屈曲牵张操作期间腰椎棘突运动的超声测量:一项健康参与者的初步描述性横断面研究。

IF 2 4区 医学 Q2 REHABILITATION
Ralph Kruse, Maruti Gudavalli, Bret White, Stacey Rider, Dean Greenwood, Casey Rogers
{"title":"屈曲牵张操作期间腰椎棘突运动的超声测量:一项健康参与者的初步描述性横断面研究。","authors":"Ralph Kruse, Maruti Gudavalli, Bret White, Stacey Rider, Dean Greenwood, Casey Rogers","doi":"10.1186/s12998-025-00593-0","DOIUrl":null,"url":null,"abstract":"<p><strong>Background: </strong>Chronic low back pain is a prevalent condition that impairs productivity and quality of life. While spinal manipulative therapy reduces pain and disability, the biomechanical mechanisms underlying these effects remain unclear. This study utilized diagnostic ultrasound to measure lumbo-sacral spinous process movement (L3-S1) during Cox<sup>®</sup> Flexion Distraction manipulation, Protocol I, providing insight into spinal intersegmental motion.</p><p><strong>Methods: </strong>This study analyzed a convenience sample of generally healthy participants, aged 21 years and older, from both sexes and various ethnicities who reported no back pain. Participants were recruited through announcements and flyers posted around the Keiser university campus. Data was collected from June-August 2022. The participants were positioned prone on a specialized flexion distraction chiropractic table. Ultrasound imaging was performed to measure the spinous process distance from L3-S1 before the procedure, during flexion distraction utilizing standard Protocol I, and post-procedure. Ultrasound measurements were recorded by identifying the tips of the spinous processes and distances between L3-L4, L4-L5, and L5-S1, before, during, and after flexion distraction. Statistical analyses included paired t-tests to evaluate spinous process distances pre- and during Cox<sup>®</sup> Flexion distraction, independent t-tests for gender differences, and linear regression for body mass index (BMI) and age correlations with changes in separation distance.</p><p><strong>Results: </strong>Thirty participants (16 male, 14 female) with a mean age of 32.5 years (Standard deviation [SD] 10.4), mean weight of 69.2 Kg (SD 11.8), mean height of 169.0 cm (SD 8.9), and BMI of 23.9 underwent Cox<sup>®</sup> Flexion Distraction Protocol I. Spinous process separation increased during treatment: L3-L4 (0.13 mm), L4-L5 (0.13 mm), and L5-S1 (0.16 mm). Paired ttests showed significant pre- and during-treatment changes (p < 0.001), with moderate correlations to BMI (R²=0.61) and age (R²=0.58). Gender differences did not reveal statistical differences in separation distances at all lumbar levels measured (p > 0.1).</p><p><strong>Conclusion: </strong>Ultrasound imaging revealed significant separation of spinous processes at L3-L4, L4-L5, and L5-S1 during Cox<sup>®</sup> Flexion Distraction Protocol I. Statistical analyses showed separation correlated moderately with age and BMI that was unaffected by gender. Future studies should assess this technique's relevance in patients with low back pain.</p>","PeriodicalId":48572,"journal":{"name":"Chiropractic & Manual Therapies","volume":"33 1","pages":"29"},"PeriodicalIF":2.0000,"publicationDate":"2025-07-25","publicationTypes":"Journal Article","fieldsOfStudy":null,"isOpenAccess":false,"openAccessPdf":"https://www.ncbi.nlm.nih.gov/pmc/articles/PMC12291367/pdf/","citationCount":"0","resultStr":"{\"title\":\"Ultrasound measurements of lumbar spinous process movement during flexion distraction manipulation: a preliminary descriptive cross-sectional study with healthy participants.\",\"authors\":\"Ralph Kruse, Maruti Gudavalli, Bret White, Stacey Rider, Dean Greenwood, Casey Rogers\",\"doi\":\"10.1186/s12998-025-00593-0\",\"DOIUrl\":null,\"url\":null,\"abstract\":\"<p><strong>Background: </strong>Chronic low back pain is a prevalent condition that impairs productivity and quality of life. While spinal manipulative therapy reduces pain and disability, the biomechanical mechanisms underlying these effects remain unclear. This study utilized diagnostic ultrasound to measure lumbo-sacral spinous process movement (L3-S1) during Cox<sup>®</sup> Flexion Distraction manipulation, Protocol I, providing insight into spinal intersegmental motion.</p><p><strong>Methods: </strong>This study analyzed a convenience sample of generally healthy participants, aged 21 years and older, from both sexes and various ethnicities who reported no back pain. Participants were recruited through announcements and flyers posted around the Keiser university campus. Data was collected from June-August 2022. The participants were positioned prone on a specialized flexion distraction chiropractic table. Ultrasound imaging was performed to measure the spinous process distance from L3-S1 before the procedure, during flexion distraction utilizing standard Protocol I, and post-procedure. Ultrasound measurements were recorded by identifying the tips of the spinous processes and distances between L3-L4, L4-L5, and L5-S1, before, during, and after flexion distraction. Statistical analyses included paired t-tests to evaluate spinous process distances pre- and during Cox<sup>®</sup> Flexion distraction, independent t-tests for gender differences, and linear regression for body mass index (BMI) and age correlations with changes in separation distance.</p><p><strong>Results: </strong>Thirty participants (16 male, 14 female) with a mean age of 32.5 years (Standard deviation [SD] 10.4), mean weight of 69.2 Kg (SD 11.8), mean height of 169.0 cm (SD 8.9), and BMI of 23.9 underwent Cox<sup>®</sup> Flexion Distraction Protocol I. Spinous process separation increased during treatment: L3-L4 (0.13 mm), L4-L5 (0.13 mm), and L5-S1 (0.16 mm). Paired ttests showed significant pre- and during-treatment changes (p < 0.001), with moderate correlations to BMI (R²=0.61) and age (R²=0.58). Gender differences did not reveal statistical differences in separation distances at all lumbar levels measured (p > 0.1).</p><p><strong>Conclusion: </strong>Ultrasound imaging revealed significant separation of spinous processes at L3-L4, L4-L5, and L5-S1 during Cox<sup>®</sup> Flexion Distraction Protocol I. Statistical analyses showed separation correlated moderately with age and BMI that was unaffected by gender. Future studies should assess this technique's relevance in patients with low back pain.</p>\",\"PeriodicalId\":48572,\"journal\":{\"name\":\"Chiropractic & Manual Therapies\",\"volume\":\"33 1\",\"pages\":\"29\"},\"PeriodicalIF\":2.0000,\"publicationDate\":\"2025-07-25\",\"publicationTypes\":\"Journal Article\",\"fieldsOfStudy\":null,\"isOpenAccess\":false,\"openAccessPdf\":\"https://www.ncbi.nlm.nih.gov/pmc/articles/PMC12291367/pdf/\",\"citationCount\":\"0\",\"resultStr\":null,\"platform\":\"Semanticscholar\",\"paperid\":null,\"PeriodicalName\":\"Chiropractic & Manual Therapies\",\"FirstCategoryId\":\"3\",\"ListUrlMain\":\"https://doi.org/10.1186/s12998-025-00593-0\",\"RegionNum\":4,\"RegionCategory\":\"医学\",\"ArticlePicture\":[],\"TitleCN\":null,\"AbstractTextCN\":null,\"PMCID\":null,\"EPubDate\":\"\",\"PubModel\":\"\",\"JCR\":\"Q2\",\"JCRName\":\"REHABILITATION\",\"Score\":null,\"Total\":0}","platform":"Semanticscholar","paperid":null,"PeriodicalName":"Chiropractic & Manual Therapies","FirstCategoryId":"3","ListUrlMain":"https://doi.org/10.1186/s12998-025-00593-0","RegionNum":4,"RegionCategory":"医学","ArticlePicture":[],"TitleCN":null,"AbstractTextCN":null,"PMCID":null,"EPubDate":"","PubModel":"","JCR":"Q2","JCRName":"REHABILITATION","Score":null,"Total":0}
引用次数: 0

