单侧C1-C2垂直牵张损伤:能否保守治疗?

IF 1.3 Q2 OTORHINOLARYNGOLOGY
Saurabh Rawall, Zuhair J Mohammed, Sean Taylor, Eric M Vess, Connor J Donley, Sakthivel R Rajaram, Steven M Theiss
{"title":"单侧C1-C2垂直牵张损伤:能否保守治疗?","authors":"Saurabh Rawall, Zuhair J Mohammed, Sean Taylor, Eric M Vess, Connor J Donley, Sakthivel R Rajaram, Steven M Theiss","doi":"10.4103/jcvjs.jcvjs_32_25","DOIUrl":null,"url":null,"abstract":"<p><strong>Introduction: </strong>Traumatic atlantoaxial joint (AAJ) vertical distraction injuries lie on a spectrum of injury involving the craniocervical junction. Isolated injuries can be unstable, requiring surgical stabilization, a highly morbid procedure given C1-C2 joint's primary role in cervical spine rotation. Previous authors established normative C1-C2 lateral mass values to evaluate for vertical AAJ distraction injuries. However, these studies focus on bilateral AAJ injury, with no data on unilateral or incomplete AAJ injuries. Clinical decision-making regarding these partial injuries is fraught with uncertainty, especially given the possibility of delayed instability. As a result, this study seeks to characterize injury patterns and clinical courses of patients with incomplete or unilateral AAJ injuries.</p><p><strong>Methods: </strong>After receiving Institutional Review Board approval, all magnetic resonance imaging (MRI) and computed tomography (CT) radiology reads from January 1, 2006, to August 1, 2021, at our Level I Trauma Center were queried for the following terms: edema, disruption, avulsion, tear, distraction, or subluxation and transverse ligament, AAJ, or C1-C2 joint, resulting in 2779 patients. Inclusion criteria consisted of age greater than 18 years old, history of recent traumatic injury, and radiographic evidence of unilateral AAJ distraction on CT, defined by a unilateral lateral mass index (LMI) >2.6 mm. MRI scans were classified based on the extent of soft-tissue injury. Demographic data and clinical outcomes were obtained by chart review and summarized using descriptive statistics.</p><p><strong>Results: </strong>Five patients comprised this study: 3 males and 2 females with an average age of 51 years. Four patients were injured by motor vehicle accident and 1 due to fall from standing height. Three patients had concomitant orthopedic extremity fractures requiring operative fixation. The average LMI of the involved joint was 4.2 mm versus 2.0 in the contralateral joint. On MRI, 3 patients exhibited bilateral AAJ effusions. No patients demonstrated complete injury of associated ligaments. All patients were treated conservatively with a rigid cervical collar. No patients demonstrated late instability at an average radiographic follow-up of 876 days.</p><p><strong>Conclusion: </strong>Unilateral or incomplete AAJ vertical distraction injuries lie on a spectrum of injury involving the craniocervical junction and more specifically the C1-C2 articulation. MRI is essential to evaluate the ligamentous stabilizers of the craniocervical junction prior to any treatment decisions, but in the absence of an unstable ligamentous injury, incomplete or unilateral vertical distraction injuries can be safely managed conservatively. This study is one of few to examine unilateral ligamentous injury between the atlas and axis of the spine. This study shows that in the absence of injury instability, these injuries can successfully be treated nonoperatively with successful patient outcomes.</p>","PeriodicalId":51721,"journal":{"name":"Journal of Craniovertebral Junction and Spine","volume":"16 2","pages":"170-175"},"PeriodicalIF":1.3000,"publicationDate":"2025-04-01","publicationTypes":"Journal Article","fieldsOfStudy":null,"isOpenAccess":false,"openAccessPdf":"https://www.ncbi.nlm.nih.gov/pmc/articles/PMC12313040/pdf/","citationCount":"0","resultStr":"{\"title\":\"Unilateral C1-C2 vertical distraction injuries: Can we treat conservatively?