小儿创伤后脑静脉窦血栓形成:利伐沙班成功解决。

IF 0.5 Q4 PEDIATRICS
Case Reports in Pediatrics Pub Date : 2025-07-27 eCollection Date: 2025-01-01 DOI:10.1155/crpe/8836176
Yuxuan Zhang, Hui Liu, Hongfang Ding
{"title":"小儿创伤后脑静脉窦血栓形成:利伐沙班成功解决。","authors":"Yuxuan Zhang, Hui Liu, Hongfang Ding","doi":"10.1155/crpe/8836176","DOIUrl":null,"url":null,"abstract":"<p><p>Cerebral venous sinus thrombosis (CVST) is rare in children (0.5%-1.0% of pediatric strokes) and uncommonly associated with closed traumatic brain injury. A 7-year-old girl presented with neurological symptoms following a mild closed craniocerebral injury. Early CT imaging revealed subtle findings that were initially overlooked, leading to delayed diagnosis. Subsequent magnetic resonance imaging (MRI) and magnetic resonance venography (MRV) confirmed the diagnosis of CVST. The patient was successfully treated with enoxaparin bridging followed by rivaroxaban, achieving complete thrombus resolution without bleeding complications. This case highlights the diagnostic challenge of posttraumatic CVST in children, where initial imaging signs may be overlooked. It underscores the importance of vigilant imaging interpretation in pediatric brain trauma with persistent symptoms and demonstrates the efficacy and safety of novel oral anticoagulants (NOACs), specifically rivaroxaban, as a therapeutic option in this population.</p>","PeriodicalId":9623,"journal":{"name":"Case Reports in Pediatrics","volume":"2025 ","pages":"8836176"},"PeriodicalIF":0.5000,"publicationDate":"2025-07-27","publicationTypes":"Journal Article","fieldsOfStudy":null,"isOpenAccess":false,"openAccessPdf":"https://www.ncbi.nlm.nih.gov/pmc/articles/PMC12318623/pdf/","citationCount":"0","resultStr":"{\"title\":\"Pediatric Posttraumatic Cerebral Venous Sinus Thrombosis: Successful Resolution With Rivaroxaban.\",\"authors\":\"Yuxuan Zhang, Hui Liu, Hongfang Ding\",\"doi\":\"10.1155/crpe/8836176\",\"DOIUrl\":null,\"url\":null,\"abstract\":\"<p><p>Cerebral venous sinus thrombosis (CVST) is rare in children (0.5%-1.0% of pediatric strokes) and uncommonly associated with closed traumatic brain injury. A 7-year-old girl presented with neurological symptoms following a mild closed craniocerebral injury. Early CT imaging revealed subtle findings that were initially overlooked, leading to delayed diagnosis. Subsequent magnetic resonance imaging (MRI) and magnetic resonance venography (MRV) confirmed the diagnosis of CVST. The patient was successfully treated with enoxaparin bridging followed by rivaroxaban, achieving complete thrombus resolution without bleeding complications. This case highlights the diagnostic challenge of posttraumatic CVST in children, where initial imaging signs may be overlooked. It underscores the importance of vigilant imaging interpretation in pediatric brain trauma with persistent symptoms and demonstrates the efficacy and safety of novel oral anticoagulants (NOACs), specifically rivaroxaban, as a therapeutic option in this population.</p>\",\"PeriodicalId\":9623,\"journal\":{\"name\":\"Case Reports in Pediatrics\",\"volume\":\"2025 \",\"pages\":\"8836176\"},\"PeriodicalIF\":0.5000,\"publicationDate\":\"2025-07-27\",\"publicationTypes\":\"Journal Article\",\"fieldsOfStudy\":null,\"isOpenAccess\":false,\"openAccessPdf\":\"https://www.ncbi.nlm.nih.gov/pmc/articles/PMC12318623/pdf/\",\"citationCount\":\"0\",\"resultStr\":null,\"platform\":\"Semanticscholar\",\"paperid\":null,\"PeriodicalName\":\"Case Reports in Pediatrics\",\"FirstCategoryId\":\"1085\",\"ListUrlMain\":\"https://doi.org/10.1155/crpe/8836176\",\"RegionNum\":0,\"RegionCategory\":null,\"ArticlePicture\":[],\"TitleCN\":null,\"AbstractTextCN\":null,\"PMCID\":null,\"EPubDate\":\"2025/1/1 0:00:00\",\"PubModel\":\"eCollection\",\"JCR\":\"Q4\",\"JCRName\":\"PEDIATRICS\",\"Score\":null,\"Total\":0}","platform":"Semanticscholar","paperid":null,"PeriodicalName":"Case Reports in Pediatrics","FirstCategoryId":"1085","ListUrlMain":"https://doi.org/10.1155/crpe/8836176","RegionNum":0,"RegionCategory":null,"ArticlePicture":[],"TitleCN":null,"AbstractTextCN":null,"PMCID":null,"EPubDate":"2025/1/1 0:00:00","PubModel":"eCollection","JCR":"Q4","JCRName":"PEDIATRICS","Score":null,"Total":0}
引用次数: 0

