After curettage of the fistula tract, patients received repeated intrafistular injections with up to 300 million bmMSCs. We retrospectively analysed patient records to assess disease course, clinical fistula remission and radiological activity using the modified van Assche index.</p><p><strong>Results: </strong>Six female patients with a total of 13 fistulas (9 trans-sphincteric, 2 extrasphincteric and 2 rectovaginal) underwent bmMSC application. Median radiological and clinical long-term follow-up was 80 months (range 44-98 months) after first local bmMSC injection. 8 of 13 fistulas (62%) exhibited complete closure. For rectovaginal fistulas, long-term remission (98 months) was 50% (1 of 2). Pelvic MRI showed a decrease in modified Van Assche index from baseline to long-term follow-up. No immediate adverse events related to bmMSC injections were observed. One patient was diagnosed with a local adenocarcinoma of the rectum 106 months after first bmMSC injection. MRI control 11 months prior showed complete fistula remission. The tumour exhibited a female karyotype, while bmMSC had been derived from a male volunteer.</p><p><strong>Conclusion: </strong>In this analysis, 62% of complex perianal and 50% of rectovaginal fistulas showed long-term remission up to 8 years post-bmMSC therapy. Further real-world data are needed.</p>\",\"PeriodicalId\":9235,\"journal\":{\"name\":\"BMJ Open Gastroenterology\",\"volume\":\"12 1\",\"pages\":\"\"},\"PeriodicalIF\":2.9000,\"publicationDate\":\"2025-08-04\",\"publicationTypes\":\"Journal Article\",\"fieldsOfStudy\":null,\"isOpenAccess\":false,\"openAccessPdf\":\"https://www.ncbi.nlm.nih.gov/pmc/articles/PMC12323515/pdf/\",\"citationCount\":\"0\",\"resultStr\":null,\"platform\":\"Semanticscholar\",\"paperid\":null,\"PeriodicalName\":\"BMJ Open Gastroenterology\",\"FirstCategoryId\":\"1085\",\"ListUrlMain\":\"https://doi.org/10.1136/bmjgast-2025-001880\",\"RegionNum\":0,\"RegionCategory\":null,\"ArticlePicture\":[],\"TitleCN\":null,\"AbstractTextCN\":null,\"PMCID\":null,\"EPubDate\":\"\",\"PubModel\":\"\",\"JCR\":\"Q2\",\"JCRName\":\"GASTROENTEROLOGY & HEPATOLOGY\",\"Score\":null,\"Total\":0}","platform":"Semanticscholar","paperid":null,"PeriodicalName":"BMJ Open Gastroenterology","FirstCategoryId":"1085","ListUrlMain":"https://doi.org/10.1136/bmjgast-2025-001880","RegionNum":0,"RegionCategory":null,"ArticlePicture":[],"TitleCN":null,"AbstractTextCN":null,"PMCID":null,"EPubDate":"","PubModel":"","JCR":"Q2","JCRName":"GASTROENTEROLOGY & HEPATOLOGY","Score":null,"Total":0}
引用次数: 0

摘要

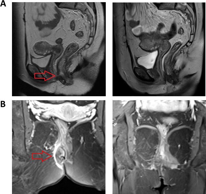
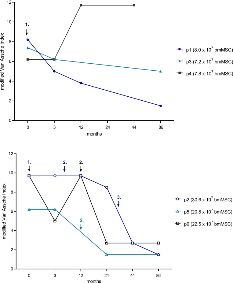
目的:克罗恩病(CD)的肛周瘘与疾病的高负担相关,其治疗具有挑战性。最近的数据表明,骨髓间充质间质细胞(bmMSC)治疗有希望的短期疗效。本病例系列的目的是收集更多关于长期有效性和安全性的信息。方法:在2013年至2017年期间,由于当时没有干细胞疗法被批准,在德国一家大学医院以同情使用的方式给患者施用bmMSCs。纳入标准为非活动性CD (Harvey-Bradshaw Index)。结果:6例女性患者共13例瘘(9例经括约肌瘘,2例经括约肌瘘,2例直肠阴道瘘)行bmMSC应用。首次局部注射骨髓间充质干细胞后,放射学和临床长期随访的中位时间为80个月(范围44-98个月)。13个瘘管中有8个(62%)完全闭合。对于直肠阴道瘘,长期缓解(98个月)为50%(1 / 2)。骨盆MRI显示从基线到长期随访,改良Van Assche指数下降。未观察到与骨髓间充质干细胞注射相关的立即不良事件。1例患者在首次骨髓间充质干细胞注射106个月后被诊断为直肠局部腺癌。11个月前的MRI对照显示瘘管完全缓解。肿瘤表现为女性核型,而bmMSC来自一名男性志愿者。结论:在该分析中,62%的复杂肛周瘘和50%的直肠阴道瘘在bmmsc治疗后8年内出现长期缓解。需要进一步的实际数据。
本文章由计算机程序翻译,如有差异,请以英文原文为准。

Long-term effectiveness of allogeneic bone marrow-derived mesenchymal stromal cell therapy for complex perianal and rectovaginal fistulas in Crohn's disease: a retrospective case series.

