巨细胞动脉炎的诊断困境:克服锚定偏差。

Case Reports in Rheumatology Pub Date : 2025-07-21 eCollection Date: 2025-01-01 DOI:10.1155/crrh/6632374
Crystal Stewart, Rana H Asif, Tahani Dakkak, Hardeep Singh, Muhammad Ali Javaid, Nikesh Patel
{"title":"巨细胞动脉炎的诊断困境:克服锚定偏差。","authors":"Crystal Stewart, Rana H Asif, Tahani Dakkak, Hardeep Singh, Muhammad Ali Javaid, Nikesh Patel","doi":"10.1155/crrh/6632374","DOIUrl":null,"url":null,"abstract":"<p><p>Giant cell arteritis (GCA), also known as temporal arteritis, is the most common systemic vasculitis in individuals over 50 and presents diagnostic challenges due to its nonspecific symptoms such as fever, headache, and fatigue. This case report describes the details of a male patient in his 70s who presented with recurrent intermittent fevers of unknown origin and was ultimately diagnosed with GCA after an extensive workup. His initial CT scans and lab tests were unremarkable. However, after a rheumatological workup displayed elevated erythrocyte sedimentation rate (ESR) and C-reactive protein (CRP) levels, along with new symptoms of ataxia and headaches, a temporal artery biopsy (TAB) was performed and confirmed the patient had GCA. This case underscores the difficulty in diagnosing GCA primarily due to physician anchoring bias, particularly when typical symptoms are not present. The case also showcases the need for increased awareness and prompt evaluation of potential GCA symptoms to prevent severe complications. Public education as well as improved hospital protocols can lead to earlier detection and treatment of GCA, reducing the risk of morbidity.</p>","PeriodicalId":9622,"journal":{"name":"Case Reports in Rheumatology","volume":"2025 ","pages":"6632374"},"PeriodicalIF":0.0000,"publicationDate":"2025-07-21","publicationTypes":"Journal Article","fieldsOfStudy":null,"isOpenAccess":false,"openAccessPdf":"https://www.ncbi.nlm.nih.gov/pmc/articles/PMC12303627/pdf/","citationCount":"0","resultStr":"{\"title\":\"Diagnostic Dilemmas in Giant Cell Arteritis: Overcoming Anchoring Bias.\",\"authors\":\"Crystal Stewart, Rana H Asif, Tahani Dakkak, Hardeep Singh, Muhammad Ali Javaid, Nikesh Patel\",\"doi\":\"10.1155/crrh/6632374\",\"DOIUrl\":null,\"url\":null,\"abstract\":\"<p><p>Giant cell arteritis (GCA), also known as temporal arteritis, is the most common systemic vasculitis in individuals over 50 and presents diagnostic challenges due to its nonspecific symptoms such as fever, headache, and fatigue. This case report describes the details of a male patient in his 70s who presented with recurrent intermittent fevers of unknown origin and was ultimately diagnosed with GCA after an extensive workup. His initial CT scans and lab tests were unremarkable. However, after a rheumatological workup displayed elevated erythrocyte sedimentation rate (ESR) and C-reactive protein (CRP) levels, along with new symptoms of ataxia and headaches, a temporal artery biopsy (TAB) was performed and confirmed the patient had GCA. This case underscores the difficulty in diagnosing GCA primarily due to physician anchoring bias, particularly when typical symptoms are not present. The case also showcases the need for increased awareness and prompt evaluation of potential GCA symptoms to prevent severe complications. Public education as well as improved hospital protocols can lead to earlier detection and treatment of GCA, reducing the risk of morbidity.</p>\",\"PeriodicalId\":9622,\"journal\":{\"name\":\"Case Reports in Rheumatology\",\"volume\":\"2025 \",\"pages\":\"6632374\"},\"PeriodicalIF\":0.0000,\"publicationDate\":\"2025-07-21\",\"publicationTypes\":\"Journal Article\",\"fieldsOfStudy\":null,\"isOpenAccess\":false,\"openAccessPdf\":\"https://www.ncbi.nlm.nih.gov/pmc/articles/PMC12303627/pdf/\",\"citationCount\":\"0\",\"resultStr\":null,\"platform\":\"Semanticscholar\",\"paperid\":null,\"PeriodicalName\":\"Case Reports in Rheumatology\",\"FirstCategoryId\":\"1085\",\"ListUrlMain\":\"https://doi.org/10.1155/crrh/6632374\",\"RegionNum\":0,\"RegionCategory\":null,\"ArticlePicture\":[],\"TitleCN\":null,\"AbstractTextCN\":null,\"PMCID\":null,\"EPubDate\":\"2025/1/1 0:00:00\",\"PubModel\":\"eCollection\",\"JCR\":\"\",\"JCRName\":\"\",\"Score\":null,\"Total\":0}","platform":"Semanticscholar","paperid":null,"PeriodicalName":"Case Reports in Rheumatology","FirstCategoryId":"1085","ListUrlMain":"https://doi.org/10.1155/crrh/6632374","RegionNum":0,"RegionCategory":null,"ArticlePicture":[],"TitleCN":null,"AbstractTextCN":null,"PMCID":null,"EPubDate":"2025/1/1 0:00:00","PubModel":"eCollection","JCR":"","JCRName":"","Score":null,"Total":0}
引用次数: 0

