颈椎椎间盘突出症的连续椎间盘切除术与跳跃式椎间盘切除术融合:我们需要融合正常中间节段吗?

IF 1.3 Q2 OTORHINOLARYNGOLOGY
Shrinath Shah, Souvik Singha, Madhusudhan Nagesh, Ninad Sawant, Mohammed Nadeem, T S Lingaraju, Harsh Deora, Abhinith Shashidhar, Subhash Kanti Konar, Arivazhagan Arimappamagan, Srinivas Dwarakanath
{"title":"颈椎椎间盘突出症的连续椎间盘切除术与跳跃式椎间盘切除术融合:我们需要融合正常中间节段吗?","authors":"Shrinath Shah, Souvik Singha, Madhusudhan Nagesh, Ninad Sawant, Mohammed Nadeem, T S Lingaraju, Harsh Deora, Abhinith Shashidhar, Subhash Kanti Konar, Arivazhagan Arimappamagan, Srinivas Dwarakanath","doi":"10.4103/jcvjs.jcvjs_28_25","DOIUrl":null,"url":null,"abstract":"<p><strong>Aims and objectives: </strong>Noncontiguous degenerative cervical disc disease (NCDDD) is characterized by cervical disc prolapse involving nonadjacent segments. This study aims to determine if skip discectomy and fusion technique compared to contiguous discectomy and fusion while preserving adjacent segment disease in uninvolved intermediate segments leads to equivalent or better clinical and radiological outcomes.</p><p><strong>Methods: </strong>Fifty-two patients who underwent management of NCDDD and two-level contigious disc disease (CDD) over 6 years from 2014 to 2020 were included in the study. There were 44 male and 8 female patients with a mean age of 46.75 years. These patients were divided into two groups: Those who underwent contiguous discectomy and those who underwent skip discectomy with either anterior cervical discectomy (ACD) alone, ACD and fusion (ACDF), or ACDF with plating based on individual pathology and surgeon preference. Outcomes were assessed using clinical parameters such as modified Japanese Orthopaedic Association Score (mJOAS) and Nurick grade and radiological parameters such as disc height improvement, spinal alignment change, and fusion rates.</p><p><strong>Results: </strong>The overall mean duration of follow-up was 15.23 ± 23.69 months, with a clinical follow-up period of 23.87 ± 21.51 months and a radiological follow-up period of 7.57 ± 5.91 months, with follow-up in Group 1 being 24.67 ± 23.17 months and in Group 2 being 20.03 ± 10.53 months. The mean blood loss in Group 1 was 200.47 mL; in Group 2, it was 172 mL. The preoperative mJOAS was 10.19 ± 3.16, and the postoperative mJOAS was 12.73 ± 2.92 (<i>P</i> = 0.001). Nurick grade showed improvement from a preoperative mean score of 4.23 ± 1.02-3.65 ± 0.88 postoperatively (<i>P</i> < 0.001). Statistically significant improvement in intervertebral height at superior and inferior levels was observed. Outcomes for Skip discectomy regarding mJOAS, Nurick grade, radiological parameters, fusion, and complication rates were noninferior to contiguous discectomy and fusion.</p><p><strong>Conclusion: </strong>Skip discectomy has a similar benefit and risk profile and is noninferior compared to contiguous discectomy in addition to the preservation of intermediate disc integrity.</p>","PeriodicalId":51721,"journal":{"name":"Journal of Craniovertebral Junction and Spine","volume":"16 2","pages":"243-249"},"PeriodicalIF":1.3000,"publicationDate":"2025-04-01","publicationTypes":"Journal Article","fieldsOfStudy":null,"isOpenAccess":false,"openAccessPdf":"https://www.ncbi.nlm.nih.gov/pmc/articles/PMC12313045/pdf/","citationCount":"0","resultStr":"{\"title\":\"Contiguous versus skip discectomy and fusion in cervical disc herniation: Do we need to fuse the normal intermediate segment?