新生儿脑膜脊膜膨出的深度几乎致命的呼吸功能障碍:与神经外科课程的叙述。

IF 0.5 Q4 PEDIATRICS
Case Reports in Pediatrics Pub Date : 2025-07-26 eCollection Date: 2025-01-01 DOI:10.1155/crpe/5569749
P Singh, P Kadam, K Aniruddhan, C Kaliaperumal
{"title":"新生儿脑膜脊膜膨出的深度几乎致命的呼吸功能障碍:与神经外科课程的叙述。","authors":"P Singh, P Kadam, K Aniruddhan, C Kaliaperumal","doi":"10.1155/crpe/5569749","DOIUrl":null,"url":null,"abstract":"<p><p>The association between spina bifida, specifically myelomeningocele, and autonomic dysfunction is known although rare. This case highlights the severe respiratory compromise that can occur in paediatric patients secondary to myelomeningocele. We describe a case of a neonate who experienced profound respiratory dysfunction following a successful lumbosacral myelomeningocele repair on Day 1 of life, on the background of a prenatal diagnosis of Arnold-Chiari Type II malformation and congenital hydrocephalus. In addition, the patient was found to have an incidental choroid plexus papilloma which was resected along with foramen magnum decompression. Even after multiple successful neurosurgical interventions, the patient experienced a number of apnoeic episodes requiring intubation and ventilation and a prolonged intensive care unit stay. Despite the exceptionally high frequency and severity of the apnoeic-hypoxic episodes, the patient is demonstrating age-appropriate cognitive development and is now ventilated overnight via tracheostomy. There are lessons to be learnt surrounding the multidisciplinary care of these patients, management of respiratory distress, and the different aetiologies in this case. There was also a correlation found between episodes of urinary tract infection and increased frequency of apnoeic episodes, raising the question of whether her bladder irritation may be partially triggering her autonomic dysreflexia, on a background of a significant surgical history.</p>","PeriodicalId":9623,"journal":{"name":"Case Reports in Pediatrics","volume":"2025 ","pages":"5569749"},"PeriodicalIF":0.5000,"publicationDate":"2025-07-26","publicationTypes":"Journal Article","fieldsOfStudy":null,"isOpenAccess":false,"openAccessPdf":"https://www.ncbi.nlm.nih.gov/pmc/articles/PMC12317807/pdf/","citationCount":"0","resultStr":"{\"title\":\"Profound Near Fatal Respiratory Dysfunction in a Neonate With Meningomyelocele: A Narrative With Neurosurgical Lessons.\",\"authors\":\"P Singh, P Kadam, K Aniruddhan, C Kaliaperumal\",\"doi\":\"10.1155/crpe/5569749\",\"DOIUrl\":null,\"url\":null,\"abstract\":\"<p><p>The association between spina bifida, specifically myelomeningocele, and autonomic dysfunction is known although rare. This case highlights the severe respiratory compromise that can occur in paediatric patients secondary to myelomeningocele. We describe a case of a neonate who experienced profound respiratory dysfunction following a successful lumbosacral myelomeningocele repair on Day 1 of life, on the background of a prenatal diagnosis of Arnold-Chiari Type II malformation and congenital hydrocephalus. In addition, the patient was found to have an incidental choroid plexus papilloma which was resected along with foramen magnum decompression. Even after multiple successful neurosurgical interventions, the patient experienced a number of apnoeic episodes requiring intubation and ventilation and a prolonged intensive care unit stay. Despite the exceptionally high frequency and severity of the apnoeic-hypoxic episodes, the patient is demonstrating age-appropriate cognitive development and is now ventilated overnight via tracheostomy. There are lessons to be learnt surrounding the multidisciplinary care of these patients, management of respiratory distress, and the different aetiologies in this case. There was also a correlation found between episodes of urinary tract infection and increased frequency of apnoeic episodes, raising the question of whether her bladder irritation may be partially triggering her autonomic dysreflexia, on a background of a significant surgical history.</p>\",\"PeriodicalId\":9623,\"journal\":{\"name\":\"Case Reports in Pediatrics\",\"volume\":\"2025 \",\"pages\":\"5569749\"},\"PeriodicalIF\":0.5000,\"publicationDate\":\"2025-07-26\",\"publicationTypes\":\"Journal Article\",\"fieldsOfStudy\":null,\"isOpenAccess\":false,\"openAccessPdf\":\"https://www.ncbi.nlm.nih.gov/pmc/articles/PMC12317807/pdf/\",\"citationCount\":\"0\",\"resultStr\":null,\"platform\":\"Semanticscholar\",\"paperid\":null,\"PeriodicalName\":\"Case Reports in Pediatrics\",\"FirstCategoryId\":\"1085\",\"ListUrlMain\":\"https://doi.org/10.1155/crpe/5569749\",\"RegionNum\":0,\"RegionCategory\":null,\"ArticlePicture\":[],\"TitleCN\":null,\"AbstractTextCN\":null,\"PMCID\":null,\"EPubDate\":\"2025/1/1 0:00:00\",\"PubModel\":\"eCollection\",\"JCR\":\"Q4\",\"JCRName\":\"PEDIATRICS\",\"Score\":null,\"Total\":0}","platform":"Semanticscholar","paperid":null,"PeriodicalName":"Case Reports in Pediatrics","FirstCategoryId":"1085","ListUrlMain":"https://doi.org/10.1155/crpe/5569749","RegionNum":0,"RegionCategory":null,"ArticlePicture":[],"TitleCN":null,"AbstractTextCN":null,"PMCID":null,"EPubDate":"2025/1/1 0:00:00","PubModel":"eCollection","JCR":"Q4","JCRName":"PEDIATRICS","Score":null,"Total":0}
引用次数: 0