\",\"authors\":\"Saurabh Rawall, Zuhair J Mohammed, Sean Taylor, Eric M Vess, Connor J Donley, Sakthivel R Rajaram, Steven M Theiss\",\"doi\":\"10.4103/jcvjs.jcvjs_32_25\",\"DOIUrl\":null,\"url\":null,\"abstract\":\"<p><strong>Introduction: </strong>Traumatic atlantoaxial joint (AAJ) vertical distraction injuries lie on a spectrum of injury involving the craniocervical junction. Isolated injuries can be unstable, requiring surgical stabilization, a highly morbid procedure given C1-C2 joint's primary role in cervical spine rotation. Previous authors established normative C1-C2 lateral mass values to evaluate for vertical AAJ distraction injuries. However, these studies focus on bilateral AAJ injury, with no data on unilateral or incomplete AAJ injuries. Clinical decision-making regarding these partial injuries is fraught with uncertainty, especially given the possibility of delayed instability. As a result, this study seeks to characterize injury patterns and clinical courses of patients with incomplete or unilateral AAJ injuries.</p><p><strong>Methods: </strong>After receiving Institutional Review Board approval, all magnetic resonance imaging (MRI) and computed tomography (CT) radiology reads from January 1, 2006, to August 1, 2021, at our Level I Trauma Center were queried for the following terms: edema, disruption, avulsion, tear, distraction, or subluxation and transverse ligament, AAJ, or C1-C2 joint, resulting in 2779 patients. Inclusion criteria consisted of age greater than 18 years old, history of recent traumatic injury, and radiographic evidence of unilateral AAJ distraction on CT, defined by a unilateral lateral mass index (LMI) >2.6 mm. MRI scans were classified based on the extent of soft-tissue injury. Demographic data and clinical outcomes were obtained by chart review and summarized using descriptive statistics.</p><p><strong>Results: </strong>Five patients comprised this study: 3 males and 2 females with an average age of 51 years. Four patients were injured by motor vehicle accident and 1 due to fall from standing height. Three patients had concomitant orthopedic extremity fractures requiring operative fixation. The average LMI of the involved joint was 4.2 mm versus 2.0 in the contralateral joint. On MRI, 3 patients exhibited bilateral AAJ effusions. No patients demonstrated complete injury of associated ligaments. All patients were treated conservatively with a rigid cervical collar. No patients demonstrated late instability at an average radiographic follow-up of 876 days.</p><p><strong>Conclusion: </strong>Unilateral or incomplete AAJ vertical distraction injuries lie on a spectrum of injury involving the craniocervical junction and more specifically the C1-C2 articulation. MRI is essential to evaluate the ligamentous stabilizers of the craniocervical junction prior to any treatment decisions, but in the absence of an unstable ligamentous injury, incomplete or unilateral vertical distraction injuries can be safely managed conservatively. This study is one of few to examine unilateral ligamentous injury between the atlas and axis of the spine. This study shows that in the absence of injury instability, these injuries can successfully be treated nonoperatively with successful patient outcomes.</p>\",\"PeriodicalId\":51721,\"journal\":{\"name\":\"Journal of Craniovertebral Junction and Spine\",\"volume\":\"16 2\",\"pages\":\"170-175\"},\"PeriodicalIF\":1.3000,\"publicationDate\":\"2025-04-01\",\"publicationTypes\":\"Journal Article\",\"fieldsOfStudy\":null,\"isOpenAccess\":false,\"openAccessPdf\":\"https://www.ncbi.nlm.nih.gov/pmc/articles/PMC12313040/pdf/\",\"citationCount\":\"0\",\"resultStr\":null,\"platform\":\"Semanticscholar\",\"paperid\":null,\"PeriodicalName\":\"Journal of Craniovertebral Junction and Spine\",\"FirstCategoryId\":\"1085\",\"ListUrlMain\":\"https://doi.org/10.4103/jcvjs.jcvjs_32_25\",\"RegionNum\":0,\"RegionCategory\":null,\"ArticlePicture\":[],\"TitleCN\":null,\"AbstractTextCN\":null,\"PMCID\":null,\"EPubDate\":\"2025/7/3 0:00:00\",\"PubModel\":\"Epub\",\"JCR\":\"Q2\",\"JCRName\":\"OTORHINOLARYNGOLOGY\",\"Score\":null,\"Total\":0}","platform":"Semanticscholar","paperid":null,"PeriodicalName":"Journal of Craniovertebral Junction and Spine","FirstCategoryId":"1085","ListUrlMain":"https://doi.org/10.4103/jcvjs.jcvjs_32_25","RegionNum":0,"RegionCategory":null,"ArticlePicture":[],"TitleCN":null,"AbstractTextCN":null,"PMCID":null,"EPubDate":"2025/7/3 0:00:00","PubModel":"Epub","JCR":"Q2","JCRName":"OTORHINOLARYNGOLOGY","Score":null,"Total":0}
引用次数: 0

