支气管动脉栓塞治疗淋巴瘤、白血病患者咯血。

IF 0.5 Q4 RADIOLOGY, NUCLEAR MEDICINE & MEDICAL IMAGING
BJR Case Reports Pub Date : 2025-07-17 eCollection Date: 2025-07-01 DOI:10.1093/bjrcr/uaaf036
Ruben Geevarghese, Elena N Petre, Etay Ziv, Ernesto Santos, Lee Rodriguez, Vlasios S Sotirchos, Ken Zhao, Stephen B Solomon, Erica S Alexander
{"title":"支气管动脉栓塞治疗淋巴瘤、白血病患者咯血。","authors":"Ruben Geevarghese, Elena N Petre, Etay Ziv, Ernesto Santos, Lee Rodriguez, Vlasios S Sotirchos, Ken Zhao, Stephen B Solomon, Erica S Alexander","doi":"10.1093/bjrcr/uaaf036","DOIUrl":null,"url":null,"abstract":"<p><p>Haemoptysis in patients with lymphoma and leukaemia can present a therapeutic challenge, given that it is often associated with underlying impairments of haemostasis and immunosuppression. Bronchial artery embolization (BAE) is a mainstay in the treatment of haemoptysis, typically in those requiring emergent management. In this case series, the role of BAE in patients with lymphoma and leukaemia was evaluated. A total of 5 patients were identified between August 2010 and August 2022. Three patients were diagnosed with lymphoma (classical Hodgkin's lymphoma, diffuse large B-cell lymphoma and extra-nodal marginal zone lymphoma) and 2 patients were diagnosed with leukaemia (1 patient with acute myeloid leukaemia and the other with chronic lymphocytic leukaemia). All patients were thrombocytopenic [77.6 ± 28.5 × 10<sup>9</sup>/L (mean ± SD)], at presentation. Three patients had concurrent lung infection at the time of their presentation. Technical success was achieved in 4/5 patients (80%). Clinical success was obtained in 4/5 patients (80%). Recurrence following embolization was seen in 2 patients. Three patients died within 30 days following embolization (from deteriorating respiratory function). Bronchial artery embolization for haemoptysis in patients with lymphoma and leukaemia is safe and feasible. Concurrent lung infection is potentially of significance with regard to initial presentation and overall outcomes following embolization. In select patients, BAE may provide a therapeutic option, though further investigation is required.</p>","PeriodicalId":45216,"journal":{"name":"BJR Case Reports","volume":"11 4","pages":"uaaf036"},"PeriodicalIF":0.5000,"publicationDate":"2025-07-17","publicationTypes":"Journal Article","fieldsOfStudy":null,"isOpenAccess":false,"openAccessPdf":"https://www.ncbi.nlm.nih.gov/pmc/articles/PMC12303864/pdf/","citationCount":"0","resultStr":"{\"title\":\"Bronchial artery embolization for haemoptysis in patients with lymphoma and leukaemia.\",\"authors\":\"Ruben Geevarghese, Elena N Petre, Etay Ziv, Ernesto Santos, Lee Rodriguez, Vlasios S Sotirchos, Ken Zhao, Stephen B Solomon, Erica S Alexander\",\"doi\":\"10.1093/bjrcr/uaaf036\",\"DOIUrl\":null,\"url\":null,\"abstract\":\"<p><p>Haemoptysis in patients with lymphoma and leukaemia can present a therapeutic challenge, given that it is often associated with underlying impairments of haemostasis and immunosuppression. Bronchial artery embolization (BAE) is a mainstay in the treatment of haemoptysis, typically in those requiring emergent management. In this case series, the role of BAE in patients with lymphoma and leukaemia was evaluated. A total of 5 patients were identified between August 2010 and August 2022. Three patients were diagnosed with lymphoma (classical Hodgkin's lymphoma, diffuse large B-cell lymphoma and extra-nodal marginal zone lymphoma) and 2 patients were diagnosed with leukaemia (1 patient with acute myeloid leukaemia and the other with chronic lymphocytic leukaemia). All patients were thrombocytopenic [77.6 ± 28.5 × 10<sup>9</sup>/L (mean ± SD)], at presentation. Three patients had concurrent lung infection at the time of their presentation. Technical success was achieved in 4/5 patients (80%). Clinical success was obtained in 4/5 patients (80%). Recurrence following embolization was seen in 2 patients. Three patients died within 30 days following embolization (from deteriorating respiratory function). Bronchial artery embolization for haemoptysis in patients with lymphoma and leukaemia is safe and feasible. Concurrent lung infection is potentially of significance with regard to initial presentation and overall outcomes following embolization. In select patients, BAE may provide a therapeutic option, though further investigation is required.</p>\",\"PeriodicalId\":45216,\"journal\":{\"name\":\"BJR Case Reports\",\"volume\":\"11 4\",\"pages\":\"uaaf036\"},\"PeriodicalIF\":0.5000,\"publicationDate\":\"2025-07-17\",\"publicationTypes\":\"Journal Article\",\"fieldsOfStudy\":null,\"isOpenAccess\":false,\"openAccessPdf\":\"https://www.ncbi.nlm.nih.gov/pmc/articles/PMC12303864/pdf/\",\"citationCount\":\"0\",\"resultStr\":null,\"platform\":\"Semanticscholar\",\"paperid\":null,\"PeriodicalName\":\"BJR Case Reports\",\"FirstCategoryId\":\"1085\",\"ListUrlMain\":\"https://doi.org/10.1093/bjrcr/uaaf036\",\"RegionNum\":0,\"RegionCategory\":null,\"ArticlePicture\":[],\"TitleCN\":null,\"AbstractTextCN\":null,\"PMCID\":null,\"EPubDate\":\"2025/7/1 0:00:00\",\"PubModel\":\"eCollection\",\"JCR\":\"Q4\",\"JCRName\":\"RADIOLOGY, NUCLEAR MEDICINE & MEDICAL IMAGING\",\"Score\":null,\"Total\":0}","platform":"Semanticscholar","paperid":null,"PeriodicalName":"BJR Case Reports","FirstCategoryId":"1085","ListUrlMain":"https://doi.org/10.1093/bjrcr/uaaf036","RegionNum":0,"RegionCategory":null,"ArticlePicture":[],"TitleCN":null,"AbstractTextCN":null,"PMCID":null,"EPubDate":"2025/7/1 0:00:00","PubModel":"eCollection","JCR":"Q4","JCRName":"RADIOLOGY, NUCLEAR MEDICINE & MEDICAL IMAGING","Score":null,"Total":0}
引用次数: 0

