色素、双折射物质引起鼻泪管阻塞。

IF 0.4 Q4 SURGERY
Angela L Xu, César A Briceño, Vivian Lee
{"title":"色素、双折射物质引起鼻泪管阻塞。","authors":"Angela L Xu, César A Briceño, Vivian Lee","doi":"10.1007/s12070-025-05526-0","DOIUrl":null,"url":null,"abstract":"<p><p>We present a case of a woman with epiphora secondary to complete nasolacrimal duct obstruction due to granulomatous inflammation around pigmented, birefringent foreign bodies, consistent with cosmetics. History is critical when evaluating epiphora to differentiate an innate melanocytic process, such as melanoma, from exogenous sources such as cosmetics on histopathology.</p>","PeriodicalId":49190,"journal":{"name":"Indian Journal of Otolaryngology and Head and Neck Surgery","volume":"77 8","pages":"3107-3109"},"PeriodicalIF":0.4000,"publicationDate":"2025-08-01","publicationTypes":"Journal Article","fieldsOfStudy":null,"isOpenAccess":false,"openAccessPdf":"https://www.ncbi.nlm.nih.gov/pmc/articles/PMC12297195/pdf/","citationCount":"0","resultStr":"{\"title\":\"Pigmented, Birefringent Material Causing Nasolacrimal Duct Obstruction.\",\"authors\":\"Angela L Xu, César A Briceño, Vivian Lee\",\"doi\":\"10.1007/s12070-025-05526-0\",\"DOIUrl\":null,\"url\":null,\"abstract\":\"<p><p>We present a case of a woman with epiphora secondary to complete nasolacrimal duct obstruction due to granulomatous inflammation around pigmented, birefringent foreign bodies, consistent with cosmetics. History is critical when evaluating epiphora to differentiate an innate melanocytic process, such as melanoma, from exogenous sources such as cosmetics on histopathology.</p>\",\"PeriodicalId\":49190,\"journal\":{\"name\":\"Indian Journal of Otolaryngology and Head and Neck Surgery\",\"volume\":\"77 8\",\"pages\":\"3107-3109\"},\"PeriodicalIF\":0.4000,\"publicationDate\":\"2025-08-01\",\"publicationTypes\":\"Journal Article\",\"fieldsOfStudy\":null,\"isOpenAccess\":false,\"openAccessPdf\":\"https://www.ncbi.nlm.nih.gov/pmc/articles/PMC12297195/pdf/\",\"citationCount\":\"0\",\"resultStr\":null,\"platform\":\"Semanticscholar\",\"paperid\":null,\"PeriodicalName\":\"Indian Journal of Otolaryngology and Head and Neck Surgery\",\"FirstCategoryId\":\"1085\",\"ListUrlMain\":\"https://doi.org/10.1007/s12070-025-05526-0\",\"RegionNum\":0,\"RegionCategory\":null,\"ArticlePicture\":[],\"TitleCN\":null,\"AbstractTextCN\":null,\"PMCID\":null,\"EPubDate\":\"2025/6/3 0:00:00\",\"PubModel\":\"Epub\",\"JCR\":\"Q4\",\"JCRName\":\"SURGERY\",\"Score\":null,\"Total\":0}","platform":"Semanticscholar","paperid":null,"PeriodicalName":"Indian Journal of Otolaryngology and Head and Neck Surgery","FirstCategoryId":"1085","ListUrlMain":"https://doi.org/10.1007/s12070-025-05526-0","RegionNum":0,"RegionCategory":null,"ArticlePicture":[],"TitleCN":null,"AbstractTextCN":null,"PMCID":null,"EPubDate":"2025/6/3 0:00:00","PubModel":"Epub","JCR":"Q4","JCRName":"SURGERY","Score":null,"Total":0}
引用次数: 0

摘要

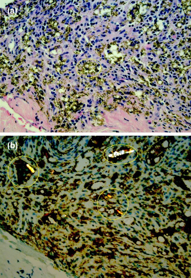
我们提出一个病例的妇女继发于完全性鼻泪管阻塞由于肉芽肿性炎症周围的色素,双折射的异物,一致的化妆品。在组织病理学上,当评估眼珠区分先天黑色素细胞过程(如黑色素瘤)和外源性来源(如化妆品)时,历史是至关重要的。
本文章由计算机程序翻译,如有差异,请以英文原文为准。

Pigmented, Birefringent Material Causing Nasolacrimal Duct Obstruction.

Pigmented, Birefringent Material Causing Nasolacrimal Duct Obstruction.

We present a case of a woman with epiphora secondary to complete nasolacrimal duct obstruction due to granulomatous inflammation around pigmented, birefringent foreign bodies, consistent with cosmetics. History is critical when evaluating epiphora to differentiate an innate melanocytic process, such as melanoma, from exogenous sources such as cosmetics on histopathology.

求助全文
通过发布文献求助,成功后即可免费获取论文全文。 去求助
来源期刊
CiteScore
0.80
自引率
0.00%
发文量
226
审稿时长
6-12 weeks
期刊介绍: Indian Journal of Otolaryngology and Head & Neck Surgery was founded as Indian Journal of Otolaryngology in 1949 as a scientific Journal published by the Association of Otolaryngologists of India and was later rechristened as IJOHNS to incorporate the changes and progress. IJOHNS, undoubtedly one of the oldest Journals in India, is the official publication of the Association of Otolaryngologists of India and is about to publish it is 67th Volume in 2015. The Journal published quarterly accepts articles in general Oto-Rhino-Laryngology and various subspecialities such as Otology, Rhinology, Laryngology and Phonosurgery, Neurotology, Head and Neck Surgery etc. The Journal acts as a window to showcase and project the clinical and research work done by Otolaryngologists community in India and around the world. It is a continued source of useful clinical information with peer review by eminent Otolaryngologists of repute in their respective fields. The Journal accepts articles pertaining to clinical reports, Clinical studies, Research articles in basic and applied Otolaryngology, short Communications, Clinical records reporting unusual presentations or lesions and new surgical techniques. The journal acts as a catalyst and mirrors the Indian Otolaryngologist’s active interests and pursuits. The Journal also invites articles from senior and experienced authors on interesting topics in Otolaryngology and allied sciences from all over the world. The print version is distributed free to about 4000 members of Association of Otolaryngologists of India and the e-Journal shortly going to make its appearance on the Springer Board can be accessed by all the members. Association of Otolaryngologists of India and M/s Springer India group have come together to co-publish IJOHNS from January 2007 and this bondage is going to provide an impetus to the Journal in terms of international presence and global exposure.
×
引用
GB/T 7714-2015
复制
MLA
复制
APA
复制
导出至
BibTeX EndNote RefMan NoteFirst NoteExpress
×
提示
您的信息不完整,为了账户安全,请先补充。
现在去补充
×
提示
您因"违规操作"
具体请查看互助需知
我知道了
×
提示
确定
请完成安全验证×
copy
已复制链接
快去分享给好友吧!
我知道了
右上角分享
点击右上角分享
0
联系我们:info@booksci.cn Book学术提供免费学术资源搜索服务,方便国内外学者检索中英文文献。致力于提供最便捷和优质的服务体验。 Copyright © 2023 布克学术 All rights reserved.
京ICP备2023020795号-1
ghs 京公网安备 11010802042870号
Book学术文献互助
Book学术文献互助群
群 号:604180095
Book学术官方微信