急性特发性纵向广泛横贯脊髓炎1例报告。

IF 1.3 4区 医学 Q3 REHABILITATION
Yasin Paltacı, Fatih Baygutalp, Mestan Şahin
{"title":"急性特发性纵向广泛横贯脊髓炎1例报告。","authors":"Yasin Paltacı, Fatih Baygutalp, Mestan Şahin","doi":"10.5606/tftrd.2025.15334","DOIUrl":null,"url":null,"abstract":"<p><p>Transverse myelitis is a rare disease characterized by inflammation of the spinal cord. These findings may present with findings related to primary motor neuron damage or with nonspecific findings, such as loss of muscle strength and sensation in the extremities. Herein, we presented a 21-year-old female patient with transverse myelitis with complaints of muscle weakness and urinary incontinence who was diagnosed with lumbar disc herniation after lumbar imaging and whose complaints did not improve after surgery.</p>","PeriodicalId":56043,"journal":{"name":"Turkish Journal of Physical Medicine and Rehabilitation","volume":"71 2","pages":"255-259"},"PeriodicalIF":1.3000,"publicationDate":"2025-02-17","publicationTypes":"Journal Article","fieldsOfStudy":null,"isOpenAccess":false,"openAccessPdf":"https://www.ncbi.nlm.nih.gov/pmc/articles/PMC12305756/pdf/","citationCount":"0","resultStr":"{\"title\":\"A case report of acute idiopathic longitudinal extensive transverse myelitis.\",\"authors\":\"Yasin Paltacı, Fatih Baygutalp, Mestan Şahin\",\"doi\":\"10.5606/tftrd.2025.15334\",\"DOIUrl\":null,\"url\":null,\"abstract\":\"<p><p>Transverse myelitis is a rare disease characterized by inflammation of the spinal cord. These findings may present with findings related to primary motor neuron damage or with nonspecific findings, such as loss of muscle strength and sensation in the extremities. Herein, we presented a 21-year-old female patient with transverse myelitis with complaints of muscle weakness and urinary incontinence who was diagnosed with lumbar disc herniation after lumbar imaging and whose complaints did not improve after surgery.</p>\",\"PeriodicalId\":56043,\"journal\":{\"name\":\"Turkish Journal of Physical Medicine and Rehabilitation\",\"volume\":\"71 2\",\"pages\":\"255-259\"},\"PeriodicalIF\":1.3000,\"publicationDate\":\"2025-02-17\",\"publicationTypes\":\"Journal Article\",\"fieldsOfStudy\":null,\"isOpenAccess\":false,\"openAccessPdf\":\"https://www.ncbi.nlm.nih.gov/pmc/articles/PMC12305756/pdf/\",\"citationCount\":\"0\",\"resultStr\":null,\"platform\":\"Semanticscholar\",\"paperid\":null,\"PeriodicalName\":\"Turkish Journal of Physical Medicine and Rehabilitation\",\"FirstCategoryId\":\"3\",\"ListUrlMain\":\"https://doi.org/10.5606/tftrd.2025.15334\",\"RegionNum\":4,\"RegionCategory\":\"医学\",\"ArticlePicture\":[],\"TitleCN\":null,\"AbstractTextCN\":null,\"PMCID\":null,\"EPubDate\":\"2025/6/1 0:00:00\",\"PubModel\":\"eCollection\",\"JCR\":\"Q3\",\"JCRName\":\"REHABILITATION\",\"Score\":null,\"Total\":0}","platform":"Semanticscholar","paperid":null,"PeriodicalName":"Turkish Journal of Physical Medicine and Rehabilitation","FirstCategoryId":"3","ListUrlMain":"https://doi.org/10.5606/tftrd.2025.15334","RegionNum":4,"RegionCategory":"医学","ArticlePicture":[],"TitleCN":null,"AbstractTextCN":null,"PMCID":null,"EPubDate":"2025/6/1 0:00:00","PubModel":"eCollection","JCR":"Q3","JCRName":"REHABILITATION","Score":null,"Total":0}
引用次数: 0

