毛里亚克综合征:1型糖尿病患者中一种罕见的并发症。

IF 0.7 Q4 ENDOCRINOLOGY & METABOLISM
João Oliveira Torres, Diana Cruz Martins, Alexandra Abegão Matias, Nuno Gião, Eduardo Dutra, Rui Malheiro, Milena Mendes, José Silva-Nunes
{"title":"毛里亚克综合征:1型糖尿病患者中一种罕见的并发症。","authors":"João Oliveira Torres, Diana Cruz Martins, Alexandra Abegão Matias, Nuno Gião, Eduardo Dutra, Rui Malheiro, Milena Mendes, José Silva-Nunes","doi":"10.1530/EDM-25-0035","DOIUrl":null,"url":null,"abstract":"<p><strong>Summary: </strong>Mauriac syndrome is a rare complication in patients with type 1 diabetes. It presents with poor glycemic control and hepatomegaly due to extensive liver glycogen deposition. Whether behavioral or genetic factors play key roles in its pathophysiology remains a subject of debate. We present the case of a 19-year-old woman with poorly controlled type 1 diabetes mellitus and persistently elevated liver enzymes who arrived at the emergency department with diabetic ketoacidosis and hepatomegaly. Blood tests revealed the absence of an associated viral or autoimmune liver disease. Transient liver elastography showed moderate steatosis. Liver biopsy results were consistent with glycogen hepatopathy. Sequencing of genes associated with glycogen storage diseases revealed no pathogenic variants, supporting a non-genetic mechanism for Mauriac syndrome. Insulin regimen and dietary plan were reviewed. Distinction of glycogenic hepatopathy from metabolic dysfunction-associated fatty liver disease is often difficult and frequently only possible through liver biopsy. An accurate diagnosis of Mauriac syndrome carries important prognostic information, as associated hepatomegaly tends to regress through optimization of glycemic control.</p><p><strong>Learning points: </strong>Mauriac syndrome is a rare complication of poorly controlled type 1 diabetes, presenting with elevated liver enzymes and hepatomegaly due to extensive liver glycogen deposition. Liver biopsy plays a key role in distinguishing glycogenic hepatopathy from metabolic-associated steatotic liver disease. Adequate glycemic control often leads to hepatomegaly regression and normalization of liver enzyme levels in Mauriac syndrome.</p>","PeriodicalId":37467,"journal":{"name":"Endocrinology, Diabetes and Metabolism Case Reports","volume":"2025 3","pages":""},"PeriodicalIF":0.7000,"publicationDate":"2025-08-04","publicationTypes":"Journal Article","fieldsOfStudy":null,"isOpenAccess":false,"openAccessPdf":"https://www.ncbi.nlm.nih.gov/pmc/articles/PMC12326969/pdf/","citationCount":"0","resultStr":"{\"title\":\"Mauriac syndrome: a rare complication in patients with type 1 diabetes mellitus.