索特西普起始后心包积液与前列环素类似毒性。

IF 2.5 4区 医学 Q2 CARDIAC & CARDIOVASCULAR SYSTEMS
Pulmonary Circulation Pub Date : 2025-07-27 eCollection Date: 2025-07-01 DOI:10.1002/pul2.70141
Dany Tager, Kristin B Highland, Kulwant S Aulak, Leora Haber, Adriano R Tonelli
{"title":"索特西普起始后心包积液与前列环素类似毒性。","authors":"Dany Tager, Kristin B Highland, Kulwant S Aulak, Leora Haber, Adriano R Tonelli","doi":"10.1002/pul2.70141","DOIUrl":null,"url":null,"abstract":"<p><p>Pulmonary arterial hypertension (PAH) is a disorder characterized by progressive remodeling of small pulmonary arteries, leading to increased pulmonary vascular resistance, right ventricular failure and premature death (1-2). Over the past 30 years, significant advancements have been made in the treatment of PAH, including the recent approval of sotatercept, a first-in-class fusion protein that acts as a ligand trap for activins and growth differentiation factors, which are key players in the transforming growth factor β (TGF-β) superfamily (3-4). Sotatercept improves exercise capacity, as assessed by 6-min walk distance and World Health Organization (WHO) functional class, reduces pulmonary vascular resistance and NT-pro brain natriuretic peptide, and improves the simplified French risk score while extending the time to death or nonfatal clinical worsening (3). The 7th World Symposium in pulmonary hypertension recommends the addition of sotatercept as an option in PAH patients who have not achieved low risk despite combination therapy with at least an endothelin receptor antagonist and phosphodiesterase type-5 inhibitor, in intermediate or high-risk patients. The STELLAR study of sotatercept in PAH patients demonstrated the efficacy of this medication in patients receiving background therapy (3). In fact, 34% of the patients were on double and 60% of the patients on triple therapy. Interestingly 40% were on prostacyclin infusion therapy (3). Post-hoc analysis of the stellar study showed a beneficial effect for those on double or triple background PAH therapy as well as those receiving prostacyclin infusion at baseline (1,5). It remains unclear if the addition of sotatercept to other PAH treatments may have unexpected complications. It is possible that by rebalancing the proliferative/antiproliferative effects in the pulmonary circulation, the effect of other treatments for PAH may become excessive, particularly when parenteral prostacyclin is used at high doses. This phenomenon may manifest with the typical characteristics of prostacyclin overdose, including enhanced side effects and high cardiac output heart failure. Hereby we describe a patient with PAH on triple PAH-specific therapy, who after the initiation of sotatercept developed a large pericardial effusion and high cardiac output heart failure.</p>","PeriodicalId":20927,"journal":{"name":"Pulmonary Circulation","volume":"15 3","pages":"e70141"},"PeriodicalIF":2.5000,"publicationDate":"2025-07-27","publicationTypes":"Journal Article","fieldsOfStudy":null,"isOpenAccess":false,"openAccessPdf":"https://www.ncbi.nlm.nih.gov/pmc/articles/PMC12296709/pdf/","citationCount":"0","resultStr":"{\"title\":\"Pericardial Effusion and Prostacyclin Analog Toxicity After Initiation of Sotatercept.\",\"authors\":\"Dany Tager, Kristin B Highland, Kulwant S Aulak, Leora Haber, Adriano R Tonelli\",\"doi\":\"10.1002/pul2.70141\",\"DOIUrl\":null,\"url\":null,\"abstract\":\"<p><p>Pulmonary arterial hypertension (PAH) is a disorder characterized by progressive remodeling of small pulmonary arteries, leading to increased pulmonary vascular resistance, right ventricular failure and premature death (1-2). Over the past 30 years, significant advancements have been made in the treatment of PAH, including the recent approval of sotatercept, a first-in-class fusion protein that acts as a ligand trap for activins and growth differentiation factors, which are key players in the transforming growth factor β (TGF-β) superfamily (3-4). Sotatercept improves exercise capacity, as assessed by 6-min walk distance and World Health Organization (WHO) functional class, reduces pulmonary vascular resistance and NT-pro brain natriuretic peptide, and improves the simplified French risk score while extending the time to death or nonfatal clinical worsening (3). The 7th World Symposium in pulmonary hypertension recommends the addition of sotatercept as an option in PAH patients who have not achieved low risk despite combination therapy with at least an endothelin receptor antagonist and phosphodiesterase type-5 inhibitor, in intermediate or high-risk patients. The STELLAR study of sotatercept in PAH patients demonstrated the efficacy of this medication in patients receiving background therapy (3). In fact, 34% of the patients were on double and 60% of the patients on triple therapy. Interestingly 40% were on prostacyclin infusion therapy (3). Post-hoc analysis of the stellar study showed a beneficial effect for those on double or triple background PAH therapy as well as those receiving prostacyclin infusion at baseline (1,5). It remains unclear if the addition of sotatercept to other PAH treatments may have unexpected complications. It is possible that by rebalancing the proliferative/antiproliferative effects in the pulmonary circulation, the effect of other treatments for PAH may become excessive, particularly when parenteral prostacyclin is used at high doses. This phenomenon may manifest with the typical characteristics of prostacyclin overdose, including enhanced side effects and high cardiac output heart failure. Hereby we describe a patient with PAH on triple PAH-specific therapy, who after the initiation of sotatercept developed a large pericardial effusion and high cardiac output heart failure.</p>\",\"PeriodicalId\":20927,\"journal\":{\"name\":\"Pulmonary Circulation\",\"volume\":\"15 3\",\"pages\":\"e70141\"},\"PeriodicalIF\":2.5000,\"publicationDate\":\"2025-07-27\",\"publicationTypes\":\"Journal Article\",\"fieldsOfStudy\":null,\"isOpenAccess\":false,\"openAccessPdf\":\"https://www.ncbi.nlm.nih.gov/pmc/articles/PMC12296709/pdf/\",\"citationCount\":\"0\",\"resultStr\":null,\"platform\":\"Semanticscholar\",\"paperid\":null,\"PeriodicalName\":\"Pulmonary Circulation\",\"FirstCategoryId\":\"3\",\"ListUrlMain\":\"https://doi.org/10.1002/pul2.70141\",\"RegionNum\":4,\"RegionCategory\":\"医学\",\"ArticlePicture\":[],\"TitleCN\":null,\"AbstractTextCN\":null,\"PMCID\":null,\"EPubDate\":\"2025/7/1 0:00:00\",\"PubModel\":\"eCollection\",\"JCR\":\"Q2\",\"JCRName\":\"CARDIAC & CARDIOVASCULAR SYSTEMS\",\"Score\":null,\"Total\":0}","platform":"Semanticscholar","paperid":null,"PeriodicalName":"Pulmonary Circulation","FirstCategoryId":"3","ListUrlMain":"https://doi.org/10.1002/pul2.70141","RegionNum":4,"RegionCategory":"医学","ArticlePicture":[],"TitleCN":null,"AbstractTextCN":null,"PMCID":null,"EPubDate":"2025/7/1 0:00:00","PubModel":"eCollection","JCR":"Q2","JCRName":"CARDIAC & CARDIOVASCULAR SYSTEMS","Score":null,"Total":0}
引用次数: 0

