放疗和免疫检查点抑制剂对晚期膀胱癌的潜在协同作用:1例报告。

Bladder (San Francisco, Calif.) Pub Date : 2025-05-20 eCollection Date: 2025-01-01 DOI:10.14440/bladder.2024.0075
Adeel Jafri, Rachel Hubbard, Syed A Hussain
{"title":"放疗和免疫检查点抑制剂对晚期膀胱癌的潜在协同作用:1例报告。","authors":"Adeel Jafri, Rachel Hubbard, Syed A Hussain","doi":"10.14440/bladder.2024.0075","DOIUrl":null,"url":null,"abstract":"<p><strong>Background: </strong>The combination of immune checkpoint inhibitors and radiotherapy (RT) is emerging as a promising therapeutic approach for advanced bladder cancer. However, clinical evidence of the abscopal effect in this context is still limited.</p><p><strong>Case presentation: </strong>Presented here is a 61-year-old female with high-grade urothelial carcinoma who had initially undergone chemotherapy, followed by treatment with atezolizumab (an anti-programmed death-ligand 1 antibody). Due to disease progression and symptoms, she received palliative RT alongside continued immunotherapy. Post-RT staging scans showed a significant reduction in the size of the bladder mass and a marked improvement in the patient's quality of life. Although this case did not demonstrate a definite abscopal effect, it underscores the potential benefits of combining immunotherapy and RT.</p><p><strong>Conclusion: </strong>The observed outcomes suggest that this combination can effectively manage advanced bladder cancer, highlighting the need for further research to refine and optimize these treatment strategies.</p>","PeriodicalId":72421,"journal":{"name":"Bladder (San Francisco, Calif.)","volume":"12 2","pages":"e21200045"},"PeriodicalIF":0.0000,"publicationDate":"2025-05-20","publicationTypes":"Journal Article","fieldsOfStudy":null,"isOpenAccess":false,"openAccessPdf":"https://www.ncbi.nlm.nih.gov/pmc/articles/PMC12308118/pdf/","citationCount":"0","resultStr":"{\"title\":\"Potential synergistic effect of radiotherapy and immune checkpoint inhibitors on advanced bladder cancer: A case report.\",\"authors\":\"Adeel Jafri, Rachel Hubbard, Syed A Hussain\",\"doi\":\"10.14440/bladder.2024.0075\",\"DOIUrl\":null,\"url\":null,\"abstract\":\"<p><strong>Background: </strong>The combination of immune checkpoint inhibitors and radiotherapy (RT) is emerging as a promising therapeutic approach for advanced bladder cancer. However, clinical evidence of the abscopal effect in this context is still limited.</p><p><strong>Case presentation: </strong>Presented here is a 61-year-old female with high-grade urothelial carcinoma who had initially undergone chemotherapy, followed by treatment with atezolizumab (an anti-programmed death-ligand 1 antibody). Due to disease progression and symptoms, she received palliative RT alongside continued immunotherapy. Post-RT staging scans showed a significant reduction in the size of the bladder mass and a marked improvement in the patient's quality of life. Although this case did not demonstrate a definite abscopal effect, it underscores the potential benefits of combining immunotherapy and RT.</p><p><strong>Conclusion: </strong>The observed outcomes suggest that this combination can effectively manage advanced bladder cancer, highlighting the need for further research to refine and optimize these treatment strategies.</p>\",\"PeriodicalId\":72421,\"journal\":{\"name\":\"Bladder (San Francisco, Calif.)\",\"volume\":\"12 2\",\"pages\":\"e21200045\"},\"PeriodicalIF\":0.0000,\"publicationDate\":\"2025-05-20\",\"publicationTypes\":\"Journal Article\",\"fieldsOfStudy\":null,\"isOpenAccess\":false,\"openAccessPdf\":\"https://www.ncbi.nlm.nih.gov/pmc/articles/PMC12308118/pdf/\",\"citationCount\":\"0\",\"resultStr\":null,\"platform\":\"Semanticscholar\",\"paperid\":null,\"PeriodicalName\":\"Bladder (San Francisco, Calif.)\",\"FirstCategoryId\":\"1085\",\"ListUrlMain\":\"https://doi.org/10.14440/bladder.2024.0075\",\"RegionNum\":0,\"RegionCategory\":null,\"ArticlePicture\":[],\"TitleCN\":null,\"AbstractTextCN\":null,\"PMCID\":null,\"EPubDate\":\"2025/1/1 0:00:00\",\"PubModel\":\"eCollection\",\"JCR\":\"\",\"JCRName\":\"\",\"Score\":null,\"Total\":0}","platform":"Semanticscholar","paperid":null,"PeriodicalName":"Bladder (San Francisco, Calif.)","FirstCategoryId":"1085","ListUrlMain":"https://doi.org/10.14440/bladder.2024.0075","RegionNum":0,"RegionCategory":null,"ArticlePicture":[],"TitleCN":null,"AbstractTextCN":null,"PMCID":null,"EPubDate":"2025/1/1 0:00:00","PubModel":"eCollection","JCR":"","JCRName":"","Score":null,"Total":0}
引用次数: 0

