土耳其人颈椎亚轴椎蒂的形态计量学分析。

IF 2.2 4区 医学 Q2 RADIOLOGY, NUCLEAR MEDICINE & MEDICAL IMAGING
Hande Nur Taşdemir Batir, Hatice Güler, Burcu Kamaşak Arpaçay, İzzet Ökçesiz, Halil Dönmez, Güven Kahriman
{"title":"土耳其人颈椎亚轴椎蒂的形态计量学分析。","authors":"Hande Nur Taşdemir Batir, Hatice Güler, Burcu Kamaşak Arpaçay, İzzet Ökçesiz, Halil Dönmez, Güven Kahriman","doi":"10.3390/tomography11070079","DOIUrl":null,"url":null,"abstract":"<p><strong>Background/objectives: </strong>One of the surgical interventions applied in the cervical region is the pedicle screw method. The cervical pedicle screw is stronger than any other screw method; however, use of the cervical pedicle screw is limited due to the variability in the anatomy of the cervical vertebrae and the risks to the neurological and vascular structures in this region. This study aimed to determine the morphological features of subaxial cervical vertebrae of the adult Turkish population and to provide guidance for the pedicle screwing method.</p><p><strong>Methods: </strong>In our study, pedicle analyses were examined in the subaxial neck vertebrae of a total of 60 patients, 30 male and 30 female, using computed tomography images. In subaxial vertebrae (C3-C7), bilateral pedicle width, pedicle axis length, pedicle transverse angle, sagittal and transverse diameter of vertebral foramen, and the distance between two pedicles were measured.</p><p><strong>Results: </strong>Pedicle widths that did not fit the commonly used 3.5 mm pedicle screw were detected in both male and female patients. The mean bilateral pedicle width in male patients was found to be greater than in female patients. When the parameter results were compared according to the levels, it was found that the pedicle width, pedicle axis length, transverse diameter, and the distance between the two pedicles increased statistically significantly.</p><p><strong>Conclusions: </strong>We think that the data obtained from the study will help determine the appropriate screwing (screw selection) in subaxial vertebra pedicle surgery and increase the success of the surgical procedure.</p>","PeriodicalId":51330,"journal":{"name":"Tomography","volume":"11 7","pages":""},"PeriodicalIF":2.2000,"publicationDate":"2025-07-04","publicationTypes":"Journal Article","fieldsOfStudy":null,"isOpenAccess":false,"openAccessPdf":"https://www.ncbi.nlm.nih.gov/pmc/articles/PMC12298989/pdf/","citationCount":"0","resultStr":"{\"title\":\"Morphometric Analysis of Subaxial Cervical Vertebra Pedicles in the Turkish Population.\",\"authors\":\"Hande Nur Taşdemir Batir, Hatice Güler, Burcu Kamaşak Arpaçay, İzzet Ökçesiz, Halil Dönmez, Güven Kahriman\",\"doi\":\"10.3390/tomography11070079\",\"DOIUrl\":null,\"url\":null,\"abstract\":\"<p><strong>Background/objectives: </strong>One of the surgical interventions applied in the cervical region is the pedicle screw method. The cervical pedicle screw is stronger than any other screw method; however, use of the cervical pedicle screw is limited due to the variability in the anatomy of the cervical vertebrae and the risks to the neurological and vascular structures in this region. This study aimed to determine the morphological features of subaxial cervical vertebrae of the adult Turkish population and to provide guidance for the pedicle screwing method.</p><p><strong>Methods: </strong>In our study, pedicle analyses were examined in the subaxial neck vertebrae of a total of 60 patients, 30 male and 30 female, using computed tomography images. In subaxial vertebrae (C3-C7), bilateral pedicle width, pedicle axis length, pedicle transverse angle, sagittal and transverse diameter of vertebral foramen, and the distance between two pedicles were measured.</p><p><strong>Results: </strong>Pedicle widths that did not fit the commonly used 3.5 mm pedicle screw were detected in both male and female patients. The mean bilateral pedicle width in male patients was found to be greater than in female patients. When the parameter results were compared according to the levels, it was found that the pedicle width, pedicle axis length, transverse diameter, and the distance between the two pedicles increased statistically significantly.</p><p><strong>Conclusions: </strong>We think that the data obtained from the study will help determine the appropriate screwing (screw selection) in subaxial vertebra pedicle surgery and increase the success of the surgical procedure.</p>\",\"PeriodicalId\":51330,\"journal\":{\"name\":\"Tomography\",\"volume\":\"11 7\",\"pages\":\"\"},\"PeriodicalIF\":2.2000,\"publicationDate\":\"2025-07-04\",\"publicationTypes\":\"Journal Article\",\"fieldsOfStudy\":null,\"isOpenAccess\":false,\"openAccessPdf\":\"https://www.ncbi.nlm.nih.gov/pmc/articles/PMC12298989/pdf/\",\"citationCount\":\"0\",\"resultStr\":null,\"platform\":\"Semanticscholar\",\"paperid\":null,\"PeriodicalName\":\"Tomography\",\"FirstCategoryId\":\"3\",\"ListUrlMain\":\"https://doi.org/10.3390/tomography11070079\",\"RegionNum\":4,\"RegionCategory\":\"医学\",\"ArticlePicture\":[],\"TitleCN\":null,\"AbstractTextCN\":null,\"PMCID\":null,\"EPubDate\":\"\",\"PubModel\":\"\",\"JCR\":\"Q2\",\"JCRName\":\"RADIOLOGY, NUCLEAR MEDICINE & MEDICAL IMAGING\",\"Score\":null,\"Total\":0}","platform":"Semanticscholar","paperid":null,"PeriodicalName":"Tomography","FirstCategoryId":"3","ListUrlMain":"https://doi.org/10.3390/tomography11070079","RegionNum":4,"RegionCategory":"医学","ArticlePicture":[],"TitleCN":null,"AbstractTextCN":null,"PMCID":null,"EPubDate":"","PubModel":"","JCR":"Q2","JCRName":"RADIOLOGY, NUCLEAR MEDICINE & MEDICAL IMAGING","Score":null,"Total":0}
引用次数: 0

