儿童巨大胸膜心包囊肿继发心包填塞:撒哈拉以南非洲一例外科病例报告。

IF 0.7 Q4 SURGERY
European Journal of Pediatric Surgery Reports Pub Date : 2025-07-28 eCollection Date: 2025-01-01 DOI:10.1055/a-2655-3348
Abdel Kémal Bori Bata, Yacoubou Imorou-Souaibou, Ahmad Ibrahim, Désiré Nékoua, Joseph Adoco, Arnaud Sonou
{"title":"儿童巨大胸膜心包囊肿继发心包填塞:撒哈拉以南非洲一例外科病例报告。","authors":"Abdel Kémal Bori Bata, Yacoubou Imorou-Souaibou, Ahmad Ibrahim, Désiré Nékoua, Joseph Adoco, Arnaud Sonou","doi":"10.1055/a-2655-3348","DOIUrl":null,"url":null,"abstract":"<p><p>Pleuropericardial cysts are rare mediastinal tumors with variable, often severe, clinical presentations in children, occasionally requiring urgent intervention. We report the case of a previously healthy 14-year-old male who was admitted with signs of severe congestive heart failure and clinical evidence of cardiac tamponade. Transthoracic echocardiography and thoracic CT scan confirmed the presence of a compressive mediastinal cystic mass. The patient underwent emergency surgical resection via median sternotomy. Histopathological examination confirmed a benign pericardial cyst. Postoperative recovery was uneventful, and no recurrence was observed after 2 years of follow-up.</p>","PeriodicalId":43204,"journal":{"name":"European Journal of Pediatric Surgery Reports","volume":"13 1","pages":"e31-e34"},"PeriodicalIF":0.7000,"publicationDate":"2025-07-28","publicationTypes":"Journal Article","fieldsOfStudy":null,"isOpenAccess":false,"openAccessPdf":"https://www.ncbi.nlm.nih.gov/pmc/articles/PMC12303617/pdf/","citationCount":"0","resultStr":"{\"title\":\"Cardiac Tamponade Secondary to a Giant Pleuropericardial Cyst in a Child: A Surgical Case Report from Sub-Saharan Africa.\",\"authors\":\"Abdel Kémal Bori Bata, Yacoubou Imorou-Souaibou, Ahmad Ibrahim, Désiré Nékoua, Joseph Adoco, Arnaud Sonou\",\"doi\":\"10.1055/a-2655-3348\",\"DOIUrl\":null,\"url\":null,\"abstract\":\"<p><p>Pleuropericardial cysts are rare mediastinal tumors with variable, often severe, clinical presentations in children, occasionally requiring urgent intervention. We report the case of a previously healthy 14-year-old male who was admitted with signs of severe congestive heart failure and clinical evidence of cardiac tamponade. Transthoracic echocardiography and thoracic CT scan confirmed the presence of a compressive mediastinal cystic mass. The patient underwent emergency surgical resection via median sternotomy. Histopathological examination confirmed a benign pericardial cyst. Postoperative recovery was uneventful, and no recurrence was observed after 2 years of follow-up.</p>\",\"PeriodicalId\":43204,\"journal\":{\"name\":\"European Journal of Pediatric Surgery Reports\",\"volume\":\"13 1\",\"pages\":\"e31-e34\"},\"PeriodicalIF\":0.7000,\"publicationDate\":\"2025-07-28\",\"publicationTypes\":\"Journal Article\",\"fieldsOfStudy\":null,\"isOpenAccess\":false,\"openAccessPdf\":\"https://www.ncbi.nlm.nih.gov/pmc/articles/PMC12303617/pdf/\",\"citationCount\":\"0\",\"resultStr\":null,\"platform\":\"Semanticscholar\",\"paperid\":null,\"PeriodicalName\":\"European Journal of Pediatric Surgery Reports\",\"FirstCategoryId\":\"1085\",\"ListUrlMain\":\"https://doi.org/10.1055/a-2655-3348\",\"RegionNum\":0,\"RegionCategory\":null,\"ArticlePicture\":[],\"TitleCN\":null,\"AbstractTextCN\":null,\"PMCID\":null,\"EPubDate\":\"2025/1/1 0:00:00\",\"PubModel\":\"eCollection\",\"JCR\":\"Q4\",\"JCRName\":\"SURGERY\",\"Score\":null,\"Total\":0}","platform":"Semanticscholar","paperid":null,"PeriodicalName":"European Journal of Pediatric Surgery Reports","FirstCategoryId":"1085","ListUrlMain":"https://doi.org/10.1055/a-2655-3348","RegionNum":0,"RegionCategory":null,"ArticlePicture":[],"TitleCN":null,"AbstractTextCN":null,"PMCID":null,"EPubDate":"2025/1/1 0:00:00","PubModel":"eCollection","JCR":"Q4","JCRName":"SURGERY","Score":null,"Total":0}
引用次数: 0