摘要

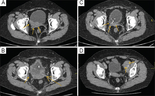
背景:免疫检查点抑制剂联合放射治疗(RT)正在成为晚期膀胱癌的一种有前景的治疗方法。然而,在这种情况下,体外作用的临床证据仍然有限。病例介绍:这里报告的是一位61岁的高级别尿路上皮癌女性患者,她最初接受了化疗,随后接受了atezolizumab(一种抗程序性死亡配体1抗体)治疗。由于疾病进展和症状,她在继续免疫治疗的同时接受了姑息性放疗。rt后分期扫描显示膀胱肿块的大小明显减小,患者的生活质量明显改善。虽然该病例未显示出明确的体外效应,但它强调了免疫治疗与rt联合治疗的潜在益处。结论:观察到的结果表明,这种联合治疗可以有效地治疗晚期膀胱癌,需要进一步研究来完善和优化这些治疗策略。
本文章由计算机程序翻译,如有差异,请以英文原文为准。

Potential synergistic effect of radiotherapy and immune checkpoint inhibitors on advanced bladder cancer: A case report.

Potential synergistic effect of radiotherapy and immune checkpoint inhibitors on advanced bladder cancer: A case report.

Potential synergistic effect of radiotherapy and immune checkpoint inhibitors on advanced bladder cancer: A case report.

Background: The combination of immune checkpoint inhibitors and radiotherapy (RT) is emerging as a promising therapeutic approach for advanced bladder cancer. However, clinical evidence of the abscopal effect in this context is still limited.

Case presentation: Presented here is a 61-year-old female with high-grade urothelial carcinoma who had initially undergone chemotherapy, followed by treatment with atezolizumab (an anti-programmed death-ligand 1 antibody). Due to disease progression and symptoms, she received palliative RT alongside continued immunotherapy. Post-RT staging scans showed a significant reduction in the size of the bladder mass and a marked improvement in the patient's quality of life. Although this case did not demonstrate a definite abscopal effect, it underscores the potential benefits of combining immunotherapy and RT.

Conclusion: The observed outcomes suggest that this combination can effectively manage advanced bladder cancer, highlighting the need for further research to refine and optimize these treatment strategies.

求助全文
通过发布文献求助,成功后即可免费获取论文全文。 去求助
来源期刊
自引率
0.00%
发文量
0
×
引用
GB/T 7714-2015
复制
MLA
复制
APA
复制
导出至
BibTeX EndNote RefMan NoteFirst NoteExpress
×
提示
您的信息不完整,为了账户安全,请先补充。
现在去补充
×
提示
您因"违规操作"
具体请查看互助需知
我知道了
×
提示
确定
请完成安全验证×
copy
已复制链接
快去分享给好友吧!
我知道了
右上角分享
点击右上角分享
0
联系我们:info@booksci.cn Book学术提供免费学术资源搜索服务,方便国内外学者检索中英文文献。致力于提供最便捷和优质的服务体验。 Copyright © 2023 布克学术 All rights reserved.
京ICP备2023020795号-1
ghs 京公网安备 11010802042870号
Book学术文献互助
Book学术文献互助群
群 号:604180095
Book学术官方微信