双侧卵巢大良性粘液囊腺瘤复发1例。

Q2 Medicine
Miyuki Omura, Rupak Kumar Sarkar, Ajesh Sankar
{"title":"双侧卵巢大良性粘液囊腺瘤复发1例。","authors":"Miyuki Omura, Rupak Kumar Sarkar, Ajesh Sankar","doi":"10.18502/jri.v26i1.18783","DOIUrl":null,"url":null,"abstract":"<p><strong>Background: </strong>The recurrence of benign ovarian mucinous cystadenomas is rare, and the presence of these cysts bilaterally is even more uncommon. Overall, 11 cases in our literature review were identified. Of these recurrences, only two cases were bilateral. The management of ovarian cysts in young patients is challenging, especially if they recur. Laparoscopic surgery is the most common intervention for ovarian cysts and a conservative approach using ovarian cystectomy is preferred in women in the reproductive age group.</p><p><strong>Case presentation: </strong>A 16-year-old nulliparous female was admitted with persistent lower abdominal pain and bloating. A pelvic magnetic resonance imaging showed large bilateral cystic and multiloculated adnexal masses arising from her ovaries. Her tumor markers were normal. The patient underwent three seperate ovarian cystectomies over a seven-year period from the age of sixteen due to recurrent large bilateral benign ovarian mucinous cystadenomas. Repeated histological examinations were the same after each case. Given her age and the history of multiple ovarian surgeries, she was referred to the fertility clinic to explore options for oocyte cryopreservation.</p><p><strong>Conclusion: </strong>This unusual case of bilateral recurrent benign ovarian mucinous cystadenomas underscores the importance of early laparoscopy and cystectomy as a recommended approach. Postoperative transvaginal ultrasound scans during follow-up may assist in the early detection of recurrence cases. Clinicians should strongly consider referring young patients with a history of repeated adnexal surgeries to infertility treatment centers for fertility preservation.</p>","PeriodicalId":38826,"journal":{"name":"Journal of Reproduction and Infertility","volume":"26 1","pages":"64-68"},"PeriodicalIF":0.0000,"publicationDate":"2025-01-01","publicationTypes":"Journal Article","fieldsOfStudy":null,"isOpenAccess":false,"openAccessPdf":"https://www.ncbi.nlm.nih.gov/pmc/articles/PMC12317717/pdf/","citationCount":"0","resultStr":"{\"title\":\"Management of Recurrent Large Bilateral Benign Mucinous Cystadenomas of the Ovary: A Case Report.\",\"authors\":\"Miyuki Omura, Rupak Kumar Sarkar, Ajesh Sankar\",\"doi\":\"10.18502/jri.v26i1.18783\",\"DOIUrl\":null,\"url\":null,\"abstract\":\"<p><strong>Background: </strong>The recurrence of benign ovarian mucinous cystadenomas is rare, and the presence of these cysts bilaterally is even more uncommon. Overall, 11 cases in our literature review were identified. Of these recurrences, only two cases were bilateral. The management of ovarian cysts in young patients is challenging, especially if they recur. Laparoscopic surgery is the most common intervention for ovarian cysts and a conservative approach using ovarian cystectomy is preferred in women in the reproductive age group.</p><p><strong>Case presentation: </strong>A 16-year-old nulliparous female was admitted with persistent lower abdominal pain and bloating. A pelvic magnetic resonance imaging showed large bilateral cystic and multiloculated adnexal masses arising from her ovaries. Her tumor markers were normal. The patient underwent three seperate ovarian cystectomies over a seven-year period from the age of sixteen due to recurrent large bilateral benign ovarian mucinous cystadenomas. Repeated histological examinations were the same after each case. Given her age and the history of multiple ovarian surgeries, she was referred to the fertility clinic to explore options for oocyte cryopreservation.</p><p><strong>Conclusion: </strong>This unusual case of bilateral recurrent benign ovarian mucinous cystadenomas underscores the importance of early laparoscopy and cystectomy as a recommended approach. Postoperative transvaginal ultrasound scans during follow-up may assist in the early detection of recurrence cases. Clinicians should strongly consider referring young patients with a history of repeated adnexal surgeries to infertility treatment centers for fertility preservation.</p>\",\"PeriodicalId\":38826,\"journal\":{\"name\":\"Journal of Reproduction and Infertility\",\"volume\":\"26 1\",\"pages\":\"64-68\"},\"PeriodicalIF\":0.0000,\"publicationDate\":\"2025-01-01\",\"publicationTypes\":\"Journal Article\",\"fieldsOfStudy\":null,\"isOpenAccess\":false,\"openAccessPdf\":\"https://www.ncbi.nlm.nih.gov/pmc/articles/PMC12317717/pdf/\",\"citationCount\":\"0\",\"resultStr\":null,\"platform\":\"Semanticscholar\",\"paperid\":null,\"PeriodicalName\":\"Journal of Reproduction and Infertility\",\"FirstCategoryId\":\"1085\",\"ListUrlMain\":\"https://doi.org/10.18502/jri.v26i1.18783\",\"RegionNum\":0,\"RegionCategory\":null,\"ArticlePicture\":[],\"TitleCN\":null,\"AbstractTextCN\":null,\"PMCID\":null,\"EPubDate\":\"\",\"PubModel\":\"\",\"JCR\":\"Q2\",\"JCRName\":\"Medicine\",\"Score\":null,\"Total\":0}","platform":"Semanticscholar","paperid":null,"PeriodicalName":"Journal of Reproduction and Infertility","FirstCategoryId":"1085","ListUrlMain":"https://doi.org/10.18502/jri.v26i1.18783","RegionNum":0,"RegionCategory":null,"ArticlePicture":[],"TitleCN":null,"AbstractTextCN":null,"PMCID":null,"EPubDate":"","PubModel":"","JCR":"Q2","JCRName":"Medicine","Score":null,"Total":0}
引用次数: 0