摘要

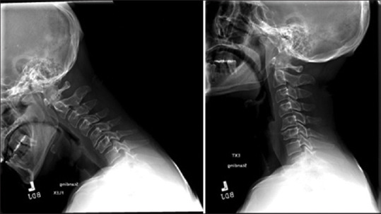
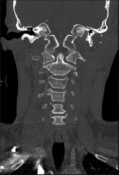
外伤性寰枢关节(AAJ)垂直牵张损伤是一种涉及颅颈交界处的损伤。孤立性损伤可能不稳定,需要手术稳定,鉴于C1-C2关节在颈椎旋转中的主要作用,这是一种高度病态的手术。以前的作者建立了规范的C1-C2侧块值来评估垂直AAJ牵张损伤。然而,这些研究主要集中在双侧AAJ损伤,没有单侧或不完全性AAJ损伤的数据。关于这些局部损伤的临床决策充满了不确定性,特别是考虑到延迟不稳定的可能性。因此,本研究旨在描述不完全性或单侧AAJ损伤患者的损伤模式和临床病程。方法:经机构审查委员会批准后,对我院一级创伤中心2006年1月1日至2021年8月1日的所有磁共振成像(MRI)和计算机断层扫描(CT)放射学数据进行查询,查询以下术语:水肿、断裂、撕脱、撕裂、牵张或半脱位、横韧带、AAJ或C1-C2关节,共2779例患者。纳入标准包括年龄大于18岁,近期创伤史,单侧侧块指数(LMI) >2.6 mm的CT单侧AAJ牵张的影像学证据。MRI扫描根据软组织损伤程度进行分类。人口统计数据和临床结果通过图表回顾获得,并使用描述性统计进行汇总。结果:本组患者5例,男3例,女2例,平均年龄51岁。4名患者因机动车事故受伤,1名因站高坠落受伤。3例患者合并四肢骨折,需要手术固定。受累关节的平均LMI为4.2 mm,而对侧关节为2.0 mm。MRI上,3例患者表现为双侧心房积液。没有患者表现出相关韧带的完全损伤。所有患者均采用硬颈套保守治疗。在平均876天的x线随访中,没有患者表现出晚期不稳定。结论:单侧或不完全性AAJ垂直牵张损伤属于颅脑颈交界损伤,特别是C1-C2关节损伤。在任何治疗决定之前,MRI对于评估颅颈连接处的韧带稳定剂至关重要,但在没有不稳定韧带损伤的情况下,不完全性或单侧垂直牵张损伤可以安全保守地处理。本研究是少数几个检查寰椎和脊柱轴之间单侧韧带损伤的研究之一。本研究表明,在没有损伤不稳定性的情况下,这些损伤可以通过非手术成功治疗,患者预后良好。
本文章由计算机程序翻译,如有差异,请以英文原文为准。

Unilateral C1-C2 vertical distraction injuries: Can we treat conservatively?

