寰枢椎稳定治疗儿童特发性脊柱侧凸伴Chiari畸形和鼻咽的疗效。

IF 1.3 Q2 OTORHINOLARYNGOLOGY
Sen Harun Emre, Simsek Serkan, Kaptanoglu Erkan
{"title":"寰枢椎稳定治疗儿童特发性脊柱侧凸伴Chiari畸形和鼻咽的疗效。","authors":"Sen Harun Emre, Simsek Serkan, Kaptanoglu Erkan","doi":"10.4103/jcvjs.jcvjs_43_25","DOIUrl":null,"url":null,"abstract":"<p><p>Idiopathic scoliosis (IS) is frequently associated with Chiari malformation (CM) and syringomyelia, conditions thought to share a common underlying cause: Atlantoaxial instability. Atlantoaxial stabilization has recently emerged as a novel treatment option. A 4-year-old girl presented with progressive scoliosis (Cobb angle of 28.6°), neck pain, CM, and syringomyelia. The patient was diagnosed with central or axial atlantoaxial instability and underwent C1-C2 fixation. Postoperatively, she experienced significant relief from neck pain. Follow-ups demonstrated progressive syrinx reduction, while X-rays revealed a Cobb angle decrease to 21° in 18 months. This case highlights the potential of atlantoaxial stabilization to halt scoliosis progression in IS patients with CM and syringomyelia. Unlike traditional multisegmental stabilization, C1-C2 fixation offers a minimally invasive approach and preserves spinal mobility in growth-age patients. Atlantoaxial instability should be considered in IS cases with CM and syringomyelia. Atlantoaxial stabilization alone may provide effective treatment with favorable clinical and radiological outcomes.</p>","PeriodicalId":51721,"journal":{"name":"Journal of Craniovertebral Junction and Spine","volume":"16 2","pages":"250-253"},"PeriodicalIF":1.3000,"publicationDate":"2025-04-01","publicationTypes":"Journal Article","fieldsOfStudy":null,"isOpenAccess":false,"openAccessPdf":"https://www.ncbi.nlm.nih.gov/pmc/articles/PMC12313027/pdf/","citationCount":"0","resultStr":"{\"title\":\"The effect of atlantoaxial stabilization on juvenile idiopathic scoliosis involving Chiari malformation and syrinx.\",\"authors\":\"Sen Harun Emre, Simsek Serkan, Kaptanoglu Erkan\",\"doi\":\"10.4103/jcvjs.jcvjs_43_25\",\"DOIUrl\":null,\"url\":null,\"abstract\":\"<p><p>Idiopathic scoliosis (IS) is frequently associated with Chiari malformation (CM) and syringomyelia, conditions thought to share a common underlying cause: Atlantoaxial instability. Atlantoaxial stabilization has recently emerged as a novel treatment option. A 4-year-old girl presented with progressive scoliosis (Cobb angle of 28.6°), neck pain, CM, and syringomyelia. The patient was diagnosed with central or axial atlantoaxial instability and underwent C1-C2 fixation. Postoperatively, she experienced significant relief from neck pain. Follow-ups demonstrated progressive syrinx reduction, while X-rays revealed a Cobb angle decrease to 21° in 18 months. This case highlights the potential of atlantoaxial stabilization to halt scoliosis progression in IS patients with CM and syringomyelia. Unlike traditional multisegmental stabilization, C1-C2 fixation offers a minimally invasive approach and preserves spinal mobility in growth-age patients. Atlantoaxial instability should be considered in IS cases with CM and syringomyelia. Atlantoaxial stabilization alone may provide effective treatment with favorable clinical and radiological outcomes.</p>\",\"PeriodicalId\":51721,\"journal\":{\"name\":\"Journal of Craniovertebral Junction and Spine\",\"volume\":\"16 2\",\"pages\":\"250-253\"},\"PeriodicalIF\":1.3000,\"publicationDate\":\"2025-04-01\",\"publicationTypes\":\"Journal Article\",\"fieldsOfStudy\":null,\"isOpenAccess\":false,\"openAccessPdf\":\"https://www.ncbi.nlm.nih.gov/pmc/articles/PMC12313027/pdf/\",\"citationCount\":\"0\",\"resultStr\":null,\"platform\":\"Semanticscholar\",\"paperid\":null,\"PeriodicalName\":\"Journal of Craniovertebral Junction and Spine\",\"FirstCategoryId\":\"1085\",\"ListUrlMain\":\"https://doi.org/10.4103/jcvjs.jcvjs_43_25\",\"RegionNum\":0,\"RegionCategory\":null,\"ArticlePicture\":[],\"TitleCN\":null,\"AbstractTextCN\":null,\"PMCID\":null,\"EPubDate\":\"2025/7/3 0:00:00\",\"PubModel\":\"Epub\",\"JCR\":\"Q2\",\"JCRName\":\"OTORHINOLARYNGOLOGY\",\"Score\":null,\"Total\":0}","platform":"Semanticscholar","paperid":null,"PeriodicalName":"Journal of Craniovertebral Junction and Spine","FirstCategoryId":"1085","ListUrlMain":"https://doi.org/10.4103/jcvjs.jcvjs_43_25","RegionNum":0,"RegionCategory":null,"ArticlePicture":[],"TitleCN":null,"AbstractTextCN":null,"PMCID":null,"EPubDate":"2025/7/3 0:00:00","PubModel":"Epub","JCR":"Q2","JCRName":"OTORHINOLARYNGOLOGY","Score":null,"Total":0}
引用次数: 0