摘要

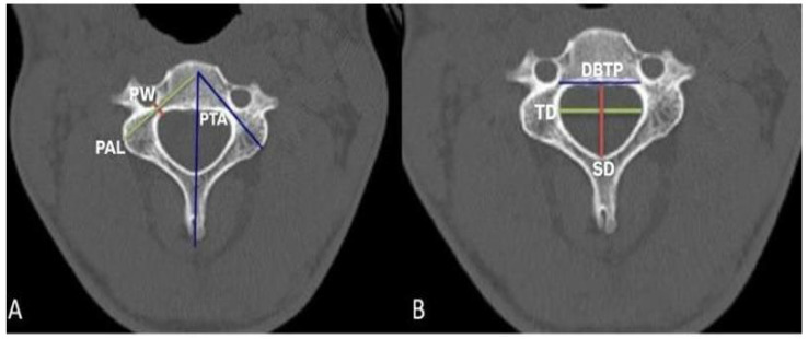
背景/目的:椎弓根螺钉法是应用于颈椎区域的手术干预之一。颈椎椎弓根螺钉比其他螺钉方法更牢固;然而,由于颈椎解剖结构的可变性以及对该区域神经和血管结构的风险,颈椎椎弓根螺钉的使用受到限制。本研究旨在确定土耳其成年人群下轴颈椎的形态学特征,并为椎弓根螺钉固定方法提供指导。方法:在我们的研究中,使用计算机断层扫描图像对60例患者(30例男性和30例女性)的下颈椎椎弓根进行了分析。在亚轴椎(C3-C7)测量双侧椎弓根宽度、椎弓根轴长、椎弓根横角、椎弓根矢状径和横径、椎弓根间距。结果:男女患者均发现椎弓根宽度与常用的3.5 mm椎弓根螺钉不匹配。男性患者的平均双侧蒂宽度大于女性患者。将参数结果按水平进行比较,发现椎弓根宽度、椎弓根轴长、横向直径、两椎弓根间距均有统计学意义的增加。结论:我们认为从研究中获得的数据将有助于确定下轴椎弓根手术中合适的螺钉(螺钉选择),并提高手术的成功率。
本文章由计算机程序翻译,如有差异,请以英文原文为准。

Morphometric Analysis of Subaxial Cervical Vertebra Pedicles in the Turkish Population.

