进行性骨化纤维发育不良患者异位假关节。

IF 2.4 Q2 ENDOCRINOLOGY & METABOLISM
JBMR Plus Pub Date : 2025-06-18 eCollection Date: 2025-08-01 DOI:10.1093/jbmrpl/ziaf107
Robert J Pignolo, Mona Al Mukaddam, Stephen Broski, Rolf Morhart, Luke T Drake, Bruce Kneeland, O Will Towler, Frederick S Kaplan
{"title":"进行性骨化纤维发育不良患者异位假关节。","authors":"Robert J Pignolo, Mona Al Mukaddam, Stephen Broski, Rolf Morhart, Luke T Drake, Bruce Kneeland, O Will Towler, Frederick S Kaplan","doi":"10.1093/jbmrpl/ziaf107","DOIUrl":null,"url":null,"abstract":"<p><p>Pseudoarthroses (false joints) occur as a complication of fracture healing in the normotopic skeleton but have not been reported at ectopic sites. Fibrodysplasia ossificans progressiva (FOP) is an ultra-rare genetic disorder characterized by progressive heterotopic ossification (HO) and congenital skeletal abnormalities including developmental arthropathy in the normotopic skeleton. Here, we report ectopic pseudojoint formation in 6 patients with FOP, all occurring after painful flare-ups and HO in soft connective tissues of the knee, hip, and forearm. To our knowledge, FOP is the only human condition in which ectopic pseudojoint formation occurs. These findings support that dysregulated BMP pathway signaling from mutant ACVR1 mediates not only HO, but also ectopic pseudojoint formation, and that ectopic pseudojoints can arise from de novo musculoskeletal elements.</p>","PeriodicalId":14611,"journal":{"name":"JBMR Plus","volume":"9 8","pages":"ziaf107"},"PeriodicalIF":2.4000,"publicationDate":"2025-06-18","publicationTypes":"Journal Article","fieldsOfStudy":null,"isOpenAccess":false,"openAccessPdf":"https://www.ncbi.nlm.nih.gov/pmc/articles/PMC12315676/pdf/","citationCount":"0","resultStr":"{\"title\":\"Ectopic pseudojoints in fibrodysplasia ossificans progressiva.\",\"authors\":\"Robert J Pignolo, Mona Al Mukaddam, Stephen Broski, Rolf Morhart, Luke T Drake, Bruce Kneeland, O Will Towler, Frederick S Kaplan\",\"doi\":\"10.1093/jbmrpl/ziaf107\",\"DOIUrl\":null,\"url\":null,\"abstract\":\"<p><p>Pseudoarthroses (false joints) occur as a complication of fracture healing in the normotopic skeleton but have not been reported at ectopic sites. Fibrodysplasia ossificans progressiva (FOP) is an ultra-rare genetic disorder characterized by progressive heterotopic ossification (HO) and congenital skeletal abnormalities including developmental arthropathy in the normotopic skeleton. Here, we report ectopic pseudojoint formation in 6 patients with FOP, all occurring after painful flare-ups and HO in soft connective tissues of the knee, hip, and forearm. To our knowledge, FOP is the only human condition in which ectopic pseudojoint formation occurs. These findings support that dysregulated BMP pathway signaling from mutant ACVR1 mediates not only HO, but also ectopic pseudojoint formation, and that ectopic pseudojoints can arise from de novo musculoskeletal elements.</p>\",\"PeriodicalId\":14611,\"journal\":{\"name\":\"JBMR Plus\",\"volume\":\"9 8\",\"pages\":\"ziaf107\"},\"PeriodicalIF\":2.4000,\"publicationDate\":\"2025-06-18\",\"publicationTypes\":\"Journal Article\",\"fieldsOfStudy\":null,\"isOpenAccess\":false,\"openAccessPdf\":\"https://www.ncbi.nlm.nih.gov/pmc/articles/PMC12315676/pdf/\",\"citationCount\":\"0\",\"resultStr\":null,\"platform\":\"Semanticscholar\",\"paperid\":null,\"PeriodicalName\":\"JBMR Plus\",\"FirstCategoryId\":\"1085\",\"ListUrlMain\":\"https://doi.org/10.1093/jbmrpl/ziaf107\",\"RegionNum\":0,\"RegionCategory\":null,\"ArticlePicture\":[],\"TitleCN\":null,\"AbstractTextCN\":null,\"PMCID\":null,\"EPubDate\":\"2025/8/1 0:00:00\",\"PubModel\":\"eCollection\",\"JCR\":\"Q2\",\"JCRName\":\"ENDOCRINOLOGY & METABOLISM\",\"Score\":null,\"Total\":0}","platform":"Semanticscholar","paperid":null,"PeriodicalName":"JBMR Plus","FirstCategoryId":"1085","ListUrlMain":"https://doi.org/10.1093/jbmrpl/ziaf107","RegionNum":0,"RegionCategory":null,"ArticlePicture":[],"TitleCN":null,"AbstractTextCN":null,"PMCID":null,"EPubDate":"2025/8/1 0:00:00","PubModel":"eCollection","JCR":"Q2","JCRName":"ENDOCRINOLOGY & METABOLISM","Score":null,"Total":0}
引用次数: 0