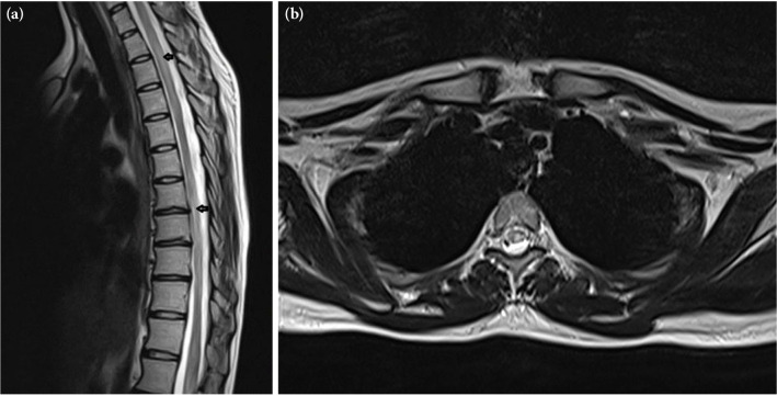
摘要

横贯脊髓炎是一种罕见的疾病,以脊髓炎症为特征。这些表现可能与原发性运动神经元损伤有关,也可能与非特异性表现有关,如四肢肌肉力量和感觉丧失。在此,我们报告了一名21岁的女性横脊髓炎患者,主诉为肌肉无力和尿失禁,经腰椎成像诊断为腰椎间盘突出,手术后症状没有改善。
本文章由计算机程序翻译,如有差异,请以英文原文为准。

A case report of acute idiopathic longitudinal extensive transverse myelitis.

A case report of acute idiopathic longitudinal extensive transverse myelitis.

A case report of acute idiopathic longitudinal extensive transverse myelitis.

Transverse myelitis is a rare disease characterized by inflammation of the spinal cord. These findings may present with findings related to primary motor neuron damage or with nonspecific findings, such as loss of muscle strength and sensation in the extremities. Herein, we presented a 21-year-old female patient with transverse myelitis with complaints of muscle weakness and urinary incontinence who was diagnosed with lumbar disc herniation after lumbar imaging and whose complaints did not improve after surgery.

求助全文
通过发布文献求助,成功后即可免费获取论文全文。 去求助
来源期刊
Turkish Journal of Physical Medicine and Rehabilitation
Turkish Journal of Physical Medicine and Rehabilitation Health Professions-Physical Therapy, Sports Therapy and Rehabilitation
CiteScore
2.20
自引率
0.00%
发文量
0
期刊介绍: The Turkish Journal of Physical Medicine and Rehabilitation (Formerly published as Türkiye Fiziksel Tıp ve Rehabilitasyon Dergisi) is the official journal of the Turkish Society of Physical Medicine and Rehabilitation. The journal is an international open-access, double-blind peer-reviewed periodical journal bringing the latest developments in all aspects of physical medicine and rehabilitation, and related fields. The journal publishes original articles, review articles, editorials, case reports (limited), letters to the editors. The target readership includes academic members, specialists, residents working in the fields of Physical Medicine and Rehabilitation. The language of the journal is English and it is published quarterly (in March, June, September, and December).
×
引用
GB/T 7714-2015
复制
MLA
复制
APA
复制
导出至
BibTeX EndNote RefMan NoteFirst NoteExpress
×
提示
您的信息不完整,为了账户安全,请先补充。
现在去补充
×
提示
您因"违规操作"
具体请查看互助需知
我知道了
×
提示
确定
请完成安全验证×
copy
已复制链接
快去分享给好友吧!
我知道了
右上角分享
点击右上角分享
0
联系我们:info@booksci.cn Book学术提供免费学术资源搜索服务,方便国内外学者检索中英文文献。致力于提供最便捷和优质的服务体验。 Copyright © 2023 布克学术 All rights reserved.
京ICP备2023020795号-1
ghs 京公网安备 11010802042870号
Book学术文献互助
Book学术文献互助群
群 号:604180095
Book学术官方微信