肌性室间隔缺损封堵器经皮主动脉肺窗关闭术。秘鲁国立卫生研究所Niño圣博尔哈利马。病例报告。

Alex Ismael Catalán Cabrera, Karen Del Rosario Condori Alvino, Mónica Karem Medina Durand
{"title":"肌性室间隔缺损封堵器经皮主动脉肺窗关闭术。秘鲁国立卫生研究所Niño圣博尔哈利马。病例报告。","authors":"Alex Ismael Catalán Cabrera, Karen Del Rosario Condori Alvino, Mónica Karem Medina Durand","doi":"10.47487/apcyccv.v6i2.465","DOIUrl":null,"url":null,"abstract":"<p><p>The aortopulmonary window is a rare congenital heart defect. Isolated aortopulmonary window, without other associated anomalies, accounts for up to 25% of all cases. Surgical closure has long been, and remains, the gold standard in many cardiovascular centres. However, percutaneous closure has emerged as a viable alternative using various types of occluder devices, selected based on the morphology, size, and rims of the defect to minimise complications such as valvular interference or coronary ostial obstruction. We report the case of an infant with an isolated aortopulmonary window successfully treated with percutaneous closure using a muscular ventricular septal defect occluder device, with no complications. The patient was discharged 48 hours after the procedure.</p>","PeriodicalId":72295,"journal":{"name":"Archivos Peruanos de cardiologia y cirugia cardiovascular","volume":"6 2","pages":"96-99"},"PeriodicalIF":0.0000,"publicationDate":"2025-06-27","publicationTypes":"Journal Article","fieldsOfStudy":null,"isOpenAccess":false,"openAccessPdf":"https://www.ncbi.nlm.nih.gov/pmc/articles/PMC12288734/pdf/","citationCount":"0","resultStr":"{\"title\":\"Percutaneous closure of aortopulmonary window using a muscular ventricular septal defect occluder. Instituto Nacional de Salud del Niño San Borja Lima-Peru. Case report.\",\"authors\":\"Alex Ismael Catalán Cabrera, Karen Del Rosario Condori Alvino, Mónica Karem Medina Durand\",\"doi\":\"10.47487/apcyccv.v6i2.465\",\"DOIUrl\":null,\"url\":null,\"abstract\":\"<p><p>The aortopulmonary window is a rare congenital heart defect. Isolated aortopulmonary window, without other associated anomalies, accounts for up to 25% of all cases. Surgical closure has long been, and remains, the gold standard in many cardiovascular centres. However, percutaneous closure has emerged as a viable alternative using various types of occluder devices, selected based on the morphology, size, and rims of the defect to minimise complications such as valvular interference or coronary ostial obstruction. We report the case of an infant with an isolated aortopulmonary window successfully treated with percutaneous closure using a muscular ventricular septal defect occluder device, with no complications. The patient was discharged 48 hours after the procedure.</p>\",\"PeriodicalId\":72295,\"journal\":{\"name\":\"Archivos Peruanos de cardiologia y cirugia cardiovascular\",\"volume\":\"6 2\",\"pages\":\"96-99\"},\"PeriodicalIF\":0.0000,\"publicationDate\":\"2025-06-27\",\"publicationTypes\":\"Journal Article\",\"fieldsOfStudy\":null,\"isOpenAccess\":false,\"openAccessPdf\":\"https://www.ncbi.nlm.nih.gov/pmc/articles/PMC12288734/pdf/\",\"citationCount\":\"0\",\"resultStr\":null,\"platform\":\"Semanticscholar\",\"paperid\":null,\"PeriodicalName\":\"Archivos Peruanos de cardiologia y cirugia cardiovascular\",\"FirstCategoryId\":\"1085\",\"ListUrlMain\":\"https://doi.org/10.47487/apcyccv.v6i2.465\",\"RegionNum\":0,\"RegionCategory\":null,\"ArticlePicture\":[],\"TitleCN\":null,\"AbstractTextCN\":null,\"PMCID\":null,\"EPubDate\":\"2025/4/1 0:00:00\",\"PubModel\":\"eCollection\",\"JCR\":\"\",\"JCRName\":\"\",\"Score\":null,\"Total\":0}","platform":"Semanticscholar","paperid":null,"PeriodicalName":"Archivos Peruanos de cardiologia y cirugia cardiovascular","FirstCategoryId":"1085","ListUrlMain":"https://doi.org/10.47487/apcyccv.v6i2.465","RegionNum":0,"RegionCategory":null,"ArticlePicture":[],"TitleCN":null,"AbstractTextCN":null,"PMCID":null,"EPubDate":"2025/4/1 0:00:00","PubModel":"eCollection","JCR":"","JCRName":"","Score":null,"Total":0}
引用次数: 0