Morphometric Analysis of Subaxial Cervical Vertebra Pedicles in the Turkish Population.

Morphometric Analysis of Subaxial Cervical Vertebra Pedicles in the Turkish Population.

Background/objectives: One of the surgical interventions applied in the cervical region is the pedicle screw method. The cervical pedicle screw is stronger than any other screw method; however, use of the cervical pedicle screw is limited due to the variability in the anatomy of the cervical vertebrae and the risks to the neurological and vascular structures in this region. This study aimed to determine the morphological features of subaxial cervical vertebrae of the adult Turkish population and to provide guidance for the pedicle screwing method.

Methods: In our study, pedicle analyses were examined in the subaxial neck vertebrae of a total of 60 patients, 30 male and 30 female, using computed tomography images. In subaxial vertebrae (C3-C7), bilateral pedicle width, pedicle axis length, pedicle transverse angle, sagittal and transverse diameter of vertebral foramen, and the distance between two pedicles were measured.

Results: Pedicle widths that did not fit the commonly used 3.5 mm pedicle screw were detected in both male and female patients. The mean bilateral pedicle width in male patients was found to be greater than in female patients. When the parameter results were compared according to the levels, it was found that the pedicle width, pedicle axis length, transverse diameter, and the distance between the two pedicles increased statistically significantly.

Conclusions: We think that the data obtained from the study will help determine the appropriate screwing (screw selection) in subaxial vertebra pedicle surgery and increase the success of the surgical procedure.

求助全文
通过发布文献求助,成功后即可免费获取论文全文。 去求助
来源期刊
Tomography
Tomography Medicine-Radiology, Nuclear Medicine and Imaging
CiteScore
2.70
自引率
10.50%
发文量
222
期刊介绍: TomographyTM publishes basic (technical and pre-clinical) and clinical scientific articles which involve the advancement of imaging technologies. Tomography encompasses studies that use single or multiple imaging modalities including for example CT, US, PET, SPECT, MR and hyperpolarization technologies, as well as optical modalities (i.e. bioluminescence, photoacoustic, endomicroscopy, fiber optic imaging and optical computed tomography) in basic sciences, engineering, preclinical and clinical medicine. Tomography also welcomes studies involving exploration and refinement of contrast mechanisms and image-derived metrics within and across modalities toward the development of novel imaging probes for image-based feedback and intervention. The use of imaging in biology and medicine provides unparalleled opportunities to noninvasively interrogate tissues to obtain real-time dynamic and quantitative information required for diagnosis and response to interventions and to follow evolving pathological conditions. As multi-modal studies and the complexities of imaging technologies themselves are ever increasing to provide advanced information to scientists and clinicians. Tomography provides a unique publication venue allowing investigators the opportunity to more precisely communicate integrated findings related to the diverse and heterogeneous features associated with underlying anatomical, physiological, functional, metabolic and molecular genetic activities of normal and diseased tissue. Thus Tomography publishes peer-reviewed articles which involve the broad use of imaging of any tissue and disease type including both preclinical and clinical investigations. In addition, hardware/software along with chemical and molecular probe advances are welcome as they are deemed to significantly contribute towards the long-term goal of improving the overall impact of imaging on scientific and clinical discovery.
×
引用
GB/T 7714-2015
复制
MLA
复制
APA
复制
导出至
BibTeX EndNote RefMan NoteFirst NoteExpress
×
提示
您的信息不完整,为了账户安全,请先补充。
现在去补充
×
提示
您因"违规操作"
具体请查看互助需知
我知道了
×
提示
确定
请完成安全验证×
copy
已复制链接
快去分享给好友吧!
我知道了
右上角分享
点击右上角分享
0
联系我们:info@booksci.cn Book学术提供免费学术资源搜索服务,方便国内外学者检索中英文文献。致力于提供最便捷和优质的服务体验。 Copyright © 2023 布克学术 All rights reserved.
京ICP备2023020795号-1
ghs 京公网安备 11010802042870号
Book学术文献互助
Book学术文献互助群
群 号:604180095
Book学术官方微信