\",\"authors\":\"Shrinath Shah, Souvik Singha, Madhusudhan Nagesh, Ninad Sawant, Mohammed Nadeem, T S Lingaraju, Harsh Deora, Abhinith Shashidhar, Subhash Kanti Konar, Arivazhagan Arimappamagan, Srinivas Dwarakanath\",\"doi\":\"10.4103/jcvjs.jcvjs_28_25\",\"DOIUrl\":null,\"url\":null,\"abstract\":\"<p><strong>Aims and objectives: </strong>Noncontiguous degenerative cervical disc disease (NCDDD) is characterized by cervical disc prolapse involving nonadjacent segments. This study aims to determine if skip discectomy and fusion technique compared to contiguous discectomy and fusion while preserving adjacent segment disease in uninvolved intermediate segments leads to equivalent or better clinical and radiological outcomes.</p><p><strong>Methods: </strong>Fifty-two patients who underwent management of NCDDD and two-level contigious disc disease (CDD) over 6 years from 2014 to 2020 were included in the study. There were 44 male and 8 female patients with a mean age of 46.75 years. These patients were divided into two groups: Those who underwent contiguous discectomy and those who underwent skip discectomy with either anterior cervical discectomy (ACD) alone, ACD and fusion (ACDF), or ACDF with plating based on individual pathology and surgeon preference. Outcomes were assessed using clinical parameters such as modified Japanese Orthopaedic Association Score (mJOAS) and Nurick grade and radiological parameters such as disc height improvement, spinal alignment change, and fusion rates.</p><p><strong>Results: </strong>The overall mean duration of follow-up was 15.23 ± 23.69 months, with a clinical follow-up period of 23.87 ± 21.51 months and a radiological follow-up period of 7.57 ± 5.91 months, with follow-up in Group 1 being 24.67 ± 23.17 months and in Group 2 being 20.03 ± 10.53 months. The mean blood loss in Group 1 was 200.47 mL; in Group 2, it was 172 mL. The preoperative mJOAS was 10.19 ± 3.16, and the postoperative mJOAS was 12.73 ± 2.92 (<i>P</i> = 0.001). Nurick grade showed improvement from a preoperative mean score of 4.23 ± 1.02-3.65 ± 0.88 postoperatively (<i>P</i> < 0.001). Statistically significant improvement in intervertebral height at superior and inferior levels was observed. Outcomes for Skip discectomy regarding mJOAS, Nurick grade, radiological parameters, fusion, and complication rates were noninferior to contiguous discectomy and fusion.</p><p><strong>Conclusion: </strong>Skip discectomy has a similar benefit and risk profile and is noninferior compared to contiguous discectomy in addition to the preservation of intermediate disc integrity.</p>\",\"PeriodicalId\":51721,\"journal\":{\"name\":\"Journal of Craniovertebral Junction and Spine\",\"volume\":\"16 2\",\"pages\":\"243-249\"},\"PeriodicalIF\":1.3000,\"publicationDate\":\"2025-04-01\",\"publicationTypes\":\"Journal Article\",\"fieldsOfStudy\":null,\"isOpenAccess\":false,\"openAccessPdf\":\"https://www.ncbi.nlm.nih.gov/pmc/articles/PMC12313045/pdf/\",\"citationCount\":\"0\",\"resultStr\":null,\"platform\":\"Semanticscholar\",\"paperid\":null,\"PeriodicalName\":\"Journal of Craniovertebral Junction and Spine\",\"FirstCategoryId\":\"1085\",\"ListUrlMain\":\"https://doi.org/10.4103/jcvjs.jcvjs_28_25\",\"RegionNum\":0,\"RegionCategory\":null,\"ArticlePicture\":[],\"TitleCN\":null,\"AbstractTextCN\":null,\"PMCID\":null,\"EPubDate\":\"2025/7/3 0:00:00\",\"PubModel\":\"Epub\",\"JCR\":\"Q2\",\"JCRName\":\"OTORHINOLARYNGOLOGY\",\"Score\":null,\"Total\":0}","platform":"Semanticscholar","paperid":null,"PeriodicalName":"Journal of Craniovertebral Junction and Spine","FirstCategoryId":"1085","ListUrlMain":"https://doi.org/10.4103/jcvjs.jcvjs_28_25","RegionNum":0,"RegionCategory":null,"ArticlePicture":[],"TitleCN":null,"AbstractTextCN":null,"PMCID":null,"EPubDate":"2025/7/3 0:00:00","PubModel":"Epub","JCR":"Q2","JCRName":"OTORHINOLARYNGOLOGY","Score":null,"Total":0}
引用次数: 0

