巨大AVM继发癫痫1例报告。

Case Reports in Vascular Medicine Pub Date : 2025-07-23 eCollection Date: 2025-01-01 DOI:10.1155/crvm/5668999
Emilio García Gómez, Daniela Carolina Pimentel Saona, Juan Romero Valencia, Lenin Sandoval Luna, Cristobal Jeronimo Ortega Arenas, Daniel San-Juan
{"title":"巨大AVM继发癫痫1例报告。","authors":"Emilio García Gómez, Daniela Carolina Pimentel Saona, Juan Romero Valencia, Lenin Sandoval Luna, Cristobal Jeronimo Ortega Arenas, Daniel San-Juan","doi":"10.1155/crvm/5668999","DOIUrl":null,"url":null,"abstract":"<p><p>Intracranial arteriovenous malformations (AVMs) are vascular anomalies that can present with intracranial hemorrhage, seizures, or neurological deficits. In this case, we present a woman with a giant right frontoparietal AVM (Spetzler-Martin Grade V) initially diagnosed after an intracerebral hemorrhage at Age 6. Surgical, endovascular, and radiosurgical treatments were not viable due to the lesion's size and eloquent location. Over time, the patient developed focal seizures, including catamenial patterns and left-arm spastic monoparesis. Initial antiseizure medications (ASMs) such as carbamazepine and phenytoin failed to provide adequate control at optimal dosage, with phenytoin exacerbating seizure frequency. Partial seizure control was eventually achieved with a combination of levetiracetam and carbamazepine. Neuroimaging showcases a large AVM, while EEG revealed focal epileptiform activity. This case illustrates the complexity of treating epilepsy secondary to giant AVMs, emphasizing the need for individualized ASM strategies and collaborative, multidisciplinary management.</p>","PeriodicalId":9632,"journal":{"name":"Case Reports in Vascular Medicine","volume":"2025 ","pages":"5668999"},"PeriodicalIF":0.0000,"publicationDate":"2025-07-23","publicationTypes":"Journal Article","fieldsOfStudy":null,"isOpenAccess":false,"openAccessPdf":"https://www.ncbi.nlm.nih.gov/pmc/articles/PMC12310307/pdf/","citationCount":"0","resultStr":"{\"title\":\"Epilepsy Secondary to a Giant AVM: A Case Report.\",\"authors\":\"Emilio García Gómez, Daniela Carolina Pimentel Saona, Juan Romero Valencia, Lenin Sandoval Luna, Cristobal Jeronimo Ortega Arenas, Daniel San-Juan\",\"doi\":\"10.1155/crvm/5668999\",\"DOIUrl\":null,\"url\":null,\"abstract\":\"<p><p>Intracranial arteriovenous malformations (AVMs) are vascular anomalies that can present with intracranial hemorrhage, seizures, or neurological deficits. In this case, we present a woman with a giant right frontoparietal AVM (Spetzler-Martin Grade V) initially diagnosed after an intracerebral hemorrhage at Age 6. Surgical, endovascular, and radiosurgical treatments were not viable due to the lesion's size and eloquent location. Over time, the patient developed focal seizures, including catamenial patterns and left-arm spastic monoparesis. Initial antiseizure medications (ASMs) such as carbamazepine and phenytoin failed to provide adequate control at optimal dosage, with phenytoin exacerbating seizure frequency. Partial seizure control was eventually achieved with a combination of levetiracetam and carbamazepine. Neuroimaging showcases a large AVM, while EEG revealed focal epileptiform activity. This case illustrates the complexity of treating epilepsy secondary to giant AVMs, emphasizing the need for individualized ASM strategies and collaborative, multidisciplinary management.</p>\",\"PeriodicalId\":9632,\"journal\":{\"name\":\"Case Reports in Vascular Medicine\",\"volume\":\"2025 \",\"pages\":\"5668999\"},\"PeriodicalIF\":0.0000,\"publicationDate\":\"2025-07-23\",\"publicationTypes\":\"Journal Article\",\"fieldsOfStudy\":null,\"isOpenAccess\":false,\"openAccessPdf\":\"https://www.ncbi.nlm.nih.gov/pmc/articles/PMC12310307/pdf/\",\"citationCount\":\"0\",\"resultStr\":null,\"platform\":\"Semanticscholar\",\"paperid\":null,\"PeriodicalName\":\"Case Reports in Vascular Medicine\",\"FirstCategoryId\":\"1085\",\"ListUrlMain\":\"https://doi.org/10.1155/crvm/5668999\",\"RegionNum\":0,\"RegionCategory\":null,\"ArticlePicture\":[],\"TitleCN\":null,\"AbstractTextCN\":null,\"PMCID\":null,\"EPubDate\":\"2025/1/1 0:00:00\",\"PubModel\":\"eCollection\",\"JCR\":\"\",\"JCRName\":\"\",\"Score\":null,\"Total\":0}","platform":"Semanticscholar","paperid":null,"PeriodicalName":"Case Reports in Vascular Medicine","FirstCategoryId":"1085","ListUrlMain":"https://doi.org/10.1155/crvm/5668999","RegionNum":0,"RegionCategory":null,"ArticlePicture":[],"TitleCN":null,"AbstractTextCN":null,"PMCID":null,"EPubDate":"2025/1/1 0:00:00","PubModel":"eCollection","JCR":"","JCRName":"","Score":null,"Total":0}
引用次数: 0

