导航二尖瓣夹闭的复杂性:二尖瓣夹闭后早期严重二尖瓣狭窄。

IF 0.9 4区 医学
Texas Heart Institute Journal Pub Date : 2025-07-30 eCollection Date: 2025-07-01 DOI:10.14503/THIJ-25-8559
Wassim Abouzeid, Ahmad Haddad, Chrystina Kiwan, Ahsan Khan, Addi Suleiman
{"title":"导航二尖瓣夹闭的复杂性:二尖瓣夹闭后早期严重二尖瓣狭窄。","authors":"Wassim Abouzeid, Ahmad Haddad, Chrystina Kiwan, Ahsan Khan, Addi Suleiman","doi":"10.14503/THIJ-25-8559","DOIUrl":null,"url":null,"abstract":"<p><p>This case study explores the journey of an 80-year-old male patient with a history of hypertension, diabetes, coronary artery disease after coronary artery bypass grafting, atrial fibrillation, and heart failure. Nine months before he presented to the emergency department, he had undergone mitral valve clipping for severe mitral valve regurgitation. Despite initial improvement, the patient experienced return of symptoms, including dyspnea at rest and lower limb edema. The results of this case-discovery of the need for mitral valve replacement-provides insights into the management of complications from mitral valve clipping and emphasizes that management requires a nuanced, meticulous approach.</p>","PeriodicalId":48680,"journal":{"name":"Texas Heart Institute Journal","volume":"52 2","pages":"e258559"},"PeriodicalIF":0.9000,"publicationDate":"2025-07-30","publicationTypes":"Journal Article","fieldsOfStudy":null,"isOpenAccess":false,"openAccessPdf":"https://www.ncbi.nlm.nih.gov/pmc/articles/PMC12310505/pdf/","citationCount":"0","resultStr":"{\"title\":\"Navigating the Complexities of Mitral Valve Clipping: Early Severe Mitral Valve Stenosis After Mitral Valve Clipping.\",\"authors\":\"Wassim Abouzeid, Ahmad Haddad, Chrystina Kiwan, Ahsan Khan, Addi Suleiman\",\"doi\":\"10.14503/THIJ-25-8559\",\"DOIUrl\":null,\"url\":null,\"abstract\":\"<p><p>This case study explores the journey of an 80-year-old male patient with a history of hypertension, diabetes, coronary artery disease after coronary artery bypass grafting, atrial fibrillation, and heart failure. Nine months before he presented to the emergency department, he had undergone mitral valve clipping for severe mitral valve regurgitation. Despite initial improvement, the patient experienced return of symptoms, including dyspnea at rest and lower limb edema. The results of this case-discovery of the need for mitral valve replacement-provides insights into the management of complications from mitral valve clipping and emphasizes that management requires a nuanced, meticulous approach.</p>\",\"PeriodicalId\":48680,\"journal\":{\"name\":\"Texas Heart Institute Journal\",\"volume\":\"52 2\",\"pages\":\"e258559\"},\"PeriodicalIF\":0.9000,\"publicationDate\":\"2025-07-30\",\"publicationTypes\":\"Journal Article\",\"fieldsOfStudy\":null,\"isOpenAccess\":false,\"openAccessPdf\":\"https://www.ncbi.nlm.nih.gov/pmc/articles/PMC12310505/pdf/\",\"citationCount\":\"0\",\"resultStr\":null,\"platform\":\"Semanticscholar\",\"paperid\":null,\"PeriodicalName\":\"Texas Heart Institute Journal\",\"FirstCategoryId\":\"3\",\"ListUrlMain\":\"https://doi.org/10.14503/THIJ-25-8559\",\"RegionNum\":4,\"RegionCategory\":\"医学\",\"ArticlePicture\":[],\"TitleCN\":null,\"AbstractTextCN\":null,\"PMCID\":null,\"EPubDate\":\"2025/7/1 0:00:00\",\"PubModel\":\"eCollection\",\"JCR\":\"\",\"JCRName\":\"\",\"Score\":null,\"Total\":0}","platform":"Semanticscholar","paperid":null,"PeriodicalName":"Texas Heart Institute Journal","FirstCategoryId":"3","ListUrlMain":"https://doi.org/10.14503/THIJ-25-8559","RegionNum":4,"RegionCategory":"医学","ArticlePicture":[],"TitleCN":null,"AbstractTextCN":null,"PMCID":null,"EPubDate":"2025/7/1 0:00:00","PubModel":"eCollection","JCR":"","JCRName":"","Score":null,"Total":0}
引用次数: 0

