川崎病还是猫抓病?诊断困境:一个儿科病例报告和文献综述。

Q4 Medicine
Mediterranean Journal of Rheumatology Pub Date : 2025-06-30 eCollection Date: 2025-06-01 DOI:10.31138/mjr.100624.ahe
Daiva Gorczyca, Daniel Lewandowski, Jacek Postępski
{"title":"川崎病还是猫抓病?诊断困境:一个儿科病例报告和文献综述。","authors":"Daiva Gorczyca, Daniel Lewandowski, Jacek Postępski","doi":"10.31138/mjr.100624.ahe","DOIUrl":null,"url":null,"abstract":"<p><strong>Objective: </strong>Kawasaki disease (KD) and atypical cat-scratch disease (CSD) can manifest with fever and similar non-specific symptoms.</p><p><strong>Methods: </strong>We report the case of an immunocompetent child who presented with signs and symptoms consistent with KD, which overlapped with those of atypical CSD (hepatosplenic form). Subsequently, we conducted a literature review to identify paediatric cases of KD and CSD.</p><p><strong>Results: </strong>We present the case of a 6-year-old girl with fever, abdominal pain, non-purulent bilateral conjunctivitis, maculopapular rash on the trunk, bilateral cervical lymphadenopathy, and oral mucosa erythema, meeting KD diagnostic criteria<b>.</b> Echocardiography revealed coronary artery dilatations. Despite initial intravenous immunoglobulin (IVIG) treatment eighteen hours later the general condition worsened, with the recurrence of fever, diffuse myalgia, severe abdominal pain, and vomiting. A detailed history revealed a cat scratch three weeks before onset, along with an erythematous nodule on the thumb, axillary lymphadenopathy, a typical hypoechoic splenic lesion in abdominal ultrasonography, and highly elevated IgM and IgG antibodies for <i>Bartonella henselae</i> titres, leading to a diagnosis of atypical CSD. Successful treatment involved a three-month course with erythromycin. Our literature review revealed five cases of co-occurring KD and CSD and six cases where CSD mimicked autoimmune diseases or malignancies.</p><p><strong>Conclusion: </strong>The presented case illustrated the expanding spectrum of <i>B. henselae</i> infection and emphasised the importance of including it in the differential diagnosis of KD and prolonged fever syndromes. We suggest incorporating abdominal ultrasonography into the initial diagnostic workup, considering it to be essential before empiric therapy initiation.</p>","PeriodicalId":32816,"journal":{"name":"Mediterranean Journal of Rheumatology","volume":"36 2","pages":"322-328"},"PeriodicalIF":0.0000,"publicationDate":"2025-06-30","publicationTypes":"Journal Article","fieldsOfStudy":null,"isOpenAccess":false,"openAccessPdf":"https://www.ncbi.nlm.nih.gov/pmc/articles/PMC12312472/pdf/","citationCount":"0","resultStr":"{\"title\":\"Kawasaki Disease or Cat Scratch Disease? A Diagnostic Dilemma: A Paediatric Case Report and Literature Review.\",\"authors\":\"Daiva Gorczyca, Daniel Lewandowski, Jacek Postępski\",\"doi\":\"10.31138/mjr.100624.ahe\",\"DOIUrl\":null,\"url\":null,\"abstract\":\"<p><strong>Objective: </strong>Kawasaki disease (KD) and atypical cat-scratch disease (CSD) can manifest with fever and similar non-specific symptoms.</p><p><strong>Methods: </strong>We report the case of an immunocompetent child who presented with signs and symptoms consistent with KD, which overlapped with those of atypical CSD (hepatosplenic form). Subsequently, we conducted a literature review to identify paediatric cases of KD and CSD.</p><p><strong>Results: </strong>We present the case of a 6-year-old girl with fever, abdominal pain, non-purulent bilateral conjunctivitis, maculopapular rash on the trunk, bilateral cervical lymphadenopathy, and oral mucosa erythema, meeting KD diagnostic criteria<b>.</b> Echocardiography revealed coronary artery dilatations. Despite initial intravenous immunoglobulin (IVIG) treatment eighteen hours later the general condition worsened, with the recurrence of fever, diffuse myalgia, severe abdominal pain, and vomiting. A detailed history revealed a cat scratch three weeks before onset, along with an erythematous nodule on the thumb, axillary lymphadenopathy, a typical hypoechoic splenic lesion in abdominal ultrasonography, and highly elevated IgM and IgG antibodies for <i>Bartonella henselae</i> titres, leading to a diagnosis of atypical CSD. Successful treatment involved a three-month course with erythromycin. Our literature review revealed five cases of co-occurring KD and CSD and six cases where CSD mimicked autoimmune diseases or malignancies.</p><p><strong>Conclusion: </strong>The presented case illustrated the expanding spectrum of <i>B. henselae</i> infection and emphasised the importance of including it in the differential diagnosis of KD and prolonged fever syndromes. We suggest incorporating abdominal ultrasonography into the initial diagnostic workup, considering it to be essential before empiric therapy initiation.</p>\",\"PeriodicalId\":32816,\"journal\":{\"name\":\"Mediterranean Journal of Rheumatology\",\"volume\":\"36 2\",\"pages\":\"322-328\"},\"PeriodicalIF\":0.0000,\"publicationDate\":\"2025-06-30\",\"publicationTypes\":\"Journal Article\",\"fieldsOfStudy\":null,\"isOpenAccess\":false,\"openAccessPdf\":\"https://www.ncbi.nlm.nih.gov/pmc/articles/PMC12312472/pdf/\",\"citationCount\":\"0\",\"resultStr\":null,\"platform\":\"Semanticscholar\",\"paperid\":null,\"PeriodicalName\":\"Mediterranean Journal of Rheumatology\",\"FirstCategoryId\":\"1085\",\"ListUrlMain\":\"https://doi.org/10.31138/mjr.100624.ahe\",\"RegionNum\":0,\"RegionCategory\":null,\"ArticlePicture\":[],\"TitleCN\":null,\"AbstractTextCN\":null,\"PMCID\":null,\"EPubDate\":\"2025/6/1 0:00:00\",\"PubModel\":\"eCollection\",\"JCR\":\"Q4\",\"JCRName\":\"Medicine\",\"Score\":null,\"Total\":0}","platform":"Semanticscholar","paperid":null,"PeriodicalName":"Mediterranean Journal of Rheumatology","FirstCategoryId":"1085","ListUrlMain":"https://doi.org/10.31138/mjr.100624.ahe","RegionNum":0,"RegionCategory":null,"ArticlePicture":[],"TitleCN":null,"AbstractTextCN":null,"PMCID":null,"EPubDate":"2025/6/1 0:00:00","PubModel":"eCollection","JCR":"Q4","JCRName":"Medicine","Score":null,"Total":0}
引用次数: 0

