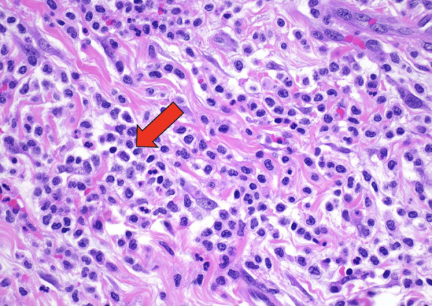
髓系心脏:髓外慢性髓单核细胞白血病-2表现为心包髓系肉瘤,引起反复心包积液。

IF 0.9
Journal of medical cases Pub Date : 2025-07-08 eCollection Date: 2025-07-01 DOI:10.14740/jmc5144
Austin Frisch, Rohan Boyapati, Ruja Parikh, Geetha Menezes, Niharika Tipirneni, Germame Ajebo, Danielle Shafer
{"title":"髓系心脏:髓外慢性髓单核细胞白血病-2表现为心包髓系肉瘤,引起反复心包积液。","authors":"Austin Frisch, Rohan Boyapati, Ruja Parikh, Geetha Menezes, Niharika Tipirneni, Germame Ajebo, Danielle Shafer","doi":"10.14740/jmc5144","DOIUrl":null,"url":null,"abstract":"<p><p>Chronic myelomonocytic leukemia (CMML) is a rare neoplasm that has a roughly 15-30% chance of transforming into acute myeloid leukemia (AML). Acute leukemias have been known to cause pleural or pericardial effusions but having CMML transform into AML while presenting as a cardiac myeloid sarcoma causing pericardial effusions makes this case unique. A 59-year-old patient presented to the emergency room with shortness of breath and was found to be in cardiac tamponade requiring urgent care. The thoracic surgery team performed a pericardiectomy and placed a window drain. Cardiac tissue biopsy proved cardiac myeloid sarcoma with immature blasts and myeloid cells. Initial bone marrow biopsy on admission showed hypercellularity with 19% blasts and abnormal monocytes with multilineage dysplasia on aspirate differential, with positive KRAS and TET2 mutations on next-generation sequencing analysis. There was no evidence of a BCR/ABL1 fusion on fluorescence <i>in situ</i> hybridization (FISH), and chromosomal analysis demonstrated a normal karyotype. At this time, the patient met the WHO criteria for a CMML-2 diagnosis. A follow-up bone marrow biopsy closer to discharge showed a 33% blast count pointing towards a CMML-2 transformation into AML. Remarkably, he was able to improve and was discharged from the hospital. He was admitted again to the hospital to initiate chemotherapy. Such complex cases are rarely reported. Here we discuss the diagnosis and treatment of CMML transformed into AML as well as the rarity of cardiac myeloid sarcomas with an in-depth literature review.</p>","PeriodicalId":101328,"journal":{"name":"Journal of medical cases","volume":"16 7","pages":"248-253"},"PeriodicalIF":0.9000,"publicationDate":"2025-07-08","publicationTypes":"Journal Article","fieldsOfStudy":null,"isOpenAccess":false,"openAccessPdf":"https://www.ncbi.nlm.nih.gov/pmc/articles/PMC12292012/pdf/","citationCount":"0","resultStr":"{\"title\":\"A Heart of Myeloid: Extramedullary Chronic Myelomonocytic Leukemia-2 Presenting as a Myeloid Sarcoma of the Pericardium Causing Recurrent Pericardial Effusions.\",\"authors\":\"Austin Frisch, Rohan Boyapati, Ruja Parikh, Geetha Menezes, Niharika Tipirneni, Germame Ajebo, Danielle Shafer\",\"doi\":\"10.14740/jmc5144\",\"DOIUrl\":null,\"url\":null,\"abstract\":\"<p><p>Chronic myelomonocytic leukemia (CMML) is a rare neoplasm that has a roughly 15-30% chance of transforming into acute myeloid leukemia (AML). Acute leukemias have been known to cause pleural or pericardial effusions but having CMML transform into AML while presenting as a cardiac myeloid sarcoma causing pericardial effusions makes this case unique. A 59-year-old patient presented to the emergency room with shortness of breath and was found to be in cardiac tamponade requiring urgent care. The thoracic surgery team performed a pericardiectomy and placed a window drain. Cardiac tissue biopsy proved cardiac myeloid sarcoma with immature blasts and myeloid cells. Initial bone marrow biopsy on admission showed hypercellularity with 19% blasts and abnormal monocytes with multilineage dysplasia on aspirate differential, with positive KRAS and TET2 mutations on next-generation sequencing analysis. There was no evidence of a BCR/ABL1 fusion on fluorescence <i>in situ</i> hybridization (FISH), and chromosomal analysis demonstrated a normal karyotype. At this time, the patient met the WHO criteria for a CMML-2 diagnosis. A follow-up bone marrow biopsy closer to discharge showed a 33% blast count pointing towards a CMML-2 transformation into AML. Remarkably, he was able to improve and was discharged from the hospital. He was admitted again to the hospital to initiate chemotherapy. Such complex cases are rarely reported. Here we discuss the diagnosis and treatment of CMML transformed into AML as well as the rarity of cardiac myeloid sarcomas with an in-depth literature review.</p>\",\"PeriodicalId\":101328,\"journal\":{\"name\":\"Journal of medical cases\",\"volume\":\"16 7\",\"pages\":\"248-253\"},\"PeriodicalIF\":0.9000,\"publicationDate\":\"2025-07-08\",\"publicationTypes\":\"Journal Article\",\"fieldsOfStudy\":null,\"isOpenAccess\":false,\"openAccessPdf\":\"https://www.ncbi.nlm.nih.gov/pmc/articles/PMC12292012/pdf/\",\"citationCount\":\"0\",\"resultStr\":null,\"platform\":\"Semanticscholar\",\"paperid\":null,\"PeriodicalName\":\"Journal of medical cases\",\"FirstCategoryId\":\"1085\",\"ListUrlMain\":\"https://doi.org/10.14740/jmc5144\",\"RegionNum\":0,\"RegionCategory\":null,\"ArticlePicture\":[],\"TitleCN\":null,\"AbstractTextCN\":null,\"PMCID\":null,\"EPubDate\":\"2025/7/1 0:00:00\",\"PubModel\":\"eCollection\",\"JCR\":\"\",\"JCRName\":\"\",\"Score\":null,\"Total\":0}","platform":"Semanticscholar","paperid":null,"PeriodicalName":"Journal of medical cases","FirstCategoryId":"1085","ListUrlMain":"https://doi.org/10.14740/jmc5144","RegionNum":0,"RegionCategory":null,"ArticlePicture":[],"TitleCN":null,"AbstractTextCN":null,"PMCID":null,"EPubDate":"2025/7/1 0:00:00","PubModel":"eCollection","JCR":"","JCRName":"","Score":null,"Total":0}
引用次数: 0

