使用定制的双剂量处方,适应性加速分期放射手术治疗生存期排除患者的关键位置脑转移:一项长期回顾性分析。

IF 3.3 2区 医学 Q2 ONCOLOGY
G Sinclair, H Martin, C M Allison, M A Hatiboglu, H Speckter, A Fytagoridis
{"title":"使用定制的双剂量处方,适应性加速分期放射手术治疗生存期排除患者的关键位置脑转移:一项长期回顾性分析。","authors":"G Sinclair, H Martin, C M Allison, M A Hatiboglu, H Speckter, A Fytagoridis","doi":"10.1186/s13014-025-02692-x","DOIUrl":null,"url":null,"abstract":"<p><strong>Background: </strong>Patients with brain metastases face a poor prognosis when deemed not to be suitable for onco-surgical intervention. This feasibility study analyses the outcome of adaptive radiosurgery applied in customised settings to a group of patients with brain metastases, where no other form of treatment was deemed safe and/or feasible.</p><p><strong>Methods: </strong>29 patients with 35 brain metastases deemed not to be candidates for surgery, radiotherapy or systemic treatment were treated with MRI-guided adaptive Gamma Knife radiosurgery in 3 separate sessions with a 72-hour interval. Customised synchronous double-dose prescriptions were systematically utilised at each session. Estimated survival at pre-treatment was fewer than 4 weeks due to the targeted intracranial lesions. A retrospective analysis was conducted on the whole cohort, with particular emphasis on those surviving 12 months and beyond.</p><p><strong>Results: </strong>The median overall survival was 7.3 months, with a follow-up of 7.5 years. Survival at 6, 12, 24, 36, 48 and 60 months was 62%, 41%, 17%, 14%, 10% and 7%, respectively. Local tumour control (LTC) at 1 year was 75%. 4 patients developed local recurrence late on follow-up, with a survival ranging between 12 and 40 months. 2 patients were alive at the time of submission (115- and 117-months post-treatment) with no sequelae; the remainder succumbed to general disease progression, with neurologic death being avoided throughout the whole cohort. Adverse radiation effects (ARE) were reported in 5 patients, of which 4 remained asymptomatic throughout follow-up.</p><p><strong>Conclusions: </strong>Based on the results of this first retrospective study, adaptive radiosurgery in double-dose prescription settings provided acceptable rates of LTC and ARE despite the underlying accelerated timeline, ultimately preventing neurologic death in a group of patients with an extremely poor prognosis. Prospective studies involving a larger number of patients with homogenous histology are warranted to validate the results of this study and optimise the technique.</p>","PeriodicalId":49639,"journal":{"name":"Radiation Oncology","volume":"20 1","pages":"120"},"PeriodicalIF":3.3000,"publicationDate":"2025-08-01","publicationTypes":"Journal Article","fieldsOfStudy":null,"isOpenAccess":false,"openAccessPdf":"https://www.ncbi.nlm.nih.gov/pmc/articles/PMC12317634/pdf/","citationCount":"0","resultStr":"{\"title\":\"Management of critically located brain metastases in patients with precluded survival using customised double-dose prescription-based, adaptive accelerated staged radiosurgery: a long-term retrospective analysis.\",\"authors\":\"G Sinclair, H Martin, C M Allison, M A Hatiboglu, H Speckter, A Fytagoridis\",\"doi\":\"10.1186/s13014-025-02692-x\",\"DOIUrl\":null,\"url\":null,\"abstract\":\"<p><strong>Background: </strong>Patients with brain metastases face a poor prognosis when deemed not to be suitable for onco-surgical intervention. This feasibility study analyses the outcome of adaptive radiosurgery applied in customised settings to a group of patients with brain metastases, where no other form of treatment was deemed safe and/or feasible.</p><p><strong>Methods: </strong>29 patients with 35 brain metastases deemed not to be candidates for surgery, radiotherapy or systemic treatment were treated with MRI-guided adaptive Gamma Knife radiosurgery in 3 separate sessions with a 72-hour interval. Customised synchronous double-dose prescriptions were systematically utilised at each session. Estimated survival at pre-treatment was fewer than 4 weeks due to the targeted intracranial lesions. A retrospective analysis was conducted on the whole cohort, with particular emphasis on those surviving 12 months and beyond.</p><p><strong>Results: </strong>The median overall survival was 7.3 months, with a follow-up of 7.5 years. Survival at 6, 12, 24, 36, 48 and 60 months was 62%, 41%, 17%, 14%, 10% and 7%, respectively. Local tumour control (LTC) at 1 year was 75%. 4 patients developed local recurrence late on follow-up, with a survival ranging between 12 and 40 months. 2 patients were alive at the time of submission (115- and 117-months post-treatment) with no sequelae; the remainder succumbed to general disease progression, with neurologic death being avoided throughout the whole cohort. Adverse radiation effects (ARE) were reported in 5 patients, of which 4 remained asymptomatic throughout follow-up.</p><p><strong>Conclusions: </strong>Based on the results of this first retrospective study, adaptive radiosurgery in double-dose prescription settings provided acceptable rates of LTC and ARE despite the underlying accelerated timeline, ultimately preventing neurologic death in a group of patients with an extremely poor prognosis. Prospective studies involving a larger number of patients with homogenous histology are warranted to validate the results of this study and optimise the technique.</p>\",\"PeriodicalId\":49639,\"journal\":{\"name\":\"Radiation Oncology\",\"volume\":\"20 1\",\"pages\":\"120\"},\"PeriodicalIF\":3.3000,\"publicationDate\":\"2025-08-01\",\"publicationTypes\":\"Journal Article\",\"fieldsOfStudy\":null,\"isOpenAccess\":false,\"openAccessPdf\":\"https://www.ncbi.nlm.nih.gov/pmc/articles/PMC12317634/pdf/\",\"citationCount\":\"0\",\"resultStr\":null,\"platform\":\"Semanticscholar\",\"paperid\":null,\"PeriodicalName\":\"Radiation Oncology\",\"FirstCategoryId\":\"3\",\"ListUrlMain\":\"https://doi.org/10.1186/s13014-025-02692-x\",\"RegionNum\":2,\"RegionCategory\":\"医学\",\"ArticlePicture\":[],\"TitleCN\":null,\"AbstractTextCN\":null,\"PMCID\":null,\"EPubDate\":\"\",\"PubModel\":\"\",\"JCR\":\"Q2\",\"JCRName\":\"ONCOLOGY\",\"Score\":null,\"Total\":0}","platform":"Semanticscholar","paperid":null,"PeriodicalName":"Radiation Oncology","FirstCategoryId":"3","ListUrlMain":"https://doi.org/10.1186/s13014-025-02692-x","RegionNum":2,"RegionCategory":"医学","ArticlePicture":[],"TitleCN":null,"AbstractTextCN":null,"PMCID":null,"EPubDate":"","PubModel":"","JCR":"Q2","JCRName":"ONCOLOGY","Score":null,"Total":0}
引用次数: 0