摘要

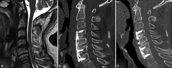
目的和目的:非连续性退行性颈椎间盘病(NCDDD)以累及非相邻节段的颈椎间盘脱垂为特征。本研究旨在确定跳跃式椎间盘切除术和融合技术与连续椎间盘切除术和融合技术相比,在未受累性中间节段保留邻近节段疾病是否会导致相同或更好的临床和放射学结果。方法:选取2014 - 2020年6年间接受NCDDD和两级连续椎间盘病变(CDD)治疗的患者52例。男44例,女8例,平均年龄46.75岁。这些患者被分为两组:一组接受连续椎间盘切除术,另一组接受跳跃椎间盘切除术,根据个体病理和外科医生的喜好,选择单独的前颈椎间盘切除术(ACD)、ACD和融合(ACDF)或ACDF加钢板。通过临床参数(如改良的日本骨科协会评分(mJOAS)和Nurick分级)和放射学参数(如椎间盘高度改善、脊柱排列改变和融合率)评估结果。结果:总平均随访时间15.23±23.69个月,临床随访时间23.87±21.51个月,放射学随访时间7.57±5.91个月,其中组1随访时间24.67±23.17个月,组2随访时间20.03±10.53个月。1组平均失血量200.47 mL;2组为172 mL。术前mJOAS为10.19±3.16,术后mJOAS为12.73±2.92 (P = 0.001)。Nurick评分较术前平均(4.23±1.02 ~ 3.65±0.88)有所改善(P < 0.001)。观察到上、下水平椎间高度有统计学意义的改善。在mJOAS、Nurick分级、放射学参数、融合和并发症发生率方面,跳绳椎间盘切除术的结果不逊于连续椎间盘切除术和融合。结论:与连续椎间盘切除术相比,跳跃式椎间盘切除术具有相似的益处和风险,并且除了保留中间椎间盘的完整性外,跳跃式椎间盘切除术也不逊色。
本文章由计算机程序翻译,如有差异,请以英文原文为准。

Contiguous versus skip discectomy and fusion in cervical disc herniation: Do we need to fuse the normal intermediate segment?

Contiguous versus skip discectomy and fusion in cervical disc herniation: Do we need to fuse the normal intermediate segment?

Contiguous versus skip discectomy and fusion in cervical disc herniation: Do we need to fuse the normal intermediate segment?

Contiguous versus skip discectomy and fusion in cervical disc herniation: Do we need to fuse the normal intermediate segment?

Aims and objectives: Noncontiguous degenerative cervical disc disease (NCDDD) is characterized by cervical disc prolapse involving nonadjacent segments. This study aims to determine if skip discectomy and fusion technique compared to contiguous discectomy and fusion while preserving adjacent segment disease in uninvolved intermediate segments leads to equivalent or better clinical and radiological outcomes.

Methods: Fifty-two patients who underwent management of NCDDD and two-level contigious disc disease (CDD) over 6 years from 2014 to 2020 were included in the study. There were 44 male and 8 female patients with a mean age of 46.75 years. These patients were divided into two groups: Those who underwent contiguous discectomy and those who underwent skip discectomy with either anterior cervical discectomy (ACD) alone, ACD and fusion (ACDF), or ACDF with plating based on individual pathology and surgeon preference. Outcomes were assessed using clinical parameters such as modified Japanese Orthopaedic Association Score (mJOAS) and Nurick grade and radiological parameters such as disc height improvement, spinal alignment change, and fusion rates.

Results: The overall mean duration of follow-up was 15.23 ± 23.69 months, with a clinical follow-up period of 23.87 ± 21.51 months and a radiological follow-up period of 7.57 ± 5.91 months, with follow-up in Group 1 being 24.67 ± 23.17 months and in Group 2 being 20.03 ± 10.53 months. The mean blood loss in Group 1 was 200.47 mL; in Group 2, it was 172 mL. The preoperative mJOAS was 10.19 ± 3.16, and the postoperative mJOAS was 12.73 ± 2.92 (P = 0.001). Nurick grade showed improvement from a preoperative mean score of 4.23 ± 1.02-3.65 ± 0.88 postoperatively (P < 0.001). Statistically significant improvement in intervertebral height at superior and inferior levels was observed. Outcomes for Skip discectomy regarding mJOAS, Nurick grade, radiological parameters, fusion, and complication rates were noninferior to contiguous discectomy and fusion.

Conclusion: Skip discectomy has a similar benefit and risk profile and is noninferior compared to contiguous discectomy in addition to the preservation of intermediate disc integrity.

求助全文
通过发布文献求助,成功后即可免费获取论文全文。 去求助
来源期刊
CiteScore
1.90
自引率
9.10%
发文量
57
审稿时长
12 weeks
×
引用
GB/T 7714-2015
复制
MLA
复制
APA
复制
导出至
BibTeX EndNote RefMan NoteFirst NoteExpress
×
提示
您的信息不完整,为了账户安全,请先补充。
现在去补充
×
提示
您因"违规操作"
具体请查看互助需知
我知道了
×
提示
确定
请完成安全验证×
copy
已复制链接
快去分享给好友吧!
我知道了
右上角分享
点击右上角分享
0
联系我们:info@booksci.cn Book学术提供免费学术资源搜索服务,方便国内外学者检索中英文文献。致力于提供最便捷和优质的服务体验。 Copyright © 2023 布克学术 All rights reserved.
京ICP备2023020795号-1
ghs 京公网安备 11010802042870号
Book学术文献互助
Book学术文献互助群
群 号:604180095
Book学术官方微信