摘要

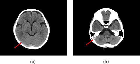
脑静脉窦血栓形成(CVST)在儿童中很少见(占儿童卒中的0.5%-1.0%),与闭合性创伤性脑损伤相关的病例很少。一名七岁女孩在轻度闭合性颅脑损伤后出现神经系统症状。早期CT影像显示了最初被忽视的细微发现,导致诊断延迟。随后的磁共振成像(MRI)和磁共振静脉造影(MRV)证实了CVST的诊断。患者成功地接受依诺肝素桥接治疗,随后接受利伐沙班治疗,实现血栓完全溶解,无出血并发症。本病例强调了儿童创伤后CVST的诊断挑战,其中最初的影像学征象可能被忽视。该研究强调了在持续症状的儿童脑外伤中警惕成像解释的重要性,并证明了新型口服抗凝剂(NOACs),特别是利伐沙班,作为这一人群的治疗选择的有效性和安全性。
本文章由计算机程序翻译,如有差异,请以英文原文为准。

Pediatric Posttraumatic Cerebral Venous Sinus Thrombosis: Successful Resolution With Rivaroxaban.

Pediatric Posttraumatic Cerebral Venous Sinus Thrombosis: Successful Resolution With Rivaroxaban.

Pediatric Posttraumatic Cerebral Venous Sinus Thrombosis: Successful Resolution With Rivaroxaban.

Cerebral venous sinus thrombosis (CVST) is rare in children (0.5%-1.0% of pediatric strokes) and uncommonly associated with closed traumatic brain injury. A 7-year-old girl presented with neurological symptoms following a mild closed craniocerebral injury. Early CT imaging revealed subtle findings that were initially overlooked, leading to delayed diagnosis. Subsequent magnetic resonance imaging (MRI) and magnetic resonance venography (MRV) confirmed the diagnosis of CVST. The patient was successfully treated with enoxaparin bridging followed by rivaroxaban, achieving complete thrombus resolution without bleeding complications. This case highlights the diagnostic challenge of posttraumatic CVST in children, where initial imaging signs may be overlooked. It underscores the importance of vigilant imaging interpretation in pediatric brain trauma with persistent symptoms and demonstrates the efficacy and safety of novel oral anticoagulants (NOACs), specifically rivaroxaban, as a therapeutic option in this population.

求助全文
通过发布文献求助,成功后即可免费获取论文全文。 去求助
来源期刊
自引率
11.10%
发文量
48
审稿时长
13 weeks
×
引用
GB/T 7714-2015
复制
MLA
复制
APA
复制
导出至
BibTeX EndNote RefMan NoteFirst NoteExpress
×
提示
您的信息不完整,为了账户安全,请先补充。
现在去补充
×
提示
您因"违规操作"
具体请查看互助需知
我知道了
×
提示
确定
请完成安全验证×
copy
已复制链接
快去分享给好友吧!
我知道了
右上角分享
点击右上角分享
0
联系我们:info@booksci.cn Book学术提供免费学术资源搜索服务,方便国内外学者检索中英文文献。致力于提供最便捷和优质的服务体验。 Copyright © 2023 布克学术 All rights reserved.
京ICP备2023020795号-1
ghs 京公网安备 11010802042870号
Book学术文献互助
Book学术文献互助群
群 号:604180095
Book学术官方微信