脊柱推拿后马尾综合征1例的康复:一个漫长而艰难的过程。

IF 1.3 4区 医学 Q3 REHABILITATION
Burak Kamil Turan, Birkan Sonel Tur
{"title":"脊柱推拿后马尾综合征1例的康复:一个漫长而艰难的过程。","authors":"Burak Kamil Turan, Birkan Sonel Tur","doi":"10.5606/tftrd.2024.14930","DOIUrl":null,"url":null,"abstract":"<p><p>In this case report, the rehabilitation process of a 38-year-old female patient who developed cauda equina syndrome due to spinal manipulation for the treatment of lumbar disc herniation was presented. The aim was to discuss the outcomes of rehabilitation after cauda equina syndrome, as well as the challenges associated with it. Despite the difficulties experienced during the rehabilitation process, a comprehensive multidisciplinary rehabilitation program is beneficial in terms of gaining independence and returning to daily activities, social life, and work for patients with cauda equina syndrome.</p>","PeriodicalId":56043,"journal":{"name":"Turkish Journal of Physical Medicine and Rehabilitation","volume":"71 2","pages":"250-254"},"PeriodicalIF":1.3000,"publicationDate":"2024-10-31","publicationTypes":"Journal Article","fieldsOfStudy":null,"isOpenAccess":false,"openAccessPdf":"https://www.ncbi.nlm.nih.gov/pmc/articles/PMC12305677/pdf/","citationCount":"0","resultStr":"{\"title\":\"Rehabilitation in a case with cauda equina syndrome after spinal manipulation: A long and difficult process.\",\"authors\":\"Burak Kamil Turan, Birkan Sonel Tur\",\"doi\":\"10.5606/tftrd.2024.14930\",\"DOIUrl\":null,\"url\":null,\"abstract\":\"<p><p>In this case report, the rehabilitation process of a 38-year-old female patient who developed cauda equina syndrome due to spinal manipulation for the treatment of lumbar disc herniation was presented. The aim was to discuss the outcomes of rehabilitation after cauda equina syndrome, as well as the challenges associated with it. Despite the difficulties experienced during the rehabilitation process, a comprehensive multidisciplinary rehabilitation program is beneficial in terms of gaining independence and returning to daily activities, social life, and work for patients with cauda equina syndrome.</p>\",\"PeriodicalId\":56043,\"journal\":{\"name\":\"Turkish Journal of Physical Medicine and Rehabilitation\",\"volume\":\"71 2\",\"pages\":\"250-254\"},\"PeriodicalIF\":1.3000,\"publicationDate\":\"2024-10-31\",\"publicationTypes\":\"Journal Article\",\"fieldsOfStudy\":null,\"isOpenAccess\":false,\"openAccessPdf\":\"https://www.ncbi.nlm.nih.gov/pmc/articles/PMC12305677/pdf/\",\"citationCount\":\"0\",\"resultStr\":null,\"platform\":\"Semanticscholar\",\"paperid\":null,\"PeriodicalName\":\"Turkish Journal of Physical Medicine and Rehabilitation\",\"FirstCategoryId\":\"3\",\"ListUrlMain\":\"https://doi.org/10.5606/tftrd.2024.14930\",\"RegionNum\":4,\"RegionCategory\":\"医学\",\"ArticlePicture\":[],\"TitleCN\":null,\"AbstractTextCN\":null,\"PMCID\":null,\"EPubDate\":\"2025/6/1 0:00:00\",\"PubModel\":\"eCollection\",\"JCR\":\"Q3\",\"JCRName\":\"REHABILITATION\",\"Score\":null,\"Total\":0}","platform":"Semanticscholar","paperid":null,"PeriodicalName":"Turkish Journal of Physical Medicine and Rehabilitation","FirstCategoryId":"3","ListUrlMain":"https://doi.org/10.5606/tftrd.2024.14930","RegionNum":4,"RegionCategory":"医学","ArticlePicture":[],"TitleCN":null,"AbstractTextCN":null,"PMCID":null,"EPubDate":"2025/6/1 0:00:00","PubModel":"eCollection","JCR":"Q3","JCRName":"REHABILITATION","Score":null,"Total":0}
引用次数: 0

摘要

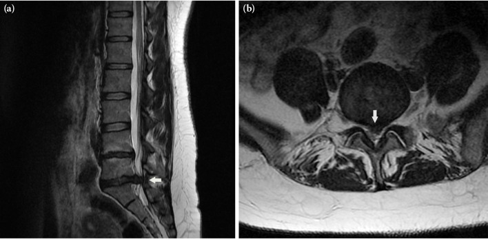
在这个病例报告中,我们介绍了一位38岁的女性患者,她因腰椎操作治疗腰椎间盘突出症而出现马尾综合征。目的是讨论马尾综合征后康复的结果,以及与之相关的挑战。尽管在康复过程中遇到了困难,但一个全面的多学科康复计划对于马尾综合征患者获得独立性和恢复日常活动、社交生活和工作是有益的。
本文章由计算机程序翻译,如有差异,请以英文原文为准。

Rehabilitation in a case with cauda equina syndrome after spinal manipulation: A long and difficult process.

Rehabilitation in a case with cauda equina syndrome after spinal manipulation: A long and difficult process.

In this case report, the rehabilitation process of a 38-year-old female patient who developed cauda equina syndrome due to spinal manipulation for the treatment of lumbar disc herniation was presented. The aim was to discuss the outcomes of rehabilitation after cauda equina syndrome, as well as the challenges associated with it. Despite the difficulties experienced during the rehabilitation process, a comprehensive multidisciplinary rehabilitation program is beneficial in terms of gaining independence and returning to daily activities, social life, and work for patients with cauda equina syndrome.

求助全文
通过发布文献求助,成功后即可免费获取论文全文。 去求助
来源期刊
Turkish Journal of Physical Medicine and Rehabilitation
Turkish Journal of Physical Medicine and Rehabilitation Health Professions-Physical Therapy, Sports Therapy and Rehabilitation
CiteScore
2.20
自引率
0.00%
发文量
0
期刊介绍: The Turkish Journal of Physical Medicine and Rehabilitation (Formerly published as Türkiye Fiziksel Tıp ve Rehabilitasyon Dergisi) is the official journal of the Turkish Society of Physical Medicine and Rehabilitation. The journal is an international open-access, double-blind peer-reviewed periodical journal bringing the latest developments in all aspects of physical medicine and rehabilitation, and related fields. The journal publishes original articles, review articles, editorials, case reports (limited), letters to the editors. The target readership includes academic members, specialists, residents working in the fields of Physical Medicine and Rehabilitation. The language of the journal is English and it is published quarterly (in March, June, September, and December).
×
引用
GB/T 7714-2015
复制
MLA
复制
APA
复制
导出至
BibTeX EndNote RefMan NoteFirst NoteExpress
×
提示
您的信息不完整,为了账户安全,请先补充。
现在去补充
×
提示
您因"违规操作"
具体请查看互助需知
我知道了
×
提示
确定
请完成安全验证×
copy
已复制链接
快去分享给好友吧!
我知道了
右上角分享
点击右上角分享
0
联系我们:info@booksci.cn Book学术提供免费学术资源搜索服务,方便国内外学者检索中英文文献。致力于提供最便捷和优质的服务体验。 Copyright © 2023 布克学术 All rights reserved.
京ICP备2023020795号-1
ghs 京公网安备 11010802042870号
Book学术文献互助
Book学术文献互助群
群 号:604180095
Book学术官方微信