摘要

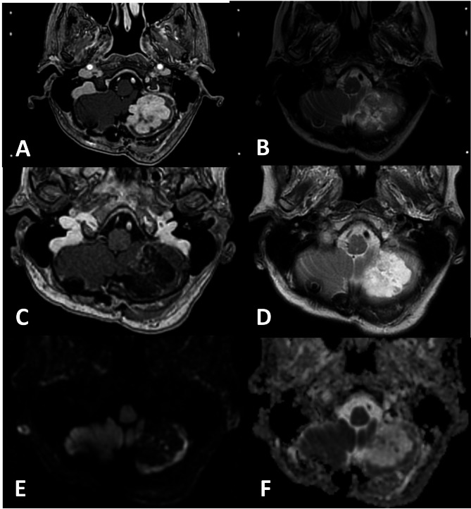
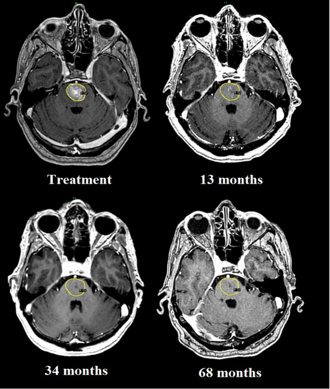
背景:当脑转移患者被认为不适合肿瘤手术干预时,预后较差。本可行性研究分析了适应性放射手术在定制环境下应用于一组脑转移患者的结果,这些患者没有其他形式的治疗被认为是安全和/或可行的。方法:29例35例不适合手术、放疗或全身治疗的脑转移患者,采用mri引导下的适应性伽玛刀放射治疗,分3次治疗,间隔72小时。每次会议系统地使用定制的同步双剂量处方。由于靶向颅内病变,治疗前估计生存期少于4周。对整个队列进行回顾性分析,特别强调存活12个月及以上的患者。结果:中位总生存期为7.3个月,随访时间为7.5年。6、12、24、36、48和60个月的生存率分别为62%、41%、17%、14%、10%和7%。1年局部肿瘤控制率(LTC)为75%。随访后期局部复发4例,生存期12 ~ 40个月。2例患者在提交时存活(治疗后115个月和117个月),无后遗症;其余的死于一般疾病进展,整个队列中都避免了神经系统死亡。报告了5例患者的放射不良反应(ARE),其中4例在随访期间无症状。结论:基于这项首次回顾性研究的结果,在双剂量处方环境下的适应性放射手术提供了可接受的LTC和ARE率,尽管潜在的时间加快了,最终预防了一组预后极差的患者的神经性死亡。前瞻性研究涉及大量具有同质组织学的患者,以验证本研究的结果并优化该技术。
本文章由计算机程序翻译,如有差异,请以英文原文为准。

