肺腺癌的定性和定量计算机断层扫描分析预测通过空气空间的扩散。

IF 2.2 4区 医学 Q2 RADIOLOGY, NUCLEAR MEDICINE & MEDICAL IMAGING
Fumi Kameda, Yoshie Kunihiro, Masahiro Tanabe, Masatoshi Nakashima, Taiga Kobayashi, Toshiki Tanaka, Yoshinobu Hoshii, Katsuyoshi Ito
{"title":"肺腺癌的定性和定量计算机断层扫描分析预测通过空气空间的扩散。","authors":"Fumi Kameda, Yoshie Kunihiro, Masahiro Tanabe, Masatoshi Nakashima, Taiga Kobayashi, Toshiki Tanaka, Yoshinobu Hoshii, Katsuyoshi Ito","doi":"10.3390/tomography11070076","DOIUrl":null,"url":null,"abstract":"<p><strong>Background/objectives: </strong>Spread through air spaces (STAS) is defined as the spread of tumor cells into the parenchymal alveolar space beyond the margins of the main tumor, and it is associated with worse clinical outcomes in resected lung adenocarcinoma. This study aimed to evaluate the preoperative computed tomography (CT) findings of primary lung adenocarcinoma in surgically resected T1 cases and to compare CT findings with and without STAS.</p><p><strong>Methods: </strong>A total of 145 patients were included in this study. The following factors were evaluated on CT images: nodule type (pure ground-glass nodule [GGN], part-solid nodule, or solid nodule), margin (smooth or irregular), the presence of lobulation, spicula, cavity, calcification, central low attenuation, peripheral opacity (well-defined or ill-defined), air bronchogram, satellite lesions, pleural retraction, pulmonary emphysema, and interstitial pneumonia; CT values (maximum, minimum, and mean); volume (tumor and solid component); and diameter (tumor and solid component). CT criteria were compared between the presence and absence of STAS.</p><p><strong>Results: </strong>Lobulation and central low attenuation were significantly more frequent in patients with STAS (<i>p</i> < 0.05). The mean CT value, and the volume, rate, and diameter of the solid component were significantly larger in cases with STAS (<i>p</i> < 0.05). A multiple logistic regression analysis identified central low attenuation as an indicator of the presence of STAS (<i>p</i> < 0.001; odds ratio, 3.993; 95% confidence interval, 1.993-8.001).</p><p><strong>Conclusions: </strong>Quantitative and qualitative analyses are useful for differentiating between the presence and absence of STAS.</p>","PeriodicalId":51330,"journal":{"name":"Tomography","volume":"11 7","pages":""},"PeriodicalIF":2.2000,"publicationDate":"2025-06-27","publicationTypes":"Journal Article","fieldsOfStudy":null,"isOpenAccess":false,"openAccessPdf":"https://www.ncbi.nlm.nih.gov/pmc/articles/PMC12298125/pdf/","citationCount":"0","resultStr":"{\"title\":\"Qualitative and Quantitative Computed Tomography Analyses of Lung Adenocarcinoma for Predicting Spread Through Air Spaces.\",\"authors\":\"Fumi Kameda, Yoshie Kunihiro, Masahiro Tanabe, Masatoshi Nakashima, Taiga Kobayashi, Toshiki Tanaka, Yoshinobu Hoshii, Katsuyoshi Ito\",\"doi\":\"10.3390/tomography11070076\",\"DOIUrl\":null,\"url\":null,\"abstract\":\"<p><strong>Background/objectives: </strong>Spread through air spaces (STAS) is defined as the spread of tumor cells into the parenchymal alveolar space beyond the margins of the main tumor, and it is associated with worse clinical outcomes in resected lung adenocarcinoma. This study aimed to evaluate the preoperative computed tomography (CT) findings of primary lung adenocarcinoma in surgically resected T1 cases and to compare CT findings with and without STAS.</p><p><strong>Methods: </strong>A total of 145 patients were included in this study. The following factors were evaluated on CT images: nodule type (pure ground-glass nodule [GGN], part-solid nodule, or solid nodule), margin (smooth or irregular), the presence of lobulation, spicula, cavity, calcification, central low attenuation, peripheral opacity (well-defined or ill-defined), air bronchogram, satellite lesions, pleural retraction, pulmonary emphysema, and interstitial pneumonia; CT values (maximum, minimum, and mean); volume (tumor and solid component); and diameter (tumor and solid component). CT criteria were compared between the presence and absence of STAS.</p><p><strong>Results: </strong>Lobulation and central low attenuation were significantly more frequent in patients with STAS (<i>p</i> < 0.05). The mean CT value, and the volume, rate, and diameter of the solid component were significantly larger in cases with STAS (<i>p</i> < 0.05). A multiple logistic regression analysis identified central low attenuation as an indicator of the presence of STAS (<i>p</i> < 0.001; odds ratio, 3.993; 95% confidence interval, 1.993-8.001).</p><p><strong>Conclusions: </strong>Quantitative and qualitative analyses are useful for differentiating between the presence and absence of STAS.</p>\",\"PeriodicalId\":51330,\"journal\":{\"name\":\"Tomography\",\"volume\":\"11 7\",\"pages\":\"\"},\"PeriodicalIF\":2.2000,\"publicationDate\":\"2025-06-27\",\"publicationTypes\":\"Journal Article\",\"fieldsOfStudy\":null,\"isOpenAccess\":false,\"openAccessPdf\":\"https://www.ncbi.nlm.nih.gov/pmc/articles/PMC12298125/pdf/\",\"citationCount\":\"0\",\"resultStr\":null,\"platform\":\"Semanticscholar\",\"paperid\":null,\"PeriodicalName\":\"Tomography\",\"FirstCategoryId\":\"3\",\"ListUrlMain\":\"https://doi.org/10.3390/tomography11070076\",\"RegionNum\":4,\"RegionCategory\":\"医学\",\"ArticlePicture\":[],\"TitleCN\":null,\"AbstractTextCN\":null,\"PMCID\":null,\"EPubDate\":\"\",\"PubModel\":\"\",\"JCR\":\"Q2\",\"JCRName\":\"RADIOLOGY, NUCLEAR MEDICINE & MEDICAL IMAGING\",\"Score\":null,\"Total\":0}","platform":"Semanticscholar","paperid":null,"PeriodicalName":"Tomography","FirstCategoryId":"3","ListUrlMain":"https://doi.org/10.3390/tomography11070076","RegionNum":4,"RegionCategory":"医学","ArticlePicture":[],"TitleCN":null,"AbstractTextCN":null,"PMCID":null,"EPubDate":"","PubModel":"","JCR":"Q2","JCRName":"RADIOLOGY, NUCLEAR MEDICINE & MEDICAL IMAGING","Score":null,"Total":0}
引用次数: 0