摘要

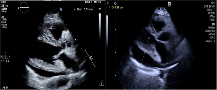
肺动脉高压(PAH)是一种以小肺动脉进行性重塑为特征的疾病,可导致肺血管阻力增加、右心室衰竭和过早死亡(1-2)。在过去的30年里,PAH的治疗取得了重大进展,包括最近批准的sotaterept,这是一种一流的融合蛋白,可作为激活素和生长分化因子的配体陷阱,这些因子是转化生长因子β (TGF-β)超家族的关键参与者(3-4)。sotaterept通过6分钟步行距离和世界卫生组织(WHO)功能分级来评估,可以提高运动能力,降低肺血管阻力和NT-pro脑钠肽,提高简化的French风险评分,同时延长死亡或非致命性临床恶化的时间(3)。在第7届世界肺动脉高压研讨会上,建议将索特西普作为一种选择,用于中度或高风险的PAH患者,尽管联合使用至少一种内皮素受体拮抗剂和磷酸二酯酶5型抑制剂,但仍未达到低风险。索特西普在PAH患者中的STELLAR研究证实了该药物对接受背景治疗的患者的疗效(3)。事实上,34%的患者接受双重治疗60%的患者接受三重治疗。有趣的是,40%的患者接受前列环素输注治疗(3)。对恒星研究的事后分析显示,双重或三重背景多环芳烃治疗以及基线时接受前列环素输注的患者都有有益的效果(1,5)。目前尚不清楚在其他多环芳烃治疗中加入索特塞普是否会产生意想不到的并发症。有可能通过重新平衡肺循环中的增殖/抗增殖作用,其他治疗多环芳烃的效果可能会变得过度,特别是当高剂量外注射前列环素时。这种现象可能表现为前列环素过量的典型特征,包括副作用增强和高心排血量心力衰竭。在此,我们描述了一位接受三联PAH特异性治疗的PAH患者,他在开始使用索特塞普后出现大量心包积液和高心排血量心力衰竭。
本文章由计算机程序翻译,如有差异,请以英文原文为准。