Management of critically located brain metastases in patients with precluded survival using customised double-dose prescription-based, adaptive accelerated staged radiosurgery: a long-term retrospective analysis.

Management of critically located brain metastases in patients with precluded survival using customised double-dose prescription-based, adaptive accelerated staged radiosurgery: a long-term retrospective analysis.

Management of critically located brain metastases in patients with precluded survival using customised double-dose prescription-based, adaptive accelerated staged radiosurgery: a long-term retrospective analysis.

Management of critically located brain metastases in patients with precluded survival using customised double-dose prescription-based, adaptive accelerated staged radiosurgery: a long-term retrospective analysis.

Background: Patients with brain metastases face a poor prognosis when deemed not to be suitable for onco-surgical intervention. This feasibility study analyses the outcome of adaptive radiosurgery applied in customised settings to a group of patients with brain metastases, where no other form of treatment was deemed safe and/or feasible.

Methods: 29 patients with 35 brain metastases deemed not to be candidates for surgery, radiotherapy or systemic treatment were treated with MRI-guided adaptive Gamma Knife radiosurgery in 3 separate sessions with a 72-hour interval. Customised synchronous double-dose prescriptions were systematically utilised at each session. Estimated survival at pre-treatment was fewer than 4 weeks due to the targeted intracranial lesions. A retrospective analysis was conducted on the whole cohort, with particular emphasis on those surviving 12 months and beyond.

Results: The median overall survival was 7.3 months, with a follow-up of 7.5 years. Survival at 6, 12, 24, 36, 48 and 60 months was 62%, 41%, 17%, 14%, 10% and 7%, respectively. Local tumour control (LTC) at 1 year was 75%. 4 patients developed local recurrence late on follow-up, with a survival ranging between 12 and 40 months. 2 patients were alive at the time of submission (115- and 117-months post-treatment) with no sequelae; the remainder succumbed to general disease progression, with neurologic death being avoided throughout the whole cohort. Adverse radiation effects (ARE) were reported in 5 patients, of which 4 remained asymptomatic throughout follow-up.

Conclusions: Based on the results of this first retrospective study, adaptive radiosurgery in double-dose prescription settings provided acceptable rates of LTC and ARE despite the underlying accelerated timeline, ultimately preventing neurologic death in a group of patients with an extremely poor prognosis. Prospective studies involving a larger number of patients with homogenous histology are warranted to validate the results of this study and optimise the technique.

求助全文
通过发布文献求助,成功后即可免费获取论文全文。 去求助
来源期刊
Radiation Oncology
Radiation Oncology ONCOLOGY-RADIOLOGY, NUCLEAR MEDICINE & MEDICAL IMAGING
CiteScore
6.50
自引率
2.80%
发文量
181
审稿时长
3-6 weeks
期刊介绍: Radiation Oncology encompasses all aspects of research that impacts on the treatment of cancer using radiation. It publishes findings in molecular and cellular radiation biology, radiation physics, radiation technology, and clinical oncology.
×
引用
GB/T 7714-2015
复制
MLA
复制
APA
复制
导出至
BibTeX EndNote RefMan NoteFirst NoteExpress
×
提示
您的信息不完整,为了账户安全,请先补充。
现在去补充
×
提示
您因"违规操作"
具体请查看互助需知
我知道了
×
提示
确定
请完成安全验证×
copy
已复制链接
快去分享给好友吧!
我知道了
右上角分享
点击右上角分享
0
联系我们:info@booksci.cn Book学术提供免费学术资源搜索服务,方便国内外学者检索中英文文献。致力于提供最便捷和优质的服务体验。 Copyright © 2023 布克学术 All rights reserved.
京ICP备2023020795号-1
ghs 京公网安备 11010802042870号
Book学术文献互助
Book学术文献互助群
群 号:604180095
Book学术官方微信