用Teprotumumab治疗的患者甲状腺粗肿的解决:一个病例报告和机制回顾。

IF 0.9 Q4 ENDOCRINOLOGY & METABOLISM
Case Reports in Endocrinology Pub Date : 2025-07-18 eCollection Date: 2025-01-01 DOI:10.1155/crie/5544869
Soumya Chatterjee
{"title":"用Teprotumumab治疗的患者甲状腺粗肿的解决:一个病例报告和机制回顾。","authors":"Soumya Chatterjee","doi":"10.1155/crie/5544869","DOIUrl":null,"url":null,"abstract":"<p><p>Graves' disease is an autoimmune thyroidopathy associated with hyperthyroidism and nonendocrine manifestations such as thyroid eye disease (TED), pretibial myxedema, and thyroid acropachy. Thyroid acropachy is an uncommon but debilitating condition, typically characterized by digital clubbing, soft tissue swelling, and periosteal new bone formation in the hands and feet. This condition often accompanies TED and dermopathy, but effective treatments remain elusive. The first documented case of thyroid acropachy successfully treated with teprotumumab, a monoclonal antibody targeting the insulin-like growth factor-1 receptor (IGF-1R), is reported here. A 49-year-old female with a history of Graves' disease developed severe musculoskeletal symptoms, including clubbing and periosteal new bone formation. Despite initial therapies with rituximab and intravenous immunoglobulin showing limited benefit, treatment with teprotumumab, primarily prescribed for TED, led to significant clinical and radiological improvement. After completing eight cycles of teprotumumab, the patient's musculoskeletal pain resolved, clubbing regressed, and radiologic findings of periosteal bone formation diminished. This case highlights the potential of teprotumumab as a novel therapeutic option for thyroid acropachy and suggests that IGF-1R plays a crucial role in its pathogenesis. While this report presents promising results, further studies are needed to confirm the efficacy of teprotumumab in treating thyroid acropachy and better understand its long-term effects on this rare condition.</p>","PeriodicalId":9621,"journal":{"name":"Case Reports in Endocrinology","volume":"2025 ","pages":"5544869"},"PeriodicalIF":0.9000,"publicationDate":"2025-07-18","publicationTypes":"Journal Article","fieldsOfStudy":null,"isOpenAccess":false,"openAccessPdf":"https://www.ncbi.nlm.nih.gov/pmc/articles/PMC12297140/pdf/","citationCount":"0","resultStr":"{\"title\":\"Resolution of Thyroid Acropachy in a Patient Treated With Teprotumumab: A Case Report and Review of Mechanisms.\",\"authors\":\"Soumya Chatterjee\",\"doi\":\"10.1155/crie/5544869\",\"DOIUrl\":null,\"url\":null,\"abstract\":\"<p><p>Graves' disease is an autoimmune thyroidopathy associated with hyperthyroidism and nonendocrine manifestations such as thyroid eye disease (TED), pretibial myxedema, and thyroid acropachy. Thyroid acropachy is an uncommon but debilitating condition, typically characterized by digital clubbing, soft tissue swelling, and periosteal new bone formation in the hands and feet. This condition often accompanies TED and dermopathy, but effective treatments remain elusive. The first documented case of thyroid acropachy successfully treated with teprotumumab, a monoclonal antibody targeting the insulin-like growth factor-1 receptor (IGF-1R), is reported here. A 49-year-old female with a history of Graves' disease developed severe musculoskeletal symptoms, including clubbing and periosteal new bone formation. Despite initial therapies with rituximab and intravenous immunoglobulin showing limited benefit, treatment with teprotumumab, primarily prescribed for TED, led to significant clinical and radiological improvement. After completing eight cycles of teprotumumab, the patient's musculoskeletal pain resolved, clubbing regressed, and radiologic findings of periosteal bone formation diminished. This case highlights the potential of teprotumumab as a novel therapeutic option for thyroid acropachy and suggests that IGF-1R plays a crucial role in its pathogenesis. While this report presents promising results, further studies are needed to confirm the efficacy of teprotumumab in treating thyroid acropachy and better understand its long-term effects on this rare condition.</p>\",\"PeriodicalId\":9621,\"journal\":{\"name\":\"Case Reports in Endocrinology\",\"volume\":\"2025 \",\"pages\":\"5544869\"},\"PeriodicalIF\":0.9000,\"publicationDate\":\"2025-07-18\",\"publicationTypes\":\"Journal Article\",\"fieldsOfStudy\":null,\"isOpenAccess\":false,\"openAccessPdf\":\"https://www.ncbi.nlm.nih.gov/pmc/articles/PMC12297140/pdf/\",\"citationCount\":\"0\",\"resultStr\":null,\"platform\":\"Semanticscholar\",\"paperid\":null,\"PeriodicalName\":\"Case Reports in Endocrinology\",\"FirstCategoryId\":\"1085\",\"ListUrlMain\":\"https://doi.org/10.1155/crie/5544869\",\"RegionNum\":0,\"RegionCategory\":null,\"ArticlePicture\":[],\"TitleCN\":null,\"AbstractTextCN\":null,\"PMCID\":null,\"EPubDate\":\"2025/1/1 0:00:00\",\"PubModel\":\"eCollection\",\"JCR\":\"Q4\",\"JCRName\":\"ENDOCRINOLOGY & METABOLISM\",\"Score\":null,\"Total\":0}","platform":"Semanticscholar","paperid":null,"PeriodicalName":"Case Reports in Endocrinology","FirstCategoryId":"1085","ListUrlMain":"https://doi.org/10.1155/crie/5544869","RegionNum":0,"RegionCategory":null,"ArticlePicture":[],"TitleCN":null,"AbstractTextCN":null,"PMCID":null,"EPubDate":"2025/1/1 0:00:00","PubModel":"eCollection","JCR":"Q4","JCRName":"ENDOCRINOLOGY & METABOLISM","Score":null,"Total":0}
引用次数: 0