Pericardial Effusion and Prostacyclin Analog Toxicity After Initiation of Sotatercept.

Pericardial Effusion and Prostacyclin Analog Toxicity After Initiation of Sotatercept.

Pericardial Effusion and Prostacyclin Analog Toxicity After Initiation of Sotatercept.

Pulmonary arterial hypertension (PAH) is a disorder characterized by progressive remodeling of small pulmonary arteries, leading to increased pulmonary vascular resistance, right ventricular failure and premature death (1-2). Over the past 30 years, significant advancements have been made in the treatment of PAH, including the recent approval of sotatercept, a first-in-class fusion protein that acts as a ligand trap for activins and growth differentiation factors, which are key players in the transforming growth factor β (TGF-β) superfamily (3-4). Sotatercept improves exercise capacity, as assessed by 6-min walk distance and World Health Organization (WHO) functional class, reduces pulmonary vascular resistance and NT-pro brain natriuretic peptide, and improves the simplified French risk score while extending the time to death or nonfatal clinical worsening (3). The 7th World Symposium in pulmonary hypertension recommends the addition of sotatercept as an option in PAH patients who have not achieved low risk despite combination therapy with at least an endothelin receptor antagonist and phosphodiesterase type-5 inhibitor, in intermediate or high-risk patients. The STELLAR study of sotatercept in PAH patients demonstrated the efficacy of this medication in patients receiving background therapy (3). In fact, 34% of the patients were on double and 60% of the patients on triple therapy. Interestingly 40% were on prostacyclin infusion therapy (3). Post-hoc analysis of the stellar study showed a beneficial effect for those on double or triple background PAH therapy as well as those receiving prostacyclin infusion at baseline (1,5). It remains unclear if the addition of sotatercept to other PAH treatments may have unexpected complications. It is possible that by rebalancing the proliferative/antiproliferative effects in the pulmonary circulation, the effect of other treatments for PAH may become excessive, particularly when parenteral prostacyclin is used at high doses. This phenomenon may manifest with the typical characteristics of prostacyclin overdose, including enhanced side effects and high cardiac output heart failure. Hereby we describe a patient with PAH on triple PAH-specific therapy, who after the initiation of sotatercept developed a large pericardial effusion and high cardiac output heart failure.

求助全文
通过发布文献求助,成功后即可免费获取论文全文。 去求助
来源期刊
Pulmonary Circulation
Pulmonary Circulation Medicine-Pulmonary and Respiratory Medicine
CiteScore
4.20
自引率
11.50%
发文量
153
审稿时长
15 weeks
期刊介绍: Pulmonary Circulation''s main goal is to encourage basic, translational, and clinical research by investigators, physician-scientists, and clinicans, in the hope of increasing survival rates for pulmonary hypertension and other pulmonary vascular diseases worldwide, and developing new therapeutic approaches for the diseases. Freely available online, Pulmonary Circulation allows diverse knowledge of research, techniques, and case studies to reach a wide readership of specialists in order to improve patient care and treatment outcomes.
×
引用
GB/T 7714-2015
复制
MLA
复制
APA
复制
导出至
BibTeX EndNote RefMan NoteFirst NoteExpress
×
提示
您的信息不完整,为了账户安全,请先补充。
现在去补充
×
提示
您因"违规操作"
具体请查看互助需知
我知道了
×
提示
确定
请完成安全验证×
copy
已复制链接
快去分享给好友吧!
我知道了
右上角分享
点击右上角分享
0
联系我们:info@booksci.cn Book学术提供免费学术资源搜索服务,方便国内外学者检索中英文文献。致力于提供最便捷和优质的服务体验。 Copyright © 2023 布克学术 All rights reserved.
京ICP备2023020795号-1
ghs 京公网安备 11010802042870号
Book学术文献互助
Book学术文献互助群
群 号:604180095
Book学术官方微信