Unilateral C1-C2 vertical distraction injuries: Can we treat conservatively?

Unilateral C1-C2 vertical distraction injuries: Can we treat conservatively?

Introduction: Traumatic atlantoaxial joint (AAJ) vertical distraction injuries lie on a spectrum of injury involving the craniocervical junction. Isolated injuries can be unstable, requiring surgical stabilization, a highly morbid procedure given C1-C2 joint's primary role in cervical spine rotation. Previous authors established normative C1-C2 lateral mass values to evaluate for vertical AAJ distraction injuries. However, these studies focus on bilateral AAJ injury, with no data on unilateral or incomplete AAJ injuries. Clinical decision-making regarding these partial injuries is fraught with uncertainty, especially given the possibility of delayed instability. As a result, this study seeks to characterize injury patterns and clinical courses of patients with incomplete or unilateral AAJ injuries.

Methods: After receiving Institutional Review Board approval, all magnetic resonance imaging (MRI) and computed tomography (CT) radiology reads from January 1, 2006, to August 1, 2021, at our Level I Trauma Center were queried for the following terms: edema, disruption, avulsion, tear, distraction, or subluxation and transverse ligament, AAJ, or C1-C2 joint, resulting in 2779 patients. Inclusion criteria consisted of age greater than 18 years old, history of recent traumatic injury, and radiographic evidence of unilateral AAJ distraction on CT, defined by a unilateral lateral mass index (LMI) >2.6 mm. MRI scans were classified based on the extent of soft-tissue injury. Demographic data and clinical outcomes were obtained by chart review and summarized using descriptive statistics.

Results: Five patients comprised this study: 3 males and 2 females with an average age of 51 years. Four patients were injured by motor vehicle accident and 1 due to fall from standing height. Three patients had concomitant orthopedic extremity fractures requiring operative fixation. The average LMI of the involved joint was 4.2 mm versus 2.0 in the contralateral joint. On MRI, 3 patients exhibited bilateral AAJ effusions. No patients demonstrated complete injury of associated ligaments. All patients were treated conservatively with a rigid cervical collar. No patients demonstrated late instability at an average radiographic follow-up of 876 days.

Conclusion: Unilateral or incomplete AAJ vertical distraction injuries lie on a spectrum of injury involving the craniocervical junction and more specifically the C1-C2 articulation. MRI is essential to evaluate the ligamentous stabilizers of the craniocervical junction prior to any treatment decisions, but in the absence of an unstable ligamentous injury, incomplete or unilateral vertical distraction injuries can be safely managed conservatively. This study is one of few to examine unilateral ligamentous injury between the atlas and axis of the spine. This study shows that in the absence of injury instability, these injuries can successfully be treated nonoperatively with successful patient outcomes.

求助全文
通过发布文献求助,成功后即可免费获取论文全文。 去求助
来源期刊
CiteScore
1.90
自引率
9.10%
发文量
57
审稿时长
12 weeks
×
引用
GB/T 7714-2015
复制
MLA
复制
APA
复制
导出至
BibTeX EndNote RefMan NoteFirst NoteExpress
×
提示
您的信息不完整,为了账户安全,请先补充。
现在去补充
×
提示
您因"违规操作"
具体请查看互助需知
我知道了
×
提示
确定
请完成安全验证×
copy
已复制链接
快去分享给好友吧!
我知道了
右上角分享
点击右上角分享
0
联系我们:info@booksci.cn Book学术提供免费学术资源搜索服务,方便国内外学者检索中英文文献。致力于提供最便捷和优质的服务体验。 Copyright © 2023 布克学术 All rights reserved.
京ICP备2023020795号-1
ghs 京公网安备 11010802042870号
Book学术文献互助
Book学术文献互助群
群 号:604180095
Book学术官方微信