嗜热热菌CRISPR Cas6的异源表达与纯化。

IF 1.1 Q3 BIOLOGY
Junwei Wei, Mohamed Motawaa, Yingjun Li
{"title":"嗜热热菌CRISPR Cas6的异源表达与纯化。","authors":"Junwei Wei, Mohamed Motawaa, Yingjun Li","doi":"10.21769/BioProtoc.5382","DOIUrl":null,"url":null,"abstract":"<p><p>The CRISPR-Cas system of <i>Thermus thermophilus</i> has emerged as a potent biotechnological tool, particularly its Cas6 endonuclease, which plays a crucial role in CRISPR RNA (crRNA) maturation. This protocol details a robust and reproducible method for the high-level expression and purification of recombinant <i>T. thermophilus</i> Cas6 proteins (Cas6-1 and Cas6-2) in <i>E. coli</i>. We describe a streamlined approach encompassing plasmid construction using seamless assembly, optimized bacterial heterologous expression, and multi-step purification leveraging affinity and size-exclusion chromatography. The protocol outlines the generation of both His-tagged and GST-tagged Cas6 variants, enabling flexibility in downstream applications. Key steps, including primer design, PCR optimization, competent cell transformation, and chromatography strategies, are meticulously detailed with critical parameters and troubleshooting guidance to ensure experimental success and high yields of highly pure and active <i>T. thermophilus</i> Cas6 proteins. This protocol is useful for researchers requiring purified <i>T. thermophilus</i> Cas6 for structural studies, biochemical characterization, and the development of CRISPR-based biotechnological tools. Key features • Robust method for expressing and purifying <i>Thermus thermophilus</i> Cas6 proteins in <i>E. coli.</i> • Seamless assembly cloning and dual affinity tagging system: Offers options for both His-tag and GST-tag purification strategies for increased versatility. • Applicable for diverse heterologous expression and purification of well-folding thermostable proteins in mesophilic host chassis cells [<i>E. coli</i> BL21(DE3)].</p>","PeriodicalId":93907,"journal":{"name":"Bio-protocol","volume":"15 14","pages":"e5382"},"PeriodicalIF":1.1000,"publicationDate":"2025-07-20","publicationTypes":"Journal Article","fieldsOfStudy":null,"isOpenAccess":false,"openAccessPdf":"https://www.ncbi.nlm.nih.gov/pmc/articles/PMC12304457/pdf/","citationCount":"0","resultStr":"{\"title\":\"<i>Thermus thermophilus</i> CRISPR Cas6 Heterologous Expression and Purification.\",\"authors\":\"Junwei Wei, Mohamed Motawaa, Yingjun Li\",\"doi\":\"10.21769/BioProtoc.5382\",\"DOIUrl\":null,\"url\":null,\"abstract\":\"<p><p>The CRISPR-Cas system of <i>Thermus thermophilus</i> has emerged as a potent biotechnological tool, particularly its Cas6 endonuclease, which plays a crucial role in CRISPR RNA (crRNA) maturation. This protocol details a robust and reproducible method for the high-level expression and purification of recombinant <i>T. thermophilus</i> Cas6 proteins (Cas6-1 and Cas6-2) in <i>E. coli</i>. We describe a streamlined approach encompassing plasmid construction using seamless assembly, optimized bacterial heterologous expression, and multi-step purification leveraging affinity and size-exclusion chromatography. The protocol outlines the generation of both His-tagged and GST-tagged Cas6 variants, enabling flexibility in downstream applications. Key steps, including primer design, PCR optimization, competent cell transformation, and chromatography strategies, are meticulously detailed with critical parameters and troubleshooting guidance to ensure experimental success and high yields of highly pure and active <i>T. thermophilus</i> Cas6 proteins. This protocol is useful for researchers requiring purified <i>T. thermophilus</i> Cas6 for structural studies, biochemical characterization, and the development of CRISPR-based biotechnological tools. Key features • Robust method for expressing and purifying <i>Thermus thermophilus</i> Cas6 proteins in <i>E. coli.</i> • Seamless assembly cloning and dual affinity tagging system: Offers options for both His-tag and GST-tag purification strategies for increased versatility. • Applicable for diverse heterologous expression and purification of well-folding thermostable proteins in mesophilic host chassis cells [<i>E. coli</i> BL21(DE3)].</p>\",\"PeriodicalId\":93907,\"journal\":{\"name\":\"Bio-protocol\",\"volume\":\"15 14\",\"pages\":\"e5382\"},\"PeriodicalIF\":1.1000,\"publicationDate\":\"2025-07-20\",\"publicationTypes\":\"Journal Article\",\"fieldsOfStudy\":null,\"isOpenAccess\":false,\"openAccessPdf\":\"https://www.ncbi.nlm.nih.gov/pmc/articles/PMC12304457/pdf/\",\"citationCount\":\"0\",\"resultStr\":null,\"platform\":\"Semanticscholar\",\"paperid\":null,\"PeriodicalName\":\"Bio-protocol\",\"FirstCategoryId\":\"1085\",\"ListUrlMain\":\"https://doi.org/10.21769/BioProtoc.5382\",\"RegionNum\":0,\"RegionCategory\":null,\"ArticlePicture\":[],\"TitleCN\":null,\"AbstractTextCN\":null,\"PMCID\":null,\"EPubDate\":\"\",\"PubModel\":\"\",\"JCR\":\"Q3\",\"JCRName\":\"BIOLOGY\",\"Score\":null,\"Total\":0}","platform":"Semanticscholar","paperid":null,"PeriodicalName":"Bio-protocol","FirstCategoryId":"1085","ListUrlMain":"https://doi.org/10.21769/BioProtoc.5382","RegionNum":0,"RegionCategory":null,"ArticlePicture":[],"TitleCN":null,"AbstractTextCN":null,"PMCID":null,"EPubDate":"","PubModel":"","JCR":"Q3","JCRName":"BIOLOGY","Score":null,"Total":0}
引用次数: 0

