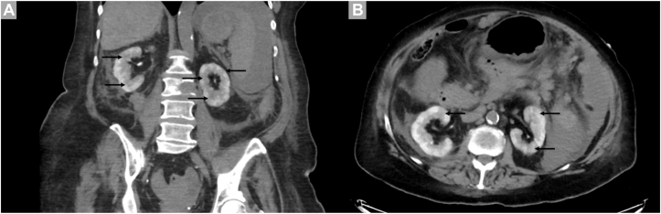
接受免疫检查点抑制剂治疗癌症患者的纹状肾图的临床意义。

IF 3.4 Q1 UROLOGY & NEPHROLOGY
Kidney Medicine Pub Date : 2025-05-29 eCollection Date: 2025-08-01 DOI:10.1016/j.xkme.2025.101038
Daiana Moreno, Paul E Hanna, Kavita Mistry, Pedram Heidari, Meghan E Sise, Harish Seethapathy
{"title":"接受免疫检查点抑制剂治疗癌症患者的纹状肾图的临床意义。","authors":"Daiana Moreno, Paul E Hanna, Kavita Mistry, Pedram Heidari, Meghan E Sise, Harish Seethapathy","doi":"10.1016/j.xkme.2025.101038","DOIUrl":null,"url":null,"abstract":"","PeriodicalId":17885,"journal":{"name":"Kidney Medicine","volume":"7 8","pages":"101038"},"PeriodicalIF":3.4000,"publicationDate":"2025-05-29","publicationTypes":"Journal Article","fieldsOfStudy":null,"isOpenAccess":false,"openAccessPdf":"https://www.ncbi.nlm.nih.gov/pmc/articles/PMC12304893/pdf/","citationCount":"0","resultStr":"{\"title\":\"Clinical Implications of Striated Nephrogram in Patients Receiving Immune Checkpoint Inhibitors for Cancer.\",\"authors\":\"Daiana Moreno, Paul E Hanna, Kavita Mistry, Pedram Heidari, Meghan E Sise, Harish Seethapathy\",\"doi\":\"10.1016/j.xkme.2025.101038\",\"DOIUrl\":null,\"url\":null,\"abstract\":\"\",\"PeriodicalId\":17885,\"journal\":{\"name\":\"Kidney Medicine\",\"volume\":\"7 8\",\"pages\":\"101038\"},\"PeriodicalIF\":3.4000,\"publicationDate\":\"2025-05-29\",\"publicationTypes\":\"Journal Article\",\"fieldsOfStudy\":null,\"isOpenAccess\":false,\"openAccessPdf\":\"https://www.ncbi.nlm.nih.gov/pmc/articles/PMC12304893/pdf/\",\"citationCount\":\"0\",\"resultStr\":null,\"platform\":\"Semanticscholar\",\"paperid\":null,\"PeriodicalName\":\"Kidney Medicine\",\"FirstCategoryId\":\"1085\",\"ListUrlMain\":\"https://doi.org/10.1016/j.xkme.2025.101038\",\"RegionNum\":0,\"RegionCategory\":null,\"ArticlePicture\":[],\"TitleCN\":null,\"AbstractTextCN\":null,\"PMCID\":null,\"EPubDate\":\"2025/8/1 0:00:00\",\"PubModel\":\"eCollection\",\"JCR\":\"Q1\",\"JCRName\":\"UROLOGY & NEPHROLOGY\",\"Score\":null,\"Total\":0}","platform":"Semanticscholar","paperid":null,"PeriodicalName":"Kidney Medicine","FirstCategoryId":"1085","ListUrlMain":"https://doi.org/10.1016/j.xkme.2025.101038","RegionNum":0,"RegionCategory":null,"ArticlePicture":[],"TitleCN":null,"AbstractTextCN":null,"PMCID":null,"EPubDate":"2025/8/1 0:00:00","PubModel":"eCollection","JCR":"Q1","JCRName":"UROLOGY & NEPHROLOGY","Score":null,"Total":0}
引用次数: 0

摘要

本文章由计算机程序翻译,如有差异,请以英文原文为准。

Clinical Implications of Striated Nephrogram in Patients Receiving Immune Checkpoint Inhibitors for Cancer.

Clinical Implications of Striated Nephrogram in Patients Receiving Immune Checkpoint Inhibitors for Cancer.

Clinical Implications of Striated Nephrogram in Patients Receiving Immune Checkpoint Inhibitors for Cancer.
求助全文
通过发布文献求助,成功后即可免费获取论文全文。 去求助
来源期刊
Kidney Medicine
Kidney Medicine Medicine-Internal Medicine
CiteScore
4.80
自引率
5.10%
发文量
176
审稿时长
12 weeks
×
引用
GB/T 7714-2015
复制
MLA
复制
APA
复制
导出至
BibTeX EndNote RefMan NoteFirst NoteExpress
×
提示
您的信息不完整,为了账户安全,请先补充。
现在去补充
×
提示
您因"违规操作"
具体请查看互助需知
我知道了
×
提示
确定
请完成安全验证×
copy
已复制链接
快去分享给好友吧!
我知道了
右上角分享
点击右上角分享
0
联系我们:info@booksci.cn Book学术提供免费学术资源搜索服务,方便国内外学者检索中英文文献。致力于提供最便捷和优质的服务体验。 Copyright © 2023 布克学术 All rights reserved.
京ICP备2023020795号-1
ghs 京公网安备 11010802042870号
Book学术文献互助
Book学术文献互助群
群 号:604180095
Book学术官方微信