摘要

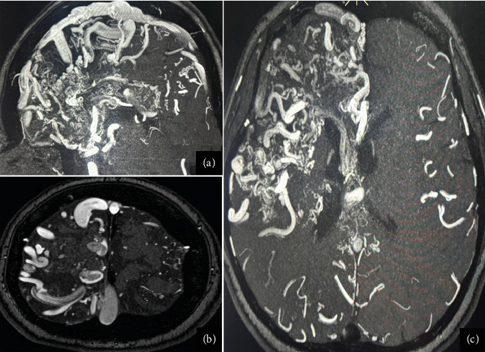
颅内动静脉畸形(AVMs)是一种血管异常,可表现为颅内出血、癫痫发作或神经功能缺损。在本病例中,我们报告了一名6岁时因脑出血而被诊断为巨大右额顶叶AVM (Spetzler-Martin Grade V)的女性。由于病变的大小和明显的位置,手术、血管内和放射外科治疗都不可行。随着时间的推移,患者出现局灶性癫痫发作,包括先天性畸形和左臂痉挛性单眼。最初的抗癫痫药物如卡马西平和苯妥英在最佳剂量下不能提供足够的控制,苯妥英加剧了癫痫发作的频率。通过左乙拉西坦和卡马西平的联合治疗,最终实现了部分癫痫发作的控制。神经影像学显示大的动静脉畸形,脑电图显示局灶性癫痫样活动。这个病例说明了治疗巨大心房动静脉畸形继发癫痫的复杂性,强调了个体化心房动静脉畸形策略和协作、多学科管理的必要性。
本文章由计算机程序翻译,如有差异,请以英文原文为准。

Epilepsy Secondary to a Giant AVM: A Case Report.

Epilepsy Secondary to a Giant AVM: A Case Report.

Epilepsy Secondary to a Giant AVM: A Case Report.

Epilepsy Secondary to a Giant AVM: A Case Report.

Intracranial arteriovenous malformations (AVMs) are vascular anomalies that can present with intracranial hemorrhage, seizures, or neurological deficits. In this case, we present a woman with a giant right frontoparietal AVM (Spetzler-Martin Grade V) initially diagnosed after an intracerebral hemorrhage at Age 6. Surgical, endovascular, and radiosurgical treatments were not viable due to the lesion's size and eloquent location. Over time, the patient developed focal seizures, including catamenial patterns and left-arm spastic monoparesis. Initial antiseizure medications (ASMs) such as carbamazepine and phenytoin failed to provide adequate control at optimal dosage, with phenytoin exacerbating seizure frequency. Partial seizure control was eventually achieved with a combination of levetiracetam and carbamazepine. Neuroimaging showcases a large AVM, while EEG revealed focal epileptiform activity. This case illustrates the complexity of treating epilepsy secondary to giant AVMs, emphasizing the need for individualized ASM strategies and collaborative, multidisciplinary management.

求助全文
通过发布文献求助,成功后即可免费获取论文全文。 去求助
来源期刊
自引率
0.00%
发文量
21
审稿时长
15 weeks
×
引用
GB/T 7714-2015
复制
MLA
复制
APA
复制
导出至
BibTeX EndNote RefMan NoteFirst NoteExpress
×
提示
您的信息不完整,为了账户安全,请先补充。
现在去补充
×
提示
您因"违规操作"
具体请查看互助需知
我知道了
×
提示
确定
请完成安全验证×
copy
已复制链接
快去分享给好友吧!
我知道了
右上角分享
点击右上角分享
0
联系我们:info@booksci.cn Book学术提供免费学术资源搜索服务,方便国内外学者检索中英文文献。致力于提供最便捷和优质的服务体验。 Copyright © 2023 布克学术 All rights reserved.
京ICP备2023020795号-1
ghs 京公网安备 11010802042870号
Book学术文献互助
Book学术文献互助群
群 号:604180095
Book学术官方微信