继发性中枢神经系统淋巴瘤累及脑膜:一例罕见病例报告及外周t细胞淋巴瘤的综合回顾。

IF 0.9
Journal of medical cases Pub Date : 2025-07-19 eCollection Date: 2025-07-01 DOI:10.14740/jmc5149
Mrudula Thiriveedi, Muralidhar Idamakanti, Siddharth Patel, Rafik ElBeblawy, Sujatha Baddam, Bala Nimmana, Virginia Dailey, Rishi Patel
{"title":"继发性中枢神经系统淋巴瘤累及脑膜:一例罕见病例报告及外周t细胞淋巴瘤的综合回顾。","authors":"Mrudula Thiriveedi, Muralidhar Idamakanti, Siddharth Patel, Rafik ElBeblawy, Sujatha Baddam, Bala Nimmana, Virginia Dailey, Rishi Patel","doi":"10.14740/jmc5149","DOIUrl":null,"url":null,"abstract":"<p><p>Peripheral T-cell lymphoma, not otherwise specified (PTCL-NOS), is a rare and aggressive subtype of non-Hodgkin lymphoma (NHL) that arises from mature T or natural killer (NK) cells, accounting for about 5% of all NHL cases. While PTCL-NOS typically involves lymph nodes, extranodal sites such as the skin, gastrointestinal tract, liver, and lungs can also be affected. Central nervous system (CNS) involvement is extremely rare, especially at the time of initial presentation. When it does occur, the brain is most commonly affected, followed by the spinal cord and meninges. We present a rare case of PTCL-NOS with secondary CNS lymphoma involving the meninges at initial diagnosis. Our patient is a 75-year-old male with multiple comorbidities who presented with several weeks of intermittent headaches. Imaging showed multiple extra-axial brain lesions with infiltration into extracranial soft tissues, epidural space, meninges, and brain parenchyma. A subsequent lymph node biopsy confirmed PTCL-NOS. He was started on rituximab, cyclophosphamide, doxorubicin, vincristine, and prednisone (R-CHOP), with plans for high-dose methotrexate. Thereafter, the patient was readmitted several times due to various complications and expired approximately 2.5 months after diagnosis. We conclude that secondary CNS involvement in PTCL-NOS is very rare and has a poor prognosis, with a median survival after CNS diagnosis of about 1.1 months. Early diagnosis and tailored treatment strategies, including CNS-penetrating agents, are essential. Continued research is needed to better understand and improve outcomes for this aggressive disease.</p>","PeriodicalId":101328,"journal":{"name":"Journal of medical cases","volume":"16 7","pages":"259-266"},"PeriodicalIF":0.9000,"publicationDate":"2025-07-19","publicationTypes":"Journal Article","fieldsOfStudy":null,"isOpenAccess":false,"openAccessPdf":"https://www.ncbi.nlm.nih.gov/pmc/articles/PMC12292011/pdf/","citationCount":"0","resultStr":"{\"title\":\"Secondary Central Nervous System Lymphoma Involving Meninges: A Rare Case Report and a Comprehensive Review of Peripheral T-Cell Lymphoma, Not Otherwise Specified.\",\"authors\":\"Mrudula Thiriveedi, Muralidhar Idamakanti, Siddharth Patel, Rafik ElBeblawy, Sujatha Baddam, Bala Nimmana, Virginia Dailey, Rishi Patel\",\"doi\":\"10.14740/jmc5149\",\"DOIUrl\":null,\"url\":null,\"abstract\":\"<p><p>Peripheral T-cell lymphoma, not otherwise specified (PTCL-NOS), is a rare and aggressive subtype of non-Hodgkin lymphoma (NHL) that arises from mature T or natural killer (NK) cells, accounting for about 5% of all NHL cases. While PTCL-NOS typically involves lymph nodes, extranodal sites such as the skin, gastrointestinal tract, liver, and lungs can also be affected. Central nervous system (CNS) involvement is extremely rare, especially at the time of initial presentation. When it does occur, the brain is most commonly affected, followed by the spinal cord and meninges. We present a rare case of PTCL-NOS with secondary CNS lymphoma involving the meninges at initial diagnosis. Our patient is a 75-year-old male with multiple comorbidities who presented with several weeks of intermittent headaches. Imaging showed multiple extra-axial brain lesions with infiltration into extracranial soft tissues, epidural space, meninges, and brain parenchyma. A subsequent lymph node biopsy confirmed PTCL-NOS. He was started on rituximab, cyclophosphamide, doxorubicin, vincristine, and prednisone (R-CHOP), with plans for high-dose methotrexate. Thereafter, the patient was readmitted several times due to various complications and expired approximately 2.5 months after diagnosis. We conclude that secondary CNS involvement in PTCL-NOS is very rare and has a poor prognosis, with a median survival after CNS diagnosis of about 1.1 months. Early diagnosis and tailored treatment strategies, including CNS-penetrating agents, are essential. Continued research is needed to better understand and improve outcomes for this aggressive disease.</p>\",\"PeriodicalId\":101328,\"journal\":{\"name\":\"Journal of medical cases\",\"volume\":\"16 7\",\"pages\":\"259-266\"},\"PeriodicalIF\":0.9000,\"publicationDate\":\"2025-07-19\",\"publicationTypes\":\"Journal Article\",\"fieldsOfStudy\":null,\"isOpenAccess\":false,\"openAccessPdf\":\"https://www.ncbi.nlm.nih.gov/pmc/articles/PMC12292011/pdf/\",\"citationCount\":\"0\",\"resultStr\":null,\"platform\":\"Semanticscholar\",\"paperid\":null,\"PeriodicalName\":\"Journal of medical cases\",\"FirstCategoryId\":\"1085\",\"ListUrlMain\":\"https://doi.org/10.14740/jmc5149\",\"RegionNum\":0,\"RegionCategory\":null,\"ArticlePicture\":[],\"TitleCN\":null,\"AbstractTextCN\":null,\"PMCID\":null,\"EPubDate\":\"2025/7/1 0:00:00\",\"PubModel\":\"eCollection\",\"JCR\":\"\",\"JCRName\":\"\",\"Score\":null,\"Total\":0}","platform":"Semanticscholar","paperid":null,"PeriodicalName":"Journal of medical cases","FirstCategoryId":"1085","ListUrlMain":"https://doi.org/10.14740/jmc5149","RegionNum":0,"RegionCategory":null,"ArticlePicture":[],"TitleCN":null,"AbstractTextCN":null,"PMCID":null,"EPubDate":"2025/7/1 0:00:00","PubModel":"eCollection","JCR":"","JCRName":"","Score":null,"Total":0}
引用次数: 0