摘要

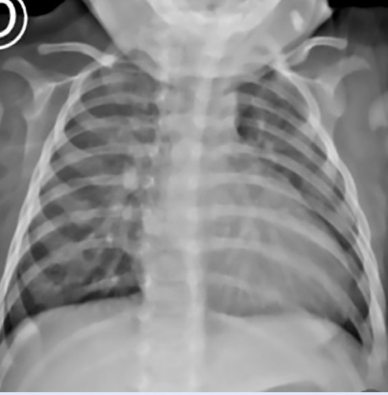
主动脉肺窗是一种罕见的先天性心脏缺陷。无其他相关异常的孤立性主动脉肺窗占所有病例的25%。手术封闭一直是,并且仍然是许多心血管中心的黄金标准。然而,经皮闭合已经成为一种可行的选择,使用各种类型的闭塞装置,根据缺损的形态、大小和边缘来选择,以尽量减少并发症,如瓣膜干扰或冠状动脉口梗阻。我们报告一例婴儿与孤立的主动脉肺窗成功治疗经皮封闭使用肌肉室间隔缺损闭塞装置,没有并发症。术后48小时患者出院。
本文章由计算机程序翻译,如有差异,请以英文原文为准。

Percutaneous closure of aortopulmonary window using a muscular ventricular septal defect occluder. Instituto Nacional de Salud del Niño San Borja Lima-Peru. Case report.

Percutaneous closure of aortopulmonary window using a muscular ventricular septal defect occluder. Instituto Nacional de Salud del Niño San Borja Lima-Peru. Case report.

Percutaneous closure of aortopulmonary window using a muscular ventricular septal defect occluder. Instituto Nacional de Salud del Niño San Borja Lima-Peru. Case report.

Percutaneous closure of aortopulmonary window using a muscular ventricular septal defect occluder. Instituto Nacional de Salud del Niño San Borja Lima-Peru. Case report.

The aortopulmonary window is a rare congenital heart defect. Isolated aortopulmonary window, without other associated anomalies, accounts for up to 25% of all cases. Surgical closure has long been, and remains, the gold standard in many cardiovascular centres. However, percutaneous closure has emerged as a viable alternative using various types of occluder devices, selected based on the morphology, size, and rims of the defect to minimise complications such as valvular interference or coronary ostial obstruction. We report the case of an infant with an isolated aortopulmonary window successfully treated with percutaneous closure using a muscular ventricular septal defect occluder device, with no complications. The patient was discharged 48 hours after the procedure.

求助全文
通过发布文献求助,成功后即可免费获取论文全文。 去求助
来源期刊
CiteScore
0.40
自引率
0.00%
发文量
0
审稿时长
4 weeks
×
引用
GB/T 7714-2015
复制
MLA
复制
APA
复制
导出至
BibTeX EndNote RefMan NoteFirst NoteExpress
×
提示
您的信息不完整,为了账户安全,请先补充。
现在去补充
×
提示
您因"违规操作"
具体请查看互助需知
我知道了
×
提示
确定
请完成安全验证×
copy
已复制链接
快去分享给好友吧!
我知道了
右上角分享
点击右上角分享
0
联系我们:info@booksci.cn Book学术提供免费学术资源搜索服务,方便国内外学者检索中英文文献。致力于提供最便捷和优质的服务体验。 Copyright © 2023 布克学术 All rights reserved.
京ICP备2023020795号-1
ghs 京公网安备 11010802042870号
Book学术文献互助
Book学术文献互助群
群 号:604180095
Book学术官方微信