摘要

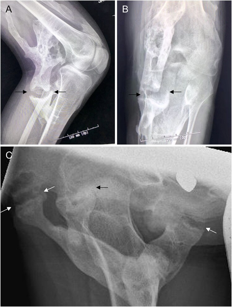
假关节(假关节)是正常异位骨骼骨折愈合的并发症,但在异位部位未见报道。进行性骨化纤维发育不良(FOP)是一种极其罕见的遗传性疾病,其特征是进行性异位骨化(HO)和先天性骨骼异常,包括正常位置骨骼的发育性关节病。在这里,我们报告了6例FOP患者的异位假关节形成,所有这些患者都发生在疼痛发作和膝关节、髋关节和前臂软结缔组织的HO之后。据我们所知,FOP是唯一发生异位假关节形成的人类疾病。这些发现支持来自突变ACVR1的BMP通路信号失调不仅介导HO,还介导异位假关节的形成,并且异位假关节可以由新生的肌肉骨骼元件引起。
本文章由计算机程序翻译,如有差异,请以英文原文为准。

Ectopic pseudojoints in fibrodysplasia ossificans progressiva.

Ectopic pseudojoints in fibrodysplasia ossificans progressiva.

Ectopic pseudojoints in fibrodysplasia ossificans progressiva.

Ectopic pseudojoints in fibrodysplasia ossificans progressiva.

Pseudoarthroses (false joints) occur as a complication of fracture healing in the normotopic skeleton but have not been reported at ectopic sites. Fibrodysplasia ossificans progressiva (FOP) is an ultra-rare genetic disorder characterized by progressive heterotopic ossification (HO) and congenital skeletal abnormalities including developmental arthropathy in the normotopic skeleton. Here, we report ectopic pseudojoint formation in 6 patients with FOP, all occurring after painful flare-ups and HO in soft connective tissues of the knee, hip, and forearm. To our knowledge, FOP is the only human condition in which ectopic pseudojoint formation occurs. These findings support that dysregulated BMP pathway signaling from mutant ACVR1 mediates not only HO, but also ectopic pseudojoint formation, and that ectopic pseudojoints can arise from de novo musculoskeletal elements.

求助全文
通过发布文献求助,成功后即可免费获取论文全文。 去求助
来源期刊
JBMR Plus
JBMR Plus Medicine-Orthopedics and Sports Medicine
CiteScore
5.80
自引率
2.60%
发文量
103
审稿时长
8 weeks
×
引用
GB/T 7714-2015
复制
MLA
复制
APA
复制
导出至
BibTeX EndNote RefMan NoteFirst NoteExpress
×
提示
您的信息不完整,为了账户安全,请先补充。
现在去补充
×
提示
您因"违规操作"
具体请查看互助需知
我知道了
×
提示
确定
请完成安全验证×
copy
已复制链接
快去分享给好友吧!
我知道了
右上角分享
点击右上角分享
0
联系我们:info@booksci.cn Book学术提供免费学术资源搜索服务,方便国内外学者检索中英文文献。致力于提供最便捷和优质的服务体验。 Copyright © 2023 布克学术 All rights reserved.
京ICP备2023020795号-1
ghs 京公网安备 11010802042870号
Book学术文献互助
Book学术文献互助群
群 号:604180095
Book学术官方微信