颅内外动静脉畸形的血管内治疗:回顾性单中心病例系列研究。

IF 2.2 4区 医学 Q2 RADIOLOGY, NUCLEAR MEDICINE & MEDICAL IMAGING
Giuseppe Sarti, Giovanni Barbato, Francesco Tiralongo, Gianpaolo Santini, Francesco Arienzo, Davide Nilo, Fabio Tortora, Alfonso Reginelli, Rosita Comune, Maria Borrelli, Stefania Tamburrini, Antonio Basile, Mariano Scaglione
{"title":"颅内外动静脉畸形的血管内治疗:回顾性单中心病例系列研究。","authors":"Giuseppe Sarti, Giovanni Barbato, Francesco Tiralongo, Gianpaolo Santini, Francesco Arienzo, Davide Nilo, Fabio Tortora, Alfonso Reginelli, Rosita Comune, Maria Borrelli, Stefania Tamburrini, Antonio Basile, Mariano Scaglione","doi":"10.3390/tomography11070075","DOIUrl":null,"url":null,"abstract":"<p><strong>Background: </strong>Extracranial arteriovenous malformations (AVMs) are rare congenital vascular anomalies that often require endovascular treatment due to symptoms such as pain, bleeding, or functional impairment. Endovascular strategies include arterial, venous, or combined embolization approaches; however, recurrence remains a major challenge. We retrospectively evaluate the technical success, safety, and clinical outcomes of arterial-only versus combined arterial and venous embolization for the treatment of extracranial AVMs.</p><p><strong>Materials and methods: </strong>This single-center retrospective study included 14 patients (mean age 31.8 ± 21.7 years; 64% female) with symptomatic extracranial AVMs (Schobinger stage II) treated between 2017 and 2023. AVMs were classified angiographically (Yakes classification) and treated with embolization via arterial or combined access routes. The primary endpoint was technical success (defined as angiographic nidus occlusion), while secondary endpoints included clinical recurrence and procedure-related complications. Follow-up included clinical and Doppler ultrasound assessments.</p><p><strong>Results: </strong>Nine patients (64%) underwent arterial embolization alone; five (36%) received combined arterial and venous embolization, including Lauromacrogol injection via direct puncture. Technical success was achieved in all cases (100%). Clinical recurrence occurred in two patients (14%), both from the arterial-only group. One major complication (tongue ischemia) occurred in a single patient (7%). No complications or recurrences were observed in the combined treatment group. Statistical analysis showed no significant difference in recurrence or complication rates between groups.</p>","PeriodicalId":51330,"journal":{"name":"Tomography","volume":"11 7","pages":""},"PeriodicalIF":2.2000,"publicationDate":"2025-06-26","publicationTypes":"Journal Article","fieldsOfStudy":null,"isOpenAccess":false,"openAccessPdf":"https://www.ncbi.nlm.nih.gov/pmc/articles/PMC12300876/pdf/","citationCount":"0","resultStr":"{\"title\":\"Endovascular Treatment of Extracranial Arteriovenous Malformations: A Retrospective Monocentric Case-Series Study.\",\"authors\":\"Giuseppe Sarti, Giovanni Barbato, Francesco Tiralongo, Gianpaolo Santini, Francesco Arienzo, Davide Nilo, Fabio Tortora, Alfonso Reginelli, Rosita Comune, Maria Borrelli, Stefania Tamburrini, Antonio Basile, Mariano Scaglione\",\"doi\":\"10.3390/tomography11070075\",\"DOIUrl\":null,\"url\":null,\"abstract\":\"<p><strong>Background: </strong>Extracranial arteriovenous malformations (AVMs) are rare congenital vascular anomalies that often require endovascular treatment due to symptoms such as pain, bleeding, or functional impairment. Endovascular strategies include arterial, venous, or combined embolization approaches; however, recurrence remains a major challenge. We retrospectively evaluate the technical success, safety, and clinical outcomes of arterial-only versus combined arterial and venous embolization for the treatment of extracranial AVMs.</p><p><strong>Materials and methods: </strong>This single-center retrospective study included 14 patients (mean age 31.8 ± 21.7 years; 64% female) with symptomatic extracranial AVMs (Schobinger stage II) treated between 2017 and 2023. AVMs were classified angiographically (Yakes classification) and treated with embolization via arterial or combined access routes. The primary endpoint was technical success (defined as angiographic nidus occlusion), while secondary endpoints included clinical recurrence and procedure-related complications. Follow-up included clinical and Doppler ultrasound assessments.</p><p><strong>Results: </strong>Nine patients (64%) underwent arterial embolization alone; five (36%) received combined arterial and venous embolization, including Lauromacrogol injection via direct puncture. Technical success was achieved in all cases (100%). Clinical recurrence occurred in two patients (14%), both from the arterial-only group. One major complication (tongue ischemia) occurred in a single patient (7%). No complications or recurrences were observed in the combined treatment group. Statistical analysis showed no significant difference in recurrence or complication rates between groups.</p>\",\"PeriodicalId\":51330,\"journal\":{\"name\":\"Tomography\",\"volume\":\"11 7\",\"pages\":\"\"},\"PeriodicalIF\":2.2000,\"publicationDate\":\"2025-06-26\",\"publicationTypes\":\"Journal Article\",\"fieldsOfStudy\":null,\"isOpenAccess\":false,\"openAccessPdf\":\"https://www.ncbi.nlm.nih.gov/pmc/articles/PMC12300876/pdf/\",\"citationCount\":\"0\",\"resultStr\":null,\"platform\":\"Semanticscholar\",\"paperid\":null,\"PeriodicalName\":\"Tomography\",\"FirstCategoryId\":\"3\",\"ListUrlMain\":\"https://doi.org/10.3390/tomography11070075\",\"RegionNum\":4,\"RegionCategory\":\"医学\",\"ArticlePicture\":[],\"TitleCN\":null,\"AbstractTextCN\":null,\"PMCID\":null,\"EPubDate\":\"\",\"PubModel\":\"\",\"JCR\":\"Q2\",\"JCRName\":\"RADIOLOGY, NUCLEAR MEDICINE & MEDICAL IMAGING\",\"Score\":null,\"Total\":0}","platform":"Semanticscholar","paperid":null,"PeriodicalName":"Tomography","FirstCategoryId":"3","ListUrlMain":"https://doi.org/10.3390/tomography11070075","RegionNum":4,"RegionCategory":"医学","ArticlePicture":[],"TitleCN":null,"AbstractTextCN":null,"PMCID":null,"EPubDate":"","PubModel":"","JCR":"Q2","JCRName":"RADIOLOGY, NUCLEAR MEDICINE & MEDICAL IMAGING","Score":null,"Total":0}
引用次数: 0

