直肌鞘前回肠导管扭转,表现为急性尿潴留。

IF 0.9 Q3 UROLOGY & NEPHROLOGY
S Bobby Viswaroop, Ganesh Gopalakrishnan
{"title":"直肌鞘前回肠导管扭转,表现为急性尿潴留。","authors":"S Bobby Viswaroop, Ganesh Gopalakrishnan","doi":"10.4103/iju.iju_34_25","DOIUrl":null,"url":null,"abstract":"<p><p>Conduit-related complications often occur late and are challenging to treat. A septuagenarian, 12 years following radical cystectomy and ileal conduit (IC) for T1G3 bladder cancer, presented with stomal stenosis which was managed by temporary placement of catheter into the conduit. One year later, he presented with no urine output from the conduit due to a double block resulting from a volvulus of the subcutaneous portion of the IC. After confirmation of the diagnosis with a computed tomography scan, the patient was managed by a reduction of the conduit length and a Turnbull stoma.</p>","PeriodicalId":47352,"journal":{"name":"Indian Journal of Urology","volume":"41 3","pages":"225-227"},"PeriodicalIF":0.9000,"publicationDate":"2025-07-01","publicationTypes":"Journal Article","fieldsOfStudy":null,"isOpenAccess":false,"openAccessPdf":"https://www.ncbi.nlm.nih.gov/pmc/articles/PMC12312836/pdf/","citationCount":"0","resultStr":"{\"title\":\"Volvulus of segment of ileal conduit anterior to the rectus sheath presenting as acute urinary retention.\",\"authors\":\"S Bobby Viswaroop, Ganesh Gopalakrishnan\",\"doi\":\"10.4103/iju.iju_34_25\",\"DOIUrl\":null,\"url\":null,\"abstract\":\"<p><p>Conduit-related complications often occur late and are challenging to treat. A septuagenarian, 12 years following radical cystectomy and ileal conduit (IC) for T1G3 bladder cancer, presented with stomal stenosis which was managed by temporary placement of catheter into the conduit. One year later, he presented with no urine output from the conduit due to a double block resulting from a volvulus of the subcutaneous portion of the IC. After confirmation of the diagnosis with a computed tomography scan, the patient was managed by a reduction of the conduit length and a Turnbull stoma.</p>\",\"PeriodicalId\":47352,\"journal\":{\"name\":\"Indian Journal of Urology\",\"volume\":\"41 3\",\"pages\":\"225-227\"},\"PeriodicalIF\":0.9000,\"publicationDate\":\"2025-07-01\",\"publicationTypes\":\"Journal Article\",\"fieldsOfStudy\":null,\"isOpenAccess\":false,\"openAccessPdf\":\"https://www.ncbi.nlm.nih.gov/pmc/articles/PMC12312836/pdf/\",\"citationCount\":\"0\",\"resultStr\":null,\"platform\":\"Semanticscholar\",\"paperid\":null,\"PeriodicalName\":\"Indian Journal of Urology\",\"FirstCategoryId\":\"1085\",\"ListUrlMain\":\"https://doi.org/10.4103/iju.iju_34_25\",\"RegionNum\":0,\"RegionCategory\":null,\"ArticlePicture\":[],\"TitleCN\":null,\"AbstractTextCN\":null,\"PMCID\":null,\"EPubDate\":\"\",\"PubModel\":\"\",\"JCR\":\"Q3\",\"JCRName\":\"UROLOGY & NEPHROLOGY\",\"Score\":null,\"Total\":0}","platform":"Semanticscholar","paperid":null,"PeriodicalName":"Indian Journal of Urology","FirstCategoryId":"1085","ListUrlMain":"https://doi.org/10.4103/iju.iju_34_25","RegionNum":0,"RegionCategory":null,"ArticlePicture":[],"TitleCN":null,"AbstractTextCN":null,"PMCID":null,"EPubDate":"","PubModel":"","JCR":"Q3","JCRName":"UROLOGY & NEPHROLOGY","Score":null,"Total":0}
引用次数: 0

摘要

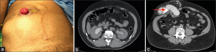
导管相关并发症通常发生较晚,治疗难度较大。一位70多岁的老人,在根治性膀胱切除术和回肠导管(IC)治疗T1G3膀胱癌12年后,出现了瘘口狭窄,通过临时放置导管进入导管进行管理。一年后,由于IC皮下部分扭转导致双阻塞,患者无尿管输出。在计算机断层扫描确认诊断后,患者通过减少导管长度和特恩布尔造口进行治疗。
本文章由计算机程序翻译,如有差异,请以英文原文为准。

Volvulus of segment of ileal conduit anterior to the rectus sheath presenting as acute urinary retention.

Volvulus of segment of ileal conduit anterior to the rectus sheath presenting as acute urinary retention.

Volvulus of segment of ileal conduit anterior to the rectus sheath presenting as acute urinary retention.

Conduit-related complications often occur late and are challenging to treat. A septuagenarian, 12 years following radical cystectomy and ileal conduit (IC) for T1G3 bladder cancer, presented with stomal stenosis which was managed by temporary placement of catheter into the conduit. One year later, he presented with no urine output from the conduit due to a double block resulting from a volvulus of the subcutaneous portion of the IC. After confirmation of the diagnosis with a computed tomography scan, the patient was managed by a reduction of the conduit length and a Turnbull stoma.

求助全文
通过发布文献求助,成功后即可免费获取论文全文。 去求助
来源期刊
Indian Journal of Urology
Indian Journal of Urology UROLOGY & NEPHROLOGY-
CiteScore
1.90
自引率
0.00%
发文量
62
审稿时长
33 weeks
期刊介绍: Indian Journal of Urology-IJU (ISSN 0970-1591) is official publication of the Urological Society of India. The journal is published Quarterly. Bibliographic listings: The journal is indexed with Abstracts on Hygiene and Communicable Diseases, CAB Abstracts, Caspur, DOAJ, EBSCO Publishing’s Electronic Databases, Excerpta Medica / EMBASE, Expanded Academic ASAP, Genamics JournalSeek, Global Health, Google Scholar, Health & Wellness Research Center, Health Reference Center Academic, Hinari, Index Copernicus, IndMed, OpenJGate, PubMed, Pubmed Central, Scimago Journal Ranking, SCOLOAR, SCOPUS, SIIC databases, SNEMB, Tropical Diseases Bulletin, Ulrich’s International Periodical Directory
×
引用
GB/T 7714-2015
复制
MLA
复制
APA
复制
导出至
BibTeX EndNote RefMan NoteFirst NoteExpress
×
提示
您的信息不完整,为了账户安全,请先补充。
现在去补充
×
提示
您因"违规操作"
具体请查看互助需知
我知道了
×
提示
确定
请完成安全验证×
copy
已复制链接
快去分享给好友吧!
我知道了
右上角分享
点击右上角分享
0
联系我们:info@booksci.cn Book学术提供免费学术资源搜索服务,方便国内外学者检索中英文文献。致力于提供最便捷和优质的服务体验。 Copyright © 2023 布克学术 All rights reserved.
京ICP备2023020795号-1
ghs 京公网安备 11010802042870号
Book学术文献互助
Book学术文献互助群
群 号:604180095
Book学术官方微信