摘要

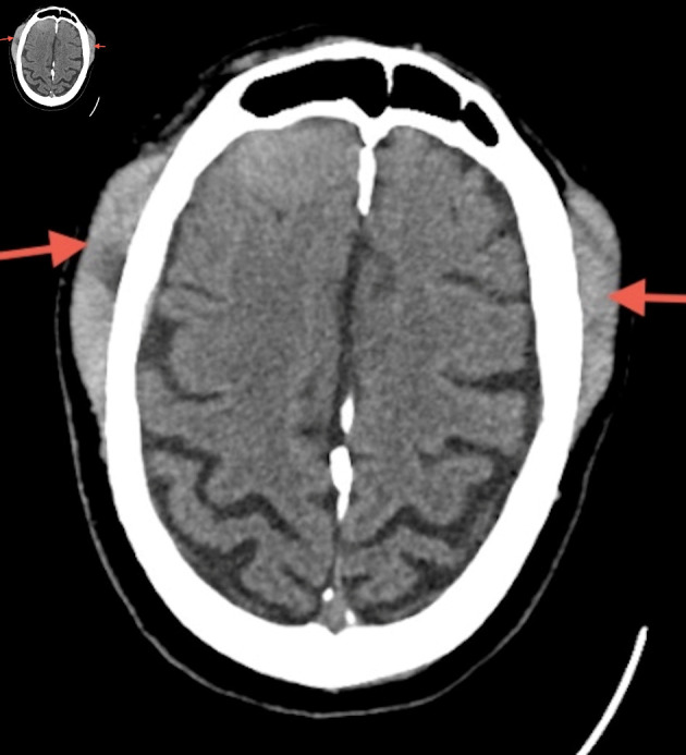
外周T细胞淋巴瘤(PTCL-NOS)是一种罕见的侵袭性非霍奇金淋巴瘤(NHL)亚型,起源于成熟的T细胞或自然杀伤细胞(NK),约占所有NHL病例的5%。虽然PTCL-NOS通常累及淋巴结,但结外部位如皮肤、胃肠道、肝脏和肺部也可能受到影响。中枢神经系统(CNS)受累是极其罕见的,特别是在最初的表现。当它确实发生时,最常受影响的是大脑,其次是脊髓和脑膜。我们报告一例罕见的PTCL-NOS合并继发性中枢神经系统淋巴瘤累及脑膜的病例。我们的病人是一名75岁的男性,患有多种合并症,表现为几周的间歇性头痛。影像学显示多发性轴外脑病变,浸润到颅外软组织、硬膜外间隙、脑膜和脑实质。随后的淋巴结活检证实PTCL-NOS。他开始使用利妥昔单抗、环磷酰胺、阿霉素、长春新碱和强的松(R-CHOP),并计划使用大剂量甲氨蝶呤。此后,患者因各种并发症多次再次入院,并在诊断后约2.5个月死亡。我们得出结论,PTCL-NOS继发性中枢神经系统受累非常罕见,预后较差,中枢神经系统诊断后的中位生存期约为1.1个月。早期诊断和量身定制的治疗策略,包括中枢神经系统穿透剂,是必不可少的。需要继续研究以更好地了解和改善这种侵袭性疾病的结果。
本文章由计算机程序翻译,如有差异,请以英文原文为准。