\",\"authors\":\"João Oliveira Torres, Diana Cruz Martins, Alexandra Abegão Matias, Nuno Gião, Eduardo Dutra, Rui Malheiro, Milena Mendes, José Silva-Nunes\",\"doi\":\"10.1530/EDM-25-0035\",\"DOIUrl\":null,\"url\":null,\"abstract\":\"<p><strong>Summary: </strong>Mauriac syndrome is a rare complication in patients with type 1 diabetes. It presents with poor glycemic control and hepatomegaly due to extensive liver glycogen deposition. Whether behavioral or genetic factors play key roles in its pathophysiology remains a subject of debate. We present the case of a 19-year-old woman with poorly controlled type 1 diabetes mellitus and persistently elevated liver enzymes who arrived at the emergency department with diabetic ketoacidosis and hepatomegaly. Blood tests revealed the absence of an associated viral or autoimmune liver disease. Transient liver elastography showed moderate steatosis. Liver biopsy results were consistent with glycogen hepatopathy. Sequencing of genes associated with glycogen storage diseases revealed no pathogenic variants, supporting a non-genetic mechanism for Mauriac syndrome. Insulin regimen and dietary plan were reviewed. Distinction of glycogenic hepatopathy from metabolic dysfunction-associated fatty liver disease is often difficult and frequently only possible through liver biopsy. An accurate diagnosis of Mauriac syndrome carries important prognostic information, as associated hepatomegaly tends to regress through optimization of glycemic control.</p><p><strong>Learning points: </strong>Mauriac syndrome is a rare complication of poorly controlled type 1 diabetes, presenting with elevated liver enzymes and hepatomegaly due to extensive liver glycogen deposition. Liver biopsy plays a key role in distinguishing glycogenic hepatopathy from metabolic-associated steatotic liver disease. Adequate glycemic control often leads to hepatomegaly regression and normalization of liver enzyme levels in Mauriac syndrome.</p>\",\"PeriodicalId\":37467,\"journal\":{\"name\":\"Endocrinology, Diabetes and Metabolism Case Reports\",\"volume\":\"2025 3\",\"pages\":\"\"},\"PeriodicalIF\":0.7000,\"publicationDate\":\"2025-08-04\",\"publicationTypes\":\"Journal Article\",\"fieldsOfStudy\":null,\"isOpenAccess\":false,\"openAccessPdf\":\"https://www.ncbi.nlm.nih.gov/pmc/articles/PMC12326969/pdf/\",\"citationCount\":\"0\",\"resultStr\":null,\"platform\":\"Semanticscholar\",\"paperid\":null,\"PeriodicalName\":\"Endocrinology, Diabetes and Metabolism Case Reports\",\"FirstCategoryId\":\"1085\",\"ListUrlMain\":\"https://doi.org/10.1530/EDM-25-0035\",\"RegionNum\":0,\"RegionCategory\":null,\"ArticlePicture\":[],\"TitleCN\":null,\"AbstractTextCN\":null,\"PMCID\":null,\"EPubDate\":\"2025/7/1 0:00:00\",\"PubModel\":\"Print\",\"JCR\":\"Q4\",\"JCRName\":\"ENDOCRINOLOGY & METABOLISM\",\"Score\":null,\"Total\":0}","platform":"Semanticscholar","paperid":null,"PeriodicalName":"Endocrinology, Diabetes and Metabolism Case Reports","FirstCategoryId":"1085","ListUrlMain":"https://doi.org/10.1530/EDM-25-0035","RegionNum":0,"RegionCategory":null,"ArticlePicture":[],"TitleCN":null,"AbstractTextCN":null,"PMCID":null,"EPubDate":"2025/7/1 0:00:00","PubModel":"Print","JCR":"Q4","JCRName":"ENDOCRINOLOGY & METABOLISM","Score":null,"Total":0}
引用次数: 0