摘要

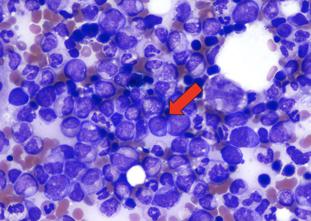
慢性髓细胞白血病(CMML)是一种罕见的肿瘤,大约有15-30%的机会转化为急性髓细胞白血病(AML)。已知急性白血病可引起胸膜或心包积液,但CMML转化为AML,同时表现为心脏髓性肉瘤,引起心包积液,这是一个独特的病例。一名59岁的患者因呼吸急促而被送往急诊室,发现心脏填塞,需要紧急护理。胸外科小组进行了心包切除术并放置了窗口引流管。心脏组织活检证实心肌髓系肉瘤伴未成熟母细胞和髓系细胞。入院时的初始骨髓活检显示细胞增多,有19%的母细胞和异常单核细胞,并伴有多系发育不良,下一代测序分析显示KRAS和TET2突变阳性。荧光原位杂交(FISH)未发现BCR/ABL1融合的证据,染色体分析显示核型正常。此时,患者符合世卫组织CMML-2诊断标准。出院前的随访骨髓活检显示33%的细胞计数表明CMML-2转化为AML。值得注意的是,他的病情有所好转,并出院了。他再次入院接受化疗。这种复杂的病例很少被报道。本文就CMML转化为AML的诊断和治疗以及心脏髓系肉瘤的罕见性进行了深入的文献综述。
本文章由计算机程序翻译,如有差异,请以英文原文为准。