摘要

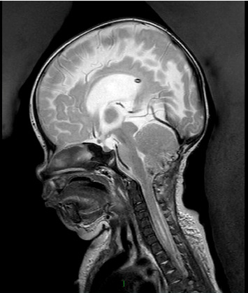
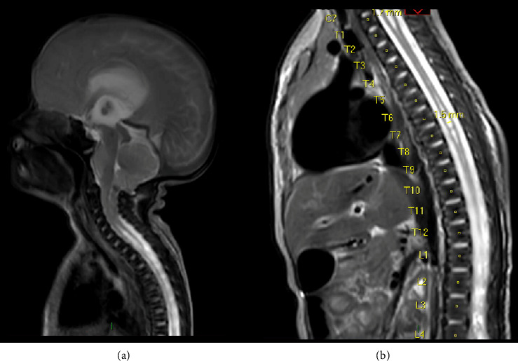
脊柱裂,特别是脊膜膨出,与自主神经功能障碍之间的联系是已知的,尽管罕见。本病例突出了脊髓脊膜膨出患儿继发的严重呼吸损害。我们描述了一个新生儿谁经历了严重的呼吸功能障碍后,成功的腰骶髓脊膜膨出修复在生命的第一天,在产前诊断为Arnold-Chiari II型畸形和先天性脑积水的背景下。此外,患者被发现有偶发脉络膜丛乳头状瘤,并在枕骨大孔减压术中切除。即使在多次成功的神经外科干预后,患者仍经历了多次需要插管和通气的呼吸暂停发作,并延长了重症监护病房的住院时间。尽管呼吸暂停-缺氧发作的频率异常高且严重,但患者表现出与年龄相适应的认知发展,现在通过气管切开术进行了夜间通气。围绕这些患者的多学科护理、呼吸窘迫的管理以及本病例的不同病因,我们可以吸取经验教训。尿路感染发作与呼吸暂停发作频率增加之间也存在相关性,这就提出了一个问题,即在有重要手术史的背景下,该患者的膀胱刺激是否部分触发了自主神经反射障碍。
本文章由计算机程序翻译,如有差异,请以英文原文为准。

Profound Near Fatal Respiratory Dysfunction in a Neonate With Meningomyelocele: A Narrative With Neurosurgical Lessons.

Profound Near Fatal Respiratory Dysfunction in a Neonate With Meningomyelocele: A Narrative With Neurosurgical Lessons.

Profound Near Fatal Respiratory Dysfunction in a Neonate With Meningomyelocele: A Narrative With Neurosurgical Lessons.

Profound Near Fatal Respiratory Dysfunction in a Neonate With Meningomyelocele: A Narrative With Neurosurgical Lessons.

The association between spina bifida, specifically myelomeningocele, and autonomic dysfunction is known although rare. This case highlights the severe respiratory compromise that can occur in paediatric patients secondary to myelomeningocele. We describe a case of a neonate who experienced profound respiratory dysfunction following a successful lumbosacral myelomeningocele repair on Day 1 of life, on the background of a prenatal diagnosis of Arnold-Chiari Type II malformation and congenital hydrocephalus. In addition, the patient was found to have an incidental choroid plexus papilloma which was resected along with foramen magnum decompression. Even after multiple successful neurosurgical interventions, the patient experienced a number of apnoeic episodes requiring intubation and ventilation and a prolonged intensive care unit stay. Despite the exceptionally high frequency and severity of the apnoeic-hypoxic episodes, the patient is demonstrating age-appropriate cognitive development and is now ventilated overnight via tracheostomy. There are lessons to be learnt surrounding the multidisciplinary care of these patients, management of respiratory distress, and the different aetiologies in this case. There was also a correlation found between episodes of urinary tract infection and increased frequency of apnoeic episodes, raising the question of whether her bladder irritation may be partially triggering her autonomic dysreflexia, on a background of a significant surgical history.

求助全文
通过发布文献求助,成功后即可免费获取论文全文。 去求助
来源期刊
自引率
11.10%
发文量
48
审稿时长
13 weeks
×
引用
GB/T 7714-2015
复制
MLA
复制
APA
复制
导出至
BibTeX EndNote RefMan NoteFirst NoteExpress
×
提示
您的信息不完整,为了账户安全,请先补充。
现在去补充
×
提示
您因"违规操作"
具体请查看互助需知
我知道了
×
提示
确定
请完成安全验证×
copy
已复制链接
快去分享给好友吧!
我知道了
右上角分享
点击右上角分享
0
联系我们:info@booksci.cn Book学术提供免费学术资源搜索服务,方便国内外学者检索中英文文献。致力于提供最便捷和优质的服务体验。 Copyright © 2023 布克学术 All rights reserved.
京ICP备2023020795号-1
ghs 京公网安备 11010802042870号
Book学术文献互助
Book学术文献互助群
群 号:604180095
Book学术官方微信