摘要

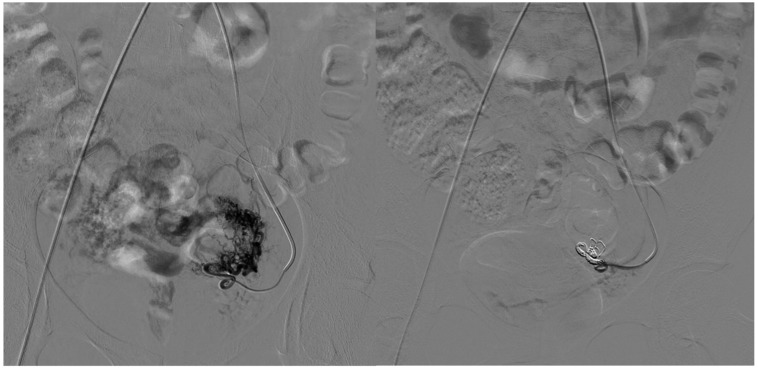
背景:颅外动静脉畸形(AVMs)是一种罕见的先天性血管异常,通常由于疼痛、出血或功能障碍等症状而需要血管内治疗。血管内栓塞包括动脉栓塞、静脉栓塞或联合栓塞;然而,复发仍然是主要的挑战。我们回顾性评价单纯动脉栓塞与动静脉联合栓塞治疗颅外动静脉畸形的技术成功、安全性和临床结果。材料和方法:本单中心回顾性研究纳入14例患者(平均年龄31.8±21.7岁;在2017年至2023年期间,有症状的颅外AVMs (Schobinger II期)治疗的患者占64%(女性)。血管造影对AVMs进行分类(Yakes分类),并通过动脉或联合通路进行栓塞治疗。主要终点是技术成功(定义为血管造影病灶闭塞),次要终点包括临床复发和手术相关并发症。随访包括临床和多普勒超声评估。结果:9例(64%)患者单独行动脉栓塞术;5例(36%)接受动脉和静脉联合栓塞,包括直接穿刺注射聚月桂醇。所有病例均取得了技术上的成功(100%)。2例患者(14%)出现临床复发,均来自单纯动脉组。一个主要的并发症(舌缺血)发生在一个病人身上(7%)。联合治疗组无并发症及复发。统计学分析显示两组患者复发率及并发症发生率无显著差异。
本文章由计算机程序翻译,如有差异,请以英文原文为准。

Endovascular Treatment of Extracranial Arteriovenous Malformations: A Retrospective Monocentric Case-Series Study.