摘要

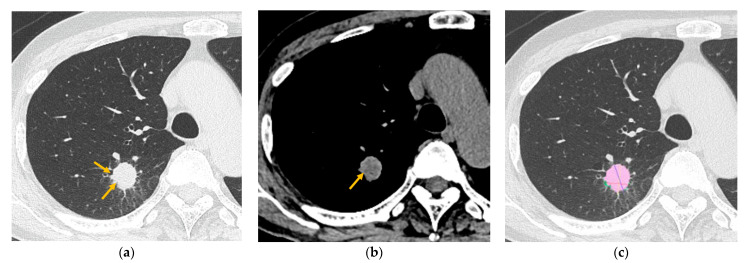
背景/目的:通过空气间隙扩散(STAS)被定义为肿瘤细胞扩散到主要肿瘤边缘以外的实质肺泡间隙,并且在切除的肺腺癌中与较差的临床结果相关。本研究旨在评估T1例手术切除的原发性肺腺癌的术前CT表现,并比较有无STAS的CT表现。方法:共纳入145例患者。在CT图像上评估以下因素:结节类型(纯磨玻璃结节[GGN]、部分实性结节或实性结节)、边缘(光滑或不规则)、分叶、针状、空洞、钙化、中央低衰减、周围混浊(明确或不明确)、支气管充气征、卫星性病变、胸膜回缩、肺气肿和间质性肺炎;CT值(最大值、最小值和平均值);体积(肿瘤和实体成分);和直径(肿瘤和实体成分)。比较有无STAS的CT判据。结果:STAS患者分叶化、中枢性低衰减发生率显著高于STAS患者(p < 0.05)。STAS组的CT平均值、固相成分的体积、率、直径均明显大于STAS组(p < 0.05)。多元logistic回归分析发现,中心低衰减是STAS存在的一个指标(p < 0.001;优势比3.993;95%置信区间,1.993-8.001)。结论:定量和定性分析有助于鉴别STAS的存在和不存在。
本文章由计算机程序翻译,如有差异,请以英文原文为准。

Qualitative and Quantitative Computed Tomography Analyses of Lung Adenocarcinoma for Predicting Spread Through Air Spaces.