Secondary Central Nervous System Lymphoma Involving Meninges: A Rare Case Report and a Comprehensive Review of Peripheral T-Cell Lymphoma, Not Otherwise Specified.

Secondary Central Nervous System Lymphoma Involving Meninges: A Rare Case Report and a Comprehensive Review of Peripheral T-Cell Lymphoma, Not Otherwise Specified.

Secondary Central Nervous System Lymphoma Involving Meninges: A Rare Case Report and a Comprehensive Review of Peripheral T-Cell Lymphoma, Not Otherwise Specified.

Secondary Central Nervous System Lymphoma Involving Meninges: A Rare Case Report and a Comprehensive Review of Peripheral T-Cell Lymphoma, Not Otherwise Specified.

Peripheral T-cell lymphoma, not otherwise specified (PTCL-NOS), is a rare and aggressive subtype of non-Hodgkin lymphoma (NHL) that arises from mature T or natural killer (NK) cells, accounting for about 5% of all NHL cases. While PTCL-NOS typically involves lymph nodes, extranodal sites such as the skin, gastrointestinal tract, liver, and lungs can also be affected. Central nervous system (CNS) involvement is extremely rare, especially at the time of initial presentation. When it does occur, the brain is most commonly affected, followed by the spinal cord and meninges. We present a rare case of PTCL-NOS with secondary CNS lymphoma involving the meninges at initial diagnosis. Our patient is a 75-year-old male with multiple comorbidities who presented with several weeks of intermittent headaches. Imaging showed multiple extra-axial brain lesions with infiltration into extracranial soft tissues, epidural space, meninges, and brain parenchyma. A subsequent lymph node biopsy confirmed PTCL-NOS. He was started on rituximab, cyclophosphamide, doxorubicin, vincristine, and prednisone (R-CHOP), with plans for high-dose methotrexate. Thereafter, the patient was readmitted several times due to various complications and expired approximately 2.5 months after diagnosis. We conclude that secondary CNS involvement in PTCL-NOS is very rare and has a poor prognosis, with a median survival after CNS diagnosis of about 1.1 months. Early diagnosis and tailored treatment strategies, including CNS-penetrating agents, are essential. Continued research is needed to better understand and improve outcomes for this aggressive disease.

求助全文
通过发布文献求助,成功后即可免费获取论文全文。 去求助
来源期刊
CiteScore
1.10
自引率
0.00%
发文量
0
×
引用
GB/T 7714-2015
复制
MLA
复制
APA
复制
导出至
BibTeX EndNote RefMan NoteFirst NoteExpress
×
提示
您的信息不完整,为了账户安全,请先补充。
现在去补充
×
提示
您因"违规操作"
具体请查看互助需知
我知道了
×
提示
确定
请完成安全验证×
copy
已复制链接
快去分享给好友吧!
我知道了
右上角分享
点击右上角分享
0
联系我们:info@booksci.cn Book学术提供免费学术资源搜索服务,方便国内外学者检索中英文文献。致力于提供最便捷和优质的服务体验。 Copyright © 2023 布克学术 All rights reserved.
京ICP备2023020795号-1
ghs 京公网安备 11010802042870号
Book学术文献互助
Book学术文献互助群
群 号:604180095
Book学术官方微信