摘要

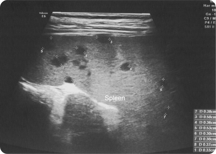
目的:川崎病(KD)和不典型猫抓病(CSD)可表现为发热和类似的非特异性症状。方法:我们报告了一例免疫功能正常的儿童,其体征和症状与KD一致,与非典型CSD(肝脾型)重叠。随后,我们进行了文献综述,以确定KD和CSD的儿科病例。结果:我们报告一名6岁女孩,伴有发热、腹痛、非化脓性双侧结膜炎、躯干丘疹、双侧颈部淋巴结病和口腔黏膜红斑,符合KD诊断标准。超声心动图显示冠状动脉扩张。尽管最初静脉注射免疫球蛋白(IVIG)治疗18小时后,一般情况恶化,伴有发烧、弥漫性肌痛、严重腹痛和呕吐的复发。详细病史显示发病前三周有猫抓伤,伴有拇指红斑结节,腋窝淋巴结病变,腹部超声检查显示典型的脾低回声病变,亨selae巴尔通体IgM和IgG抗体高升高,诊断为非典型CSD。成功的治疗包括三个月的红霉素疗程。我们的文献回顾显示5例并发KD和CSD, 6例CSD模仿自身免疫性疾病或恶性肿瘤。结论:本病例说明了亨selae感染谱的扩大,并强调了将其纳入KD和延长发热综合征鉴别诊断的重要性。我们建议将腹部超声检查纳入最初的诊断检查,认为这是在经验性治疗开始之前必不可少的。
本文章由计算机程序翻译,如有差异,请以英文原文为准。

Kawasaki Disease or Cat Scratch Disease? A Diagnostic Dilemma: A Paediatric Case Report and Literature Review.

Kawasaki Disease or Cat Scratch Disease? A Diagnostic Dilemma: A Paediatric Case Report and Literature Review.

Objective: Kawasaki disease (KD) and atypical cat-scratch disease (CSD) can manifest with fever and similar non-specific symptoms.

Methods: We report the case of an immunocompetent child who presented with signs and symptoms consistent with KD, which overlapped with those of atypical CSD (hepatosplenic form). Subsequently, we conducted a literature review to identify paediatric cases of KD and CSD.

Results: We present the case of a 6-year-old girl with fever, abdominal pain, non-purulent bilateral conjunctivitis, maculopapular rash on the trunk, bilateral cervical lymphadenopathy, and oral mucosa erythema, meeting KD diagnostic criteria. Echocardiography revealed coronary artery dilatations. Despite initial intravenous immunoglobulin (IVIG) treatment eighteen hours later the general condition worsened, with the recurrence of fever, diffuse myalgia, severe abdominal pain, and vomiting. A detailed history revealed a cat scratch three weeks before onset, along with an erythematous nodule on the thumb, axillary lymphadenopathy, a typical hypoechoic splenic lesion in abdominal ultrasonography, and highly elevated IgM and IgG antibodies for Bartonella henselae titres, leading to a diagnosis of atypical CSD. Successful treatment involved a three-month course with erythromycin. Our literature review revealed five cases of co-occurring KD and CSD and six cases where CSD mimicked autoimmune diseases or malignancies.

Conclusion: The presented case illustrated the expanding spectrum of B. henselae infection and emphasised the importance of including it in the differential diagnosis of KD and prolonged fever syndromes. We suggest incorporating abdominal ultrasonography into the initial diagnostic workup, considering it to be essential before empiric therapy initiation.

求助全文
通过发布文献求助,成功后即可免费获取论文全文。 去求助
来源期刊
CiteScore
2.00
自引率
0.00%
发文量
42
审稿时长
8 weeks
×
引用
GB/T 7714-2015
复制
MLA
复制
APA
复制
导出至
BibTeX EndNote RefMan NoteFirst NoteExpress
×
提示
您的信息不完整,为了账户安全,请先补充。
现在去补充
×
提示
您因"违规操作"
具体请查看互助需知
我知道了
×
提示
确定
请完成安全验证×
copy
已复制链接
快去分享给好友吧!
我知道了
右上角分享
点击右上角分享
0
联系我们:info@booksci.cn Book学术提供免费学术资源搜索服务,方便国内外学者检索中英文文献。致力于提供最便捷和优质的服务体验。 Copyright © 2023 布克学术 All rights reserved.
京ICP备2023020795号-1
ghs 京公网安备 11010802042870号
Book学术文献互助
Book学术文献互助群
群 号:604180095
Book学术官方微信