摘要

背景:良性卵巢粘液囊腺瘤的复发是罕见的,而这些囊肿的存在更是罕见的双侧。总的来说,在我们的文献综述中发现了11例病例。在这些复发病例中,只有两例是双侧复发。卵巢囊肿在年轻患者的管理是具有挑战性的,特别是如果他们复发。腹腔镜手术是卵巢囊肿最常见的干预措施,在育龄妇女中首选保守的方法是卵巢囊肿切除术。病例介绍:一名16岁未生育女性因持续下腹疼痛和腹胀入院。盆腔磁共振成像显示双侧卵巢出现巨大的囊性和多室附件肿块。她的肿瘤标志物正常。患者因复发性双侧大的良性卵巢粘液囊腺瘤,从16岁起的7年间接受了3次卵巢囊肿切除术。每例术后重复组织学检查均相同。考虑到她的年龄和多次卵巢手术的历史,她被转介到生育诊所探索卵母细胞冷冻保存的选择。结论:本例罕见的双侧复发性良性卵巢粘液囊腺瘤强调了早期腹腔镜检查和膀胱切除术作为推荐方法的重要性。术后随访期间经阴道超声扫描可帮助早期发现复发病例。临床医生应强烈考虑将有重复附件手术史的年轻患者转介到不孕不育治疗中心进行生育保护。
本文章由计算机程序翻译,如有差异,请以英文原文为准。

Management of Recurrent Large Bilateral Benign Mucinous Cystadenomas of the Ovary: A Case Report.

Management of Recurrent Large Bilateral Benign Mucinous Cystadenomas of the Ovary: A Case Report.

Management of Recurrent Large Bilateral Benign Mucinous Cystadenomas of the Ovary: A Case Report.

Management of Recurrent Large Bilateral Benign Mucinous Cystadenomas of the Ovary: A Case Report.

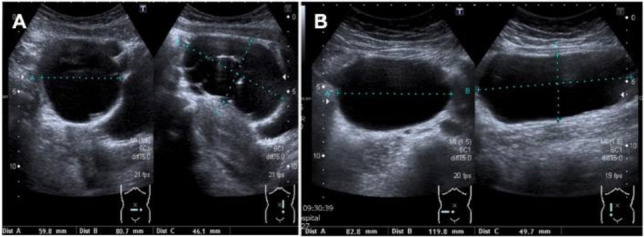
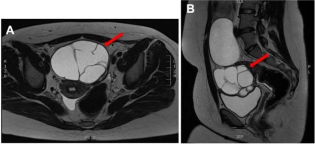
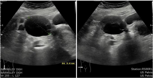
Background: The recurrence of benign ovarian mucinous cystadenomas is rare, and the presence of these cysts bilaterally is even more uncommon. Overall, 11 cases in our literature review were identified. Of these recurrences, only two cases were bilateral. The management of ovarian cysts in young patients is challenging, especially if they recur. Laparoscopic surgery is the most common intervention for ovarian cysts and a conservative approach using ovarian cystectomy is preferred in women in the reproductive age group.

Case presentation: A 16-year-old nulliparous female was admitted with persistent lower abdominal pain and bloating. A pelvic magnetic resonance imaging showed large bilateral cystic and multiloculated adnexal masses arising from her ovaries. Her tumor markers were normal. The patient underwent three seperate ovarian cystectomies over a seven-year period from the age of sixteen due to recurrent large bilateral benign ovarian mucinous cystadenomas. Repeated histological examinations were the same after each case. Given her age and the history of multiple ovarian surgeries, she was referred to the fertility clinic to explore options for oocyte cryopreservation.

Conclusion: This unusual case of bilateral recurrent benign ovarian mucinous cystadenomas underscores the importance of early laparoscopy and cystectomy as a recommended approach. Postoperative transvaginal ultrasound scans during follow-up may assist in the early detection of recurrence cases. Clinicians should strongly consider referring young patients with a history of repeated adnexal surgeries to infertility treatment centers for fertility preservation.

求助全文
通过发布文献求助,成功后即可免费获取论文全文。 去求助
来源期刊
Journal of Reproduction and Infertility
Journal of Reproduction and Infertility Medicine-Reproductive Medicine
CiteScore
2.70
自引率
0.00%
发文量
44
×
引用
GB/T 7714-2015
复制
MLA
复制
APA
复制
导出至
BibTeX EndNote RefMan NoteFirst NoteExpress
×
提示
您的信息不完整,为了账户安全,请先补充。
现在去补充
×
提示
您因"违规操作"
具体请查看互助需知
我知道了
×
提示
确定
请完成安全验证×
copy
已复制链接
快去分享给好友吧!
我知道了
右上角分享
点击右上角分享
0
联系我们:info@booksci.cn Book学术提供免费学术资源搜索服务,方便国内外学者检索中英文文献。致力于提供最便捷和优质的服务体验。 Copyright © 2023 布克学术 All rights reserved.
京ICP备2023020795号-1
ghs 京公网安备 11010802042870号
Book学术文献互助
Book学术文献互助群
群 号:604180095
Book学术官方微信