摘要

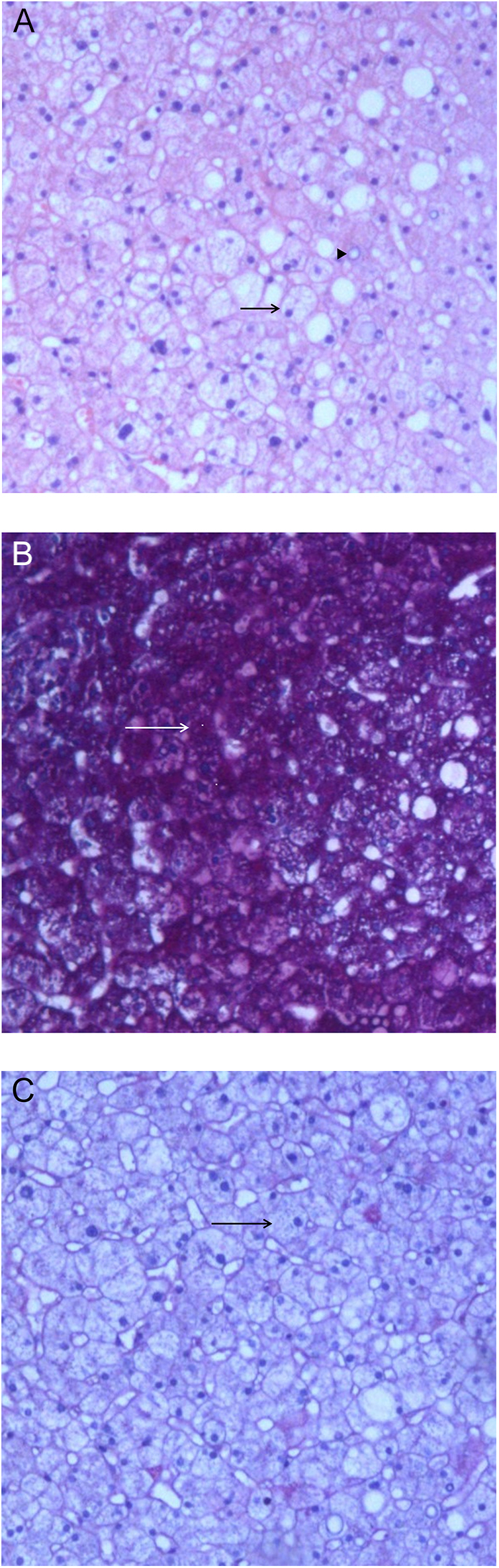
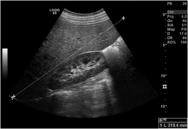
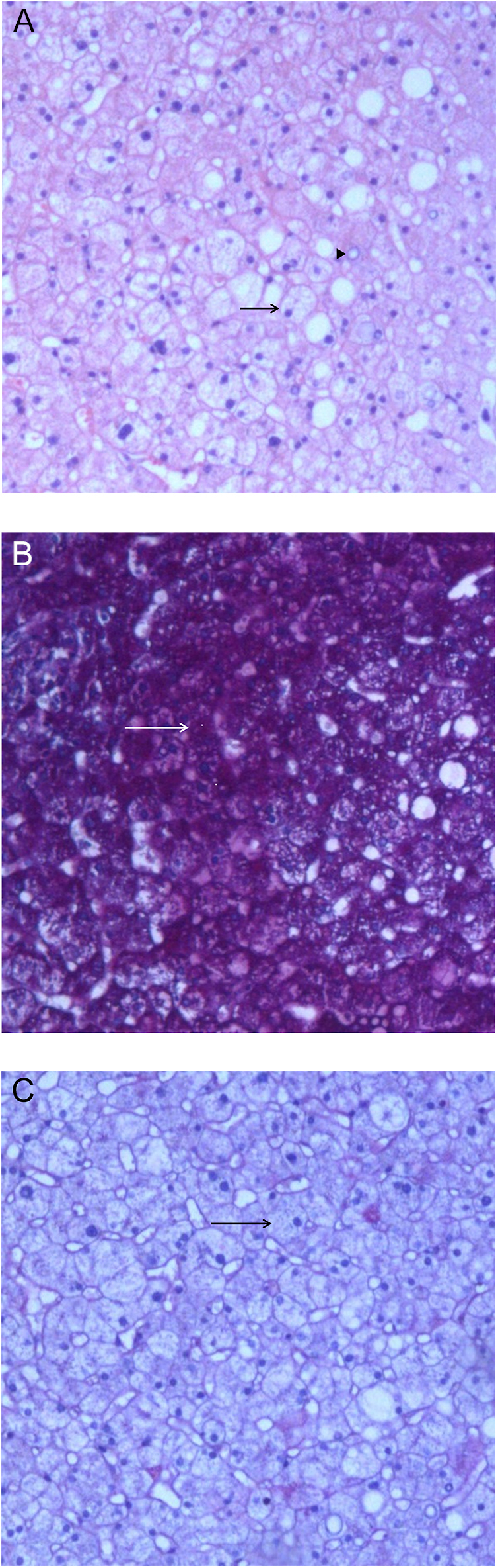
摘要:毛里亚克综合征是1型糖尿病患者中一种罕见的并发症。表现为血糖控制不佳,肝脏因肝糖原广泛沉积而肿大。行为因素还是遗传因素在其病理生理中起关键作用仍然是一个有争议的话题。我们报告一名19岁女性,患有控制不良的1型糖尿病和持续升高的肝酶,她因糖尿病酮症酸中毒和肝肿大而到达急诊室。血液检查显示没有相关的病毒性或自身免疫性肝病。短暂肝弹性图显示中度脂肪变性。肝活检结果与糖原性肝病一致。与糖原储存病相关的基因测序未发现致病变异,支持Mauriac综合征的非遗传机制。对胰岛素治疗方案和饮食计划进行综述。区分糖原性肝病与代谢功能障碍相关的脂肪性肝病通常是困难的,通常只能通过肝活检来实现。Mauriac综合征的准确诊断具有重要的预后信息,因为相关的肝肿大倾向于通过优化血糖控制而消退。学习要点:Mauriac综合征是控制不良的1型糖尿病的一种罕见并发症,表现为肝酶升高和肝糖原广泛沉积引起的肝肿大。肝活检在区分糖原性肝病和代谢相关脂肪变性肝病方面起着关键作用。适当的血糖控制常常导致毛里亚克综合征的肝肿大消退和肝酶水平正常化。
本文章由计算机程序翻译,如有差异,请以英文原文为准。

Mauriac syndrome: a rare complication in patients with type 1 diabetes mellitus.

