激动生理盐水超声造影在肺动脉高压评估中的作用。

Emilio Herrera, Jhon F Salamanca, Luisa F Durango
{"title":"激动生理盐水超声造影在肺动脉高压评估中的作用。","authors":"Emilio Herrera, Jhon F Salamanca, Luisa F Durango","doi":"10.47487/apcyccv.v6i2.486","DOIUrl":null,"url":null,"abstract":"<p><p>The diagnostic approach to pulmonary hypertension using cardiac imaging, particularly echocardiography, provides a practical, accessible, and highly valuable tool. It helps establish the initial diagnostic probability, offers prognostic information, and supports aetiological assessment. The agitated saline contrast test, also referred to as bubble contrast echocardiography, can aid not only in confirming the diagnosis but also in characterising the condition and identifying various underlying causes of pulmonary hypertension.</p>","PeriodicalId":72295,"journal":{"name":"Archivos Peruanos de cardiologia y cirugia cardiovascular","volume":"6 2","pages":"90-95"},"PeriodicalIF":0.0000,"publicationDate":"2025-06-27","publicationTypes":"Journal Article","fieldsOfStudy":null,"isOpenAccess":false,"openAccessPdf":"https://www.ncbi.nlm.nih.gov/pmc/articles/PMC12288737/pdf/","citationCount":"0","resultStr":"{\"title\":\"The role of agitated saline contrast echocardiography in the evaluation of pulmonary hypertension.\",\"authors\":\"Emilio Herrera, Jhon F Salamanca, Luisa F Durango\",\"doi\":\"10.47487/apcyccv.v6i2.486\",\"DOIUrl\":null,\"url\":null,\"abstract\":\"<p><p>The diagnostic approach to pulmonary hypertension using cardiac imaging, particularly echocardiography, provides a practical, accessible, and highly valuable tool. It helps establish the initial diagnostic probability, offers prognostic information, and supports aetiological assessment. The agitated saline contrast test, also referred to as bubble contrast echocardiography, can aid not only in confirming the diagnosis but also in characterising the condition and identifying various underlying causes of pulmonary hypertension.</p>\",\"PeriodicalId\":72295,\"journal\":{\"name\":\"Archivos Peruanos de cardiologia y cirugia cardiovascular\",\"volume\":\"6 2\",\"pages\":\"90-95\"},\"PeriodicalIF\":0.0000,\"publicationDate\":\"2025-06-27\",\"publicationTypes\":\"Journal Article\",\"fieldsOfStudy\":null,\"isOpenAccess\":false,\"openAccessPdf\":\"https://www.ncbi.nlm.nih.gov/pmc/articles/PMC12288737/pdf/\",\"citationCount\":\"0\",\"resultStr\":null,\"platform\":\"Semanticscholar\",\"paperid\":null,\"PeriodicalName\":\"Archivos Peruanos de cardiologia y cirugia cardiovascular\",\"FirstCategoryId\":\"1085\",\"ListUrlMain\":\"https://doi.org/10.47487/apcyccv.v6i2.486\",\"RegionNum\":0,\"RegionCategory\":null,\"ArticlePicture\":[],\"TitleCN\":null,\"AbstractTextCN\":null,\"PMCID\":null,\"EPubDate\":\"2025/4/1 0:00:00\",\"PubModel\":\"eCollection\",\"JCR\":\"\",\"JCRName\":\"\",\"Score\":null,\"Total\":0}","platform":"Semanticscholar","paperid":null,"PeriodicalName":"Archivos Peruanos de cardiologia y cirugia cardiovascular","FirstCategoryId":"1085","ListUrlMain":"https://doi.org/10.47487/apcyccv.v6i2.486","RegionNum":0,"RegionCategory":null,"ArticlePicture":[],"TitleCN":null,"AbstractTextCN":null,"PMCID":null,"EPubDate":"2025/4/1 0:00:00","PubModel":"eCollection","JCR":"","JCRName":"","Score":null,"Total":0}
引用次数: 0

摘要

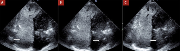
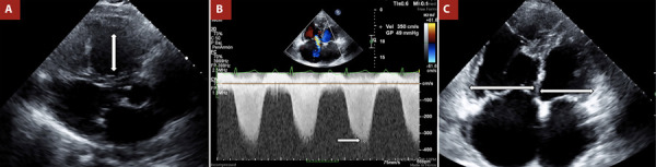
肺动脉高压的诊断方法采用心脏成像,特别是超声心动图,提供了一个实用的,容易获得的,高度有价值的工具。它有助于建立初步诊断的可能性,提供预后信息,并支持病原学评估。搅动生理盐水对比试验,也被称为气泡对比超声心动图,不仅可以帮助确诊,而且可以描述病情并确定肺动脉高压的各种潜在原因。
本文章由计算机程序翻译,如有差异,请以英文原文为准。

The role of agitated saline contrast echocardiography in the evaluation of pulmonary hypertension.

The role of agitated saline contrast echocardiography in the evaluation of pulmonary hypertension.

The role of agitated saline contrast echocardiography in the evaluation of pulmonary hypertension.

The role of agitated saline contrast echocardiography in the evaluation of pulmonary hypertension.

The diagnostic approach to pulmonary hypertension using cardiac imaging, particularly echocardiography, provides a practical, accessible, and highly valuable tool. It helps establish the initial diagnostic probability, offers prognostic information, and supports aetiological assessment. The agitated saline contrast test, also referred to as bubble contrast echocardiography, can aid not only in confirming the diagnosis but also in characterising the condition and identifying various underlying causes of pulmonary hypertension.

求助全文
通过发布文献求助,成功后即可免费获取论文全文。 去求助
来源期刊
CiteScore
0.40
自引率
0.00%
发文量
0
审稿时长
4 weeks
×
引用
GB/T 7714-2015
复制
MLA
复制
APA
复制
导出至
BibTeX EndNote RefMan NoteFirst NoteExpress
×
提示
您的信息不完整,为了账户安全,请先补充。
现在去补充
×
提示
您因"违规操作"
具体请查看互助需知
我知道了
×
提示
确定
请完成安全验证×
copy
已复制链接
快去分享给好友吧!
我知道了
右上角分享
点击右上角分享
0
联系我们:info@booksci.cn Book学术提供免费学术资源搜索服务,方便国内外学者检索中英文文献。致力于提供最便捷和优质的服务体验。 Copyright © 2023 布克学术 All rights reserved.
京ICP备2023020795号-1
ghs 京公网安备 11010802042870号
Book学术文献互助
Book学术文献互助群
群 号:604180095
Book学术官方微信