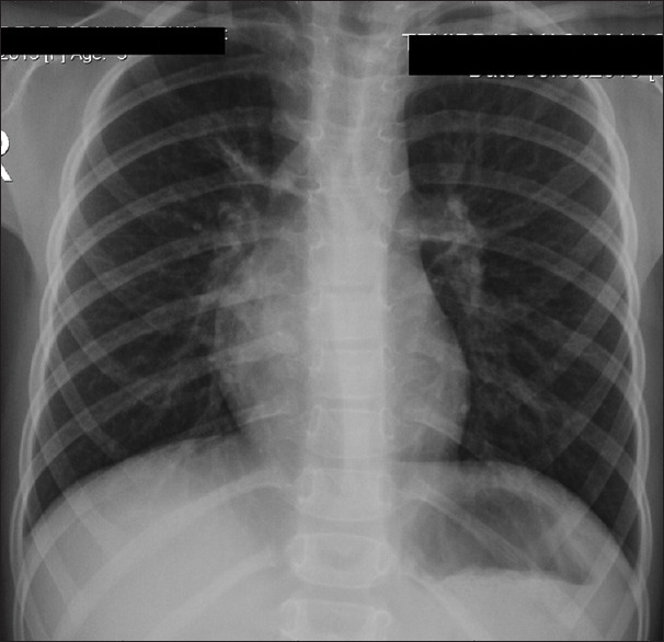
摘要

特发性脊柱侧凸(IS)通常与Chiari畸形(CM)和脊髓空洞相关,这些疾病被认为有一个共同的潜在原因:寰枢椎不稳定。寰枢稳定最近成为一种新的治疗选择。一名4岁女孩,表现为进行性脊柱侧凸(Cobb角28.6°)、颈部疼痛、CM和脊髓空洞。患者被诊断为寰枢中心或轴向不稳定,并接受C1-C2固定。术后,患者颈部疼痛明显缓解。随访显示进行性鼻窦缩小,x光显示Cobb角在18个月内下降至21°。本病例强调了寰枢椎稳定在IS合并CM和脊髓空洞的患者中阻止脊柱侧凸进展的潜力。与传统的多节段稳定不同,C1-C2固定提供了一种微创方法,并保留了生长年龄患者的脊柱活动能力。IS合并CM和脊髓空洞的病例应考虑寰枢椎不稳定。寰枢椎单独稳定可提供有效的治疗,并具有良好的临床和放射学结果。
本文章由计算机程序翻译,如有差异,请以英文原文为准。

The effect of atlantoaxial stabilization on juvenile idiopathic scoliosis involving Chiari malformation and syrinx.

The effect of atlantoaxial stabilization on juvenile idiopathic scoliosis involving Chiari malformation and syrinx.

The effect of atlantoaxial stabilization on juvenile idiopathic scoliosis involving Chiari malformation and syrinx.

The effect of atlantoaxial stabilization on juvenile idiopathic scoliosis involving Chiari malformation and syrinx.

Idiopathic scoliosis (IS) is frequently associated with Chiari malformation (CM) and syringomyelia, conditions thought to share a common underlying cause: Atlantoaxial instability. Atlantoaxial stabilization has recently emerged as a novel treatment option. A 4-year-old girl presented with progressive scoliosis (Cobb angle of 28.6°), neck pain, CM, and syringomyelia. The patient was diagnosed with central or axial atlantoaxial instability and underwent C1-C2 fixation. Postoperatively, she experienced significant relief from neck pain. Follow-ups demonstrated progressive syrinx reduction, while X-rays revealed a Cobb angle decrease to 21° in 18 months. This case highlights the potential of atlantoaxial stabilization to halt scoliosis progression in IS patients with CM and syringomyelia. Unlike traditional multisegmental stabilization, C1-C2 fixation offers a minimally invasive approach and preserves spinal mobility in growth-age patients. Atlantoaxial instability should be considered in IS cases with CM and syringomyelia. Atlantoaxial stabilization alone may provide effective treatment with favorable clinical and radiological outcomes.

求助全文
通过发布文献求助,成功后即可免费获取论文全文。 去求助
来源期刊
CiteScore
1.90
自引率
9.10%
发文量
57
审稿时长
12 weeks
×
引用
GB/T 7714-2015
复制
MLA
复制
APA
复制
导出至
BibTeX EndNote RefMan NoteFirst NoteExpress
×
提示
您的信息不完整,为了账户安全,请先补充。
现在去补充
×
提示
您因"违规操作"
具体请查看互助需知
我知道了
×
提示
确定
请完成安全验证×
copy
已复制链接
快去分享给好友吧!
我知道了
右上角分享
点击右上角分享
0
联系我们:info@booksci.cn Book学术提供免费学术资源搜索服务,方便国内外学者检索中英文文献。致力于提供最便捷和优质的服务体验。 Copyright © 2023 布克学术 All rights reserved.
京ICP备2023020795号-1
ghs 京公网安备 11010802042870号
Book学术文献互助
Book学术文献互助群
群 号:604180095
Book学术官方微信