有丝分裂图计数在非侵袭性高级别乳头状膀胱尿路上皮癌肿瘤进展中的预测价值:来自单个癌症中心的回顾性研究。

Bladder (San Francisco, Calif.) Pub Date : 2025-01-27 eCollection Date: 2025-01-01 DOI:10.14440/bladder.2024.0021
Yan Hu, Susan Karki, Weiwei Chen, Yunguang Liu, Norbert Sule, Bo Xu
{"title":"有丝分裂图计数在非侵袭性高级别乳头状膀胱尿路上皮癌肿瘤进展中的预测价值:来自单个癌症中心的回顾性研究。","authors":"Yan Hu, Susan Karki, Weiwei Chen, Yunguang Liu, Norbert Sule, Bo Xu","doi":"10.14440/bladder.2024.0021","DOIUrl":null,"url":null,"abstract":"<p><strong>Background: </strong>Urothelial carcinoma (UC) is the most common type of bladder malignancy. Although the majority of UC present as non-invasive tumors, a subset of them progress into invasive cancer and cause significant morbidity and mortality.</p><p><strong>Objective: </strong>In this study, we examined the association between tumor mitotic activity associated and the progression of non-invasive high-grade papillary UC of the bladder.</p><p><strong>Methods: </strong>Forty-four cases of tumors that met the selection criteria were retrieved from the Department of Pathology archives, and, for each case, mitotic figures were counted in 10 high-power fields (HPF) by two independent pathologists. Tumor progression was defined as the invasion of the tumor into the subepithelial connective tissue (lamina propria) or beyond during follow-ups. In addition, tumors that later exhibited distant metastases were included in the tumor progression group.</p><p><strong>Results: </strong>Our study revealed that the average mitotic count per 10 HPF in the tumor progression group was significantly higher (<i>p =</i> 0.001) than in the progression-free group. Furthermore, tumors with more than three mitotic counts per HPF in initial biopsies posed a high risk of tumor progression within the 19.5 ± 6.1 months of follow-ups.</p><p><strong>Conclusion: </strong>The findings of our study provided valuable information for further stratification of risk factors among patients with non-invasive high-grade papillary UC of the bladder. Patients with high mitotic figure count in their initial biopsies should be monitored closely or treated earlier to prevent their tumors from progressing into invasive carcinoma.</p>","PeriodicalId":72421,"journal":{"name":"Bladder (San Francisco, Calif.)","volume":"12 1","pages":"e21200026"},"PeriodicalIF":0.0000,"publicationDate":"2025-01-27","publicationTypes":"Journal Article","fieldsOfStudy":null,"isOpenAccess":false,"openAccessPdf":"https://www.ncbi.nlm.nih.gov/pmc/articles/PMC12308121/pdf/","citationCount":"0","resultStr":"{\"title\":\"Predictive value of mitotic figure counts in tumor progression of non-invasive high-grade papillary urothelial carcinoma of the urinary bladder: A retrospective study from a single cancer center.\",\"authors\":\"Yan Hu, Susan Karki, Weiwei Chen, Yunguang Liu, Norbert Sule, Bo Xu\",\"doi\":\"10.14440/bladder.2024.0021\",\"DOIUrl\":null,\"url\":null,\"abstract\":\"<p><strong>Background: </strong>Urothelial carcinoma (UC) is the most common type of bladder malignancy. Although the majority of UC present as non-invasive tumors, a subset of them progress into invasive cancer and cause significant morbidity and mortality.</p><p><strong>Objective: </strong>In this study, we examined the association between tumor mitotic activity associated and the progression of non-invasive high-grade papillary UC of the bladder.</p><p><strong>Methods: </strong>Forty-four cases of tumors that met the selection criteria were retrieved from the Department of Pathology archives, and, for each case, mitotic figures were counted in 10 high-power fields (HPF) by two independent pathologists. Tumor progression was defined as the invasion of the tumor into the subepithelial connective tissue (lamina propria) or beyond during follow-ups. In addition, tumors that later exhibited distant metastases were included in the tumor progression group.</p><p><strong>Results: </strong>Our study revealed that the average mitotic count per 10 HPF in the tumor progression group was significantly higher (<i>p =</i> 0.001) than in the progression-free group. Furthermore, tumors with more than three mitotic counts per HPF in initial biopsies posed a high risk of tumor progression within the 19.5 ± 6.1 months of follow-ups.</p><p><strong>Conclusion: </strong>The findings of our study provided valuable information for further stratification of risk factors among patients with non-invasive high-grade papillary UC of the bladder. Patients with high mitotic figure count in their initial biopsies should be monitored closely or treated earlier to prevent their tumors from progressing into invasive carcinoma.</p>\",\"PeriodicalId\":72421,\"journal\":{\"name\":\"Bladder (San Francisco, Calif.)\",\"volume\":\"12 1\",\"pages\":\"e21200026\"},\"PeriodicalIF\":0.0000,\"publicationDate\":\"2025-01-27\",\"publicationTypes\":\"Journal Article\",\"fieldsOfStudy\":null,\"isOpenAccess\":false,\"openAccessPdf\":\"https://www.ncbi.nlm.nih.gov/pmc/articles/PMC12308121/pdf/\",\"citationCount\":\"0\",\"resultStr\":null,\"platform\":\"Semanticscholar\",\"paperid\":null,\"PeriodicalName\":\"Bladder (San Francisco, Calif.)\",\"FirstCategoryId\":\"1085\",\"ListUrlMain\":\"https://doi.org/10.14440/bladder.2024.0021\",\"RegionNum\":0,\"RegionCategory\":null,\"ArticlePicture\":[],\"TitleCN\":null,\"AbstractTextCN\":null,\"PMCID\":null,\"EPubDate\":\"2025/1/1 0:00:00\",\"PubModel\":\"eCollection\",\"JCR\":\"\",\"JCRName\":\"\",\"Score\":null,\"Total\":0}","platform":"Semanticscholar","paperid":null,"PeriodicalName":"Bladder (San Francisco, Calif.)","FirstCategoryId":"1085","ListUrlMain":"https://doi.org/10.14440/bladder.2024.0021","RegionNum":0,"RegionCategory":null,"ArticlePicture":[],"TitleCN":null,"AbstractTextCN":null,"PMCID":null,"EPubDate":"2025/1/1 0:00:00","PubModel":"eCollection","JCR":"","JCRName":"","Score":null,"Total":0}
引用次数: 0