Qualitative and Quantitative Computed Tomography Analyses of Lung Adenocarcinoma for Predicting Spread Through Air Spaces.

Qualitative and Quantitative Computed Tomography Analyses of Lung Adenocarcinoma for Predicting Spread Through Air Spaces.

Qualitative and Quantitative Computed Tomography Analyses of Lung Adenocarcinoma for Predicting Spread Through Air Spaces.

Background/objectives: Spread through air spaces (STAS) is defined as the spread of tumor cells into the parenchymal alveolar space beyond the margins of the main tumor, and it is associated with worse clinical outcomes in resected lung adenocarcinoma. This study aimed to evaluate the preoperative computed tomography (CT) findings of primary lung adenocarcinoma in surgically resected T1 cases and to compare CT findings with and without STAS.

Methods: A total of 145 patients were included in this study. The following factors were evaluated on CT images: nodule type (pure ground-glass nodule [GGN], part-solid nodule, or solid nodule), margin (smooth or irregular), the presence of lobulation, spicula, cavity, calcification, central low attenuation, peripheral opacity (well-defined or ill-defined), air bronchogram, satellite lesions, pleural retraction, pulmonary emphysema, and interstitial pneumonia; CT values (maximum, minimum, and mean); volume (tumor and solid component); and diameter (tumor and solid component). CT criteria were compared between the presence and absence of STAS.

Results: Lobulation and central low attenuation were significantly more frequent in patients with STAS (p < 0.05). The mean CT value, and the volume, rate, and diameter of the solid component were significantly larger in cases with STAS (p < 0.05). A multiple logistic regression analysis identified central low attenuation as an indicator of the presence of STAS (p < 0.001; odds ratio, 3.993; 95% confidence interval, 1.993-8.001).

Conclusions: Quantitative and qualitative analyses are useful for differentiating between the presence and absence of STAS.

求助全文
通过发布文献求助,成功后即可免费获取论文全文。 去求助
来源期刊
Tomography
Tomography Medicine-Radiology, Nuclear Medicine and Imaging
CiteScore
2.70
自引率
10.50%
发文量
222
期刊介绍: TomographyTM publishes basic (technical and pre-clinical) and clinical scientific articles which involve the advancement of imaging technologies. Tomography encompasses studies that use single or multiple imaging modalities including for example CT, US, PET, SPECT, MR and hyperpolarization technologies, as well as optical modalities (i.e. bioluminescence, photoacoustic, endomicroscopy, fiber optic imaging and optical computed tomography) in basic sciences, engineering, preclinical and clinical medicine. Tomography also welcomes studies involving exploration and refinement of contrast mechanisms and image-derived metrics within and across modalities toward the development of novel imaging probes for image-based feedback and intervention. The use of imaging in biology and medicine provides unparalleled opportunities to noninvasively interrogate tissues to obtain real-time dynamic and quantitative information required for diagnosis and response to interventions and to follow evolving pathological conditions. As multi-modal studies and the complexities of imaging technologies themselves are ever increasing to provide advanced information to scientists and clinicians. Tomography provides a unique publication venue allowing investigators the opportunity to more precisely communicate integrated findings related to the diverse and heterogeneous features associated with underlying anatomical, physiological, functional, metabolic and molecular genetic activities of normal and diseased tissue. Thus Tomography publishes peer-reviewed articles which involve the broad use of imaging of any tissue and disease type including both preclinical and clinical investigations. In addition, hardware/software along with chemical and molecular probe advances are welcome as they are deemed to significantly contribute towards the long-term goal of improving the overall impact of imaging on scientific and clinical discovery.
×
引用
GB/T 7714-2015
复制
MLA
复制
APA
复制
导出至
BibTeX EndNote RefMan NoteFirst NoteExpress
×
提示
您的信息不完整,为了账户安全,请先补充。
现在去补充
×
提示
您因"违规操作"
具体请查看互助需知
我知道了
×
提示
确定
请完成安全验证×
copy
已复制链接
快去分享给好友吧!
我知道了
右上角分享
点击右上角分享
0
联系我们:info@booksci.cn Book学术提供免费学术资源搜索服务,方便国内外学者检索中英文文献。致力于提供最便捷和优质的服务体验。 Copyright © 2023 布克学术 All rights reserved.
京ICP备2023020795号-1
ghs 京公网安备 11010802042870号
Book学术文献互助
Book学术文献互助群
群 号:604180095
Book学术官方微信