摘要

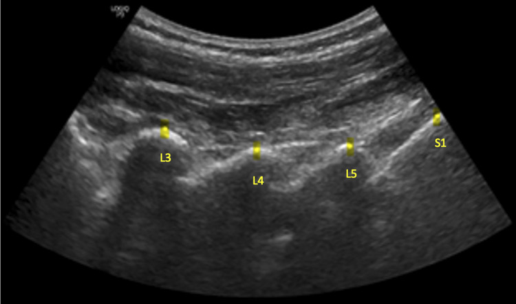
背景:慢性腰痛是一种影响生产力和生活质量的普遍疾病。虽然脊柱操纵疗法可以减轻疼痛和残疾,但这些作用背后的生物力学机制尚不清楚。本研究利用诊断超声测量Cox®屈曲牵张操作(方案I)期间腰骶棘突运动(L3-S1),提供脊柱节间运动的见解。方法:本研究分析了一般健康参与者的方便样本,年龄在21岁及以上,来自性别和不同种族,报告没有背痛。参与者是通过凯泽大学校园周围张贴的公告和传单招募的。数据收集于2022年6月至8月。参与者被定位俯卧在一个专门的屈曲分散脊椎指压治疗桌上。术前、使用标准方案I进行屈曲牵张期间和术后进行超声成像测量棘突到L3-S1的距离。通过识别棘突尖端和L3-L4、L4-L5和L5-S1之间的距离,在屈曲牵张之前、期间和之后记录超声测量。统计分析包括配对t检验来评估考克斯®屈曲牵引前和牵引期间棘突距离,性别差异的独立t检验,以及体重指数(BMI)和年龄与分离距离变化的相关性的线性回归。结果:30名参与者(16名男性,14名女性),平均年龄32.5岁(标准差[SD] 10.4),平均体重69.2 Kg (SD 11.8),平均身高169.0 cm (SD 8.9), BMI为23.9,接受了Cox®屈曲牵张方案i。治疗期间棘突分离增加:L3-L4 (0.13 mm), L4-L5 (0.13 mm)和L5-S1 (0.16 mm)。配对试验显示治疗前和治疗期间的显著变化(p 0.1)。结论:在Cox®屈曲牵引方案i中,超声成像显示L3-L4、L4-L5和L5-S1棘突明显分离,统计学分析显示分离与年龄和BMI中度相关,不受性别影响。未来的研究应评估该技术与腰痛患者的相关性。
本文章由计算机程序翻译,如有差异,请以英文原文为准。

Ultrasound measurements of lumbar spinous process movement during flexion distraction manipulation: a preliminary descriptive cross-sectional study with healthy participants.

