肾窦淋巴管扩张:一种罕见的疾病。

IF 0.9 Q3 UROLOGY & NEPHROLOGY
Divij Agarwal, Pradeep Hatimota, Chandan J Das
{"title":"肾窦淋巴管扩张:一种罕见的疾病。","authors":"Divij Agarwal, Pradeep Hatimota, Chandan J Das","doi":"10.4103/iju.iju_29_25","DOIUrl":null,"url":null,"abstract":"<p><p>Renal lymphangiectasia is a benign disorder characterized by cystic dilatation of lymphatic channels in the kidney. It can occur in the perinephric, renal sinus, and intrarenal locations. We describe an uncommon case of renal sinus lymphangiectasia with a characteristic imaging appearance in a 25-year-old female. She presented with loin pain that was managed conservatively.</p>","PeriodicalId":47352,"journal":{"name":"Indian Journal of Urology","volume":"41 3","pages":"228-229"},"PeriodicalIF":0.9000,"publicationDate":"2025-07-01","publicationTypes":"Journal Article","fieldsOfStudy":null,"isOpenAccess":false,"openAccessPdf":"https://www.ncbi.nlm.nih.gov/pmc/articles/PMC12312840/pdf/","citationCount":"0","resultStr":"{\"title\":\"Renal sinus lymphangiectasia: An uncommon entity.\",\"authors\":\"Divij Agarwal, Pradeep Hatimota, Chandan J Das\",\"doi\":\"10.4103/iju.iju_29_25\",\"DOIUrl\":null,\"url\":null,\"abstract\":\"<p><p>Renal lymphangiectasia is a benign disorder characterized by cystic dilatation of lymphatic channels in the kidney. It can occur in the perinephric, renal sinus, and intrarenal locations. We describe an uncommon case of renal sinus lymphangiectasia with a characteristic imaging appearance in a 25-year-old female. She presented with loin pain that was managed conservatively.</p>\",\"PeriodicalId\":47352,\"journal\":{\"name\":\"Indian Journal of Urology\",\"volume\":\"41 3\",\"pages\":\"228-229\"},\"PeriodicalIF\":0.9000,\"publicationDate\":\"2025-07-01\",\"publicationTypes\":\"Journal Article\",\"fieldsOfStudy\":null,\"isOpenAccess\":false,\"openAccessPdf\":\"https://www.ncbi.nlm.nih.gov/pmc/articles/PMC12312840/pdf/\",\"citationCount\":\"0\",\"resultStr\":null,\"platform\":\"Semanticscholar\",\"paperid\":null,\"PeriodicalName\":\"Indian Journal of Urology\",\"FirstCategoryId\":\"1085\",\"ListUrlMain\":\"https://doi.org/10.4103/iju.iju_29_25\",\"RegionNum\":0,\"RegionCategory\":null,\"ArticlePicture\":[],\"TitleCN\":null,\"AbstractTextCN\":null,\"PMCID\":null,\"EPubDate\":\"\",\"PubModel\":\"\",\"JCR\":\"Q3\",\"JCRName\":\"UROLOGY & NEPHROLOGY\",\"Score\":null,\"Total\":0}","platform":"Semanticscholar","paperid":null,"PeriodicalName":"Indian Journal of Urology","FirstCategoryId":"1085","ListUrlMain":"https://doi.org/10.4103/iju.iju_29_25","RegionNum":0,"RegionCategory":null,"ArticlePicture":[],"TitleCN":null,"AbstractTextCN":null,"PMCID":null,"EPubDate":"","PubModel":"","JCR":"Q3","JCRName":"UROLOGY & NEPHROLOGY","Score":null,"Total":0}
引用次数: 0

摘要

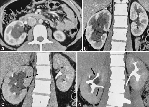
肾淋巴管扩张是一种良性疾病,其特征是肾脏淋巴管囊性扩张。它可发生在肾周、肾窦和肾内。我们描述一个罕见的病例肾窦淋巴管扩张与特征性的影像学表现在一个25岁的女性。她表现为腰部疼痛,并进行了保守治疗。
本文章由计算机程序翻译,如有差异,请以英文原文为准。

Renal sinus lymphangiectasia: An uncommon entity.

Renal sinus lymphangiectasia: An uncommon entity.

Renal sinus lymphangiectasia: An uncommon entity.

Renal lymphangiectasia is a benign disorder characterized by cystic dilatation of lymphatic channels in the kidney. It can occur in the perinephric, renal sinus, and intrarenal locations. We describe an uncommon case of renal sinus lymphangiectasia with a characteristic imaging appearance in a 25-year-old female. She presented with loin pain that was managed conservatively.

求助全文
通过发布文献求助,成功后即可免费获取论文全文。 去求助
来源期刊
Indian Journal of Urology
Indian Journal of Urology UROLOGY & NEPHROLOGY-
CiteScore
1.90
自引率
0.00%
发文量
62
审稿时长
33 weeks
期刊介绍: Indian Journal of Urology-IJU (ISSN 0970-1591) is official publication of the Urological Society of India. The journal is published Quarterly. Bibliographic listings: The journal is indexed with Abstracts on Hygiene and Communicable Diseases, CAB Abstracts, Caspur, DOAJ, EBSCO Publishing’s Electronic Databases, Excerpta Medica / EMBASE, Expanded Academic ASAP, Genamics JournalSeek, Global Health, Google Scholar, Health & Wellness Research Center, Health Reference Center Academic, Hinari, Index Copernicus, IndMed, OpenJGate, PubMed, Pubmed Central, Scimago Journal Ranking, SCOLOAR, SCOPUS, SIIC databases, SNEMB, Tropical Diseases Bulletin, Ulrich’s International Periodical Directory
×
引用
GB/T 7714-2015
复制
MLA
复制
APA
复制
导出至
BibTeX EndNote RefMan NoteFirst NoteExpress
×
提示
您的信息不完整,为了账户安全,请先补充。
现在去补充
×
提示
您因"违规操作"
具体请查看互助需知
我知道了
×
提示
确定
请完成安全验证×
copy
已复制链接
快去分享给好友吧!
我知道了
右上角分享
点击右上角分享
0
联系我们:info@booksci.cn Book学术提供免费学术资源搜索服务,方便国内外学者检索中英文文献。致力于提供最便捷和优质的服务体验。 Copyright © 2023 布克学术 All rights reserved.
京ICP备2023020795号-1
ghs 京公网安备 11010802042870号
Book学术文献互助
Book学术文献互助群
群 号:604180095
Book学术官方微信