Endovascular Treatment of Extracranial Arteriovenous Malformations: A Retrospective Monocentric Case-Series Study.

Endovascular Treatment of Extracranial Arteriovenous Malformations: A Retrospective Monocentric Case-Series Study.

Endovascular Treatment of Extracranial Arteriovenous Malformations: A Retrospective Monocentric Case-Series Study.

Background: Extracranial arteriovenous malformations (AVMs) are rare congenital vascular anomalies that often require endovascular treatment due to symptoms such as pain, bleeding, or functional impairment. Endovascular strategies include arterial, venous, or combined embolization approaches; however, recurrence remains a major challenge. We retrospectively evaluate the technical success, safety, and clinical outcomes of arterial-only versus combined arterial and venous embolization for the treatment of extracranial AVMs.

Materials and methods: This single-center retrospective study included 14 patients (mean age 31.8 ± 21.7 years; 64% female) with symptomatic extracranial AVMs (Schobinger stage II) treated between 2017 and 2023. AVMs were classified angiographically (Yakes classification) and treated with embolization via arterial or combined access routes. The primary endpoint was technical success (defined as angiographic nidus occlusion), while secondary endpoints included clinical recurrence and procedure-related complications. Follow-up included clinical and Doppler ultrasound assessments.

Results: Nine patients (64%) underwent arterial embolization alone; five (36%) received combined arterial and venous embolization, including Lauromacrogol injection via direct puncture. Technical success was achieved in all cases (100%). Clinical recurrence occurred in two patients (14%), both from the arterial-only group. One major complication (tongue ischemia) occurred in a single patient (7%). No complications or recurrences were observed in the combined treatment group. Statistical analysis showed no significant difference in recurrence or complication rates between groups.

求助全文
通过发布文献求助,成功后即可免费获取论文全文。 去求助
来源期刊
Tomography
Tomography Medicine-Radiology, Nuclear Medicine and Imaging
CiteScore
2.70
自引率
10.50%
发文量
222
期刊介绍: TomographyTM publishes basic (technical and pre-clinical) and clinical scientific articles which involve the advancement of imaging technologies. Tomography encompasses studies that use single or multiple imaging modalities including for example CT, US, PET, SPECT, MR and hyperpolarization technologies, as well as optical modalities (i.e. bioluminescence, photoacoustic, endomicroscopy, fiber optic imaging and optical computed tomography) in basic sciences, engineering, preclinical and clinical medicine. Tomography also welcomes studies involving exploration and refinement of contrast mechanisms and image-derived metrics within and across modalities toward the development of novel imaging probes for image-based feedback and intervention. The use of imaging in biology and medicine provides unparalleled opportunities to noninvasively interrogate tissues to obtain real-time dynamic and quantitative information required for diagnosis and response to interventions and to follow evolving pathological conditions. As multi-modal studies and the complexities of imaging technologies themselves are ever increasing to provide advanced information to scientists and clinicians. Tomography provides a unique publication venue allowing investigators the opportunity to more precisely communicate integrated findings related to the diverse and heterogeneous features associated with underlying anatomical, physiological, functional, metabolic and molecular genetic activities of normal and diseased tissue. Thus Tomography publishes peer-reviewed articles which involve the broad use of imaging of any tissue and disease type including both preclinical and clinical investigations. In addition, hardware/software along with chemical and molecular probe advances are welcome as they are deemed to significantly contribute towards the long-term goal of improving the overall impact of imaging on scientific and clinical discovery.
×
引用
GB/T 7714-2015
复制
MLA
复制
APA
复制
导出至
BibTeX EndNote RefMan NoteFirst NoteExpress
×
提示
您的信息不完整,为了账户安全,请先补充。
现在去补充
×
提示
您因"违规操作"
具体请查看互助需知
我知道了
×
提示
确定
请完成安全验证×
copy
已复制链接
快去分享给好友吧!
我知道了
右上角分享
点击右上角分享
0
联系我们:info@booksci.cn Book学术提供免费学术资源搜索服务,方便国内外学者检索中英文文献。致力于提供最便捷和优质的服务体验。 Copyright © 2023 布克学术 All rights reserved.
京ICP备2023020795号-1
ghs 京公网安备 11010802042870号
Book学术文献互助
Book学术文献互助群
群 号:604180095
Book学术官方微信