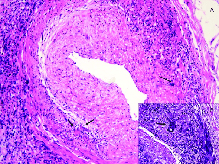
摘要

巨细胞动脉炎(GCA),也称为颞动脉炎,是50岁以上人群中最常见的全身性血管炎,由于其非特异性症状,如发烧、头痛和疲劳,给诊断带来了挑战。本病例报告描述了一位70多岁男性患者的细节,他表现为复发性间歇性发热,原因不明,经过广泛的检查后最终被诊断为GCA。他最初的CT扫描和实验室检查结果并不显著。然而,在风湿病检查显示红细胞沉降率(ESR)和c反应蛋白(CRP)水平升高,并伴有共济失调和头痛的新症状后,进行了颞动脉活检(TAB)并确认患者患有GCA。本病例强调了诊断GCA的困难,主要是由于医生的锚定偏差,特别是在没有典型症状的情况下。该病例还表明,需要提高认识并及时评估潜在的GCA症状,以预防严重并发症。公共教育以及改进医院规程可导致更早发现和治疗GCA,降低发病风险。
本文章由计算机程序翻译,如有差异,请以英文原文为准。

Diagnostic Dilemmas in Giant Cell Arteritis: Overcoming Anchoring Bias.

Diagnostic Dilemmas in Giant Cell Arteritis: Overcoming Anchoring Bias.

Giant cell arteritis (GCA), also known as temporal arteritis, is the most common systemic vasculitis in individuals over 50 and presents diagnostic challenges due to its nonspecific symptoms such as fever, headache, and fatigue. This case report describes the details of a male patient in his 70s who presented with recurrent intermittent fevers of unknown origin and was ultimately diagnosed with GCA after an extensive workup. His initial CT scans and lab tests were unremarkable. However, after a rheumatological workup displayed elevated erythrocyte sedimentation rate (ESR) and C-reactive protein (CRP) levels, along with new symptoms of ataxia and headaches, a temporal artery biopsy (TAB) was performed and confirmed the patient had GCA. This case underscores the difficulty in diagnosing GCA primarily due to physician anchoring bias, particularly when typical symptoms are not present. The case also showcases the need for increased awareness and prompt evaluation of potential GCA symptoms to prevent severe complications. Public education as well as improved hospital protocols can lead to earlier detection and treatment of GCA, reducing the risk of morbidity.

求助全文
通过发布文献求助,成功后即可免费获取论文全文。 去求助
来源期刊
自引率
0.00%
发文量
35
审稿时长
12 weeks
×
引用
GB/T 7714-2015
复制
MLA
复制
APA
复制
导出至
BibTeX EndNote RefMan NoteFirst NoteExpress
×
提示
您的信息不完整,为了账户安全,请先补充。
现在去补充
×
提示
您因"违规操作"
具体请查看互助需知
我知道了
×
提示
确定
请完成安全验证×
copy
已复制链接
快去分享给好友吧!
我知道了
右上角分享
点击右上角分享
0
联系我们:info@booksci.cn Book学术提供免费学术资源搜索服务,方便国内外学者检索中英文文献。致力于提供最便捷和优质的服务体验。 Copyright © 2023 布克学术 All rights reserved.
京ICP备2023020795号-1
ghs 京公网安备 11010802042870号
Book学术文献互助
Book学术文献互助群
群 号:604180095
Book学术官方微信