Ultrasound measurements of lumbar spinous process movement during flexion distraction manipulation: a preliminary descriptive cross-sectional study with healthy participants.

Ultrasound measurements of lumbar spinous process movement during flexion distraction manipulation: a preliminary descriptive cross-sectional study with healthy participants.

Ultrasound measurements of lumbar spinous process movement during flexion distraction manipulation: a preliminary descriptive cross-sectional study with healthy participants.

Background: Chronic low back pain is a prevalent condition that impairs productivity and quality of life. While spinal manipulative therapy reduces pain and disability, the biomechanical mechanisms underlying these effects remain unclear. This study utilized diagnostic ultrasound to measure lumbo-sacral spinous process movement (L3-S1) during Cox® Flexion Distraction manipulation, Protocol I, providing insight into spinal intersegmental motion.

Methods: This study analyzed a convenience sample of generally healthy participants, aged 21 years and older, from both sexes and various ethnicities who reported no back pain. Participants were recruited through announcements and flyers posted around the Keiser university campus. Data was collected from June-August 2022. The participants were positioned prone on a specialized flexion distraction chiropractic table. Ultrasound imaging was performed to measure the spinous process distance from L3-S1 before the procedure, during flexion distraction utilizing standard Protocol I, and post-procedure. Ultrasound measurements were recorded by identifying the tips of the spinous processes and distances between L3-L4, L4-L5, and L5-S1, before, during, and after flexion distraction. Statistical analyses included paired t-tests to evaluate spinous process distances pre- and during Cox® Flexion distraction, independent t-tests for gender differences, and linear regression for body mass index (BMI) and age correlations with changes in separation distance.

Results: Thirty participants (16 male, 14 female) with a mean age of 32.5 years (Standard deviation [SD] 10.4), mean weight of 69.2 Kg (SD 11.8), mean height of 169.0 cm (SD 8.9), and BMI of 23.9 underwent Cox® Flexion Distraction Protocol I. Spinous process separation increased during treatment: L3-L4 (0.13 mm), L4-L5 (0.13 mm), and L5-S1 (0.16 mm). Paired ttests showed significant pre- and during-treatment changes (p < 0.001), with moderate correlations to BMI (R²=0.61) and age (R²=0.58). Gender differences did not reveal statistical differences in separation distances at all lumbar levels measured (p > 0.1).

Conclusion: Ultrasound imaging revealed significant separation of spinous processes at L3-L4, L4-L5, and L5-S1 during Cox® Flexion Distraction Protocol I. Statistical analyses showed separation correlated moderately with age and BMI that was unaffected by gender. Future studies should assess this technique's relevance in patients with low back pain.

求助全文
通过发布文献求助,成功后即可免费获取论文全文。 去求助
来源期刊
Chiropractic & Manual Therapies
Chiropractic & Manual Therapies Medicine-Complementary and Alternative Medicine
CiteScore
3.20
自引率
15.80%
发文量
48
审稿时长
20 weeks
期刊介绍: Chiropractic & Manual Therapies publishes manuscripts on all aspects of evidence-based information that is clinically relevant to chiropractors, manual therapists and related health care professionals. Chiropractic & Manual Therapies is an open access journal that aims to provide chiropractors, manual therapists and related health professionals with clinically relevant, evidence-based information. Chiropractic and other manual therapies share a relatively broad diagnostic practice and treatment scope, emphasizing the structure and function of the body''s musculoskeletal framework (especially the spine). The practices of chiropractic and manual therapies are closely associated with treatments including manipulation, which is a key intervention. The range of services provided can also include massage, mobilisation, physical therapies, dry needling, lifestyle and dietary counselling, plus a variety of other associated therapeutic and rehabilitation approaches. Chiropractic & Manual Therapies continues to serve as a critical resource in this field, and as an open access publication, is more readily available to practitioners, researchers and clinicians worldwide.
×
引用
GB/T 7714-2015
复制
MLA
复制
APA
复制
导出至
BibTeX EndNote RefMan NoteFirst NoteExpress
×
提示
您的信息不完整,为了账户安全,请先补充。
现在去补充
×
提示
您因"违规操作"
具体请查看互助需知
我知道了
×
提示
确定
请完成安全验证×
copy
已复制链接
快去分享给好友吧!
我知道了
右上角分享
点击右上角分享
0
联系我们:info@booksci.cn Book学术提供免费学术资源搜索服务,方便国内外学者检索中英文文献。致力于提供最便捷和优质的服务体验。 Copyright © 2023 布克学术 All rights reserved.
京ICP备2023020795号-1
ghs 京公网安备 11010802042870号
Book学术文献互助
Book学术文献互助群
群 号:604180095
Book学术官方微信