摘要

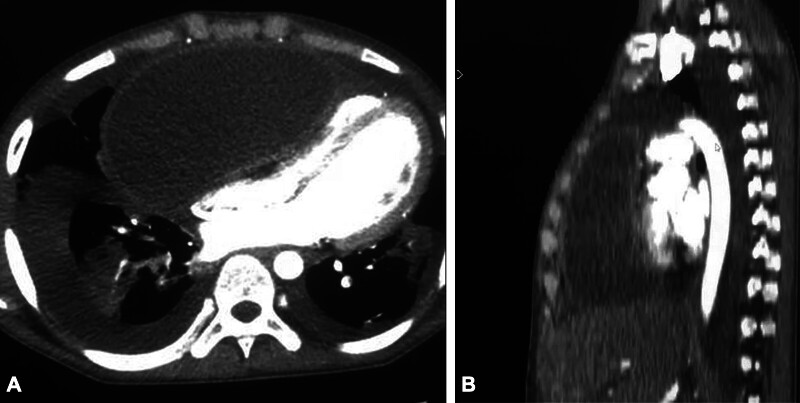
胸膜心包囊肿是一种罕见的纵隔肿瘤,临床表现多变,常为严重的儿童,偶尔需要紧急干预。我们报告的情况下,以前健康的14岁男性谁是入院严重充血性心力衰竭的迹象和心脏填塞的临床证据。经胸超声心动图和胸部CT扫描证实存在压缩纵隔囊性肿块。患者经胸骨正中切开术行紧急手术切除。组织病理学检查证实为良性心包囊肿。术后恢复平稳,随访2年无复发。
本文章由计算机程序翻译,如有差异,请以英文原文为准。

Cardiac Tamponade Secondary to a Giant Pleuropericardial Cyst in a Child: A Surgical Case Report from Sub-Saharan Africa.

Cardiac Tamponade Secondary to a Giant Pleuropericardial Cyst in a Child: A Surgical Case Report from Sub-Saharan Africa.

Cardiac Tamponade Secondary to a Giant Pleuropericardial Cyst in a Child: A Surgical Case Report from Sub-Saharan Africa.

Cardiac Tamponade Secondary to a Giant Pleuropericardial Cyst in a Child: A Surgical Case Report from Sub-Saharan Africa.

Pleuropericardial cysts are rare mediastinal tumors with variable, often severe, clinical presentations in children, occasionally requiring urgent intervention. We report the case of a previously healthy 14-year-old male who was admitted with signs of severe congestive heart failure and clinical evidence of cardiac tamponade. Transthoracic echocardiography and thoracic CT scan confirmed the presence of a compressive mediastinal cystic mass. The patient underwent emergency surgical resection via median sternotomy. Histopathological examination confirmed a benign pericardial cyst. Postoperative recovery was uneventful, and no recurrence was observed after 2 years of follow-up.

求助全文
通过发布文献求助,成功后即可免费获取论文全文。 去求助
来源期刊
自引率
33.30%
发文量
39
审稿时长
12 weeks
×
引用
GB/T 7714-2015
复制
MLA
复制
APA
复制
导出至
BibTeX EndNote RefMan NoteFirst NoteExpress
×
提示
您的信息不完整,为了账户安全,请先补充。
现在去补充
×
提示
您因"违规操作"
具体请查看互助需知
我知道了
×
提示
确定
请完成安全验证×
copy
已复制链接
快去分享给好友吧!
我知道了
右上角分享
点击右上角分享
0
联系我们:info@booksci.cn Book学术提供免费学术资源搜索服务,方便国内外学者检索中英文文献。致力于提供最便捷和优质的服务体验。 Copyright © 2023 布克学术 All rights reserved.
京ICP备2023020795号-1
ghs 京公网安备 11010802042870号
Book学术文献互助
Book学术文献互助群
群 号:604180095
Book学术官方微信