摘要

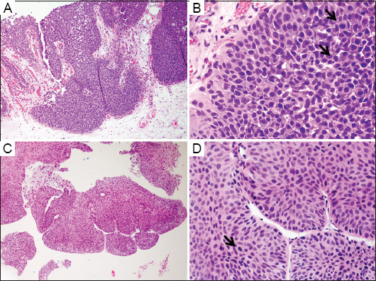
背景:尿路上皮癌(UC)是最常见的膀胱恶性肿瘤。虽然大多数UC表现为非侵袭性肿瘤,但其中一小部分进展为侵袭性癌症,并导致显著的发病率和死亡率。目的:在本研究中,我们研究了肿瘤有丝分裂活性与膀胱非侵袭性高级别乳头状UC进展之间的关系。方法:从病理档案中检索符合选择标准的44例肿瘤,由两名独立的病理学家在10个高倍视场(HPF)中对每个病例进行有丝分裂计数。肿瘤进展被定义为肿瘤在随访期间侵入上皮下结缔组织(固有层)或超越。此外,后来表现出远处转移的肿瘤也被纳入肿瘤进展组。结果:我们的研究显示,肿瘤进展组每10 HPF的平均有丝分裂计数明显高于无进展组(p = 0.001)。此外,在最初的活组织检查中,每HPF有丝分裂计数超过3个的肿瘤在19.5±6.1个月的随访中有很高的肿瘤进展风险。结论:我们的研究结果为进一步分层非侵袭性膀胱高级别乳头状UC患者的危险因素提供了有价值的信息。有丝分裂数高的患者应密切监测或早期治疗,以防止肿瘤发展为浸润性癌。
本文章由计算机程序翻译,如有差异,请以英文原文为准。

Predictive value of mitotic figure counts in tumor progression of non-invasive high-grade papillary urothelial carcinoma of the urinary bladder: A retrospective study from a single cancer center.

Predictive value of mitotic figure counts in tumor progression of non-invasive high-grade papillary urothelial carcinoma of the urinary bladder: A retrospective study from a single cancer center.

Predictive value of mitotic figure counts in tumor progression of non-invasive high-grade papillary urothelial carcinoma of the urinary bladder: A retrospective study from a single cancer center.

Predictive value of mitotic figure counts in tumor progression of non-invasive high-grade papillary urothelial carcinoma of the urinary bladder: A retrospective study from a single cancer center.

Background: Urothelial carcinoma (UC) is the most common type of bladder malignancy. Although the majority of UC present as non-invasive tumors, a subset of them progress into invasive cancer and cause significant morbidity and mortality.

Objective: In this study, we examined the association between tumor mitotic activity associated and the progression of non-invasive high-grade papillary UC of the bladder.

Methods: Forty-four cases of tumors that met the selection criteria were retrieved from the Department of Pathology archives, and, for each case, mitotic figures were counted in 10 high-power fields (HPF) by two independent pathologists. Tumor progression was defined as the invasion of the tumor into the subepithelial connective tissue (lamina propria) or beyond during follow-ups. In addition, tumors that later exhibited distant metastases were included in the tumor progression group.

Results: Our study revealed that the average mitotic count per 10 HPF in the tumor progression group was significantly higher (p = 0.001) than in the progression-free group. Furthermore, tumors with more than three mitotic counts per HPF in initial biopsies posed a high risk of tumor progression within the 19.5 ± 6.1 months of follow-ups.

Conclusion: The findings of our study provided valuable information for further stratification of risk factors among patients with non-invasive high-grade papillary UC of the bladder. Patients with high mitotic figure count in their initial biopsies should be monitored closely or treated earlier to prevent their tumors from progressing into invasive carcinoma.

求助全文
通过发布文献求助,成功后即可免费获取论文全文。 去求助
来源期刊
自引率
0.00%
发文量
0
×
引用
GB/T 7714-2015
复制
MLA
复制
APA
复制
导出至
BibTeX EndNote RefMan NoteFirst NoteExpress
×
提示
您的信息不完整,为了账户安全,请先补充。
现在去补充
×
提示
您因"违规操作"
具体请查看互助需知
我知道了
×
提示
确定
请完成安全验证×
copy
已复制链接
快去分享给好友吧!
我知道了
右上角分享
点击右上角分享
0
联系我们:info@booksci.cn Book学术提供免费学术资源搜索服务,方便国内外学者检索中英文文献。致力于提供最便捷和优质的服务体验。 Copyright © 2023 布克学术 All rights reserved.
京ICP备2023020795号-1
ghs 京公网安备 11010802042870号
Book学术文献互助
Book学术文献互助群
群 号:604180095
Book学术官方微信