摘要

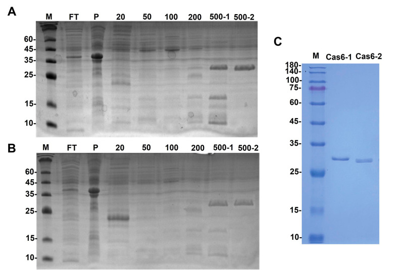
嗜热热菌的CRISPR- cas系统已经成为一种强有力的生物技术工具,特别是其Cas6内切酶,它在CRISPR RNA (crRNA)成熟中起着至关重要的作用。该方案详细介绍了一种在大肠杆菌中高水平表达和纯化重组嗜热T. Cas6蛋白(Cas6-1和Cas6-2)的稳健和可重复的方法。我们描述了一种精简的方法,包括使用无缝组装的质粒构建,优化的细菌异种表达,以及利用亲和和大小排除色谱的多步骤纯化。该协议概述了his标记和gst标记Cas6变体的生成,从而在下游应用中具有灵活性。包括引物设计、PCR优化、适能细胞转化和层析策略在内的关键步骤,以及关键参数和故障排除指导都进行了细致的详细说明,以确保实验成功和高纯度、高活性的嗜热t菌Cas6蛋白的高产。该方案对于需要纯化嗜热T. Cas6进行结构研究、生化表征和基于crispr的生物技术工具开发的研究人员非常有用。•在大肠杆菌中表达和纯化嗜热热菌Cas6蛋白的稳健方法。•无缝组装克隆和双亲和标签系统:为his标签和gst标签纯化策略提供选项,以增加多功能性。•适用于多种异源表达和纯化中温性宿主基底细胞中折叠良好的热稳定性蛋白[E]。大肠杆菌BL21 (DE3)]。
本文章由计算机程序翻译,如有差异,请以英文原文为准。

<i>Thermus thermophilus</i> CRISPR Cas6 Heterologous Expression and Purification.

<i>Thermus thermophilus</i> CRISPR Cas6 Heterologous Expression and Purification.

Thermus thermophilus CRISPR Cas6 Heterologous Expression and Purification.

The CRISPR-Cas system of Thermus thermophilus has emerged as a potent biotechnological tool, particularly its Cas6 endonuclease, which plays a crucial role in CRISPR RNA (crRNA) maturation. This protocol details a robust and reproducible method for the high-level expression and purification of recombinant T. thermophilus Cas6 proteins (Cas6-1 and Cas6-2) in E. coli. We describe a streamlined approach encompassing plasmid construction using seamless assembly, optimized bacterial heterologous expression, and multi-step purification leveraging affinity and size-exclusion chromatography. The protocol outlines the generation of both His-tagged and GST-tagged Cas6 variants, enabling flexibility in downstream applications. Key steps, including primer design, PCR optimization, competent cell transformation, and chromatography strategies, are meticulously detailed with critical parameters and troubleshooting guidance to ensure experimental success and high yields of highly pure and active T. thermophilus Cas6 proteins. This protocol is useful for researchers requiring purified T. thermophilus Cas6 for structural studies, biochemical characterization, and the development of CRISPR-based biotechnological tools. Key features • Robust method for expressing and purifying Thermus thermophilus Cas6 proteins in E. coli. • Seamless assembly cloning and dual affinity tagging system: Offers options for both His-tag and GST-tag purification strategies for increased versatility. • Applicable for diverse heterologous expression and purification of well-folding thermostable proteins in mesophilic host chassis cells [E. coli BL21(DE3)].

求助全文
通过发布文献求助,成功后即可免费获取论文全文。 去求助
来源期刊
CiteScore
1.50
自引率
0.00%
发文量
0
×
引用
GB/T 7714-2015
复制
MLA
复制
APA
复制
导出至
BibTeX EndNote RefMan NoteFirst NoteExpress
×
提示
您的信息不完整,为了账户安全,请先补充。
现在去补充
×
提示
您因"违规操作"
具体请查看互助需知
我知道了
×
提示
确定
请完成安全验证×
copy
已复制链接
快去分享给好友吧!
我知道了
右上角分享
点击右上角分享
0
联系我们:info@booksci.cn Book学术提供免费学术资源搜索服务,方便国内外学者检索中英文文献。致力于提供最便捷和优质的服务体验。 Copyright © 2023 布克学术 All rights reserved.
京ICP备2023020795号-1
ghs 京公网安备 11010802042870号
Book学术文献互助
Book学术文献互助群
群 号:604180095
Book学术官方微信