Long-term effectiveness of allogeneic bone marrow-derived mesenchymal stromal cell therapy for complex perianal and rectovaginal fistulas in Crohn's disease: a retrospective case series.

Long-term effectiveness of allogeneic bone marrow-derived mesenchymal stromal cell therapy for complex perianal and rectovaginal fistulas in Crohn's disease: a retrospective case series.

Objective: Perianal fistulas in Crohn's disease (CD) are associated with a high burden of illness and their treatment is challenging. Recent data indicate promising short-term efficacy of bone marrow-derived mesenchymal stromal cell (bmMSC) therapy. The aim of this case series is to gather more information on the long-term effectiveness and safety.

Methods: Between 2013 and 2017, bmMSCs were administered under compassionate use to patients at a university hospital in Germany, as no stem cell therapy was approved at the time. Inclusion criteria were inactive CD (Harvey-Bradshaw Index <5) without proctitis, at least one treatment-refractory perianal fistula (with or without rectovaginal additional fistulas) and prior tumour necrosis factor-alpha inhibitor and/or surgical exposure. After curettage of the fistula tract, patients received repeated intrafistular injections with up to 300 million bmMSCs. We retrospectively analysed patient records to assess disease course, clinical fistula remission and radiological activity using the modified van Assche index.

Results: Six female patients with a total of 13 fistulas (9 trans-sphincteric, 2 extrasphincteric and 2 rectovaginal) underwent bmMSC application. Median radiological and clinical long-term follow-up was 80 months (range 44-98 months) after first local bmMSC injection. 8 of 13 fistulas (62%) exhibited complete closure. For rectovaginal fistulas, long-term remission (98 months) was 50% (1 of 2). Pelvic MRI showed a decrease in modified Van Assche index from baseline to long-term follow-up. No immediate adverse events related to bmMSC injections were observed. One patient was diagnosed with a local adenocarcinoma of the rectum 106 months after first bmMSC injection. MRI control 11 months prior showed complete fistula remission. The tumour exhibited a female karyotype, while bmMSC had been derived from a male volunteer.

Conclusion: In this analysis, 62% of complex perianal and 50% of rectovaginal fistulas showed long-term remission up to 8 years post-bmMSC therapy. Further real-world data are needed.

求助全文
通过发布文献求助,成功后即可免费获取论文全文。 去求助
来源期刊
BMJ Open Gastroenterology
BMJ Open Gastroenterology GASTROENTEROLOGY & HEPATOLOGY-
CiteScore
5.90
自引率
3.20%
发文量
68
审稿时长
2 weeks
期刊介绍: BMJ Open Gastroenterology is an online-only, peer-reviewed, open access gastroenterology journal, dedicated to publishing high-quality medical research from all disciplines and therapeutic areas of gastroenterology. It is the open access companion journal of Gut and is co-owned by the British Society of Gastroenterology. The journal publishes all research study types, from study protocols to phase I trials to meta-analyses, including small or specialist studies. Publishing procedures are built around continuous publication, publishing research online as soon as the article is ready.
×
引用
GB/T 7714-2015
复制
MLA
复制
APA
复制
导出至
BibTeX EndNote RefMan NoteFirst NoteExpress
×
提示
您的信息不完整,为了账户安全,请先补充。
现在去补充
×
提示
您因"违规操作"
具体请查看互助需知
我知道了
×
提示
确定
请完成安全验证×
copy
已复制链接
快去分享给好友吧!
我知道了
右上角分享
点击右上角分享
0
联系我们:info@booksci.cn Book学术提供免费学术资源搜索服务,方便国内外学者检索中英文文献。致力于提供最便捷和优质的服务体验。 Copyright © 2023 布克学术 All rights reserved.
京ICP备2023020795号-1
ghs 京公网安备 11010802042870号
Book学术文献互助
Book学术文献互助群
群 号:604180095
Book学术官方微信