Mauriac syndrome: a rare complication in patients with type 1 diabetes mellitus.

Mauriac syndrome: a rare complication in patients with type 1 diabetes mellitus.

Mauriac syndrome: a rare complication in patients with type 1 diabetes mellitus.

Mauriac syndrome: a rare complication in patients with type 1 diabetes mellitus.

Mauriac syndrome: a rare complication in patients with type 1 diabetes mellitus.

Mauriac syndrome: a rare complication in patients with type 1 diabetes mellitus.

Summary: Mauriac syndrome is a rare complication in patients with type 1 diabetes. It presents with poor glycemic control and hepatomegaly due to extensive liver glycogen deposition. Whether behavioral or genetic factors play key roles in its pathophysiology remains a subject of debate. We present the case of a 19-year-old woman with poorly controlled type 1 diabetes mellitus and persistently elevated liver enzymes who arrived at the emergency department with diabetic ketoacidosis and hepatomegaly. Blood tests revealed the absence of an associated viral or autoimmune liver disease. Transient liver elastography showed moderate steatosis. Liver biopsy results were consistent with glycogen hepatopathy. Sequencing of genes associated with glycogen storage diseases revealed no pathogenic variants, supporting a non-genetic mechanism for Mauriac syndrome. Insulin regimen and dietary plan were reviewed. Distinction of glycogenic hepatopathy from metabolic dysfunction-associated fatty liver disease is often difficult and frequently only possible through liver biopsy. An accurate diagnosis of Mauriac syndrome carries important prognostic information, as associated hepatomegaly tends to regress through optimization of glycemic control.

Learning points: Mauriac syndrome is a rare complication of poorly controlled type 1 diabetes, presenting with elevated liver enzymes and hepatomegaly due to extensive liver glycogen deposition. Liver biopsy plays a key role in distinguishing glycogenic hepatopathy from metabolic-associated steatotic liver disease. Adequate glycemic control often leads to hepatomegaly regression and normalization of liver enzyme levels in Mauriac syndrome.

求助全文
通过发布文献求助,成功后即可免费获取论文全文。 去求助
来源期刊
CiteScore
1.50
自引率
0.00%
发文量
142
审稿时长
9 weeks
期刊介绍: Endocrinology, Diabetes & Metabolism Case Reports publishes case reports on common and rare conditions in all areas of clinical endocrinology, diabetes and metabolism. Articles should include clear learning points which readers can use to inform medical education or clinical practice. The types of cases of interest to Endocrinology, Diabetes & Metabolism Case Reports include: -Insight into disease pathogenesis or mechanism of therapy - Novel diagnostic procedure - Novel treatment - Unique/unexpected symptoms or presentations of a disease - New disease or syndrome: presentations/diagnosis/management - Unusual effects of medical treatment - Error in diagnosis/pitfalls and caveats
×
引用
GB/T 7714-2015
复制
MLA
复制
APA
复制
导出至
BibTeX EndNote RefMan NoteFirst NoteExpress
×
提示
您的信息不完整,为了账户安全,请先补充。
现在去补充
×
提示
您因"违规操作"
具体请查看互助需知
我知道了
×
提示
确定
请完成安全验证×
copy
已复制链接
快去分享给好友吧!
我知道了
右上角分享
点击右上角分享
0
联系我们:info@booksci.cn Book学术提供免费学术资源搜索服务,方便国内外学者检索中英文文献。致力于提供最便捷和优质的服务体验。 Copyright © 2023 布克学术 All rights reserved.
京ICP备2023020795号-1
ghs 京公网安备 11010802042870号
Book学术文献互助
Book学术文献互助群
群 号:604180095
Book学术官方微信