摘要

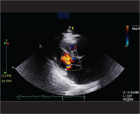
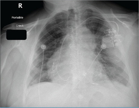
本案例研究探讨了一位80岁男性患者的历程,他有高血压、糖尿病、冠状动脉搭桥术后冠状动脉疾病、心房颤动和心力衰竭的病史。9个月前,因严重的二尖瓣返流,他接受了二尖瓣夹夹术。尽管最初有所改善,但患者再次出现症状,包括休息时呼吸困难和下肢水肿。本病例的结果-发现二尖瓣置换术的需要-为二尖瓣夹断并发症的管理提供了见解,并强调管理需要细致入微的方法。
本文章由计算机程序翻译,如有差异,请以英文原文为准。

Navigating the Complexities of Mitral Valve Clipping: Early Severe Mitral Valve Stenosis After Mitral Valve Clipping.

Navigating the Complexities of Mitral Valve Clipping: Early Severe Mitral Valve Stenosis After Mitral Valve Clipping.

Navigating the Complexities of Mitral Valve Clipping: Early Severe Mitral Valve Stenosis After Mitral Valve Clipping.

Navigating the Complexities of Mitral Valve Clipping: Early Severe Mitral Valve Stenosis After Mitral Valve Clipping.

This case study explores the journey of an 80-year-old male patient with a history of hypertension, diabetes, coronary artery disease after coronary artery bypass grafting, atrial fibrillation, and heart failure. Nine months before he presented to the emergency department, he had undergone mitral valve clipping for severe mitral valve regurgitation. Despite initial improvement, the patient experienced return of symptoms, including dyspnea at rest and lower limb edema. The results of this case-discovery of the need for mitral valve replacement-provides insights into the management of complications from mitral valve clipping and emphasizes that management requires a nuanced, meticulous approach.

求助全文
通过发布文献求助,成功后即可免费获取论文全文。 去求助
来源期刊
Texas Heart Institute Journal
Texas Heart Institute Journal CARDIAC & CARDIOVASCULAR SYSTEMS-
自引率
11.10%
发文量
131
期刊介绍: For more than 45 years, the Texas Heart Institute Journal has been published by the Texas Heart Institute as part of its medical education program. Our bimonthly peer-reviewed journal enjoys a global audience of physicians, scientists, and healthcare professionals who are contributing to the prevention, diagnosis, and treatment of cardiovascular disease. The Journal was printed under the name of Cardiovascular Diseases from 1974 through 1981 (ISSN 0093-3546). The name was changed to Texas Heart Institute Journal in 1982 and was printed through 2013 (ISSN 0730-2347). In 2014, the Journal moved to online-only publication. It is indexed by Index Medicus/MEDLINE and by other indexing and abstracting services worldwide. Our full archive is available at PubMed Central. The Journal invites authors to submit these article types for review: -Clinical Investigations- Laboratory Investigations- Reviews- Techniques- Coronary Anomalies- History of Medicine- Case Reports/Case Series (Submission Fee: $70.00 USD)- Images in Cardiovascular Medicine (Submission Fee: $35.00 USD)- Guest Editorials- Peabody’s Corner- Letters to the Editor
×
引用
GB/T 7714-2015
复制
MLA
复制
APA
复制
导出至
BibTeX EndNote RefMan NoteFirst NoteExpress
×
提示
您的信息不完整,为了账户安全,请先补充。
现在去补充
×
提示
您因"违规操作"
具体请查看互助需知
我知道了
×
提示
确定
请完成安全验证×
copy
已复制链接
快去分享给好友吧!
我知道了
右上角分享
点击右上角分享
0
联系我们:info@booksci.cn Book学术提供免费学术资源搜索服务,方便国内外学者检索中英文文献。致力于提供最便捷和优质的服务体验。 Copyright © 2023 布克学术 All rights reserved.
京ICP备2023020795号-1
ghs 京公网安备 11010802042870号
Book学术文献互助
Book学术文献互助群
群 号:604180095
Book学术官方微信