摘要

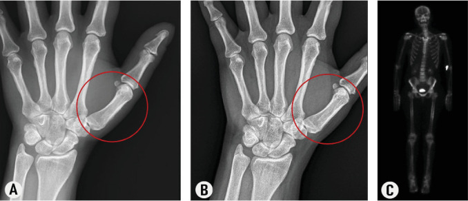
Graves病是一种自身免疫性甲状腺病,伴有甲状腺功能亢进和非内分泌表现,如甲状腺眼病(TED)、胫前黏液水肿和甲状腺粗肿。甲状腺肢肿是一种不常见但使人衰弱的疾病,典型的特征是手指杵状,软组织肿胀,以及手和脚的骨膜新骨形成。这种情况通常伴随着TED和皮肤病,但有效的治疗方法仍然难以捉摸。teprotumumab是一种靶向胰岛素样生长因子-1受体(IGF-1R)的单克隆抗体。一名49岁女性,有格雷夫斯病病史,出现严重的肌肉骨骼症状,包括棒状和骨膜新骨形成。尽管最初使用利妥昔单抗和静脉注射免疫球蛋白的治疗效果有限,但主要用于TED的teprotumumab治疗导致了显着的临床和放射学改善。在完成8个疗程的teprotumumab治疗后,患者的肌肉骨骼疼痛缓解,棒化消退,骨膜骨形成的影像学表现减少。该病例强调了teprotumumab作为甲状腺粗肿的新治疗选择的潜力,并表明IGF-1R在其发病机制中起关键作用。虽然该报告显示了令人鼓舞的结果,但需要进一步的研究来证实teprotumumab治疗甲状腺粗肿的疗效,并更好地了解其对这种罕见疾病的长期影响。
本文章由计算机程序翻译,如有差异,请以英文原文为准。

Resolution of Thyroid Acropachy in a Patient Treated With Teprotumumab: A Case Report and Review of Mechanisms.

Resolution of Thyroid Acropachy in a Patient Treated With Teprotumumab: A Case Report and Review of Mechanisms.

Resolution of Thyroid Acropachy in a Patient Treated With Teprotumumab: A Case Report and Review of Mechanisms.

Resolution of Thyroid Acropachy in a Patient Treated With Teprotumumab: A Case Report and Review of Mechanisms.

Graves' disease is an autoimmune thyroidopathy associated with hyperthyroidism and nonendocrine manifestations such as thyroid eye disease (TED), pretibial myxedema, and thyroid acropachy. Thyroid acropachy is an uncommon but debilitating condition, typically characterized by digital clubbing, soft tissue swelling, and periosteal new bone formation in the hands and feet. This condition often accompanies TED and dermopathy, but effective treatments remain elusive. The first documented case of thyroid acropachy successfully treated with teprotumumab, a monoclonal antibody targeting the insulin-like growth factor-1 receptor (IGF-1R), is reported here. A 49-year-old female with a history of Graves' disease developed severe musculoskeletal symptoms, including clubbing and periosteal new bone formation. Despite initial therapies with rituximab and intravenous immunoglobulin showing limited benefit, treatment with teprotumumab, primarily prescribed for TED, led to significant clinical and radiological improvement. After completing eight cycles of teprotumumab, the patient's musculoskeletal pain resolved, clubbing regressed, and radiologic findings of periosteal bone formation diminished. This case highlights the potential of teprotumumab as a novel therapeutic option for thyroid acropachy and suggests that IGF-1R plays a crucial role in its pathogenesis. While this report presents promising results, further studies are needed to confirm the efficacy of teprotumumab in treating thyroid acropachy and better understand its long-term effects on this rare condition.

求助全文
通过发布文献求助,成功后即可免费获取论文全文。 去求助
来源期刊
Case Reports in Endocrinology
Case Reports in Endocrinology ENDOCRINOLOGY & METABOLISM-
CiteScore
2.10
自引率
0.00%
发文量
45
审稿时长
13 weeks
×
引用
GB/T 7714-2015
复制
MLA
复制
APA
复制
导出至
BibTeX EndNote RefMan NoteFirst NoteExpress
×
提示
您的信息不完整,为了账户安全,请先补充。
现在去补充
×
提示
您因"违规操作"
具体请查看互助需知
我知道了
×
提示
确定
请完成安全验证×
copy
已复制链接
快去分享给好友吧!
我知道了
右上角分享
点击右上角分享
0
联系我们:info@booksci.cn Book学术提供免费学术资源搜索服务,方便国内外学者检索中英文文献。致力于提供最便捷和优质的服务体验。 Copyright © 2023 布克学术 All rights reserved.
京ICP备2023020795号-1
ghs 京公网安备 11010802042870号
Book学术文献互助
Book学术文献互助群
群 号:604180095
Book学术官方微信