摘要

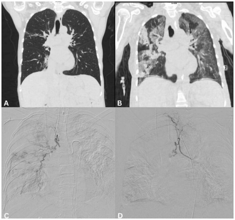
淋巴瘤和白血病患者的咯血可能是一个治疗挑战,因为它通常与止血和免疫抑制的潜在损害有关。支气管动脉栓塞(BAE)是治疗咯血的主要方法,特别是在那些需要紧急处理的患者中。在这个病例系列中,BAE在淋巴瘤和白血病患者中的作用被评估。2010年8月至2022年8月共发现5例患者。3例患者诊断为淋巴瘤(经典霍奇金淋巴瘤、弥漫性大b细胞淋巴瘤和结外边缘区淋巴瘤),2例患者诊断为白血病(1例为急性髓性白血病,1例为慢性淋巴细胞白血病)。所有患者就诊时血小板减少[77.6±28.5 × 109/L(平均±SD)]。3例患者在发病时并发肺部感染。4/5(80%)患者技术成功。4/5(80%)患者临床成功。栓塞后复发2例。3例患者栓塞后30天内死亡(呼吸功能恶化)。支气管动脉栓塞治疗淋巴瘤和白血病患者咯血是安全可行的。并发肺部感染对于栓塞后的初始表现和总体结果具有潜在的重要意义。在特定的患者中,BAE可能提供一种治疗选择,尽管需要进一步的研究。
本文章由计算机程序翻译,如有差异,请以英文原文为准。

Bronchial artery embolization for haemoptysis in patients with lymphoma and leukaemia.

Bronchial artery embolization for haemoptysis in patients with lymphoma and leukaemia.

Haemoptysis in patients with lymphoma and leukaemia can present a therapeutic challenge, given that it is often associated with underlying impairments of haemostasis and immunosuppression. Bronchial artery embolization (BAE) is a mainstay in the treatment of haemoptysis, typically in those requiring emergent management. In this case series, the role of BAE in patients with lymphoma and leukaemia was evaluated. A total of 5 patients were identified between August 2010 and August 2022. Three patients were diagnosed with lymphoma (classical Hodgkin's lymphoma, diffuse large B-cell lymphoma and extra-nodal marginal zone lymphoma) and 2 patients were diagnosed with leukaemia (1 patient with acute myeloid leukaemia and the other with chronic lymphocytic leukaemia). All patients were thrombocytopenic [77.6 ± 28.5 × 109/L (mean ± SD)], at presentation. Three patients had concurrent lung infection at the time of their presentation. Technical success was achieved in 4/5 patients (80%). Clinical success was obtained in 4/5 patients (80%). Recurrence following embolization was seen in 2 patients. Three patients died within 30 days following embolization (from deteriorating respiratory function). Bronchial artery embolization for haemoptysis in patients with lymphoma and leukaemia is safe and feasible. Concurrent lung infection is potentially of significance with regard to initial presentation and overall outcomes following embolization. In select patients, BAE may provide a therapeutic option, though further investigation is required.

求助全文
通过发布文献求助,成功后即可免费获取论文全文。 去求助
来源期刊
BJR Case Reports
BJR Case Reports RADIOLOGY, NUCLEAR MEDICINE & MEDICAL IMAGING-
自引率
0.00%
发文量
77
审稿时长
11 weeks
×
引用
GB/T 7714-2015
复制
MLA
复制
APA
复制
导出至
BibTeX EndNote RefMan NoteFirst NoteExpress
×
提示
您的信息不完整,为了账户安全,请先补充。
现在去补充
×
提示
您因"违规操作"
具体请查看互助需知
我知道了
×
提示
确定
请完成安全验证×
copy
已复制链接
快去分享给好友吧!
我知道了
右上角分享
点击右上角分享
0
联系我们:info@booksci.cn Book学术提供免费学术资源搜索服务,方便国内外学者检索中英文文献。致力于提供最便捷和优质的服务体验。 Copyright © 2023 布克学术 All rights reserved.
京ICP备2023020795号-1
ghs 京公网安备 11010802042870号
Book学术文献互助
Book学术文献互助群
群 号:604180095
Book学术官方微信