A Heart of Myeloid: Extramedullary Chronic Myelomonocytic Leukemia-2 Presenting as a Myeloid Sarcoma of the Pericardium Causing Recurrent Pericardial Effusions.

A Heart of Myeloid: Extramedullary Chronic Myelomonocytic Leukemia-2 Presenting as a Myeloid Sarcoma of the Pericardium Causing Recurrent Pericardial Effusions.

A Heart of Myeloid: Extramedullary Chronic Myelomonocytic Leukemia-2 Presenting as a Myeloid Sarcoma of the Pericardium Causing Recurrent Pericardial Effusions.

A Heart of Myeloid: Extramedullary Chronic Myelomonocytic Leukemia-2 Presenting as a Myeloid Sarcoma of the Pericardium Causing Recurrent Pericardial Effusions.

Chronic myelomonocytic leukemia (CMML) is a rare neoplasm that has a roughly 15-30% chance of transforming into acute myeloid leukemia (AML). Acute leukemias have been known to cause pleural or pericardial effusions but having CMML transform into AML while presenting as a cardiac myeloid sarcoma causing pericardial effusions makes this case unique. A 59-year-old patient presented to the emergency room with shortness of breath and was found to be in cardiac tamponade requiring urgent care. The thoracic surgery team performed a pericardiectomy and placed a window drain. Cardiac tissue biopsy proved cardiac myeloid sarcoma with immature blasts and myeloid cells. Initial bone marrow biopsy on admission showed hypercellularity with 19% blasts and abnormal monocytes with multilineage dysplasia on aspirate differential, with positive KRAS and TET2 mutations on next-generation sequencing analysis. There was no evidence of a BCR/ABL1 fusion on fluorescence in situ hybridization (FISH), and chromosomal analysis demonstrated a normal karyotype. At this time, the patient met the WHO criteria for a CMML-2 diagnosis. A follow-up bone marrow biopsy closer to discharge showed a 33% blast count pointing towards a CMML-2 transformation into AML. Remarkably, he was able to improve and was discharged from the hospital. He was admitted again to the hospital to initiate chemotherapy. Such complex cases are rarely reported. Here we discuss the diagnosis and treatment of CMML transformed into AML as well as the rarity of cardiac myeloid sarcomas with an in-depth literature review.

求助全文
通过发布文献求助,成功后即可免费获取论文全文。 去求助
来源期刊
CiteScore
1.10
自引率
0.00%
发文量
0
×
引用
GB/T 7714-2015
复制
MLA
复制
APA
复制
导出至
BibTeX EndNote RefMan NoteFirst NoteExpress
×
提示
您的信息不完整,为了账户安全,请先补充。
现在去补充
×
提示
您因"违规操作"
具体请查看互助需知
我知道了
×
提示
确定
请完成安全验证×
copy
已复制链接
快去分享给好友吧!
我知道了
右上角分享
点击右上角分享
0
联系我们:info@booksci.cn Book学术提供免费学术资源搜索服务,方便国内外学者检索中英文文献。致力于提供最便捷和优质的服务体验。 Copyright © 2023 布克学术 All rights reserved.
京ICP备2023020795号-1
ghs 京公网安备 11010802042870号
Book学术文献互助
Book学术文献互助群
群 号:604180095
Book学术官方微信